Skip to content

Antibody Raw Materials

With over ten years of dedicated deep cultivation and continuous innovation, Huabio has established a comprehensive technical system from target antigen design to antibody screening and verification. Our core advantage lies in the integrated platform of antibody discovery, production and quality control, which enables us to achieve precise control throughout the entire process, from immunogen design to antibody delivery.

We provide antibody raw material solutions for various application scenarios, including pathological diagnosis, in vitro diagnostic reagents (IVD), and antibody-drug conjugates (ADC). Our products cover multiple species, including humans, mice, and rats, and can be customized according to customer needs.


Huabio's pathological IHC diagnostic antibodies are independently developed and optimized based on the HiMab® recombinant antibody platform, ensuring high specificity and sensitivity. These antibodies have been strictly verified in multiple tissue types and are suitable for various pathological diagnosis scenarios.

Our IHC diagnostic antibodies cover common tumor markers, immune cell markers, and tissue-specific markers, providing reliable support for pathological diagnosis and research.

All IHC diagnostic antibodies undergo strict quality control, including specificity verification, sensitivity testing, and stability evaluation, ensuring consistent performance in clinical applications.

Product Advantages

Rich and diverse product types
Over 90% HEK293 expression
High batch-to-batch stability
Low endotoxin
Translation missing: en.pages.industry.advantages.item5

Recommended Products

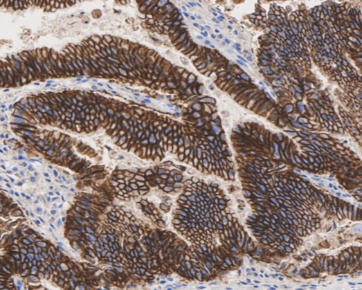
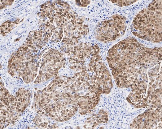
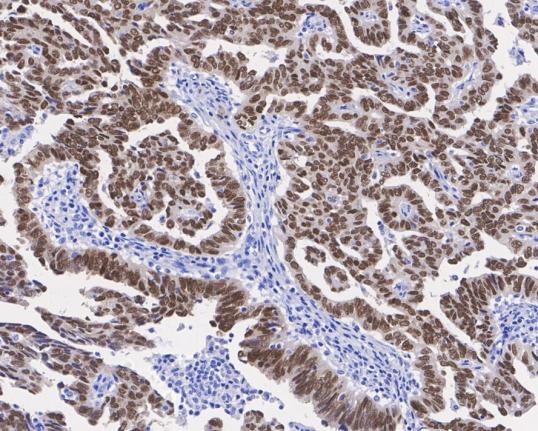
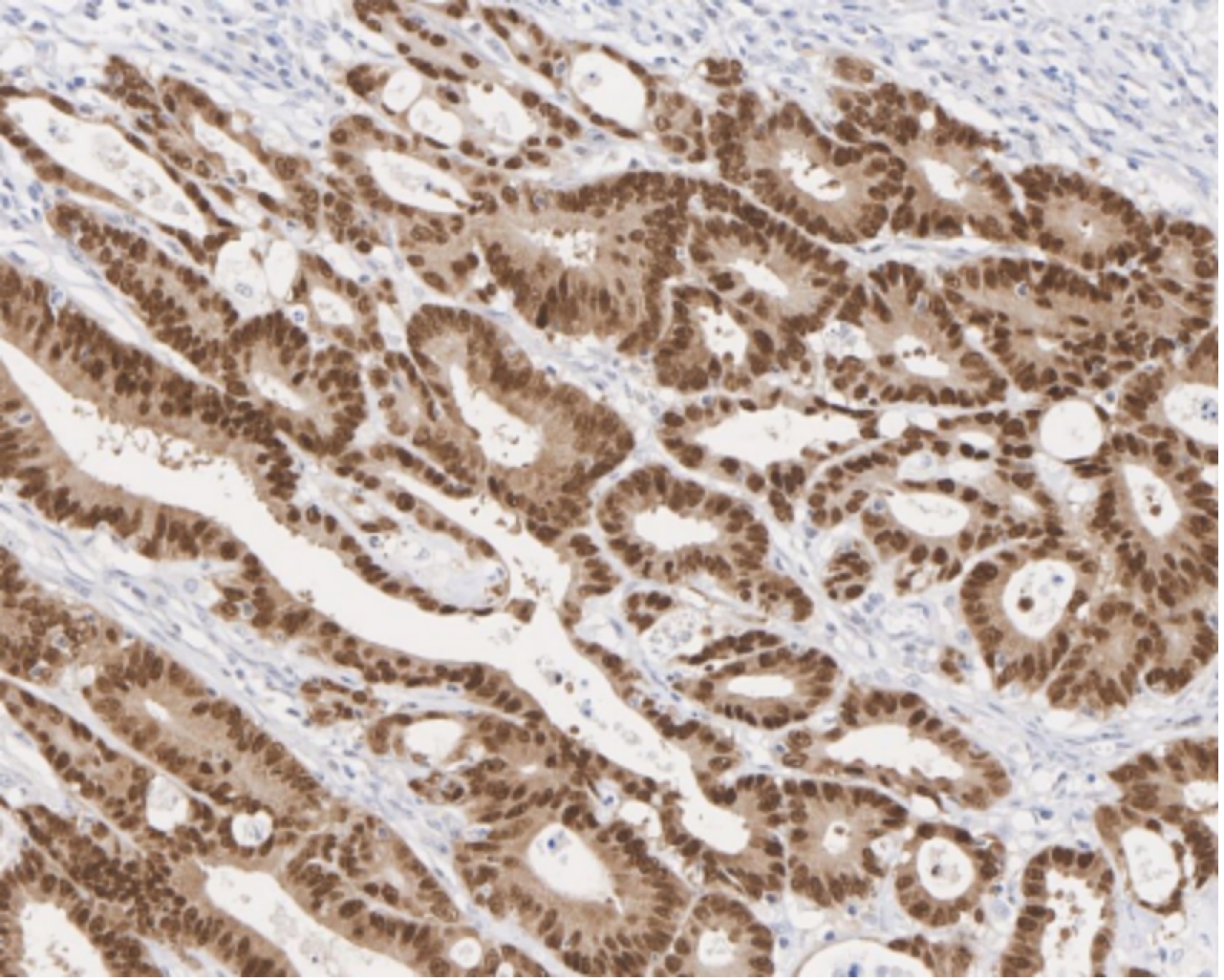
PAX8 Recombinant Rabbit Monoclonal Antibody [JE80-01]
CDX2 Recombinant Rabbit Monoclonal Antibody [SY09-02]
P Glycoprotein Recombinant Mouse Monoclonal Antibody [A10F1-R]
HER2 / ErbB2 Recombinant Rabbit Monoclonal Antibody [PD00-99]
SOX2 Recombinant Rabbit Monoclonal Antibody [PO00-28]
Claudin 18.2 Recombinant Mouse Monoclonal Antibody [PSH18-20]

Paired antibodies are a key component in immunodiagnostic reagents, requiring high specificity, sensitivity, and compatibility. Huabio's paired antibodies are developed through a strict screening process, ensuring optimal matching between capture and detection antibodies.

Our paired antibodies are suitable for various immunodiagnostic platforms, including ELISA, chemiluminescence, and lateral flow immunoassays. We provide comprehensive technical support, including protocol optimization and performance validation, to help customers develop high-performance diagnostic reagents.

Product Advantages

High Affinity
Low Cross-Reactivity
Good Compatibility
High Stability

Recommended Products

Capture: HA722106
Detector: HA722107
Capture: HA722042
Detector: HA722043
Capture: HA721974
Detector: HA721975

In the pharmacokinetic (PK) and safety evaluation of antibody-drug conjugates (ADC), sensitive and specific monitoring of trace free toxins (Payload) in blood is key to evaluating safety windows and optimizing linker technology. Huabio focuses on industry frontiers, creating highly sensitive and specific detection antibodies for mainstream toxins such as MMAE, DM1, SN-38, Dxd, etc.

Developing such antibodies faces unique high thresholds: small molecule toxins have extremely weak immunogenicity and need to accurately distinguish between free toxins, linker-toxin complexes, and complete ADCs. Our technical breakthrough lies in innovative hapten design and conjugation strategies. By carefully designing immunogens that retain key characteristic structures of toxins, combined with efficient animal immunization and screening platforms, we can obtain high-affinity antibodies targeting specific epitopes of target small molecules. We provide not just an antibody, but a complete detection solution, including methodological development support (such as competitive ELISA, homogeneous detection platform adaptation) and regulatory-compliant analytical method validation guidance. These tools can help ADC R&D enterprises accurately quantify in vivo free toxin exposure levels, deeply understand drug release kinetics, and provide key data support for preclinical safety evaluation and clinical drug monitoring, thus accelerating safer and more effective ADC drugs to market.

Addressing challenges such as weak immunogenicity of small molecules and difficulty in distinguishing, we ensure extremely high specificity and sensitivity through innovative semi-antigen design and site-specific conjugation strategies.

Recommended Products

MMAE Recombinant Rabbit mAb
HA721256 | 微管抑制剂
DM1 Mouse mAb
HA600013 | 微管聚合抑制剂
Dxd Mouse mAb
HA601134 | DNA拓朴异构酶 I 抑制剂
Close (esc)

Popup

Use this popup to embed a mailing list sign up form. Alternatively use it as a simple call to action with a link to a product or a page.

Age verification

By clicking enter you are verifying that you are old enough to consume alcohol.

搜索