Specification
Catalog# ET1701-65
LC3B Recombinant Rabbit Monoclonal Antibody [JJ090-6]
-
WB
-
IF-Cell
-
IHC-P
-
IF-Tissue
-
IP
-
mIHC
-
Human
-
Mouse
-
Rat
-
HA750319
不含抗保成分
-
ET1701-65
含抗保成分
-
unconjugated
Overview
Product Name
LC3B Recombinant Rabbit Monoclonal Antibody [JJ090-6]
Antibody Type
Recombinant Rabbit monoclonal Antibody
Immunogen
Synthetic peptide within human LC3 B aa 1-20.
Species Reactivity
Human, Mouse, Rat
Validated Applications
WB, IF-Cell, IHC-P, IF-Tissue, IP, mIHC
Molecular Weight
Predicted band size: 14/16 kDa
Positive Control
HeLa cells treated with 50μM Chloroquine for 24 hours, HeLa cell lysate, HeLa treated with 50μM Chloroquine for 18 hours cell lysate, C2C12 cell lysate, C2C12 treated with 50μM Chloroquine for 18 hours cell lysate, C6 cell lysate, C6 treated with 50μM Chloroquine for 18 hours cell lysate, mouse brain tissue lysate, rat brain tissue lysate, HCT 116 cell lysate, HCT 116 treated with 50μM Chloroquine for 18 hours cell lysate, U-87 MG cell lysate, C2C12 cells treated with 50μM Chloroquine for 24 hours, C6 cells treated with 50μM Chloroquine for 24 hours, mouse brain tissue, mouse hippocampus tissue, rat brain tissue, rat hippocampus tissue.
Conjugation
unconjugated
Clone Number
JJ090-6
RRID
Product Features
Form
Liquid
Storage Instructions
Shipped at 4℃. Store at +4℃ short term (1-2 weeks). It is recommended to aliquot into single-use upon delivery. Store at -20℃ long term.
Storage Buffer
1*TBS (pH7.4), 0.05% BSA, 40% Glycerol. Preservative: 0.05% Sodium Azide.
Isotype
IgG
Purification Method
Protein A affinity purified.
Application Dilution
-
WB
-
1:2,000-1:5,000
-
IF-Cell
-
1:100-1:200
-
IHC-P
-
1:1,000-1:5,000
-
IF-Tissue
-
1:500-1:1,000
-
IP
-
Use at an assay dependent concentration.
-
mIHC
-
1:100
Applications in Publications
| WB | See 74 publications below |
| IF | See 15 publications below |
| IF-cell | See 4 publications below |
| mIHC | See 2 publications below |
| IHC-P | See 2 publications below |
| IF-Cell | See 1 publications below |
| IHC | See 1 publications below |
| IF-tissue | See 1 publications below |
Species in Publications
| Mouse | See 36 publications below |
| Human | See 34 publications below |
| Rat | See 13 publications below |
| Chicken | See 5 publications below |
| Pig | See 2 publications below |
| Dog | See 1 publications below |
| Ctenopharyngodon | See 1 publications below |
| Sheep | See 1 publications below |
| Hamster | See 1 publications below |
| Grass carp | See 1 publications below |
Target
Function
Microtubule-associated proteins (MAPs) regulate microtubule stability and play critical roles in neuronal development and in maintaining the balance between neuronal plasticity and rigidity. MAP-light chain 3 beta (MAP-LC3β) and MAP-light chain 3 alpha (MAP-LC3α) are subunits of both MAP1A and MAP1B. MAP-LC3β, a homolog of Apg8p, is essential for autophagy and associated to the autophagosome membranes after processing. Two forms of LC3β, the cytosolic LC3-I and the membrane-bound LC3-II, are produced post-translationally. LC3-I is formed by the removal of the C-terminal 22 amino acids from newly synthesized LC3β, followed by the conversion of a fraction of LC3-I into LC3-II. LC3 enhances fibronectin mRNA translation in ductus arteriosus cells through association with 60S ribosomes and binding to an AU-rich element in the 3′ untranslated region of fibronectin mRNA. This facilitates sorting of fibronectin mRNA onto rough endoplasmic reticulum and translation. MAP LC3β may also be involved in formation of autophagosomal vacuoles. It is expressed primarily in heart, testis, brain and skeletal muscle.
Background References
1. Omrane M et al. LC3B is lipidated to large lipid droplets during prolonged starvation for noncanonical autophagy. Dev Cell. 2023 Jul
2. Hwang HJ et al. LC3B is an RNA-binding protein to trigger rapid mRNA degradation during autophagy. Nat Commun. 2022 Mar
Sequence Similarity
Belongs to the ATG8 family.
Tissue Specificity
Most abundant in heart, brain, skeletal muscle and testis. Little expression observed in liver.
Post-translational Modification
The precursor molecule is cleaved by ATG4B to form the cytosolic form, LC3-I. This is activated by APG7L/ATG7, transferred to ATG3 and conjugated to phospholipid to form the membrane-bound form, LC3-II.; The Legionella effector RavZ is a deconjugating enzyme that produces an ATG8 product that would be resistant to reconjugation by the host machinery due to the cleavage of the reactive C-terminal glycine.; Phosphorylation at Thr-12 by PKA inhibits conjugation to phosphatidylethanolamine (PE) (By similarity). Interaction with MAPK15 reduces the inhibitory phosphorylation and increases autophagy activity.
Subcellular Location
Cytoplasm, Cytoplasmic vesicle, Cytoskeleton, Membrane, Microtubule, Mitochondrion.
Synonyms
ATG8F antibody
Autophagy-related protein LC3 B antibody
Autophagy-related ubiquitin-like modifier LC3 B antibody
LC3B antibody
LC3II antibody
MAP1 light chain 3 like protein 2 antibody
MAP1 light chain 3-like protein 2 antibody
MAP1A/1BLC3 antibody
MAP1A/MAP1B LC3 B antibody
MAP1A/MAP1B light chain 3 B antibody
ExpandATG8F antibody
Autophagy-related protein LC3 B antibody
Autophagy-related ubiquitin-like modifier LC3 B antibody
LC3B antibody
LC3II antibody
MAP1 light chain 3 like protein 2 antibody
MAP1 light chain 3-like protein 2 antibody
MAP1A/1BLC3 antibody
MAP1A/MAP1B LC3 B antibody
MAP1A/MAP1B light chain 3 B antibody
MAP1ALC3 antibody
MAP1LC3B a antibody
Map1lc3b antibody
Microtubule associated protein 1 light chain 3 beta antibody
Microtubule-associated protein 1 light chain 3 beta antibody
Microtubule-associated proteins 1A/1B light chain 3B antibody
MLP3B_HUMAN antibody
CollapseImages
-
☑ Cell treatment (CT)
Western blot analysis of LC3B on different lysates with Rabbit anti-LC3B antibody (ET1701-65) at 1/2,000 dilution and competitor's antibody at 1/1,000 dilution.
Lane 1: HeLa cell lysate (20 µg/Lane)
Lane 2: HeLa treated with 50μM Chloroquine for 18 hours cell lysate (20 µg/Lane)
Lane 3: C2C12 cell lysate (20 µg/Lane)
Lane 4: C2C12 treated with 50μM Chloroquine for 18 hours cell lysate (20 µg/Lane)
Lane 5: C6 cell lysate (20 µg/Lane)
Lane 6: C6 treated with 50μM Chloroquine for 18 hours cell lysate (20 µg/Lane)
Lane 7: mouse brain tissue lysate (20 µg/Lane)
Lane 8: rat brain tissue lysate (20 µg/Lane)
Predicted band size: 14/16 kDa
Observed band size: 14/16 kDa
Exposure time: 3 minutes;
4-20% SDS-PAGE gel.
Proteins were transferred to a PVDF membrane and blocked with 5% NFDM/TBST for 1 hour at room temperature. The primary antibody (ET1701-65) at 1/2,000 dilution and competitor's antibody at 1/1,000 dilution were used in 5% NFDM/TBST at 4℃ overnight. Goat Anti-Rabbit IgG - HRP Secondary Antibody (HA1001) at 1/50,000 dilution was used for 1 hour at room temperature. -
☑ Knockdown (KD)
Western blot analysis of LC3B on different lysates with Rabbit anti-LC3B antibody (ET1701-65) at 1/2,000 dilution.
Lane 1: HeLa-si NT cell lysate (10 µg/Lane)
Lane 2: HeLa-si LC3B cell lysate (10 µg/Lane)
Predicted band size: 14/16 kDa
Observed band size: 14/16 kDa
Exposure time: 1 minute; ECL: K1801;
4-20% SDS-PAGE gel.
Proteins were transferred to a PVDF membrane and blocked with 5% NFDM/TBST for 1 hour at room temperature. The primary antibody (ET1701-65) at 1/2,000 dilution was used in 5% NFDM/TBST at 4℃ overnight. Goat Anti-Rabbit IgG - HRP Secondary Antibody (HA1001) at 1/50,000 dilution was used for 1 hour at room temperature. -
☑ Cell treatment (CT)
Western blot analysis of LC3B on different lysates with Rabbit anti-LC3B antibody (ET1701-65) at 1/2,000 dilution.
Lane 1: HCT 116 cell lysate
Lane 2: HCT 116 treated with 50μM Chloroquine for 18 hours cell lysate
Lane 3: U-87 MG cell lysate
Lane 4: C6 cell lysate
Lane 5: Mouse brain tissue lysate
Lane 6: Rat brain tissue lysate
Lysates/proteins at 20 µg/Lane.
Predicted band size: 14/16 kDa
Observed band size: 14/16 kDa
Exposure time: 26 seconds; ECL: K1801;
4-20% SDS-PAGE gel.
Proteins were transferred to a PVDF membrane and blocked with 5% NFDM/TBST for 1 hour at room temperature. The primary antibody (ET1701-65) at 1/2,000 dilution was used in 5% NFDM/TBST at 4℃ overnight. Goat Anti-Rabbit IgG - HRP Secondary Antibody (HA1001) at 1/50,000 dilution was used for 1 hour at room temperature. -
☑ Cell treatment (CT)
Immunocytochemistry analysis of C2C12 cells treated with or without 50μM Chloroquine for 24 hours labeling LC3B with Rabbit anti-LC3B antibody (ET1701-65) at 1/100 dilution.
Cells were fixed in 4% paraformaldehyde for 20 minutes at room temperature, permeabilized with 0.1% Triton X-100 in PBS for 5 minutes at room temperature, then blocked with 1% BSA in 10% negative goat serum for 1 hour at room temperature. Cells were then incubated with Rabbit anti-LC3B antibody (ET1701-65) at 1/100 dilution in 1% BSA in PBST overnight at 4 ℃. Goat Anti-Rabbit IgG H&L (iFluor™ 488, HA1121) was used as the secondary antibody at 1/1,000 dilution. PBS instead of the primary antibody was used as the secondary antibody only control. Nuclear DNA was labelled in blue with DAPI. Beta tubulin (M1305-2, red) was stained at 1/100 dilution overnight at +4℃. Goat Anti-Mouse IgG H&L (iFluor™ 594, HA1126) was used as the secondary antibody at 1/1,000 dilution. -
☑ Cell treatment (CT)
Immunocytochemistry analysis of HeLa cells treated with or without 50μM Chloroquine for 24 hours labeling LC3B with Rabbit anti-LC3B antibody (ET1701-65) at 1/200 dilution.
Cells were fixed in 4% paraformaldehyde for 10 minutes at 37 ℃, permeabilized with 0.05% Triton X-100 in PBS for 20 minutes, and then blocked with 2% negative goat serum for 30 minutes at room temperature. Cells were then incubated with Rabbit anti-LC3B antibody (ET1701-65) at 1/200 dilution in 2% negative goat serum overnight at 4 ℃. Goat Anti-Rabbit IgG H&L (iFluor™ 488, HA1121) was used as the secondary antibody at 1/1,000 dilution. Nuclear DNA was labelled in blue with DAPI.
Beta tubulin (M1305-2, red) was stained at 1/100 dilution overnight at +4℃. Goat Anti-Mouse IgG H&L (iFluor™ 594, HA1126) was used as the secondary antibody at 1/1,000 dilution. -
☑ Cell treatment (CT)
Immunocytochemistry analysis of C6 cells treated with or without 50μM Chloroquine for 24 hours labeling LC3B with Rabbit anti-LC3B antibody (ET1701-65) at 1/100 dilution.
Cells were fixed in 4% paraformaldehyde for 20 minutes at room temperature, permeabilized with 0.1% Triton X-100 in PBS for 5 minutes at room temperature, then blocked with 1% BSA in 10% negative goat serum for 1 hour at room temperature. Cells were then incubated with Rabbit anti-LC3B antibody (ET1701-65) at 1/100 dilution in 1% BSA in PBST overnight at 4 ℃. Goat Anti-Rabbit IgG H&L (iFluor™ 488, HA1121) was used as the secondary antibody at 1/1,000 dilution. PBS instead of the primary antibody was used as the secondary antibody only control. Nuclear DNA was labelled in blue with DAPI. Beta tubulin (M1305-2, red) was stained at 1/100 dilution overnight at +4℃. Goat Anti-Mouse IgG H&L (iFluor™ 594, HA1126) was used as the secondary antibody at 1/1,000 dilution. -
Immunohistochemical analysis of paraffin-embedded mouse brain tissue with Rabbit anti-LC3B antibody (ET1701-65) at 1/5,000 dilution.
The section was pre-treated using heat mediated antigen retrieval with Tris-EDTA buffer (pH 9.0) for 20 minutes. The tissues were blocked in 1% BSA for 20 minutes at room temperature, washed with ddH2O and PBS, and then probed with the primary antibody (ET1701-65) at 1/5,000 dilution for 1 hour at room temperature. The detection was performed using an HRP conjugated compact polymer system. DAB was used as the chromogen. Tissues were counterstained with hematoxylin and mounted with DPX. -
Immunohistochemical analysis of paraffin-embedded mouse hippocampus tissue with Rabbit anti-LC3B antibody (ET1701-65) at 1/5,000 dilution.
The section was pre-treated using heat mediated antigen retrieval with Tris-EDTA buffer (pH 9.0) for 20 minutes. The tissues were blocked in 1% BSA for 20 minutes at room temperature, washed with ddH2O and PBS, and then probed with the primary antibody (ET1701-65) at 1/5,000 dilution for 1 hour at room temperature. The detection was performed using an HRP conjugated compact polymer system. DAB was used as the chromogen. Tissues were counterstained with hematoxylin and mounted with DPX. -
Immunohistochemical analysis of paraffin-embedded rat brain tissue with Rabbit anti-LC3B antibody (ET1701-65) at 1/5,000 dilution.
The section was pre-treated using heat mediated antigen retrieval with Tris-EDTA buffer (pH 9.0) for 20 minutes. The tissues were blocked in 1% BSA for 20 minutes at room temperature, washed with ddH2O and PBS, and then probed with the primary antibody (ET1701-65) at 1/5,000 dilution for 1 hour at room temperature. The detection was performed using an HRP conjugated compact polymer system. DAB was used as the chromogen. Tissues were counterstained with hematoxylin and mounted with DPX. -
Immunohistochemical analysis of paraffin-embedded rat hippocampus tissue with Rabbit anti-LC3B antibody (ET1701-65) at 1/5,000 dilution.
The section was pre-treated using heat mediated antigen retrieval with Tris-EDTA buffer (pH 9.0) for 20 minutes. The tissues were blocked in 1% BSA for 20 minutes at room temperature, washed with ddH2O and PBS, and then probed with the primary antibody (ET1701-65) at 1/5,000 dilution for 1 hour at room temperature. The detection was performed using an HRP conjugated compact polymer system. DAB was used as the chromogen. Tissues were counterstained with hematoxylin and mounted with DPX. -
Fluorescence multiplex immunohistochemical analysis of human gastric cancer (Formalin/PFA-fixed paraffin-embedded sections). Panel A: the merged image of anti-LC3B (ET1701-65, Green), anti-CD31 (M1511-8, Red) and anti-CA-IX (ET1701-51, Yellow) on human gastric cancer. HRP Conjugated UltraPolymer Goat Polyclonal Antibody HA1119/HA1120 was used as a secondary antibody. The immunostaining was performed with the Sequential Immuno-staining Kit (IRISKitCmTSA Kit 900802). The section was incubated in three rounds of staining: in the order of ET1701-65 (1/100 dilution), M1511-8 (1/2,000 dilution) and ET1701-51 (1/100 dilution) for 20 mins at room temperature. Each round was followed by a separate fluorescent tyramide signal amplification system. Heat mediated antigen retrieval with Tris-EDTA buffer (pH 9.0) for 30 mins at 95℃. DAPI (blue) was used as a nuclear counter stain. Image acquisition was performed with Olympus VS200 Slide Scanner.
Please note: All products are "FOR RESEARCH USE ONLY AND ARE NOT INTENDED FOR DIAGNOSTIC OR THERAPEUTIC USE"
Citation
-
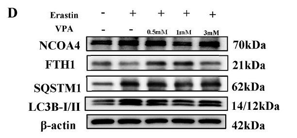
Low-Dose Valproic Acid Ameliorates Osteoporosis by Restoring Redox Homeostasis and Suppressing Ferritinophagy-Dependent Ferroptosis via EZH2/H3K27me3 Signaling
Author: Min Yang
PMID: 40947036
Journal: Free Radical Biology And Medicine
Application: WB
Reactivity: Mouse
Publish date: 2025 Sept
-
Citation
-
Crocin facilitates peripheral nerve regeneration through modulation of the STAT3/Bcl-2/Beclin-1 signaling axis-mediated autophagic pathway
Author: Zipu Hong
PMID: 40913861
Journal: International Immunopharmacology
Application: IF,WB
Reactivity: Rat
Publish date: 2025 Sept
-
Citation
-
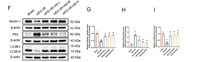
Novel AMPK/ORP8-Lipophagy Axis: A Therapeutic Target for Asiaticoside-Mediated Cardioprotection Against Ischemia-Reperfusion Injury in Hyperlipidemia
Author: Pinfang Kang
PMID: 41027151
Journal: Phytomedicine
Application: WB
Reactivity: Mouse,Rat
Publish date: 2025 Sept
-
Citation
-
Metallothionein 2A alleviates ulcerative colitis by inhibiting ferroptosis in intestinal epithelial cells with Tfrc downregulation
Author: Zichun Hua
PMID: 40945137
Journal: Journal Of Trace Elements In Medicine And Biology
Application: WB
Reactivity: Human
Publish date: 2025 Sept
-
Citation
-
Composition, three-dimensional structure and formation mechanism of the foot and mouth disease virus replication complexes
Author: Bonan Lv, Xingran Wang, Ying Zhou, Zihan Su, Yidan Sun, Yingying Yang, Yang Lu, Zishu Pan, Xiao-Feng Tang, Chao Shen
PMID: 41072624
Journal: Antiviral Research
Application: IF-cell
Reactivity: Hamster
Publish date: 2025 Oct
-
Citation
-
Urolithin A promotes peripheral nerve regeneration via TFEB-mediated mitophagy and NLRP3 inflammasome suppression
Author: Zhe Zhang, Shanying Xiao, Dongbu Tian, Tao Lin, Kongmei Luo, Dong Peng, Yixin Bo, Anhao Guo, Yujie Hu, Long Wu, Hede Yan
PMID: 41172819
Journal: International Immunopharmacology
Application: WB,IF-cell
Reactivity: Rat
Publish date: 2025 Oct
-
Citation
-
ARL3 Enhances ERα Stability via USP10 Deubiquitination to Promote Endocrine Resistance and Drive Mitochondrial Metabolic Reprogramming in HR+ Breast Cancer
Author: Han Li, Yang Liu, Zehao Cai, Kang Li, Shun Gao, Ailin Lan, Dan Shu, Kuan He, Xin Liu, Yang Peng, Shipeng Guo, Haochen Yu, Aishun Jin, Meiying Shen, Shengchun Liu
PMID: 41047477
Journal: Advanced Science
Application: IF-cell
Reactivity: Human
Publish date: 2025 Oct
-
Citation
-
Chlorogenic acid carbon dots inhibit NDV proliferation by suppressing virus-induced mitochondrial autophagy and MAVS degradation in host cells
Author: Qian Yang, Luqing Zhang, Shuyao Yang, Hangyu Li, Yanwen Yang, Yi Liao, Yao Wang, Haibo Feng
PMID: 41255416
Journal: Materials Today Bio
Application: WB
Reactivity: Chicken
Publish date: 2025 Oct
-
Citation
-
Hsa-miR-423-5p selectively loaded in hypoxic exosomes reduces the sensitivity of normoxic hepatocellular carcinoma to sorafenib via autophagy
Author: Shu Bian, Zou Min, Liao Rui, Wen Diguang, Gao Xianzhi, Lu Jiao, Song Hua, Sheng Ziyi, Liu Zuojin, You Yu
PMID: 10.1186/s12935-025-04055-8
Journal: Cancer Cell International
Application: WB
Reactivity: Human
Publish date: 2025 Nov
-
Citation
-
A new vision of Panax ginseng leaf polysaccharide function: multiple roles in improving growth, flesh quality and muscle energy metabolism of sub-adult grass carp (Ctenopharyngodon idella)
Author: Yang Jianrong, Wu Pei, Jiang Weidan, Liu Yang, Ma Yaobin, Jin Xiaowan, Ren Hongmei, Shi Hequn, Zhou Xiaoqiu, Feng Lin
PMID: 10.1186/s40104-025-01256-z
Journal: Journal of Animal Science and Biotechnology
Application: IF-tissue
Reactivity: Grass carp
Publish date: 2025 Nov
-
Citation
-
Lasiodin sensitizes hepatocellular carcinoma cancer to sorafenib via SNARE complex disruption
Author: Maowei Lian, Yunxiang Zhang, Jie Huang, Denglu Wang, Lihua Cao, Xu Li, Dong Tang, Na Niu, Yong Li, Jingdong Li, Chunlei Yu, Xiaocong Xiang
PMID: 10.1016/j.phymed.2025.157603
Journal: Phytomedicine
Application: WB
Reactivity: Human
Publish date: 2025 Nov
-
Citation
-
tRNA-derived fragment tRF-24 drives CELF1 phase separation to promote oncogenic splicing in esophageal squamous cell carcinoma
Author: Hu Yajie, Qin Xin, Gong Li, Pan Ling, Cheng Yufeng
PMID: 10.1186/s13046-025-03553-x
Journal: Journal Of Experimental & Clinical Cancer Research
Application: IHC,WB
Reactivity: Human,Mouse
Publish date: 2025 Nov
-
Citation
-
Anti-atherosclerotic effects of Thymus quinquecostatus Celak extracts in vitro: Regulating macrophage foaming and endothelial cell injury
Author: Huixin Song, Jinjin Yu, Lingli Li, Heping Fan, Yarong Zhang, Yajing Ma, Yuzhi Luo, Dezhu Zhang, Jianguo Meng, Weifeng Li, Xiaofeng Niu
PMID: 10.1016/j.fitote.2025.106996
Journal: Fitoterapia
Application: WB
Reactivity: Mouse
Publish date: 2025 Nov
-
Citation
-
MDMX enhances radiosensitivity in lung adenocarcinoma and squamous cell carcinoma by inhibiting P53-mediated autophagy
Author: Ji Nan-Nan, Li Shu-Ning, Shao Ling, Li Qing, Xu Jun-Nv, Zeng Yue-Can
PMID: 40327296
Journal: Cellular Oncology
Application: WB
Reactivity: Human
Publish date: 2025 May
-
Citation
-
Involvement of the PINK1/Parkin signaling pathway in 4-vinylcyclohexene diepoxide-induced ovary toxicity in rats
Author: Yue Che, Xiaozhu Wang, Qian Li, Xiyi Peng, Zhen Liu, Wenhui Xu, Mei Jing, Ting Wang, Jian Gao, Weiling Wang
PMID: 40451534
Journal: Food And Chemical Toxicology
Application: WB
Reactivity: Rat
Publish date: 2025 May
-
Citation
-
Estrogen promotes autophagy in the mammary epithelial cells of dairy sheep via the CXCL12/CXCR4 axis
Author: Chu Tingting, Tong Jiashun, Zhu Zhongshi, Sun Lei, Cui Jiuzeng, Jiang Yue, Liu Jiaxin, Ahmad Naseer, Zhang Lei, Song Yuxuan
PMID: 40341494
Journal: Journal of Animal Science
Application: WB
Reactivity: Sheep
Publish date: 2025 May
-
Citation
-
EphB receptors modulate neuropathic pain via Ca2+/calpain/autophagy in spinal cord of mice
Author: Ting Zhang, Kai Sun, Xiang Huan, Liwei Wang
PMID: 40407305
Journal: Neurological Research
Application: IF,WB
Reactivity: Mouse
Publish date: 2025 May
-
Citation
-
SCFβ-TrCP targets Ajuba for degradation in a GSK3β-dependent manner in colorectal cancer
Author: Liangshan Li, Feng Zhu, Yupei Liang, Yuanyuan Chen, Yongfu Pan, Lijun Jia, Shiwen Wang, Hu Zhao
PMID: 40367710
Journal: Neoplasia
Application: WB
Reactivity: Human
Publish date: 2025 May
-
Citation
-
Activation of the MEK1-CHK2 axis in macrophages by Staphylococcus aureus promotes mitophagy, resulting in a reduction in bactericidal efficacy
Author: Xiaohu Wu, Xin Guan, Chubin Cheng, Zhantao Deng, Zeng Li, Yuanchen Ma, Yanjie Xie, Qiujian Zheng
PMID: 40437411
Journal: Molecular Medicine
Application: WB
Reactivity: Mouse
Publish date: 2025 May
-
Citation
-
Salidroside can protect against ferroptosis in cardiomyocytes and may be related to the regulation of GGT1
Author: Tianhang Feng, Jing Shi, Jinghua Zhao, Qin Zhao, Tao Wang, Sha Wan, Chen Fan, Sijia Wang, Chunyou Lai, Yutong Yao
PMID: 40438595
Journal: Frontiers In Pharmacology
Application: WB
Reactivity: Mouse
Publish date: 2025 May
-
Citation
-
Branched-chain amino acids induce hyperammonemia via gut-liver axis-mediated ammonia overproduction in laying hens
Author: Huafeng Jian, Mengru Xu, Fang Liu, Libo Zhang, Qiuming Huang, Jiangang Ma, Xiaoting Zou, Xinyang Dong
PMID: 29NOPMID25070101
Journal: Animal Nutrition
Application: WB
Reactivity: Chicken
Publish date: 2025 May
-
Citation
-
Glutaminase-responsive nano-carrier for precise rejuvenation of senescent cells by restoring autophagy in chronic kidney disease treatment
Author: Wentao Zhou, Caini Yu, Tingting Meng, Qi Jiang, Fangying Yu, Hong Yuan
PMID: 40089039
Journal: International Journal Of Pharmaceutics
Application: WB
Reactivity: Mouse
Publish date: 2025 Mar
-
Citation
-
Effect of Benzyl Isothiocyanate on Anaplastic Thyroid Cancer Evaluated by Network Pharmacology Combined with Experiments
Author: Chunmei Ma, Qicheng Zhang, Yan Wang, Dihua Li, Huiying Zhang, Qiang Jia, Wei Zheng, Jian Tan, Ke Xu, Lei Yang, Zhaowei Meng
PMID: 40160743
Journal: ACS Omega
Application: WB
Reactivity: Human
Publish date: 2025 Mar
-
Citation
-
Enhanced SIRT3 expression restores mitochondrial quality control mechanism to reverse osteogenic impairment in type 2 diabetes mellitus
Author: Xian Yansi, Liu Bin, Shen Tao, Yang Lin, Peng Rui, Shen Hongdou, An Xueying, Wang Yutian, Ben Yu, Jiang Qing, Guo Baosheng
PMID: 40025004
Journal: Bone Research
Application: WB
Reactivity: Mouse
Publish date: 2025 Mar
-
Citation
-
Extracellular vesicles derived from mesenchymal stem cells alleviate renal fibrosis via the miR-99b-5p/mTOR/autophagy axis in diabetic kidney disease
Author: Li Rongrong, Tao Hongyan, Pan Kai, Li Rui, Guo Zhikun, Chen Xiaoniao, Li Zongjin
PMID: 40103007
Journal: Stem Cell Research & Therapy
Application: WB
Reactivity: Mouse
Publish date: 2025 Mar
-
Citation
-
Assembling Ruthenium Complexes to Form Ruthenosome Unleashing Ferritinophagy-Mediated Tumor Suppression
Author: Caiting Meng, Shuaijun Li, Yana Ma, Hongwen Yu, Jiaqi Song, Junchao Zhi, Bin Zhu, Liang Shao, Xinling Liu, Lulu Yang, Mingzhen Zhang, Ye Zhang, Guanying Li
PMID: 40040589
Journal: ACS Applied Nano Materials
Application: WB
Reactivity: Human
Publish date: 2025 Mar
-
Citation
-
PTPN2 inhibits TG-induced ERS-initiated TNBC apoptosis through the mitochondrial pathway
Author: An Yanhe, Lan Jinxin, Tang Jiaping, Luo Na
PMID: 40481083
Journal: Scientific Reports
Application: WB
Reactivity: Human
Publish date: 2025 Jun
-
Citation
-
β-propeller protein-associated neurodegeneration protein WDR45 regulates stress granule disassembly via phase separation with Caprin-1
Author: Li Yin, Fang Jie, Ding Yuqi, Zhang Xilong, Liu Ying, Qiu Wanting, Xu He, Kang Yunzhe, Chen Jiayu, Gao Yanyan, Zhao Yan G., Yang Peiguo, Wang Bo, Tian Wenmin, Chen Yang, Bi Wenjian, Zhang Peipei
PMID: 40473629
Journal: Nature Communications
Application: WB,IF
Reactivity: Human
Publish date: 2025 Jun
-
Citation
-
Shizhifang alleviates hyperuricemia -induced renal injury by inhibiting Drp1 and maintaining mitochondrial homeostasis in renal tubular epithelial cells
Author: Zhiyuan Wu, Yi Zhou, Feng Yang, Luobing Wang, Feng Wu, Weiwei Liu, Jiandong Gao
PMID: 40499801
Journal: Journal Of Ethnopharmacology
Application: IF,WB
Reactivity: Rat,Mouse,Human
Publish date: 2025 Jun
-
Citation
-
Beta-asarone alleviated cerebral ischemia/reperfusion injury by targeting PINK1/Parkin-dependent mitophagy
Author: Yujiao Wang, Daojun Xie, Shijia Ma, Yuhe Wang, Chengcheng Zhang, Zhuyue Chen
PMID: 40490171
Journal: European Journal Of Pharmacology
Application: IF
Reactivity: Rat
Publish date: 2025 Jun
-
Citation
-
Sodium butyrate attenuates lipid metabolism disorder via improving mitochondrial function and activating autophagy in LMH cells
Author: Sasa Miao, Mengru Xu, Fang Liu, Xinyang Dong, Xiaoting Zou, Tao Zeng, Lizhi Lu
PMID: 40592290
Journal: Poultry Science
Application: WB,IF
Reactivity: Chicken
Publish date: 2025 Jun
-
Citation
-
Tumor metabolome remolded by low dose mitochondrial uncoupler elicites robust CD8+ T cell response
Author: Jiang Xiaoxiao, Fan Zhijin, Zhang Zhenzhen, Zeng Fanchu, Sun Tong, Li Yuchen, Huang Guojia, Nie Liming
PMID: 40595481
Journal: Cell Death Discovery
Application: WB
Reactivity: Mouse
Publish date: 2025 Jul
-
Citation
-
Kindlin-1 promotes mitophagy by inhibiting PINK1 degradation to enhance hepatocellular carcinoma progression and modulates sensitivity to donafenib
Author: Huaxing Ma, Guangling Ou, Bibo Wu, Hongwei Ding, Yijie Zhang, Fei Xia, Zixuan Shen, Kunyang Zhao, Chaochun Chen, Long Wu, Jin Lei, Yuan Xu, Xueke Zhao, Kun Cao, Haiyang Li
PMID: 40744334
Journal: Cellular Signalling
Application: WB
Reactivity: Human
Publish date: 2025 Jul
-
Citation
-
Aldometanib mitigates LPS-induced Lung fibroblasts injury through the activation of AMPK-mediated signaling pathways
Author: Fangfang Shao, Jianlong Xie, Lili Liang, Shuling Chen, Rilin Zhang
PMID: 40691951
Journal: Toxicon
Application: WB
Reactivity: Human
Publish date: 2025 Jul
-
Citation
-
ER-phagy Activation by AMFR Attenuates Cardiac Fibrosis Post-Myocardial Infarction via mTORC1 Pathway
Author: Zhixiang Wang, Kaifan Niu, Wei Liu, Xinyun Wang, Boshen Yang, Taixi Li, Yizhi Chen, Yuanyuan Jin, Yu Chen, Yangyi Lin, Xian Jin
PMID: 40673870
Journal: Advanced Science
Application: IF
Reactivity: Mouse
Publish date: 2025 Jul
-
Citation
-
Long noncoding RNA GCH1 mediates mitophagy via the PTEN-induced kinase 1/Parkin pathway to drive chondrocyte dysfunction and cartilage degeneration in osteoarthritis
Author: Gang Zeng, Yujun Sun, Taihe Liu, Wenzhou Liu, Yanbo Chen, Jionglin Wu, Jiayuan Zheng, Weidong Song, Yue Ding
PMID: 40634791
Journal: Animal Models And Experimental Medicine
Application: IF,WB
Reactivity: Human
Publish date: 2025 Jul
-
Citation
-
Multifunctional nanomedicine targeting the 'seed-and-soil' of hair follicles via simultaneous alleviation of oxidative stress and activation of autophagy for androgenetic alopecia therapy
Author: Yuanzheng Chen, Qubo Zhu, Yanbin Zhou, Wenhu Zhou, Yan Chen
PMID: 40786658
Journal: Materials Today Bio
Application: WB,IF
Reactivity: Mouse,Human
Publish date: 2025 Jul
-
Citation
-
Integrated transcriptomics and metabolomics studies reveal the therapeutic effects of Astragalus polysaccharides on cancer cachexia muscle atrophy
Author: Tian Zhihan, Wang Yong, Liu Xue, Xin Xin, Liu Shuai, Qu Yiwei, Li Ziyuan, Su Xiaoyu, Ma Dufang
PMID: 40684040
Journal: Scientific Reports
Application: WB
Reactivity: Mouse
Publish date: 2025 Jul
-
Citation
-
Inhibition of CD36 ameliorates mouse spinal cord injury by accelerating microglial lipophagy
Author: Wang Bei-ni, Du An-yu, Chen Xiang-hang, Huang Ting, Mamun Abdullah Al, Li Ping, Du Si-ting, Feng Yan-zheng, Jiang Lin-yuan, Xu Jie, Wang Yu, Wang Shuang-shuang, Kim Kwonseop, Zhou Kai-liang, Wu Yan-qing, Hu Si-wang, Xiao Jian
PMID: 39880928
Journal: Acta Pharmacologica Sinica
Application: WB,IF
Reactivity: Mouse
Publish date: 2025 Jan
-
Citation
-
Inhibiting autophagy selectively prunes dysfunctional tumor vessels and optimizes the tumor immune microenvironment
Author:
PMID: 10.7150/thno.98285
Journal: Theranostics
Application: mIHC
Reactivity: Human
Publish date: 2025 Jan
-
Citation
-
Parkin inhibits iron overload-induced cardiomyocyte ferroptosis by ubiquitinating ACSL4 and modulating PUFA-phospholipids metabolism
Author:
PMID: 10.1016/j.apsb.2024.12.027
Journal: Acta Pharmaceutica Sinica B
Application: WB
Reactivity: Mouse
Publish date: 2025 Jan
-
Citation
-
Inhibition of CD36 ameliorates mouse spinal cord injury by accelerating microglial lipophagy
Author:
PMID: 10.1038/s41401-024-01463-w
Journal: ACTA PHARMACOLOGICA SINICA
Application: WB,IF
Reactivity: Mouse
Publish date: 2025 Jan
-
Citation
-
Inhibiting autophagy selectively prunes dysfunctional tumor vessels and optimizes the tumor immune microenvironment
Author: Wanting Hou, Chaoxin Xiao, Ruihan Zhou, Xiaohong Yao, Qin Chen, Tongtong Xu, Fujun Cao, Yulin Wang, Xiaoying Li, Ouying Yan, Xiaolin Ai, Cheng Yi, Dan Cao, Chengjian Zhao
PMID: 39744218
Journal: Theranostics
Application: mIHC
Reactivity: Human
Publish date: 2025 Jan
-
Citation
-
Recombinant Porcine FGF1 Promotes Muscle Stem Cell Proliferation and Mitochondrial Function for Cultured Meat Production
Author: Qingying Liu, Lianghua Xie, Wei Chen
PMID: 39772551
Journal: Journal Of Agricultural And Food Chemistry
Application: WB
Reactivity: Pig
Publish date: 2025 Jan
-
Citation
-
Parkin inhibits iron overload-induced cardiomyocyte ferroptosis by ubiquitinating ACSL4 and modulating PUFA-phospholipids metabolism
Author: Dandan Xiao, Wenguang Chang, Xiang Ao, Lin Ye, Weiwei Wu, Lin Song, Xiaosu Yuan, Luxin Feng, Peiyan Wang, Yu Wang, Yi Jia, Xiaopeng Tang, Jianxun Wang
PMID: 40370554
Journal: Acta Pharmaceutica Sinica B
Application: WB
Reactivity: Mouse
Publish date: 2025 Jan
-
Citation
-
Pectin-Zein-IPA nanoparticles promote functional recovery and alleviate neuroinflammation after spinal cord injury
Author: Chen Xianghang, Wang Beini, Al Mamun Abdullah, Du Kaiyi, Wang Shengfu, Hu Qianqian, Chen Xinyuan, Lu Yang, Du Anyu, Wu Yueqi, Shao Jiaqin, Wang Shuangshuang, Jiang Chang, Zhou Kailiang, Hu Siwang, Xiao Jian
PMID: 40016738
Journal: Journal Of Nanobiotechnology
Application: WB
Reactivity: Mouse
Publish date: 2025 Feb
-
Citation
-
Hydrogen sulfide improves depression-like behaviors in CUMS-induced mice by regulating autophagy
Author: Zhaoke Ling, Qingqing Kong, Zhiqiang He, Xin Hao, Ruiyao Liu, Jie Liu, Yushi Wang, Jiao Liu, Wenlong Du, Yi Liu
PMID: 40023886
Journal: Psychoneuroendocrinology
Application: WB
Reactivity: Mouse,Rat
Publish date: 2025 Feb
-
Citation
-
Almonertinib inhibits liver cancer progression by triggering autophagy-dependent ferroptosis through inhibition of the PI3K/Akt1/mTOR pathway
Author: Lulu Liang, Xueshuang Wang, Baier Sun, Yipeng Sun, Jing Chen, Jiebang Jiang, Li Meng, Sisi He, Rongpeng Li, Fei Wang
PMID: 10.1016/j.bcp.2025.117628
Journal: Biochemical Pharmacology
Application: WB
Reactivity: Human
Publish date: 2025 Dec
-
Citation
-
USP38 regulates autophagy-dependent ferroptosis by deubiquitinating CTNNB1 in melanoma
Author: Xin Chu, Wenjin Wang
PMID: 10.1016/j.ijbiomac.2025.149611
Journal: International Journal Of Biological Macromolecules
Application: WB
Reactivity: Human
Publish date: 2025 Dec
-
Citation
-
Hesperetin alleviates liver fibrosis by improving intestinal microbiota composition and regulating hepatic stellate cell autophagy
Author: Xianxian Li, Jingxia Xu, Zhenkui Ren, Junhou Lu, Xuxian Wu, Sha Wu, Jianwei Xu
PMID: 40885231
Journal: European Journal Of Pharmacology
Application: WB
Reactivity: Mouse,Human
Publish date: 2025 Aug
-
Citation
-
Madecassoside and Madecassic Acid Mitigates Diabetic Nephropathy via Podocyte Autophagy and Gut Microbiota in mice
Author: Yinhua Ni, Haimei Du, Xinqing Wu, Yuxiang Pan, Wenlong Yang, Liujie Zheng, Yifan Zheng, Haojie Jin, Zhengwei Fu, Cheguo Cai, Juan Jin, Qiang He
PMID: 40783011
Journal: Journal Of Nutritional Biochemistry
Application: IF,WB
Reactivity: Mouse
Publish date: 2025 Aug
-
Citation
-
ENO1 Regulates Apoptosis Induced by Acute Cold Stress in Bovine Mammary Epithelial Cells
Author: Na Shen, Jie Wang, Jiayu Liao, Hengwei Yu, Wenqiang Sun, Xianbo Jia, Songjia Lai
PMID: 40941354
Journal: Animals
Application:
Reactivity:
Publish date: 2025 Aug
-
Citation
-
Exosomes Extracted from Human Umbilical Cord MSCs Contribute to Osteoarthritic Cartilage and Chondrocytes Repair Through Enhancing Autophagy While Suppressing the Wnt/β-Catenin Pathway
Author: Qin Shangzhu, Zhang Aijie, Duan Lian, Lin Fang, Zhao Mingcai
PMID: 40232653
Journal: Tissue Engineering And Regenerative Medicine
Application: WB
Reactivity: Human
Publish date: 2025 Apr
-
Citation
-
SDF2L1 downregulation mediates high glucose-caused Schwann cell dysfunction by inhibiting nuclear import of TFEB and CREB via KPNA3
Author: Tingting Jin, Fan Li, Wandi Wei, Qiuli Li, Yue Gao, Chao Yuwen, Yuanyuan Sun, Wenhui Li, Lin Zhu, Jun Hao
PMID: 40294738
Journal: Experimental Neurology
Application: WB,IF
Reactivity: Mouse,Rat
Publish date: 2025 Apr
-
Citation
-
NELL2, a novel osteoinductive factor, regulates osteoblast differentiation and bone homeostasis through fibronectin 1/integrin-mediated FAK/AKT signaling
Author:
PMID: 40210857
Journal:
Application:
Reactivity:
Publish date: 2025 Apr
-
Citation
-
Genipin promotes the apoptosis and autophagy of neuroblastoma cells by suppressing the PI3K/AKT/mTOR pathway
Author: Liu Xinying,et al
PMID: 39215133
Journal: Scientific Reports
Application: WB
Reactivity: Human
Publish date: 2024 Sep
-
Citation
-
Developing patient-derived organoids to identify JX24120 inhibit SAMe synthesis in endometrial cancer by targeting MAT2B
Author: Chunxue Zhang,et al
PMID: 39293586
Journal: Pharmacological Research
Application: WB
Reactivity: Mouse
Publish date: 2024 Sep
-
Citation
-
Overcoming multi-drug resistance in SCLC: a synergistic approach with venetoclax and hydroxychloroquine targeting the lncRNA LYPLAL1-DT/BCL2/BECN1 pathway
Author: Shuxin Li,et al
PMID: 39478582
Journal: Molecular Cancer
Application: WB
Reactivity: Mouse
Publish date: 2024 Nov
-
Citation
-
Loss of CHCHD2 Stability Coordinates with C1QBP/CHCHD2/CHCHD10 Complex Impairment to Mediate PD-Linked Mitochondrial Dysfunction
Author: Ren Yanlin,et al
PMID: 38453793
Journal: Molecular Neurobiology
Application: WB
Reactivity: Mouse
Publish date: 2024 Mar
-
Citation
-
Peptidyl-prolyl isomerase F as a prognostic biomarker associated with immune infiltrates and mitophagy in lung adenocarcinoma
Author: Zitong Feng, Lin Yuan, Luyuan Ma, Wenhao Yu, Fayez Kheir, Lukas Käsmann, Wolfgang M. Brueckl, Kai Jin, Dingxin Wang, Yi Shen, Rongyang Li, Hui Tian
PMID: 38973949
Journal: Translational Lung Cancer Research
Application: WB
Reactivity: Human
Publish date: 2024 Jun
-
Citation
-
Adenosine A2A receptor antagonist KW6002 protects against A53T mutant alpha-synuclein-induced brain damage and neuronal apoptosis in Parkinson's disease mice by restoring autophagic flux
Author: Hu Qidi,et al
PMID: 38157926
Journal: Neuroscience Letters
Application: WB,IF-Cell
Reactivity: Mouse
Publish date: 2024 Jan
-
Citation
-
miR-193b-5p promotes GCRV replication by inhibiting autophagy via targeting deptor in grass carp (Ctenopharyngodon idellus)
Author: Hongyan Yu, Zheyan Chen, Qiaozhen Yu, Yubang Shen, Lang Gui, Xiaoyan Xu, Jiale Li
PMID: 38365163
Journal: Fish & Shellfish Immunology
Application: WB
Reactivity: Ctenopharyngodon
Publish date: 2024 Feb
-
Citation
-
Harmine ameliorates CCl4-induced acute liver injury through suppression of autophagy and inflammation
Author: Yajing Ma, Wenqi Li, Qing Yao, Yang Liu, Jinjin Yu, Lulu Zang, Siqi Wang, Lili Zhou, Sha Wen, Yuzhi Luo, Weifeng Li, Xiaofeng Niu
PMID: 38306830
Journal: International Immunopharmacology
Application: WB
Reactivity: Mouse
Publish date: 2024 Feb
-
Citation
-
Angong Niuhuang Pill pretreatment alleviates cerebral ischemia-reperfusion injury by inhibiting excessive autophagy through the SIRT1-H4K16ac axis
Author: Lihan Wang,et al
PMID: 39643020
Journal: Journal Of Ethnopharmacology
Application: WB
Reactivity: Rat
Publish date: 2024 Dec
-
Citation
-
Deep Sequencing Identified miR-193b-3p as a Positive Regulator of Autophagy Targeting Akt3 in Ctenopharyngodon idella CIK Cells During GCRV Infection
Author: Hongyan Yu, Zheyan Chen, Yuting Liu, Yubang Shen, Lang Gui, Junqiang Qiu, Xiaoyan Xu, Jiale Li
PMID: 38670410
Journal: Fish & Shellfish Immunology
Application:
Reactivity:
Publish date: 2024 Apr
-
Citation
-
Puerarin enhances TFEB-mediated autophagy and attenuates ROS-induced pyroptosis after ischemic injury of random-pattern skin flaps
Author: Lai Yingying,et al
PMID: 38679118
Journal: European Journal Of Pharmacology
Application: WB
Reactivity: Human
Publish date: 2024 Apr
-
Citation
-
CL4-modified exosomes deliver lncRNA DARS-AS1 siRNA to suppress triple-negative breast cancer progression and attenuate doxorubicin resistance by inhibiting autophagy
Author:
PMID: 37544559
Journal: International Journal Of Biological Macromolecules
Application: IHC-P
Reactivity: Mouse
Publish date: 2023 Oct
-
Citation
-
PKD2/polycystin-2 inhibits LPS-induced acute lung injury in vitro and in vivo by activating autophagy
Author: Pan, F., Bu, L., Wu, K., Wang, A., & Xu, X.
PMID: 37198573
Journal: BMC Pulmonary Medicine
Application: WB
Reactivity: Human
Publish date: 2023 May
-
Citation
-
Alpha‐ketoglutarate up‐regulates autophagic activity in peri‐implant environment and enhances dental implant osseointegration in osteoporotic mice
Author:
PMID: 36734077
Journal: Journal Of Clinical Periodontology
Application: IHC-P
Reactivity: Mouse
Publish date: 2023 May
-
Citation
-
Inhibition of STX17–SNAP29–VAMP8 complex formation by costunolide sensitizes ovarian cancer cells to cisplatin via the AMPK/mTOR signaling pathway
Author:
PMID: 37060961
Journal: Biochemical Pharmacology
Application: IF-cell
Reactivity: Human
Publish date: 2023 Jun
-
Citation
-
Activation of autophagy inhibits the activation of NLRP3 inflammasome and alleviates sevoflurane-induced cognitive dysfunction in elderly rats
Author: Zhou, J., Zhang, C., Fang, X., Zhang, N., Zhang, X., & Zhu, Z.
PMID: 36709248
Journal: BMC Neuroscience
Application: WB
Reactivity: Rat
Publish date: 2023 Jan
-
Citation
-
Micro/nano-modified titanium surfaces accelerate osseointegration via Rab7-dependent mitophagy
Author:
PMID: 36511190
Journal: Biomaterials Science
Application: WB
Reactivity: Mouse,Rat,Dog
Publish date: 2023 Jan
-
Citation
-
Gomisin N attenuated cerebral ischemia-reperfusion injury through inhibition of autophagy by activating the PI3K/AKT/mTOR pathway
Author:
PMID: 36634381
Journal: Phytomedicine
Application: WB
Reactivity: Mouse,Rat
Publish date: 2023 Feb
-
Citation
-
Yap1-Usp14 Axis Inhibits Neuronal Mitophagy During Neonatal Hypoxia–Ischemia Encephalopathy by Regulation of Beclin-1 Ubiquitination in Mouse
Author:
PMID: 37062801
Journal: Molecular Neurobiology
Application: WB
Reactivity: Mouse
Publish date: 2023 Aug
-
Citation
-
TET2 is required to suppress mTORC1 signaling through urea cycle with therapeutic potential
Author: He, J., Lin, M., Zhang, X., Zhang, R., Tian, T., Zhou, Y., Dong, W., Yang, Y., Sun, X., Dai, Y., Xu, Y., Zhang, Z., Xu, M., Lei, Q. Y., Xu, Y., & Lv, L.
PMID: 37550284
Journal: Cell Discovery
Application: WB
Reactivity: Human
Publish date: 2023 Aug
-
Citation
-
Discovery of Novel 1,2,3,4-Tetrahydrobenzofuro[2,3-c]pyridine Histone Deacetylase Inhibitors for Efficient Treatment of Hepatocellular Carcinoma
Author:
PMID: 37498552
Journal: Journal Of Medicinal Chemistry
Application: WB
Reactivity: Human
Publish date: 2023 Aug
-
Citation
-
MFAP2 promotes the progression of oral squamous cell carcinoma by activating the Wnt/β-catenin signaling pathway through autophagy: MFAP2 and autophagy-induced OSCC progression
Author: Hao Zhang, Si Shen, Chong Feng, Gang Chen, Xinxing Wang
PMID: 37592847
Journal: Acta Biochimica Et Biophysica Sinica
Application: IF,WB
Reactivity: Human
Publish date: 2023 Aug
-
Citation
-
Bone marrow mesenchymal stem cells facilitate diabetic wound healing through the restoration of epidermal cell autophagy via the HIF-1α/TGF-β1/SMAD pathway
Author: Shi, Y., Wang, S., Zhang, W., Zhu, Y., Fan, Z., Huang, Y., Li, F., & Yang, R.
PMID: 35841007
Journal: Stem Cell Research & Therapy
Application: WB
Reactivity: Human
Publish date: 2022 Jul
-
Citation
-
EZH2 targeting to improve the sensitivity of acquired radio-resistance bladder cancer cells
Author: Zhang, X., Ma, X., Wang, Q., & Kong, Z.
PMID: 34952334
Journal: Translational Oncology
Application: WB
Reactivity: Human
Publish date: 2022 Feb
-
Citation
-
Protective Effect of Grape Seed Proanthocyanidins on Oxidative Damage of Chicken Follicular Granulosa Cells by Inhibiting FoxO1-Mediated Autophagy
Author: Zhou, S., Zhao, A., Wu, Y., Mi, Y., & Zhang, C.
PMID: 35242756
Journal: Frontiers In Cell And Developmental Biology
Application: WB,IF
Reactivity: Chicken
Publish date: 2022 Feb
-
Citation
-
Protective Effect of Follicle-Stimulating Hormone on DNA Damage of Chicken Follicular Granulosa Cells by Inhibiting CHK2/p53
Author: Zhou, S., Zhao, A., Wu, Y., Bao, T., Mi, Y., & Zhang, C.
PMID: 35455970
Journal: Cells
Application: WB
Reactivity: Chicken
Publish date: 2022 Apr
-
Citation
-
Lactobacillus plantarum postbiotics trigger AMPK-dependent autophagy to suppress Salmonella intracellular infection and NLRP3 inflammasome activation
Author: Wu, Y., Hu, A., Shu, X., Huang, W., Zhang, R., Xu, Y., & Yang, C.
PMID: 37052047
Journal: Journal Of Cellular Physiology
Application: WB
Reactivity: Pig
Publish date: 2022 Apr
-
Citation
-
PPARβ/δ accelerates bone regeneration in diabetic mellitus by enhancing AMPK/mTOR pathway-mediated autophagy
Author: Chen, M., Jing, D., Ye, R., Yi, J., & Zhao, Z.
PMID: 34736532
Journal: Stem Cell Research & Therapy
Application: WB
Reactivity: Rat
Publish date: 2021 Nov
-
Citation
-
Lithium chloride promotes osteogenesis and suppresses apoptosis during orthodontic tooth movement in osteoporotic model via regulating autophagy. Bioactive materials, 6(10), 3074–3084.
Author: Huang, L., Yin, X., Chen, J., Liu, R., Xiao, X., Hu, Z., He, Y., & Zou, S.
PMID: 33778189
Journal: Bioactive Materials
Application: WB
Reactivity: Mouse
Publish date: 2021 Mar
-
Citation
-
Fangchinoline exerts anticancer effects on colorectal cancer by inducing autophagy via regulation AMPK/mTOR/ULK1 pathway. Biochemical pharmacology, 186, 114475.
Author: Xiang, X., Tian, Y., Hu, J., Xiong, R., Bautista, M., Deng, L., Yue, Q., Li, Y., Kuang, W., Li, J., Liu, K., Yu, C., & Feng, G.
PMID: 33609560
Journal: Biochemical Pharmacology
Application: WB
Reactivity: Human
Publish date: 2021 Apr
-
Citation
-
TPGS-1000 exhibits potent anticancer activity for hepatocellular carcinoma in vitro and in vivo
Author:
PMID: 31986488
Journal: Aging (Albany Ny)
Application: WB
Reactivity: Human
Publish date: 2020 Jan
-
Citation
-
Sinomenine attenuates septic‐associated lung injury through the Nrf2‐Keap1 and autophagy
Author: Fengjie Huang
PMID: 31729764
Journal: Journal Of Pharmacy And Pharmacology
Application: WB
Reactivity: Mouse
Publish date: 2019 Feb
-
Citation
Products with the same target and pathway
LC3B Recombinant Antibody [JJ090-6] - Mouse IgG1 (Chimeric)
Application: WB,IF-Cell,IHC-P
Reactivity: Human,Mouse,Rat
Conjugate: unconjugated
LC3B Recombinant Antibody [JJ090-6] - Mouse IgG1 (Chimeric) - BSA and Azide free
Application: WB,IF-Cell,IHC-P
Reactivity: Human,Mouse,Rat
Conjugate: unconjugated
LC3B Recombinant Rabbit Monoclonal Antibody [JJ090-6] - BSA and Azide free
Application: WB,IF-Cell,IHC-P,IF-Tissue,IP
Reactivity: Human,Mouse,Rat
Conjugate: unconjugated
