Catalog# HA601554
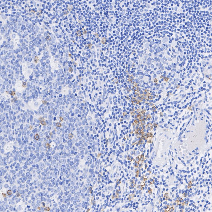
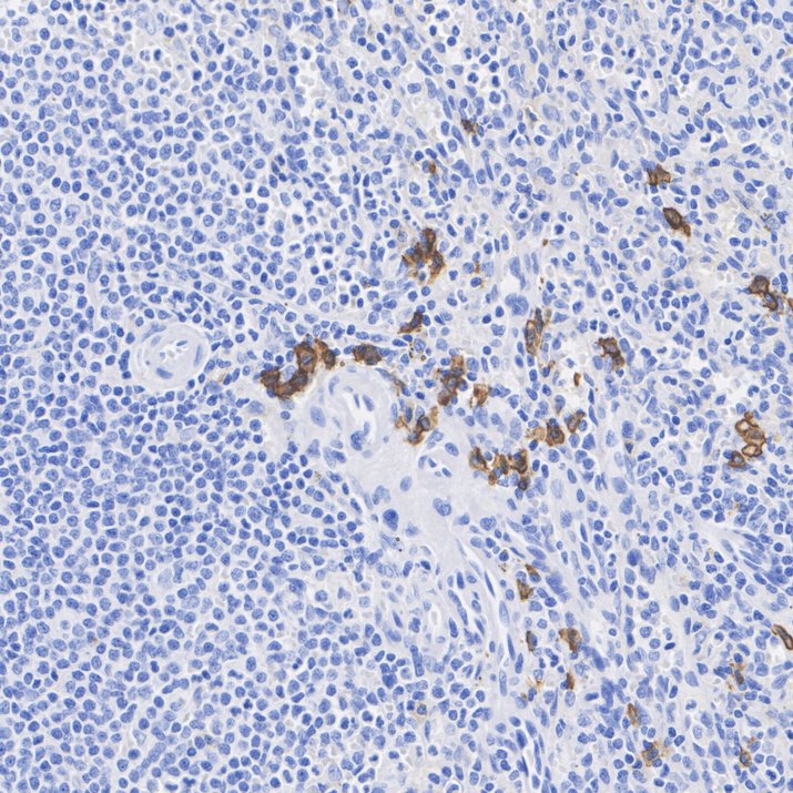
CD38 Recombinant Antibody [PD01-49] - Mouse IgG1 (Chimeric)
Application
-
WB
-
IHC-P
-
FC
-
mIHC
Reactivity
-
Human
BSA and Azide free
-
HA610369
不含抗保成分
Conjugation
-
unconjugated
