Skip to content

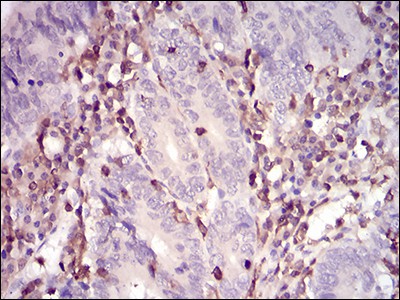
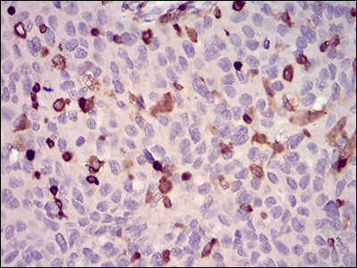
WAS Mouse Monoclonal Antibody [E10-4B]

Specification

Contact Us

BIO-STATION LIMITED

Contact: Sanry CHEN

Email: info@bio-station.net

Phone: 852-35650223

Find Local Distributors

Catalog# EM1706-58

WAS Mouse Monoclonal Antibody [E10-4B]

Application
  • IHC-P

  • FC

Reactivity
  • Human

Conjugation
  • unconjugated

This product has been cited in peer reviewed publications, see list HERE
Close (esc)

Popup

Use this popup to embed a mailing list sign up form. Alternatively use it as a simple call to action with a link to a product or a page.

Age verification

By clicking enter you are verifying that you are old enough to consume alcohol.

搜索