HRP Conjugated Goat anti-Rabbit IgG polyclonal Antibody
Specification
Catalog# HA1001
HRP Conjugated Goat anti-Rabbit IgG polyclonal Antibody
-
WB
-
ELISA
-
IHC-P
-
Rabbit
Overview
Product Name
HRP Conjugated Goat anti-Rabbit IgG polyclonal Antibody
Antibody Type
Goat Polyclonal Antibody
Immunogen
Rabbit IgG (H+L).
Product Specificity
To minimize cross-reactivity, the HRP conjugated goat anti-rabbit IgG (H+L) antibodies have been highly cross-adsorbed against human IgG and Mouse IgG.
Species Reactivity
Rabbit
Validated Applications
WB, ELISA, IHC-P
Conjugation
HRP
Product Features
Form
Liquid
Storage Instructions
Store at +4℃ after thawing. Aliquot store at -20℃. Avoid repeated freeze / thaw cycles.
Storage Buffer
1*TBS (pH7.4), 0.5%BSA, 50% Glycerol.
Isotype
IgG
Purification Method
Immunogen affinity purified.
Application Dilution
-
WB
-
1:50,000~1:100,000
-
ELISA
-
1:5,000~1:10,000
-
IHC-P
-
1:100-1:200
Applications in Publications
WB | See 570 publications below |
IHC-P | See 31 publications below |
IF | See 20 publications below |
ELISA | See 10 publications below |
Co-IP | See 2 publications below |
IF-cell | See 2 publications below |
IHC | See 2 publications below |
IHF | See 1 publications below |
RIP | See 1 publications below |
ChIP | See 1 publications below |
Dot Blot | See 1 publications below |
Species in Publications
Target
Function
Whole IgG antibodies are isolated as intact molecules from antisera by immunoaffinity chromatography. They have an Fc portion and two antigen binding Fab portions joined together by disulfide bonds and therefore they are divalent. The average molecular weight is reported to be about 160 kDa. The whole IgG form of antibodies is suitable for the majority of immunodetection procedures and is the most cost effective. Horseradish peroxidase (HRP) conjugates are prepared by a modified Nakane and Kawaoi procedure (J. Histochem. Cytochem. 1974. 22, 1084). Peroxidase conjugates are commonly used for immunohistochemistry, Western blotting, and ELISA. Affinity-purified anti-horseradish peroxidase and conjugates are available for detection of horseradish peroxidase antigen or for signal amplification of HRP-containing reagents. For immunostaining of mammalian cells, an advantage of using anti-horseradish peroxidase is reduced background, since the antibody does not recognize the endogenous peroxidase-like enzymes found in those cells.
Background References
暂无
Images
-
Western blot analysis of rabbit anti-GAPDH antibody (ET1601-4,1/2000) and rabbit anti-GST3 antibody (ER1802-63, 1/1000) with K562 Cell and A549 Cell lysates (All lanes proteins at 10 µg per lane). Proteins were transferred to a PVDF membrane and blocked with 5% BSA in PBS for 1 hour at room temperature. The primary antibody was used in 5% BSA at room temperature for 2 hours. Goat anti-rabbit IgG -HRP) (HA1001) was used for 1 hour at room temperature at 1:40,000 (Lane A), 1:80,000 (Lane B), 1:160,000 (Lane C) and 1:320,000 (Lane D).
Exposure time: 60 seconds -
The Cross-reactions of the secondary antibody (HA1001) with Mouse IgG and Human IgG.
Proteins were transferred to a PVDF membrane and blocked with 5% BSA in PBS for 1 hour at room temperature. Goat anti-rabbit IgG -HRP (HA1001) was used for 1 hour at room temperature at 1:40,000 (Lane A) and 1:180,000 (Lane B).
Exposure time: 2 minutes
Please note: All products are "FOR RESEARCH USE ONLY AND ARE NOT INTENDED FOR DIAGNOSTIC OR THERAPEUTIC USE"
Citation
-
Trehalose Acts as a Mediator: Imbalance in Brain Proteostasis Induced by Polystyrene Nanoplastics via Gut Microbiota Dysbiosis during Early Life
Author: Ge Yang, Min Li, Xinyue Zheng, Xinyue Chen, Yang Peng, Jinghan Li, Shuiqing Yang, Hao Chen, Yifei Wang, Haiying Zhang, Cunyi Gong, Fei Hu, Jian Wan, Zhihong Zhu, Ling Zhang, Rui Li
PMID: 40359452
Journal: ACS Applied Nano Materials
Application: WB
Reactivity: Mouse
Publish date: 2025 May
-
Citation
-
Attenuating Effect of a Polyphenol Ellagic Acid on Ovarian Aging by Inhibiting the Ferroptosis Pathway in Low-Yield Laying Chickens
Author: Qiongyu Yuan, Xinyu Wang, Yingyu Xiao, Zhaoyu Yang, Xiangyu Cai, Wanyue Gao, Yuling Mi, Caiqiao Zhang
PMID: 40427495
Journal: Antioxidants
Application: WB
Reactivity: Chicken
Publish date: 2025 May
-
Citation
-
Tamoxifen regulates ferroptosis of hepatocytes by targeting SLC1A5 to activate hepatic stellate cells and liver fibrosis
Author: Sha Shi, Meiling Zhang, Chengkai Zhu, Shanhao Zhu, Jie Yu, Qi Sui, Jiaqi Xu, Juan Ren, Jingnan Zhang, Peng Chen, Yi Zhang
PMID: 40436235
Journal: Chemico-Biological Interactions
Application: WB
Reactivity: Mouse,Human
Publish date: 2025 May
-
Citation
-
Dynamic bidirectional regulation between Stk38 and rabies virus M protein coordinates apoptosis progression during neurotropic infection
Author: Shujie Wang, Hao Zhou, Xi Zhang, Jingjing Cao, Taohong Lei, Ming Chen, Yulin Zhang, Yunbin Xu
PMID: 40398756
Journal: International Journal Of Biological Macromolecules
Application: WB
Reactivity: Human
Publish date: 2025 May
-
Citation
-
Iodine-131 induces ferroptosis and synergizes with sulfasalazine in differentiated thyroid cancer cells via suppressing SLC7A11
Author: Li Ling, Jinhe Zhang, Xiao Zhang, Peiqi Wang, Mingjun Ma, Bingling Yin
PMID: 40458733
Journal: Frontiers In Oncology
Application: WB
Reactivity: Human
Publish date: 2025 May
-
Citation
-
TRPM2 channels mediate ROS-induced actin remodeling and cell migration of prostate cancer cells
Author: Pengwei Qi, Jingting Zhao, Hongtian Zhang, Xingyu Liu, Qing You, Jianguo Niu, Xiangming Ye, Fangfang Li
PMID: 40437388
Journal: BMC Cancer
Application: WB
Reactivity: Human
Publish date: 2025 May
-
Citation
-
EGR1-Driven Re-Epithelialization Enabled by Rutin-Based Self-Assembled Hydrogel Platform for Oral Ulcer Therapy
Author: Bin Zhao, Xinjie Qiu, Chong Wang, Shaobang Wu, Xin Yin, Lina Zhang, Xuedan Yan, Shuqi Sun, Xinyue Zeng, Xiuyun Ren
PMID: 40434223
Journal: Advanced Healthcare Materials
Application: WB
Reactivity: Human
Publish date: 2025 May
-
Citation
-
Mg–Sc alloy promotes angiogenesis–osteogenesis coupling and ameliorates steroid-induced osteonecrosis of the femoral head
Author: Liang Wen-Hao, Wang Wan-Shun, Gao Peng, Lin Ze-Feng, Chen Ling-Ling, Yu Yang-Yang, Zhang Bei-Chen, Subin Bill, Wu Xiao-Na, Zhang Tao
PMID: 21NOPMID25062501
Journal: Rare Metals
Application: WB
Reactivity: Mouse,Human
Publish date: 2025 May
-
Citation
-
COX-2 inhibition as a therapeutic strategy for bone loss in Staphylococcus aureus osteomyelitis
Author: Yuhui Chen, Chao Li, Jishan Jia, Yuhui Jiang, Ping Zhang, Caiyu Cheng, Guangyan Zhang, Lang Gao, Xiang Yang, Jiawei Zhao, Kaiqun Li, Bin Yu
PMID: 40335904
Journal: Molecular Medicine
Application: IHC
Reactivity: Mouse,Human
Publish date: 2025 May
-
Citation
-
Nuclear m6A modification regulates satellite transcription and chromosome segregation
Author: Huang Chenyang, Shu Xiao, Zhou Siting, Mi Yujie, Bian Hanxiao, Li Ting, Li Tengwei, Ying Xiner, Cheng Chongguang, Liu Donghong, Gao Minsong, Wen Yongjian, Ma Quan, Wang Fengqin, Cao Jie, Wang Jinkai, Liu Jianzhao
PMID: 40404899
Journal: Nature Chemical Biology
Application: WB
Reactivity: Human
Publish date: 2025 May
-
Citation
-
Development and application of a colloidal gold test strip for detection of antibodies against infectious spleen and kidney necrosis virus (ISKNV) in mandarin fish Siniperca chuatsi
Author: Ji Xiaohua, Zhang Xiaomi, Sun Yuchong, Feng Zizhao, Yu Fei, Xu Dan, Lu Liqun
PMID: 27NOPMID25070101
Journal: Journal of Oceanology and Limnology
Application: WB
Reactivity: Fish,Escherichia coli
Publish date: 2025 May
-
Citation
-
Nonylphenol exposure induces myocardial fibrosis via the RhoA/ROCK1/MLC-signaling pathway
Author: Mucong Zheng, Shixu Li, Jie Xu, Ya Luo, Jie He, Chengxing Wang, Yuzhu Xu, Yingxi Zeng, Jie Yu
PMID: 40446736
Journal: Ecotoxicology And Environmental Safety
Application: WB,IHC
Reactivity: Rat,Mouse
Publish date: 2025 May
-
Citation
-
Activation of HTR2B Suppresses Osteosarcoma Progression through the STAT1-NLRP3 Inflammasome Pathway and Promotes OASL1+ Macrophage Production to Enhance Antitumor Immunity
Author: Zhen Huang, Jiazhuang Zhu, Jianping Hu, Xingkai Wang, Xiaolong Ma, Enjie Xu, Kunpeng Zhu, Chunlin Zhang
PMID: 40387572
Journal: Advanced Science
Application: WB
Reactivity: Mouse
Publish date: 2025 May
-
Citation
-
Berberine promotes apoptosis and inhibits the migration of oral squamous carcinoma cells through inhibition of the RAGE/PI3K/AKT/mTOR pathway
Author: Daili Liu, Ling Li, Jingfei Zhang, Han Qin, Meng Zhang, Xiaoyang Sun, Yuting Han, Feng Wang, Zhi Wang, Zhen Cai
PMID: 40339228
Journal: Biomedicine & Pharmacotherapy
Application: WB
Reactivity: Human
Publish date: 2025 May
-
Citation
-
Rutin ameliorates LPS-induced acute lung injury in mice by inhibiting the cGAS-STING-NLRP3 signaling pathway
Author: Xin Zhou, Zhibin Wang, Yuting Wang, Guofeng Xu, Min Luo, Mengwei Zhang, Yuying Li
PMID: 40406492
Journal: Frontiers In Pharmacology
Application: WB
Reactivity: Mouse
Publish date: 2025 May
-
Citation
-
Impact of intercellular adhesion molecule 1-positive dental pulp stem cells in deep caries progression
Author: Yi Zhang, Yulian Zhang, Yi Chen, Wenzhi Wu, Jianwei Sun, Xiatong Zhang, Jingchen Zhang, Zhuo Chen
PMID: 40343788
Journal: International endodontic journal
Application: WB
Reactivity: Human
Publish date: 2025 May
-
Citation
-
Nitrobenzoyl-insulicolide A: a novel dinitrobenzoyl sesquiterpenoid, induces autophagic cell death in small cell lung cancer cells
Author: Zhang Yige, Zhang Xiaomin, Sun Chunxiao, Qi Xin, Li Dehai, Li Jing
PMID: 28NOPMID25062402
Journal: Marine Life Science & Technology
Application: WB
Reactivity: Human
Publish date: 2025 May
-
Citation
-
Phosphatidylcholine Chain-Length of Bioinspired Lipoprotein Modulates Interactions with Collagen for Intratumor Delivery in Pancreatic Cancer
Author: Guodong Li, Yichen Zhang, Jinhua Wang, Yiyu Liang, Yuan Zhang, Yifei Chi, Carter Sun, Zixin Hu, Shiyang Wu, Guo-Liang Lu, Jingyuan Wen, Zhiwen Zhang
PMID: 40375717
Journal: ACS Applied Nano Materials
Application: WB
Reactivity: Mouse
Publish date: 2025 May
-
Citation
-
Podocyte FFAR4 deficiency aggravated glomerular diseases and aging
Author: Ting Yin, Leitian Yang, Lei Tang, Jian Li, Dekai Liu, Fan Guo, Yingsong Mu, Qimei Wu, Yuying Feng, Zhouke Tan, Ping Fu, Xiaoniao Chen, Liang Ma
PMID: 40450519
Journal: Molecular Therapy
Application: WB
Reactivity: Mouse
Publish date: 2025 May
-
Citation
-
A YAP-derived peptide blocks YAP-TEAD signaling and suppresses cell proliferation
Author: Qiuyun Yuan, Xiaoqiang Xia, Yao Yuan, Qianming Chen, Xiaodong Feng
PMID: 40081550
Journal: Cellular Signalling
Application: IF,WB
Reactivity: Human
Publish date: 2025 Mar
-
Citation
-
Therapeutic targeting de novo purine biosynthesis driven by β-catenin-dependent PPAT upregulation in hepatoblastoma
Author: Ding Ming, Ma Chunshuang, Lin Yanyan, Fang Houshun, Xu Yan, Wang Shuxuan, Chen Yao, Zhou Jiquan, Gao Hongxiang, Shan Yuhua, Yang Liyuan, Sun Huiying, Tang Yabin, Wu Xiaoyu, Zhu Liang, Zheng Liang, Assaraf Yehuda G., Zhou Bin-Bing S., Gu Song, Li Hui
PMID: 40097378
Journal: Cell Death & Disease
Application: WB
Reactivity: Human
Publish date: 2025 Mar
-
Citation
-
Vaccarin Ameliorates Renal Fibrosis by Inhibiting Ferroptosis via Nrf2/SLC7A11/GPX4 Signaling Pathway
Author: Mengjiao Cui, Qiming Xu, Lianxiang Duan, Jianrao Lu, Jing Hu
PMID: 40066086
Journal: Drug Design Development And Therapy
Application: WB
Reactivity: Mouse
Publish date: 2025 Mar
-
Citation
-
Comprehensive Comparison of Extracellular Vesicles Derived from Mesenchymal Stem Cells Cultured with Fetal Bovine Serum and Human Platelet Lysate
Author: Yue Zhang, Jing Song, Bin Wang, Yi Wen, Wei Jiang, Yi-Lin Zhang, Zuo-Lin Li, Hong Yu, Suo-Fu Qin, Lin-Li Lv, Tao-Tao Tang, Bi-Cheng Liu
PMID: 40110859
Journal: ACS Applied Nano Materials
Application: IF
Reactivity: Mouse
Publish date: 2025 Mar
-
Citation
-
Astragaloside IV suppression of chronic atrophic gastritis by upregulating PAR-1 in vitro and in vivo
Author: Bensong Duan, Zhewei Bao, Jingya Yang, Zhenzhen Wang, Aoxiang Li, Jin Yang, Mengke Lv, Haibin Zhang
PMID: 40130342
Journal: Histology and Histopathology
Application: WB
Reactivity: Human
Publish date: 2025 Mar
-
Citation
-
Nuclear scaffold attachment factor A functions as a potential viral recognition receptor involved in the antiviral immunity of grass carp (Ctenopharyngodon idella)
Author: Hong Yang, Beibei Qin, Jiaojiao Fu, Mengyuan Zhang, Hongquan Wang, Tiaoyi Xiao, Zhao Lv
PMID: 40120911
Journal: International Journal Of Biological Macromolecules
Application: WB
Reactivity: Fish
Publish date: 2025 Mar
-
Citation
-
Identification of a novel FOXO3‑associated prognostic model in hepatocellular carcinoma
Author: Songmei Guan, Qiang Lin, Peiwu Huang, Kangqiang Lin, Shigang Duan
PMID: 40114746
Journal: Oncology Letters
Application: WB
Reactivity: Human
Publish date: 2025 Mar
-
Citation
-
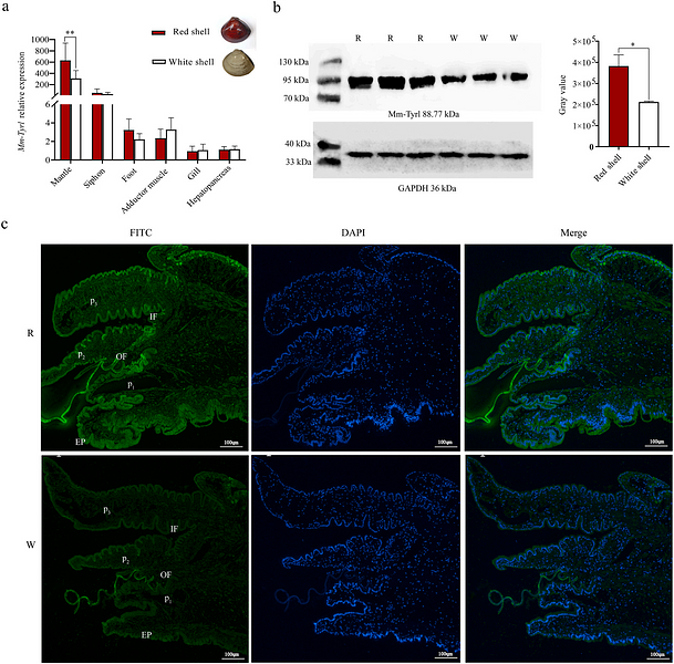
Identification of the CYP gene family: insights into carotenoid metabolism associated with red shell in Meretrix meretrix
Author: Shi Heming, Fu Lulu, Dong Yinghui, Lin Zhihua, Xu Jilin, Yao Hanhan
PMID: 21NOPMID25050601
Journal: Aquaculture International
Application: WB
Reactivity: Meretrix meretrix
Publish date: 2025 Mar
-
Citation
-
Kaempferol Induces DNA Damage in Colorectal Cancer Cells by Regulating the MiR-195/miR-497-PFKFB4-Mediated Nonoxidative Pentose Phosphate Pathway
Author: Haili Wu, Jin’e Du, Pengli Hu, Panfeng Wang, Zhihui Wang, Jiajing Ma, Zhuoyu Li
PMID: 40091822
Journal: Journal Of Agricultural And Food Chemistry
Application: WB
Reactivity: Human
Publish date: 2025 Mar
-
Citation
-
SOAT1 Activates NLRP3 Inflammasome to Promote Cancer-Related Lymphangiogenesis and Metastasis via IL-1β/IL-1R-1 Axis in Oral Squamous Cell Carcinoma
Author: Chengzhi Zhao, Yuhao Wang, Zhishen Jiang, Shengzhao Guo, Liru Hu, Jian Pan, Fan Dan
PMID: 40135589
Journal: Molecular Carcinogenesis
Application: WB
Reactivity: Human
Publish date: 2025 Mar
-
Citation
-
Machine learning-based prediction reveals kinase MAP4K4 regulates neutrophil differentiation through phosphorylating apoptosis-related proteins
Author: Guihua Wang, Dan Zhang, Zhifeng He, Bin Mao, Xiao Hu, Li Chen, Qingxin Yang, Zhen Zhou, Yating Zhang, Kepan Linghu, Chao Tang, Zijie Xu, Defu Liu, Junwei Song, Huiying Wang, Yishan Lin, Ruihan Li, Jing-Wen Lin, Lu Chen
PMID: 40096134
Journal: PLoS Computational Biology
Application: WB
Reactivity: Human
Publish date: 2025 Mar
-
Citation
-
Identification of Bioactive Compounds and Potential Mechanisms of Fuzi in the Treatment of Ulcerative Colitis by Integrating Network Pharmacology and Experimental Validation
Author: Miaomiao Ma, Leshi Liang, Meihong Lin, Canhua Luo, Xingfeng Deng, Changhui Yu
PMID: 40101980
Journal: Biological & Pharmaceutical Bulletin
Application: WB
Reactivity:
Publish date: 2025 Mar
-
Citation
-
SALL4/ABCB6 Axis Suppresses Ferroptosis in Colon Cancer by Mediating Mitophagy
Author: Leilei Yang, Yuehuai Xu, Jiaju Han, Chengfeng Fang, Zaiping Yang, Ruili Zhang, Shenkang Zhou
PMID: 40052371
Journal: Journal Of Biochemical And Molecular Toxicology
Application: IHC-P,WB
Reactivity: Human
Publish date: 2025 Mar
-
Citation
-
FKBP5 Mediates Alveolar Fibroblast Necroptosis During Acute Respiratory Distress Syndrome
Author: Dong Zhang, Wei Liu, Ting Sun, Yangyang Xiao, Qiuwen Chen, Xiao Huang, Xiaozhi Wang, Qian Qi, Hao Wang, Tao Wang
PMID: 40525648
Journal: Cell Proliferation
Application: WB
Reactivity: Mouse,Human
Publish date: 2025 Jun
-
Citation
-
Functional Characterization of Deubiquitinase UBP Family and Proteomic Analysis of Aaubp14-Mediated Pathogenicity Mechanism in Alternaria alternata
Author: Jiejing Tang, Hang Zhou, Chen Jiao, Hongye Li
PMID: 2NOPMID25081501
Journal: Journal of Fungi
Application: WB
Reactivity: Alternaria alternata
Publish date: 2025 Jun
-
Citation
-
Engineered copper-doped gold nanoclusters supported ROS prolongation for enhanced photodynamic therapy
Author: Xin Xia, Shihong Wu, Hang Zhao, Ronghui Zhou
PMID: 5NOPMID25073101
Journal: Materials & Design
Application: WB
Reactivity:
Publish date: 2025 Jun
-
Citation
-
Ginsenoside Rg1 Alleviates Hydrogen Peroxide-Induced Autophagy and Apoptosis in Ovarian Granulosa Cells
Author: Li Xia, Weng Shi-Qi, Li Qing-Hui, Ji Min, Zhou Yan, Xiao Qin, Luo Tao, Liu Zhao-Xia
PMID: 40571901
Journal: Cell Biochemistry And Biophysics
Application: WB
Reactivity: Human
Publish date: 2025 Jun
-
Citation
-
Molecular characteristics and functional differentiation of two IL-10 genes in barbel chub Squaliobarbus curriculus
Author: Hong Yang, Beibei Qin, Jiaojiao Fu, Mengyuan Zhang, Hongquan Wang, Tiaoyi Xiao, Zhao Lv
PMID: 40562258
Journal: Fish & Shellfish Immunology
Application: WB
Reactivity:
Publish date: 2025 Jun
-
Citation
-
Targeting EphA2 suppresses the proliferation, migration and invasion of endometriosis via the AMPK signaling pathway
Author: Chaoyi Yang, Shujun Wang, Mengru Li, Xiangli Pang, Aili Tan
PMID: 40525819
Journal: European Journal of Histochemistry
Application: WB
Reactivity: Human
Publish date: 2025 Jun
-
Citation
-
SETDB1 promotes mammalian liver regeneration by stimulating cytokine CSF3 in hepatocytes
Author: Xiao-Yan Huang, Dong Yang, Yin-Zhe Liu, En-Xiang Zhang, Qiao Yang, Wang Kang, Xiao-Ou Zhang, Junwei Shi, Chun-Qing Song
PMID: 40531618
Journal: Cell Reports
Application: WB
Reactivity:
Publish date: 2025 Jun
-
Citation
-
Vitamin D Attenuates Hepatic Sinusoidal Capillarization in Type 2 Diabetes Mellitus– Metabolic Dysfunction-Associated Fatty Liver Disease via Dual Autophagy Activation and Pyroptosis Suppression in Liver Sinusoidal Endothelial Cells
Author: Panpan Jiang, Yang Liu, Juxiang Liu, Jinxing Quan
PMID: 40564179
Journal: Biomedicines
Application: WB
Reactivity: Mouse,Human
Publish date: 2025 Jun
-
Citation
-
Receptor tyrosine kinase inhibitor tivozanib regulates cell state plasticity and restores MITF dependency in BRAF wild-type melanoma
Author: Ma Yan-ni, Ma Xu-hui, Hao Mei-ling, Liu Rui-xin, Zheng Yang, Yang Jie, Chen Xiang-yu, Chen Yi-nan, Zheng Sheng-nan, Zhang Yan-jie, Lei Ming, Jiang Min, Guo Wei, Zeng Han-lin
PMID: 40550963
Journal: Acta Pharmacologica Sinica
Application: WB
Reactivity: Human
Publish date: 2025 Jun
-
Citation
-
The soluble epoxide hydrolase inhibitor TPPU alleviates Aβ-mediated neuroinflammatory responses in Drosophila melanogaster and cellular models of alzheimer’s disease
Author: Sun Xiaowen, Liu Hongxiang, Li Wei, Li Lin, Tian Qian, Cao Qingyang, Meng Yun, Shen Yan, Che Fengyuan, Chiu Joanna C., Yu Jixu, Hammock Bruce D.
PMID: 40551105
Journal: Journal of Inflammation-London
Application: WB
Reactivity: Human
Publish date: 2025 Jun
-
Citation
-
FgMsn2 negatively regulates general stress responses and autophagy in Fusarium graminearum
Author: Gu Rongcheng, Jian Yunqing, Liu Zunyong
PMID: 25NOPMID25080101
Journal: Phytopathology Research
Application: WB
Reactivity:
Publish date: 2025 Jun
-
Citation
-
Adeno-associated virus-mediated inhibition of ROCK2 promotes synaptogenesis and neurogenesis in rats after ischemic stroke
Author: Shi Liuliu, Zhu Ting, Ge Chengyan, Yang Yongkun, Wan Qi, Li Shifang
PMID: 40537020
Journal: Neural Regeneration Research
Application: WB
Reactivity: Rat
Publish date: 2025 Jun
-
Citation
-
The Mgv1-Rlm1 axis orchestrates SAGA and SWI/SNF complexes at target promoters
Author: Chaoyun Xu, Yueqi Zhang, Chengqi Zhang, Li Chen, Yanni Yin, Yun Chen, Zunyong Liu, Zhonghua Ma
PMID: 40650980
Journal: Nucleic Acids Research
Application: WB
Reactivity: Fusarium graminearum
Publish date: 2025 Jul
-
Citation
-
Engineered macrophage-targeted germacrone-bearing nanosheet achieves sequential treatment of acute kidney injury through macrophage polarization regulation and oxidative stress
Author: Yunguang Wang, Shaoting Wang, Qikai Luo, Yourou Zhou, Xingchen Li, Yiwei Shang, HuaiYu Wang, Egor Y. Plotnikov, Xinyu Liao, Wei Feng, Qiang He, Juan Jin
PMID: 22NOPMID25090801
Journal: Chemical Engineering Journal
Application: WB
Reactivity: Mouse,Human
Publish date: 2025 Jul
-
Citation
-
Aldometanib mitigates LPS-induced Lung fibroblasts injury through the activation of AMPK-mediated signaling pathways
Author: Fangfang Shao, Jianlong Xie, Lili Liang, Shuling Chen, Rilin Zhang
PMID: 40691951
Journal: Toxicon
Application: WB
Reactivity: Human
Publish date: 2025 Jul
-
Citation
-
Long noncoding RNA GCH1 mediates mitophagy via the PTEN-induced kinase 1/Parkin pathway to drive chondrocyte dysfunction and cartilage degeneration in osteoarthritis
Author: Gang Zeng, Yujun Sun, Taihe Liu, Wenzhou Liu, Yanbo Chen, Jionglin Wu, Jiayuan Zheng, Weidong Song, Yue Ding
PMID: 40634791
Journal: Animal Models And Experimental Medicine
Application: WB
Reactivity: Human
Publish date: 2025 Jul
-
Citation
-
Recombinant human collagen microneedle patch loaded with PRP for diabetic wound treatment
Author: Xinyue Wang, Xinyue Zhang, Yihan Zhao, Xue Zhan, Chen Hu, Haihang Li, Xiaoju Fan, Jie Liang, Yafang Chen, Yujiang Fan
PMID: 40665848
Journal: Journal Of Materials Chemistry B
Application: WB
Reactivity: Rat,Mouse
Publish date: 2025 Jul
-
Citation
-
Targeted Inhibition of Tumor Extracellular Vesicle Secretion Improving the Anti-Tumor Immunity of Lymph Node-Targeted Vaccines
Author: Fei Wang, Manqi Yan, Junming Dong, Xinyan Xie, Nan Zhang, Ting Wu, Yu Gu, Yong Hu
PMID: 12NOPMID25082601
Journal: Advanced Functional Materials
Application: WB
Reactivity:
Publish date: 2025 Jul
-
Citation
-
Total Glucosides of Paeony (TGP) Inhibits Macrophages Infiltration and NLRP3-Mediated Inflammatory Response in Acute Gouty Arthritis Mice
Author: Jing Liu, Ge Liu, Teng Chu, Yue Wu, Xingyu Yan, Liping Pang, Weirong Fang
PMID: 40761378
Journal: Journal Of Inflammation Research
Application: WB
Reactivity: Mouse
Publish date: 2025 Jul
-
Citation
-
Development of an mRNA vaccine encoding IHNV glycoprotein protects rainbow trout (Oncorhynchus mykiss) from infection
Author: Wang Jing, Wu Kaixing, Liu Yu, Wang Shiyao, Zhao Li, Zhang Donghui, Liu Runhui, Ren Yuhong, Shao Shuai, Liu Qin
PMID: 40695813
Journal: npj Vaccines
Application: WB
Reactivity:
Publish date: 2025 Jul
-
Citation
-
CSF1R inhibitor (PLX3397) alleviates experimental periodontitis by reducing macrophage senescence through the PI3K/AKT/FOXO1 signaling pathway
Author: Kang Jiabing, Zhan Jifan, Yuan Yiting, Wei Yan, Xiao Tianjiao, Li Li, Fang Hui, Tian Ai
PMID: 40721848
Journal: Scientific Reports
Application: WB
Reactivity: Mouse
Publish date: 2025 Jul
-
Citation
-
FMRP silencing via siRNA lipid nanoparticles to reprogram the tumor microenvironment and enhance anti-PD-1 efficacy in triple-negative breast cancer
Author: Letian Bai, Xinyan Hao, Wenjie Xu, Hai Huang, Mengen Guo, Yanwen Zhang, Daxiong Xiang, Guoping Yang, Junyong Wu, Chuanpin Chen
PMID: 40727077
Journal: Materials Today Bio
Application: WB
Reactivity: Mouse
Publish date: 2025 Jul
-
Citation
-
HAPLN1 Exhibits Dual Effects: Facilitating Extracellular Matrix Restoration while Enhancing Inflammatory Mediator Production in Arthritic Chondrocytes
Author: Chen Yunting, Luo Chenggen, Huang Kun, Pan Xiaoli, Ao Yulei, Tian Shidan, He Mang, Li Anmao, Chen Yanjuan, Tian Mei, Chen Yong
PMID: 40682641
Journal: Inflammation
Application: WB
Reactivity:
Publish date: 2025 Jul
-
Citation
-
Candesartan Mitigates Perioperative Neurocognitive Disorders by Modulating Hypertension-Linked Neuroinflammatory Factor
Author: Wu Zhenyu, Li Yuqing, Gong Taowu, Li Jia, Zhao Pengcheng, Huo Xufang, Zhu Yuhang, Zeng Qingfan
PMID: 40728591
Journal: Neurochemical Research
Application: WB
Reactivity: Mouse
Publish date: 2025 Jul
-
Citation
-
Calcium-dependent oligomerization of scavenger receptor CD163 facilitates the endocytosis of ligands
Author: Xu Hua, Song Xiaohui, Su Xiao-dong
PMID: 40691148
Journal: Nature Communications
Application: WB
Reactivity: Human
Publish date: 2025 Jul
-
Citation
-
A packaging-regulated adenoviral vector for rAAV production
Author: Dongbo Lu, Rufei Li, Qianqian Liang, Zhihua Xiao, Qin Liu
PMID: 40652817
Journal: Biochemical And Biophysical Research Communications
Application: WB
Reactivity: Human
Publish date: 2025 Jul
-
Citation
-
Heparan sulfate acts in synergy with tight junction through STAT3 signaling to maintain the endothelial barrier and prevent lung injury development
Author: Dong Zhang, Boyang Qi, Zhenyi Peng, Xiao Huang, Yuanyuan Chen, Ting Sun, Fangyu Ning, Dong Hao, Xiaozhi Wang, Tao Wang
PMID: 39793231
Journal: International Immunopharmacology
Application: WB
Reactivity: Mouse,Human
Publish date: 2025 Jan
-
Citation
-
ACNO hydrogel enhances diabetic wound healing by modulating the Bcl-2/Bax/Caspase-3/PARP pathway
Author: Penghui Ye, Xingqian Wu, Rifang Gu, Huan Zhu, Jitao Chen, Yuhe Dai, Qianbo Zhang, Ming Tang, Xuqiang Nie
PMID: 39787763
Journal: International Immunopharmacology
Application: WB
Reactivity: Mouse,Human
Publish date: 2025 Jan
-
Citation
-
Subtype-specific human endogenous retrovirus K102 envelope protein is a novel serum immunosuppressive biomarker of cancer
Author: Qinyuan Gong,Rongzhen Xu
PMID: 39850893
Journal: Frontiers In Immunology
Application: WB
Reactivity: Human
Publish date: 2025 Jan
-
Citation
-
Gut microbiota protect against colorectal tumorigenesis through lncRNA Snhg9
Author: Meng Wang, Kailin Liu, Wu Bao, Bingqing Hang, Xianjiong Chen, Xinyi Zhu, Guifang Li, Lihong Liu, Haoyi Xiang, Hai Hu, Yanhui Lu, Zhangfa Song, Jiaxin Chen, Yuhao Wang
PMID: 39755115
Journal: Developmental Cell
Application: WB,IHC-P
Reactivity: Mouse,Human
Publish date: 2025 Jan
-
Citation
-
Cholic acid inhibits ovarian steroid hormone synthesis and follicular development through farnesoid X receptor signaling in mice
Author: Wenjun Zhu, Xiaochan Cheng, Hengyu Zhang, Jiahao Li, Li Li, Hengxi Wei, Shouquan Zhang
PMID: 39884637
Journal: International Journal Of Biological Macromolecules
Application: WB
Reactivity: Mouse
Publish date: 2025 Jan
-
Citation
-
Downregulation of RSAD2 ameliorates keratinocyte hyperproliferation and skin inflammation in psoriasis via the TAK1/NF-κB axis
Author: Xueqing Li, Fuqiang Chen, Yunqian Li, Yunyue Zhen, Jiaoying Ju, Zhengjun Li, Shan Huang, Qing Sun
PMID: 39848474
Journal: Biochemical Pharmacology
Application: WB
Reactivity: Mouse,Human
Publish date: 2025 Jan
-
Citation
-
Modified bFGF targeting connective tissue growth factor in the injured microenvironment improved cardiac repair after chronic myocardial ischemia
Author: Shuwei Sun, Fengzheng Zhu, Qingling Xu, Xianglin Hou, Weihong Nie, Kaiyan Su, Li Wang, Zhuo Liu, Tao Shan, Chunying Shi
PMID: 39925966
Journal: Regenerative Therapy
Application: WB
Reactivity: Rat
Publish date: 2025 Jan
-
Citation
-
HIV-1 Vpu and SARS-CoV-2 ORF3a proteins disrupt STING-mediated activation of antiviral NF-κB signaling
Author: Yajuan Rui, Si Shen, Yanpu Wang, Leyi Cheng, Shiqi Chen, Ying Hu, Yong Cai, Wei Wei, Jiaming Su, Xiao-Fang Yu
PMID: 39836751
Journal: Science Signaling
Application: WB
Reactivity: Human
Publish date: 2025 Jan
-
Citation
-
Hexokinase 2 Suppression Alleviates the Catabolic Properties in Osteoarthritis via HMGA2 and Contributes to Pulsed Electromagnetic Field-mediated Cartilage Protection
Author: Bao Chuncha, Zhu Siyi, Pang Dejiang, Yang Ming, Huang Jiapeng, Wang Fengsheng, Hou Yue, Wang Xiangxiu, Feng Yuan, Yang Haolun, Jiang Junliang, He Jing, He Chengqi
PMID: 39990654
Journal: International Journal Of Biological Sciences
Application: WB
Reactivity: Mouse
Publish date: 2025 Jan
-
Citation
-
Gene Targeting on Point: Targeted Delivery of Tumor Suppressor Gene CHRDL-1 via Peptide/FA-Modified Layered Double Hydroxides Partner With JPH203 for Effective Hepatocellular Carcinoma Inhibition
Author: Zhouyi Sun, Yang Liu, Tangye Zeng, Huali Zuo, Qitao Hu, Zhou Tian, Qianwen Wang, Bo Zhang, Zhe Tang, Weiyu Chen
PMID: 5NOPMID25030301
Journal: Advanced Functional Materials
Application: WB
Reactivity: Human
Publish date: 2025 Jan
-
Citation
-
Single Low-Dose Ionizing Radiation Transiently Enhances Rat RIN-m5F Cell Function via the ROS/p38 MAPK Pathway Without Inducing Cell Damage
Author: Jitai Zhang, Kaicen Dai, Ruike An, Chengying Wang, Xuanting Zhou, Zhujun Tian, Zhonglu Liao
PMID: 40002307
Journal: Antioxidants
Application: WB
Reactivity: Rat
Publish date: 2025 Jan
-
Citation
-
Expression and prognostic value of ferritinophagy-related NCOA4 gene in low-grade glioma: integration of bioinformatics and experimental validation
Author: Chen Guangtang, Shi Xueping, Jiao Rukai, Qian Jiacai, Du Xiaolin, Liu Jian, Zeng Xi
PMID: 39825225
Journal: BMC Neurology
Application: IHC-P
Reactivity: Human
Publish date: 2025 Jan
-
Citation
-
Capilliposide A relieved dry age-related macular degeneration through ROS/SIRT1/P53 signaling pathway
Author: Fanwei Xia, Luping Wang, Ying Ji, Zhao Wang, Yue Feng, Huajun Liao, Xin Pan, Shouxin Li, Wei Zhu, Jingkui Tian, Xiangmin Tong, Jiahui Ma
PMID: 39984014
Journal: European Journal Of Pharmacology
Application: WB
Reactivity: Mouse,Human
Publish date: 2025 Feb
-
Citation
-
Histone H3 lysine 27 trimethylation (H3K27me3) modulates the fiber cell initiation in upland cotton
Author: Zhiqiang Zhang, Yingqiang Long, Yangai Liu, Wenqi Huo, Jintao Li, Zhongying Ren, Kunlun He, Fei Zhang, Jinfeng Guo, Xiongfeng Ma, Daigang Yang, Wei Li
PMID: 12NOPMID25032401
Journal: Industrial Crops And Products
Application: WB
Reactivity: Cotton
Publish date: 2025 Feb
-
Citation
-
Self-assembling chemically modified siRNA nanorings for RNAi therapy and neuroprotection in Alzheimer’s disease
Author: Jiang Yifan, Li Lisha, Fang Xiao, Zeng Tao, Su Lichao, Liu Yichang, Wu Ying, Li Jinyu, Lyu Peng, Lu Zhonglei, Lu Chunhua, Yang Huanghao
PMID: 12NOPMID25032501
Journal: Science China-Chemistry
Application: WB
Reactivity: Zebrafish
Publish date: 2025 Feb
-
Citation
-
The role of RAP2 in regulation of cell volume on bone marrow mesenchymal stem cell fate determination
Author: Zhou Yimei, Guo Yutong, Zhang Mei, Quan Shuqi, Li Juan
PMID: 39903386
Journal: Journal Of Molecular Histology
Application: WB
Reactivity: Rat
Publish date: 2025 Feb
-
Citation
-
Isorhamnetin Alleviates Inflammation-Induced Crosstalk between Kynurenine Pathway and Gut Microbiota in Depressed Mice
Author: Mengjie Xu, Wei He, Ke Yan, Xinru Gao, Jun Li, Dongyue Xu, Jiao Xiao, Tingxu Yan
PMID: 39933950
Journal: Biomolecules & Therapeutics
Application: WB
Reactivity: Mouse
Publish date: 2025 Feb
-
Citation
-
SLC26A4 C.317C > A Variant: Functional Analysis and Patient-Derived Induced Pluripotent Stem Line Development
Author: Yijing Li, Tao Sun, Sang Hu, Hongen Xu, Teng Zhang, Jinlong Liu, Shuangshuang Lu, Bing Wang, Guo Dan
PMID: 40260864
Journal: Molecular Genetics & Genomic Medicine
Application: WB
Reactivity: Human
Publish date: 2025 Apr
-
Citation
-
Resveratrol—A Herbal Immunomodulator, Ameliorates Experimental Autoimmune Myasthenia Gravis by Regulating the Foxo1-Foxp3 Pathway
Author: Heyun Cheng, Yunan Shan, Xiaoyue Shen, Yanbin Li
PMID: 40262044
Journal: Journal Of Biochemical And Molecular Toxicology
Application: WB
Reactivity: Rat
Publish date: 2025 Apr
-
Citation
-
Food-grade Lactococcus lactis expressing LEK peptide ameliorates hypertension and hyperlipidemia via ACE inhibition and lipid metabolism regulation
Author: Fei Gao, Yan Pan, Han Tao, Xiaolong Yuan, Suwan Li, Junlong Gao, Mohamed A. Farag, Kexin Liu, Lili Song
PMID: 28NOPMID25053001
Journal: Journal Of Functional Foods
Application: WB
Reactivity: Lactococcus lactis
Publish date: 2025 Apr
-
Citation
-
Demethylase FTO in the Cerebrospinal Fluid-Contacting Nucleus of mice Contributes to Neuropathic Pain via mediating m6A demethylation of P2rx4 mRNA
Author: Yu-Ting Zhang, Wei-Long Huang, Yi-Jun Zhang, Li-Cai Zhang
PMID: 40222402
Journal: Neuropharmacology
Application: Dot Blot,WB
Reactivity: Mouse
Publish date: 2025 Apr
-
Citation
-
Targeting UAF1 Alleviate Neurotoxicity by Inhibiting APP/NLRP3 Axis-Mediated Pyroptosis and Apoptosis
Author: Cheng Ling, Meng Xianguang, Tian Dandan, Zheng Bin, Xiao Yinfan, Zhao Xueying, Xu Yingying, Yang Hui, Bi Jianzhong, Li Fan, Xie Zhaohong
PMID: 40183841
Journal: Neurochemical Research
Application: WB
Reactivity:
Publish date: 2025 Apr
-
Citation
-
A toxin-antitoxin system provides phage defense via DNA damage and repair
Author: Pu Huan, Chen Yuxin, Zhao Xinjun, Dai Lunzhi, Tong Aiping, Tang Dongmei, Chen Qiang, Yu Yamei
PMID: 40169592
Journal: Nature Communications
Application: WB
Reactivity: Escherichia coli
Publish date: 2025 Apr
-
Citation
-
CXXC-finger protein 1 associates with FOXP3 to stabilize homeostasis and suppressive functions of regulatory T cells
Author: Xiaoyu Meng, Yezhang Zhu, Kuai Liu, Yuxi Wang, Xiaoqian Liu, Chenxin Liu, Yan Zeng, Shuai Wang, Xianzhi Gao, Xin Shen, Jing Chen, Sijue Tao, Qianying Xu, Linjia Dong, Li Shen, Lie Wang
PMID: 40183773
Journal: eLife
Application: WB
Reactivity: Mouse
Publish date: 2025 Apr
-
Citation
-
TiO2 Nanotube Implants Modified with Silk Fibroin and Mesoporous Silica Nanocomposite Coatings Enable Efficient Drug Release to Promote Osteogenesis
Author: Yanting Mu, Ming Li, Xiang Zhao, Chaihong Gong, Zhang Luo, Bing Li, Weiying Zhang, Xiaoxiao Ge, Su Chen, Jian Zhou
PMID: 40289330
Journal: ACS Applied Materials & Interfaces
Application: WB
Reactivity: Mouse
Publish date: 2025 Apr
-
Citation
-
Lemairamin (Wgx-50) Attenuates DSS-Induced Intestinal Inflammation in Zebrafish
Author: Ling Zhang, Huiru Liu, Haoyi Zhang, Hao Yuan, Dalong Ren
PMID: 39273457
Journal: International Journal Of Molecular Sciences
Application: WB
Reactivity: Zebrafish
Publish date: 2024 Sept
-
Citation
-
DCAF2 is essential for the development of uterine epithelia and mouse fertility
Author: Yang Man, Wang Kaixuan, Zhang Liang, Zhang Hongya, Zhang Cong
PMID: 39364135
Journal: Frontiers In Cell And Developmental Biology
Application: IHC-P
Reactivity: Mouse
Publish date: 2024 Sept
-
Citation
-
A novel super-enhancer-related risk model for predicting prognosis and guiding personalized treatment in hepatocellular carcinoma
Author: Wu Qing,et al
PMID: 39223584
Journal: BMC Cancer
Application: WB
Reactivity:
Publish date: 2024 Sep
-
Citation
-
FOXO1-mTOR pathway in vascular pericyte regulates the formation of type H vessels to control bone metabolism
Author: Caiyu Cheng,et al
PMID: 39524152
Journal: Journal Of Orthopaedic Translation
Application: WB
Reactivity: Mouse,Human
Publish date: 2024 Sep
-
Citation
-
Cuproptosis in microsatellite stable colon cancer cells affects the cytotoxicity of CD8+ T through the WNT signaling pathway
Author: Jintao Zeng ,et al
PMID: 39306268
Journal: Chemico-Biological Interactions
Application: WB
Reactivity: Mouse
Publish date: 2024 Sep
-
Citation
-
Opposite expression of NCOA4 in glioblastoma tissues and cell lines
Author: Guangtang Chen,et al
PMID: 39383786
Journal: International Immunopharmacology
Application: IHC-P,WB
Reactivity: Human
Publish date: 2024 Oct
-
Citation
-
Comprehensive evaluation of immunological attributes and immunotherapy responses of positive T cell function regulators in colorectal cancer
Author: Ke Pu,et al
PMID: 39354362
Journal: BMC Gastroenterology
Application: WB
Reactivity: Human
Publish date: 2024 Oct
-
Citation
-
tiRNA-Gly-GCC-002 promotes epithelial-mesenchymal transition and fibrosis in lupus nephritis via FKBP5-mediated activation of Smad
Author: Xueting Liu, Ji Zhang, Yan Liang, Xuanwen Chen, Shungang Xu, Sishi Lin, Yuanting Dai, Xinxin Chen, Ying Zhou, Yongheng Bai, Chaosheng Chen
PMID: 39419630
Journal: British Journal Of Pharmacology
Application: WB
Reactivity:
Publish date: 2024 Oct
-
Citation
-
Early anti-inflammatory polarization of macrophages ameliorates post-surgical inflammation and osseointegration around titanium implants in mice
Author: Bin Wang ,et al
PMID: 39437620
Journal: Molecular Immunology(2024)
Application: WB
Reactivity: Mouse
Publish date: 2024 Oct
-
Citation
-
The role of Gαq in regulating NLRP3 inflammasome activation
Author: Ruixue Kong,et al
PMID: 39455437
Journal: Inflammation Research
Application: WB
Reactivity: Mouse
Publish date: 2024 Oct
-
Citation
-
Targeting USP11 regulation by a novel lithium-organic coordination compound improves neuropathologies and cognitive functions in Alzheimer transgenic mice
Author: Yi Guo,et al
PMID: 39394468
Journal: EMBO Molecular Medicine
Application: WB
Reactivity: Mouse
Publish date: 2024 Oct
-
Citation
-
Akt Inhibitors Prevent CyHV-2 Infection In Vitro
Author: Yu Song ,et al
PMID: 39389175
Journal: Fish & Shellfish Immunology
Application: WB
Reactivity: Carassius AuRatus
Publish date: 2024 Oct
-
Citation
-
The CD163/TWEAK/Fn14 axis: A potential therapeutic target for alleviating inflammatory bone loss
Author: J Qian,et al
PMID: 39430128
Journal: Journal Of Orthopaedic Translation
Application: WB
Reactivity: Mouse
Publish date: 2024 Oct
-
Citation
-
Di-(2-ethylhexyl) phthalate exposure induces ferroptosis by regulating the Nrf2-mediated signaling pathway in mouse ovaries
Author: Jinzhu Meng,et al
PMID: 39321527
Journal: Ecotoxicology And Environmental Safety
Application: WB
Reactivity: Mouse
Publish date: 2024 Oct
-
Citation
-
NPR1 promotes cisplatin resistance by inhibiting PARL-mediated mitophagy-dependent ferroptosis in gastric cancer
Author: Chengwei Wu,et al
PMID: 39476297
Journal: Cell Biology And Toxicology
Application: WB
Reactivity: Mouse
Publish date: 2024 Nov
-
Citation
-
Glycerophospholipid metabolic disorders and gender difference of cantharidin-induced hepatotoxicity in rats: Lipidomics and MALDI mass spectrometry imaging analysis
Author: Qiyi Wang,et al
PMID: 39551422
Journal: Chemico-Biological Interactions
Application: WB
Reactivity: Rat
Publish date: 2024 Nov
-
Citation
-
Nanomaterial‐Mediated Reprogramming of Macrophages to Inhibit Refractory Muscle Fibrosis
Author: Xu Cheng,et al
PMID: 39548911
Journal: Advanced Materials
Application: IF
Reactivity: Mouse
Publish date: 2024 Nov
-
Citation
-
Hypertensive Nephropathy Changes the Expression of Drug-Metabolizing Enzymes and Transporters in Spontaneously Hypertensive Rat Liver and Kidney
Author: Yueqing Pan,et al
PMID: 39522097
Journal: European Journal Of Drug Metabolism And Pharmacokinetics
Application: WB
Reactivity: Rat
Publish date: 2024 Nov
-
Citation
-
Silencing CXCR6 promotes epithelial-mesenchymal transition and invasion in colorectal cancer by activating the VEGFA/PI3K/AKT/mTOR pathway
Author: Zhuo Liu,et al
PMID: 39500082
Journal: International Immunopharmacology
Application: WB
Reactivity: Mouse
Publish date: 2024 Nov
-
Citation
-
Rifaximin alleviates intestinal barrier disruption and systemic inflammation via the PXR/NFκB/MLCK pathway and modulates intestinal Lachnospiraceae abundance in heat-stroke mice
Author: Liwen Du,et al
PMID: 39461239
Journal: International Immunopharmacology
Application: WB
Reactivity: Mouse
Publish date: 2024 Nov
-
Citation
-
Identification and Analysis of Microplastic Aggregation in CAR-T Cells
Author: Zhao Yin,et al
PMID: 39488976
Journal: Journal Of Hazardous Materials
Application: WB
Reactivity: Mouse
Publish date: 2024 Nov
-
Citation
-
Transient receptor potential a1b regulates primordial germ cell numbers and sex differentiation in developing zebrafish
Author: Xiaoting Gong, Qianqian Yan, Liangbiao Chen
PMID: 39587668
Journal: Journal Of Fish Biology
Application: WB
Reactivity:
Publish date: 2024 Nov
-
Citation
-
Translocation of the Alphanucleorhabdovirus X proteins from the cytoplasm into the nucleus through interaction with nucleocapsid protein is essential for viral pathogenesis
Author: Wang Shuo, Ni Shuang, Lou Huanhuan, Liang Yan, Li Zhenghe
PMID: 26NOPMID25012404
Journal: Phytopathology Research
Application: WB
Reactivity:
Publish date: 2024 Nov
-
Citation
-
Discovery and characterization of a novel Lepidoptera-specific antimicrobial peptide from the fall armyworm, Spodoptera frugiperda (Lepidoptera: Noctuidae)
Author: Wen-Xuan Qi, Feng Liu, Fang-Fang Liu, Hai-Yan Ren, Bang-Xian Zhang, Xiao-Qiang Yu, Xiang-Jun Rao
PMID: 39552199
Journal: Insect Science
Application: WB
Reactivity:
Publish date: 2024 Nov
-
Citation
-
Subtype-specific HERV-K102 envelope is a novel serum immunosuppressive biomarker and therapeutic target of cancer
Author: Gong Qinyuan,et al
PMID: NO PMID20240535
Journal: Preprint And Has Not Been Certified By Peer Review
Application: WB
Reactivity:
Publish date: 2024 May
-
Citation
-
Radix Rehmanniae Praeparata promoted zebrafish fin regeneration through aryl hydrocarbon receptor-dependent autophagy
Author: Chen Fengyan,et al
PMID: 38710459
Journal: Journal Of Ethnopharmacology
Application: WB
Reactivity: Zebrafish
Publish date: 2024 May
-
Citation
-
Computer-assisted engineering of stable human leukemia inhibitory factor
Author: Liu Zhishuai,et al
PMID: NO PMID20240515
Journal: Food Bioscience
Application: WB
Reactivity: Human
Publish date: 2024 May
-
Citation
-
Thymic Stromal Lymphopoietin Activates Mouse Dendritic Cells Through the JAK/SYK Pathway in Promoting Th17 Response in Psoriasis
Author: Cuihao Song, Jie Sun, Zhenkai Zhao, Xu Zhang, Xiangyu Ding, Xiaoqiang Liang, Jia Bai, Liyuan Xing, Lingling Gong, Chengxin Li, Biwen Lin
PMID: 38700313
Journal: Balkan Medical Journal
Application: IHC-P
Reactivity: Human,Mouse
Publish date: 2024 May
-
Citation
-
Bone-derived PDGF-BB enhances hippocampal non-specific transcytosis through microglia-endothelial crosstalk in HFD-induced metabolic syndrome
Author: Liu Guanqiao,et al
PMID: 38685040
Journal: Journal Of Neuroinflammation
Application: WB
Reactivity: Human,Mouse
Publish date: 2024 May
-
Citation
-
Phenformin activates ER stress to promote autophagic cell death via NIBAN1 and DDIT4 in oral squamous cell carcinoma independent of AMPK
Author: Zhuang Dexuan,et al
PMID: 38719825
Journal: International Journal Of Oral Science
Application: WB
Reactivity:
Publish date: 2024 May
-
Citation
-
A blood-brain barrier- and blood-brain tumor barrier-penetrating siRNA delivery system targeting gliomas for brain tumor immunotherapy
Author: Tang Lin,et al
PMID: 38575072
Journal: Journal Of Controlled Release
Application: WB
Reactivity: Mouse
Publish date: 2024 May
-
Citation
-
Aberrant Expression of SLC7A11 Impairs the Antimicrobial Activities of Macrophages in Staphylococcus Aureus Osteomyelitis in Mice
Author: Yang Bingsheng,et al
PMID: 38725861
Journal: International Journal Of Biological Sciences
Application: IHC-P
Reactivity: Mouse
Publish date: 2024 May
-
Citation
-
Neutrophil extracellular traps formation may be involved in the association of propranolol with the development of portal vein thrombosis
Author: Xu Xiangbo,et al
PMID: 38733693
Journal: Thrombosis Research
Application: WB
Reactivity:
Publish date: 2024 May
-
Citation
-
Pathogenicity characterization, immune response mechanisms, and antiviral strategies analysis underlying a LMBV strain in largemouth bass (Micropterus salmoides)
Author: Zhu Chengke,et al
PMID: NO PMID20240517
Journal: Aquaculture Reports
Application: WB
Reactivity: largemouth bass
Publish date: 2024 May
-
Citation
-
PD-1 Inhibitor Aggravate Irradiation-Induced Myocardial Fibrosis by Regulating TGF-β1/Smads Signaling Pathway via GSDMD-Mediated Pyroptosis
Author: Wu Bibo,et al
PMID: 38773023
Journal: Inflammation
Application: WB
Reactivity: Mouse
Publish date: 2024 May
-
Citation
-
Downregulation of HHATL Promotes Cardiac Hypertrophy via Activation of SHH/DRP1
Author: Xu Jing,et al
PMID: 38719175
Journal: Experimental Cell Research
Application: WB
Reactivity: Rat
Publish date: 2024 May
-
Citation
-
Hedgehog pathway negatively regulated depleted uranium-induced nephrotoxicity
Author: Xueying Xie,et al
PMID: 38546377
Journal: Environmental Toxicology
Application: WB
Reactivity: Mouse
Publish date: 2024 Mar
-
Citation
-
Self-consuming DNA nanogear retrieval exosomes for grading analysis of gliomas
Author: Xu Shuo,et al
PMID: no pmid240302
Journal: Chemical Engineering Journal
Application: WB
Reactivity: Human
Publish date: 2024 Mar
-
Citation
-
Dexmedetomidine activates the PKA/CREB pathway and inhibits proinflammatory factor expression through β2 adrenergic receptors
Author: Zhang Baocheng,et al
PMID: 38411331
Journal: Immunity Inflammation And Disease
Application: WB
Reactivity: Human
Publish date: 2024 Mar
-
Citation
-
Tumor-targeted Delivery of Copper-manganese Biomineralized Oncolytic Adenovirus for Colorectal Cancer Immunotherapy
Author: Li Yishu,et al
PMID: 38458511
Journal: Acta Biomaterialia
Application: WB
Reactivity: Mouse
Publish date: 2024 Mar
-
Citation
-
Identifying key antioxidative stress factors regulating Nrf2 in the genioglossus with human umbilical cord mesenchymal stem-cell therapy
Author: Guo Haixian,et al
PMID: 38462642
Journal: Scientific Reports
Application: WB
Reactivity: Human
Publish date: 2024 Mar
-
Citation
-
DP7-C/mir-26a system promotes bone regeneration by remodeling the osteogenic immune microenvironment
Author: Huang Jie,et al
PMID: 38501171
Journal: Oral Diseases
Application: WB
Reactivity: Rat
Publish date: 2024 Mar
-
Citation
-
Aspirin Caused Intestinal Damage through FXR and ET-1 Signaling Pathways
Author: Lin Qiuxia,et al
PMID: 38542397
Journal: International Journal Of Molecular Sciences
Application: WB
Reactivity: Mouse
Publish date: 2024 Mar
-
Citation
-
Miao medicine Gu Yan Xiao tincture inhibits mTOR to stimulate chondrocyte autophagy in a rabbit model of osteoarthritis
Author: He Cai,et al
PMID: 38548121
Journal: Journal Of Ethnopharmacology
Application: WB
Reactivity: Human
Publish date: 2024 Mar
-
Citation
-
UBD participates in neutrophilic asthma by promoting the activation of IL-17 signaling
Author: Yuchun Liu, Kang Cheng, Meng Sun, Cong Ding, Tao Li, Yangyang Jia, Chengbo Wang, Xiangzhan Zhu, Xiaorui Song, Rui Jia, Qionglin Wang, Yaodong Zhang, Xiaomin Sun
PMID: 38447828
Journal: International Journal Of Biological Macromolecules
Application: WB
Reactivity: Human
Publish date: 2024 Mar
-
Citation
-
FAM20A: a potential diagnostic biomarker for lung squamous cell carcinoma
Author: Zhang Yalin, Sun Qin, Liang Yangbo, Yang Xian, Wang Hailian, Song Siyuan, Wang Yi, Feng Yong
PMID: 38983866
Journal: Frontiers In Immunology
Application: WB
Reactivity:
Publish date: 2024 Jun
-
Citation
-
Mechanisms underlying neutrophils adhesion to triple-negative breast cancer cells via CD11b-ICAM1 in promoting breast cancer progression
Author: Yang Chenghui,et al
PMID: 38907234
Journal: Cell Communication And Signaling
Application: WB
Reactivity:
Publish date: 2024 Jun
-
Citation
-
Prognostic Value and Immune Signatures of Anoikis-related Genes in Breast Cancer
Author: Wu Qing,et al
PMID: 38864225
Journal: Journal For Immunotherapy
Application: WB
Reactivity:
Publish date: 2024 Jun
-
Citation
-
Tissue-resident trained immunity in hepatocytes protects against septic liver injury in zebrafish
Author: Wang Zhuang,et al
PMID: 38850536
Journal: Cell Reports
Application: WB
Reactivity:
Publish date: 2024 Jun
-
Citation
-
Lycopene inhibits pyroptosis of endothelial progenitor cells induced by ox-LDL through the AMPK/mTOR/NLRP3 pathway
Author: Chujun Tan, Junqiu Chen, Tengcan Tu, Lifang Chen, Jun Zou
PMID: 38919547
Journal: Open Medicine
Application: WB
Reactivity: Human
Publish date: 2024 Jun
-
Citation
-
Sulfated Laminarin Polysaccharides Reduce the Adhesion of Nano-COM Crystals to Renal Epithelial Cells by Inhibiting Oxidative and Endoplasmic Reticulum Stress
Author: He Tianqu,et al
PMID: 38931471
Journal: Pharmaceuticals
Application: WB
Reactivity: Human
Publish date: 2024 Jun
-
Citation
-
PDTC improves cognitive impairment in LPS-induced ARDS by regulating miR-181c/NF-κB axis-mediated neuroinflammation
Author: Fang Ying,et al
PMID: 38828532
Journal: Brain Injury
Application: WB
Reactivity:
Publish date: 2024 Jun
-
Citation
-
Effect of Heat Shock Treatment on the Virulence of Grass Carp Reovirus in Rare Minnow Gobiocypris rarus
Author: Ni Qinwei,et al
PMID: 38932213
Journal: Viruses
Application: WB
Reactivity:
Publish date: 2024 Jun
-
Citation
-
Kuwanon C inhibits proliferation and induction of apoptosis via the intrinsic pathway in MDA-MB231 and T47D breast cancer cells
Author: Qian Peng,et al
PMID: 38823755
Journal: Steroids
Application: WB
Reactivity:
Publish date: 2024 Jun
-
Citation
-
The lateral septum partakes the regulation of propofol-induced anxiety-like behavior
Author: Hu Qian,et al
PMID: 38897021
Journal: European Journal Of Pharmacology
Application: WB
Reactivity:
Publish date: 2024 Jun
-
Citation
-
Targeting lysyl oxidase like 2 attenuates OVA-induced airway remodeling partly via the AKT signaling pathway
Author: Zeng Rong,et al
PMID: 38824593
Journal: Respiratory Research
Application: WB
Reactivity: Mouse
Publish date: 2024 Jun
-
Citation
-
Synbiotics containing sea buckthorn polysaccharides ameliorate DSS-induced colitis in mice via regulating Th17/Treg homeostasis through intestinal microbiota and their production of BA metabolites and SCFAs
Author: Yuan Mingyou,et al
PMID: 38992530
Journal: International Journal Of Biological Macromolecules
Application: WB
Reactivity: Mouse
Publish date: 2024 Jul
-
Citation
-
Age-related dysregulation of CXCL9/10 in monocytes is linked to impaired innate immune responses in a mouse model of Staphylococcus aureus osteomyelitis
Author: Lin Yihuang,et al
PMID: 39001897
Journal: Cellular And Molecular Life Sciences
Application: IHC-P
Reactivity:
Publish date: 2024 Jul
-
Citation
-
NOX4 exacerbates Parkinson’s disease pathology by promoting neuronal ferroptosis and neuroinflammation
Author: Lin Zhihao, Ying Changzhou, Si Xiaoli, Xue Naijia, Liu Yi, Zheng Ran, Chen Ying, Pu Jiali, Zhang Baorong
PMID: 38993139
Journal: Neural Regeneration Research
Application: WB
Reactivity:
Publish date: 2024 Jul
-
Citation
-
Silencing MFN2 Drives WNT/β-catenin Nucleation to Reduce Sorafenib Sensitivity in Hepatocellular Carcinoma Cells
Author: Zeng Chaiming,et al
PMID: 38926329
Journal: Current Medical Science
Application: WB
Reactivity:
Publish date: 2024 Jul
-
Citation
-
Er-Dong-Xiao-Ke decoction regulates lipid metabolism via PPARG-mediated UCP2/AMPK signaling to alleviate diabetic meibomian gland dysfunction
Author: Shi Li,et al
PMID: 38925318
Journal: Journal Of Ethnopharmacology
Application: WB
Reactivity:
Publish date: 2024 Jul
-
Citation
-
Chromodomain Y-like (CDYL) inhibition ameliorates acute kidney injury in mice by regulating tubular pyroptosis
Author: Xiang Ting,et al
PMID: 39043969
Journal: Acta Pharmacologica Sinica
Application: WB
Reactivity:
Publish date: 2024 Jul
-
Citation
-
TNFSF11/TNFRSF11A Axis Amplifies HDM-Induced Airway Remodeling by Strengthening TGFβ1/STAT3 Action
Author: Zhang Dong,et al
PMID: 39155739
Journal: Allergy Asthma & Immunology Research
Application: WB
Reactivity: Human,Mouse
Publish date: 2024 Jul
-
Citation
-
NUAK1 activates STAT5/GLI1/SOX2 signaling to enhance cancer cell expansion and drives chemoresistance in gastric cancer
Author: Longlong Cao, Guangtan Lin, Denghui Fan, Kai Weng, Yujing Chen, Jiabin Wang, Ping Li, Chaohui Zheng, Changming Huang, Jianwei Xie
PMID: 38996065
Journal: Cell Reports
Application: WB
Reactivity: Mouse
Publish date: 2024 Jul
-
Citation
-
Necroptosis plays a role in TL1A-induced airway inflammation and barrier damage in asthma
Author: Liu Xiaofei,et al
PMID: 38987753
Journal: Respiratory Research
Application: WB
Reactivity:
Publish date: 2024 Jul
-
Citation
-
Knockout of C1q/tumor necrosis factor-related protein-9 aggravates cardiac fibrosis in diabetic mice by regulating YAP-mediated autophagy
Author: Ruan Shiyan, Li Jun, Lei Shengyun, Zhang Shaomeng, Xu Dan, Zuo Anju, Li Linxi, Guo Yuan
PMID: 39040468
Journal: Frontiers In Pharmacology
Application: WB
Reactivity:
Publish date: 2024 Jul
-
Citation
-
Design, synthesis, and biological evaluation of Pyrido[1,2-a]pyrimidin-4-one derivatives as novel allosteric SHP2 inhibitors
Author: Zhang Le,et al
PMID: 39067422
Journal: Bioorganic Chemistry
Application: WB
Reactivity:
Publish date: 2024 Jul
-
Citation
-
New findings on post-mortem chicken quality changes: The ROS-influenced MAPK-JNK signaling pathway affects chicken quality by regulating muscle cell apoptosis
Author: Ma Yunhao,et al
PMID: 39018616
Journal: Food Chemistry
Application: WB
Reactivity:
Publish date: 2024 Jul
-
Citation
-
Characterization and proteomic analysis of plasma-derived small extracellular vesicles in locally advanced rectal cancer patients
Author: Chen Haiyan,et al
PMID: 39162991
Journal: Preprint And Has Not Been Certified By Peer Review
Application: WB
Reactivity:
Publish date: 2024 Jul
-
Citation
-
Omega-3 polyunsaturated fatty acids protect peritoneal mesothelial cells from hyperglycolysis and mesothelial-mesenchymal transition through the FFAR4/CaMKKβ/AMPK/mTOR signaling pathway
Author: Zhang Jing,et al
PMID: 38262160
Journal: International Immunopharmacology
Application: WB
Reactivity: Mouse
Publish date: 2024 Jan
-
Citation
-
Regulation of BTB (POZ) Structural Domain 6b by MicroRNA-222b in Zebrafish Embryos after Exposure to Di(2-ethylhexyl)phthalate at Low Concentrations
Author: Huang Ge,et al
PMID: 38238692
Journal: Chemical Research In Toxicology
Application: WB
Reactivity: Zebrafish
Publish date: 2024 Jan
-
Citation
-
miR-520f-3p blocks MNNG-induced gastric precancerous lesions via the KLF7/NFκB pathway
Author: Jiang Wei,et al
PMID: 38184286
Journal: Toxicology Letters
Application: WB
Reactivity: Human,Mouse
Publish date: 2024 Jan
-
Citation
-
NAD+ dependent UPRmt activation underlies intestinal aging caused by mitochondrial DNA mutations
Author: Yang Liang,et al
PMID: 38228611
Journal: Nature Communications
Application: WB
Reactivity: Mouse
Publish date: 2024 Jan
-
Citation
-
Efficient generation of recombinant eggplant mottled dwarf virus and expression of foreign proteins in solanaceous hosts
Author: Wang Shuo,et al
PMID: 38215560
Journal: Virology
Application: WB
Reactivity: N. benthamiana
Publish date: 2024 Jan
-
Citation
-
The mutation of NSUN5 R295C promotes preeclampsia by impairing decidualization through downregulating IL-11Rα
Author: Hongya Zhang, Huihui Li, Jiatong Yao, Miaomiao Zhao, Cong Zhang
PMID: 38559585
Journal: iScience
Application: WB
Reactivity: Mouse
Publish date: 2024 Jan
-
Citation
-
Adenosine A2A receptor antagonist KW6002 protects against A53T mutant alpha-synuclein-induced brain damage and neuronal apoptosis in Parkinson's disease mice by restoring autophagic flux
Author: Hu Qidi,et al
PMID: 38157926
Journal: Neuroscience Letters
Application: IHC-P
Reactivity: Mouse
Publish date: 2024 Jan
-
Citation
-
Hippo/YAP1 promotes osteoporotic mice bone defect repair via the activating of Wnt signaling pathway
Author: Li Kehan,et al
PMID: 38184268
Journal: Cellular Signalling
Application: WB,IHC-P
Reactivity: Mouse
Publish date: 2024 Jan
-
Citation
-
circGRHPR inhibits aberrant epithelial-mesenchymal transformation progression of lung epithelial cells associated with idiopathic pulmonary fibrosis
Author: Wu Wensi,et al
PMID: 38267743
Journal: Cell Biology And Toxicology
Application: WB
Reactivity: Human
Publish date: 2024 Jan
-
Citation
-
Genetic association and functional validation of ZFP36L2 in non-syndromic orofacial cleft subtypes
Author: Sun Jialin,et al
PMID: 38321215
Journal: Journal Of Human Genetics
Application: WB
Reactivity: Zebrafish
Publish date: 2024 Feb
-
Citation
-
CDK1 promotes the phosphorylation of KIFC1 to regulate the tumorgenicity of endometrial carcinoma
Author: Xi Lin, Yingying He, Yiming Liu, Huihao Zhou, Xiaomin Xu, Jingui Xu, Kening Zhou
PMID: 38456590
Journal: Journal Of Gynecologic Oncology
Application: WB
Reactivity:
Publish date: 2024 Feb
-
Citation
-
Overexpression of Aurora Kinase B Is Correlated with Diagnosis and Poor Prognosis in Hepatocellular Carcinoma
Author: Zhang JIn,et al
PMID: 38396874
Journal: International Journal Of Molecular Sciences
Application: WB
Reactivity: Human
Publish date: 2024 Feb
-
Citation
-
Nobiletin Ameliorates Aging of Chicken Ovarian Prehierarchical Follicles by Suppressing Oxidative Stress and Promoting Autophagy
Author: Jingchun Bai, Xinyu Wang, Yiqiu Chen, Qiongyu Yuan, Zhaoyu Yang, Yuling Mi, Caiqiao Zhang
PMID: 38474379
Journal: Cells
Application: WB
Reactivity: Chicken
Publish date: 2024 Feb
-
Citation
-
Designed Directional Growth of Ti-Metal-Organic Frameworks for Decoding Alzheimer's Disease-Specific Exosome Metabolites
Author: Chen Yijie,et al
PMID: 38300748
Journal: Analytical Chemistry
Application: WB
Reactivity: Human
Publish date: 2024 Feb
-
Citation
-
Expression of GPX4 by oncolytic vaccinia virus can significantly enhance CD8+T cell function and its impact against pancreatic ductal adenocarcinoma
Author: Wei Wei, Linqing Tian, Xiaoyan Zheng, Lei Zhong, Yuan Chen, Hui Dong, Guibing Zhang, Shibing Wang, Xiangmin Tong
PMID: 38419758
Journal: OncoImmunology
Application: WB
Reactivity: Monkey
Publish date: 2024 Feb
-
Citation
-
Faecal hsa-miR-7704 inhibits the growth and adhesion of Bifidobacterium longum by suppressing ProB and aggravates hepatic encephalopathy
Author: Wang Yuchong,et al
PMID: 38396001
Journal: npj Biofilms and Microbiomes
Application: WB
Reactivity: Mouse
Publish date: 2024 Feb
-
Citation
-
Downregulation of CPSF6 leads to global mRNA 3’ UTR shortening and enhanced antiviral immune responses
Author: Yong Ge, Jingrong Huang, Rong Chen, Yonggui Fu, Tao Ling, Xin Ou, Xiaohui Rong, Youxiang Cheng, Yi Lin, Fengyi Zhou, Chuanjian Lu, Shaochun Yuan, Anlong Xu
PMID: 38416782
Journal: PLoS Pathogens
Application: WB
Reactivity: Mouse
Publish date: 2024 Feb
-
Citation
-
LASS2 suppresses metastasis in multiple cancers by regulating the ferroptosis signalling pathway through interaction with TFRC
Author: Huang Yunfei,et al
PMID: 38419028
Journal: Cancer Cell International
Application: WB
Reactivity:
Publish date: 2024 Feb
-
Citation
-
BZW2 promotes malignant progression in lung adenocarcinoma through enhancing the ubiquitination and degradation of GSK3β
Author: Jin Kai,et al
PMID: 38424042
Journal: Cell Death Discovery
Application: WB
Reactivity:
Publish date: 2024 Feb
-
Citation
-
Adiponectin receptor 1-mediated basolateral amygdala-prelimbic cortex circuit regulates methamphetamine-associated memory
Author: Zhigang Chen,et al
PMID: 39661515
Journal: Cell Reports
Application: WB
Reactivity: Mouse
Publish date: 2024 Dec
-
Citation
-
Pan-cancer analysis of NADPH oxidase 4 identifying its prognostic and immunotherapy predictive value and in vitro experimental verification in glioblastoma
Author: Quanlin Guan,et al
PMID: 39700959
Journal: International Immunopharmacology
Application: WB
Reactivity: Human
Publish date: 2024 Dec
-
Citation
-
Lactobacillus salivarius metabolite succinate enhances chicken intestinal stem cell activities via the SUCNR1-mitochondria axis
Author: Danni Luo, Minyao Zou, Xi Rao, Mingping Wei, Lingzhi Zhang, Yuping Hua, Lingzi Yu, Jiajia Cao, Jinyi Ye, Sichao Qi, Huanan Wang, Yuling Mi, Caiqiao Zhang, Jian Li
PMID: 39764876
Journal: Poultry Science
Application: WB
Reactivity: Chicken
Publish date: 2024 Dec
-
Citation
-
The Electric Field Guided HaCaT Cell Migration Through the EGFR/p38 MAPK/Akt Pathway
Author: Huajian Zhou, Shihao Zhang, Xiaoli Jin, Chunxian A, Peng Gong, Sanjun Zhao
PMID: 39852131
Journal: Current Issues In Molecular Biology
Application: WB
Reactivity:
Publish date: 2024 Dec
-
Citation
-
ITGB4/BNIP3 Activates Autophagy and Reduces MHC-I Expression to Mediate Tumour Immune Escape in Pancreatic Cancer Cell Lines
Author: Xianfei Zhou, Fan Yang, Luoshun Huang, Yisheng Ling, Renwei Xing, Jie Lu, Hanqiu Nie
PMID: 39711509
Journal: Immunology
Application: WB
Reactivity: Human,Mouse
Publish date: 2024 Dec
-
Citation
-
Akkermansia muciniphila activates natural killer cells by suppressing the TGF-β signaling pathway in lung adenocarcinoma cells
Author: Limin Chen,et al
PMID: 39700665
Journal: Cytokine
Application: WB
Reactivity: Mouse
Publish date: 2024 Dec
-
Citation
-
Prenatal dexamethasone exposure reduces osteoprogenitor proliferation in mice via histone modifications at the Mkp-1 gene locus
Author: Yongheng Xie,et al
PMID: 39609620
Journal: Communications Biology
Application: WB
Reactivity: Mouse
Publish date: 2024 Dec
-
Citation
-
Quercetin alleviates neonatal hypoxic-ischaemic brain injury by rebalancing microglial M1/M2 polarization through silent information regulator 1/ high mobility group box-1 signalling
Author: Zhaoyan Chen,et al
PMID: 39565473
Journal: Inflammopharmacology
Application: WB
Reactivity: Mouse
Publish date: 2024 Dec
-
Citation
-
CircDUSP16 mediates the effect of triple-negative breast cancer in pirarubicin via the miR-1224-3p/TFDP2 axis
Author: Wei Dexian, Zhang Fan, Li Min, Fan Zhimin, Ma Jiulong, Ji Jiahua, Qiao Sennan, Huang Peng, Zhang Wenqing, Fan Kaiqi, Li Lu, Zheng Wentao, Li Xiangjun, Ren Liqun
PMID: 39710273
Journal: Biochemical Pharmacology
Application: WB
Reactivity: Human
Publish date: 2024 Dec
-
Citation
-
Tomatidine Alleviates Intervertebral Disc Degeneration by Activating the Nrf2/HO-1/GPX4 Signaling Pathway
Author: Ze Li,et al
PMID: NOPMID24123106
Journal: Drug Design Development And Therapy
Application: WB
Reactivity: Rat
Publish date: 2024 Dec
-
Citation
-
Exposure to Bisphenol A jeopardizes decidualization and consequently triggers preeclampsia by up-regulating CYP1B1
Author: Zongting Wang,et al
PMID: 39740546
Journal: Journal Of Hazardous Materials
Application: IHC-P
Reactivity: Mouse
Publish date: 2024 Dec
-
Citation
-
CADLAB: A Contamination-Free, Argonaute-Enhanced, Dual Detection of Plant Viruses via Lateral Flow Assay Biosensors system
Author: Kai Sun,et al
PMID: NO PMID2024120503
Journal: Sensors And Actuators B-Chemical
Application:
Reactivity: Geminiviruses
Publish date: 2024 Dec
-
Citation
-
Establishment of Nile Tilapia Primary Cell Culture Methods and In Vitro Cell Knockdown Techniques
Author: Siqi Huang,et al
PMID: 39621127
Journal: Marine Biotechnology
Application: IF
Reactivity: Oreochromis niloticus
Publish date: 2024 Dec
-
Citation
-
A Binary siRNA-Loaded Tetrahedral DNA Nanobox for Synergetic Anti-Aging Therapy
Author: Ziqi Yue, Yichen Yang, Lulingxiao Nie, Yuezhang Sun, Qi Wang, Yunfeng Lin, Yang Gao, Xiaoxiao Cai
PMID: 39690794
Journal: Small
Application: WB
Reactivity: Mouse
Publish date: 2024 Dec
-
Citation
-
Diverse domains of raspberry pectin: critical determinants for protecting against IBDs
Author: Dongmei Wu, Xingqian Ye, Weiwei Hu, Chengxiao Yu, Kai Zhu, Haibo Pan, Jianle Chen, Huan Cheng, Shiguo Chen
PMID: 39716902
Journal: Food & Function
Application: WB
Reactivity: Mouse
Publish date: 2024 Dec
-
Citation
-
Enhanced bacteriostasis and osseointegrative properties of SiRNA-modified polyetheretherketone surface for implant applications
Author: Zhen Liu,et al
PMID: 39636795
Journal: Public Library Of Science One
Application: WB
Reactivity: Rat
Publish date: 2024 Dec
-
Citation
-
Development and Validation of Nomograms to Predict the Overall Survival and Progression-Free Survival in Patients with Advanced Unresectable Intrahepatic Cholangiocarcinoma
Author: Guohui Xu,et al
PMID: 39713568
Journal: Cancer Management And Research
Application: IHC-P
Reactivity: Human
Publish date: 2024 Dec
-
Citation
-
Maresin1 Inhibits Ferroptosis via the Nrf2/SLC7A11/GPX4 Pathway to Protect Against Sepsis-Induced Acute Liver Injury
Author: Yongjing Guo,et al
PMID: 39691306
Journal: Journal Of Inflammation Research
Application: WB
Reactivity: Mouse
Publish date: 2024 Dec
-
Citation
-
Long-term hypoxic atmosphere enhances the stemness, immunoregulatory functions, and therapeutic application of human umbilical cord mesenchymal stem cells
Author: Qi-Ming Huang,et al
PMID: 39662502
Journal: Bone & Joint Research
Application: IHC-P
Reactivity: Mouse
Publish date: 2024 Dec
-
Citation
-
Structure and assembly of the dystrophin glycoprotein complex
Author: Li Wan ,et al
PMID: 39663450
Journal: Nature
Application: WB
Reactivity: Mouse
Publish date: 2024 Dec
-
Citation
-
Metabolomics study of APETx2 post-conditioning on myocardial ischemia-reperfusion injury
Author: Jing Li, Yiyong Wei, Yi Wang, Yue Zhang, Ying Xu, Huanhuan Ma, Lulin Ma, Qingfan Zeng
PMID: 39712499
Journal: Frontiers In Pharmacology
Application: WB
Reactivity:
Publish date: 2024 Dec
-
Citation
-
Long-chain chlorinated paraffins (LCCPs) exposure induces apoptosis in primary chicken embryo hepatocytes through oxidative stress
Author: Xin Zheng,et al
PMID: 39708452
Journal: Ecotoxicology And Environmental Safety
Application: WB
Reactivity: Chicken
Publish date: 2024 Dec
-
Citation
-
Study on the mechanism on Yi-guan-jian decoction alleviating cognitive dysfunction in type 2 diabetes mellitus
Author: Yanan He,et al
PMID: 39725366
Journal: Journal Of Ethnopharmacology
Application: WB
Reactivity: Rat
Publish date: 2024 Dec
-
Citation
-
Microglia Promote Lymphangiogenesis Around the Spinal Cord Through VEGF-C/VEGFR3-Dependent Autophagy and Polarization After Acute Spinal Cord Injury
Author: Xian Yeyang,et al
PMID: 39158788
Journal: Molecular Neurobiology
Application: WB
Reactivity:
Publish date: 2024 Aug
-
Citation
-
Geniposide modulates GSK3β to inhibit Th17 differentiation and mitigate endothelial damage in intracranial aneurysm
Author: Qian Zhang, Lu-Feng Shi, Run-Dong Chen, He-He Zhao, Cong Yu, Yi-Rong Wang, Peng Lu
PMID: 39180344
Journal: Phytotherapy Research
Application: WB
Reactivity: Mouse
Publish date: 2024 Aug
-
Citation
-
Comparative Analysis of Tentacle Extract and Nematocyst Venom: Toxicity, Mechanism, and Potential Intervention in the Giant Jellyfish Nemopilema nomurai
Author: Geng Xiaoyu,et al
PMID: 39195478
Journal: Marine Drugs
Application: WB
Reactivity: Mouse
Publish date: 2024 Aug
-
Citation
-
Pulsed electromagnetic fields potentiate bone marrow mesenchymal stem cell chondrogenesis by regulating the Wnt/β-catenin signaling pathway
Author: Song Kangping,et al
PMID: 39107784
Journal: Journal Of Translational Medicine
Application: WB
Reactivity: Mouse
Publish date: 2024 Aug
-
Citation
-
EGFR-MEK1/2 cascade negatively regulates bactericidal function of bone marrow macrophages in mice with Staphylococcus aureus osteomyelitis
Author: Jin Mingchao,et al
PMID: 39102432
Journal: PLoS Pathogens
Application: WB
Reactivity:
Publish date: 2024 Aug
-
Citation
-
Hexavalent chromium reduces testosterone levels by impairing lipophagy and disrupting lipid metabolism homeostasis: based on a metabolomic analysis
Author: Xue Qian,et al
PMID: 39121936
Journal: Toxicology
Application: WB
Reactivity:
Publish date: 2024 Aug
-
Citation
-
Engineering aptamers to enhance their interaction with protein target for selective inhibition of cell surface receptors
Author: Lulu Song, Ya Wang, Yujing Guo, Shajidan Bulale, Miaomiao Zhou, Fei Yu, Leiliang He
PMID: 39181365
Journal: International Journal Of Biological Macromolecules
Application: WB
Reactivity:
Publish date: 2024 Aug
-
Citation
-
CACNA1H restrains chemotherapy resistance in ovarian clear cell carcinoma cells by repressing autophagy
Author: Shi Huaijing,et al
PMID: 39105964
Journal: Molecular Genetics And Genomics
Application: WB
Reactivity:
Publish date: 2024 Aug
-
Citation
-
Chromosome instability functions as a potential therapeutic reference by enhancing chemosensitivity to BCL-XL inhibitors in colorectal carcinoma
Author: Fang Xiao,et al
PMID: 39187678
Journal: Acta Pharmacologica Sinica
Application: WB
Reactivity:
Publish date: 2024 Aug
-
Citation
-
Molecular Characteristics and Pathogenic Mechanisms of KPC-3 Producing Hypervirulent Carbapenem-Resistant Klebsiella Pneumoniae (ST23-K1)
Author: Tu Yanye, Gao Hui, Zhao Rongqing, Yan Jiliang, Wu Xingbing
PMID: 39211794
Journal: Frontiers In Cellular And Infection Microbiology
Application: WB
Reactivity: Mouse
Publish date: 2024 Aug
-
Citation
-
The role of β2-AR/PI3K/AKT pathway in the proliferation, migration and invasion of THLE-2 cells induced by nicotine
Author: Xu Yuqin,et al
PMID: 39147091
Journal: Toxicology
Application: WB
Reactivity:
Publish date: 2024 Aug
-
Citation
-
Natural compound phloretin restores periodontal immune homeostasis via HIF-1α-regulated PI3K/Akt and glycolysis in macrophages
Author: Zeng Xinyi,et al
PMID: 39186834
Journal: International Immunopharmacology
Application: WB
Reactivity:
Publish date: 2024 Aug
-
Citation
-
A specific GAGTT insertion/deletion variation in the IL-10 gene promoter alters the disease resistance of grass carp
Author: Yang Hong,et al
PMID: NO PMID20240828
Journal: Aquaculture
Application: WB
Reactivity:
Publish date: 2024 Aug
-
Citation
-
Punicic acid ameliorates obesity-related hyperlipidemia and fatty liver in mice via regulation of intestinal flora and lipopolysaccharide related signaling pathways
Author: Chen Liping,et al
PMID: 38618675
Journal: Food & Function
Application: WB
Reactivity: Mouse
Publish date: 2024 Apr
-
Citation
-
Luteolin alleviates sorafenib-induced ferroptosis of BRL-3A cells through modulation of the Nrf2/GPX4 signaling pathway
Author: Zhang Bowen,et al
PMID: no pmid0527
Journal: Preprint And Has Not Been Certified By Peer Review
Application: WB
Reactivity: Human
Publish date: 2024 Apr
-
Citation
-
Voacangine protects hippocampal neuronal cells against oxygen–glucose deprivation/reoxygenation-caused oxidative stress and ferroptosis by activating the PI3K-Akt-FoxO signaling
Author: Ying Li, Yan Sun, Jianghong Wang, Xiaolong Wang, Wenjie Yang
PMID: 38666302
Journal: Journal Of Applied Toxicology
Application: WB
Reactivity:
Publish date: 2024 Apr
-
Citation
-
Inhibition of ACSS2-mediated histone crotonylation alleviates kidney fibrosis via IL-1β-dependent macrophage activation and tubular cell senescence
Author: Li Lingzhi,et al
PMID: 38615014
Journal: Nature Communications
Application: WB
Reactivity: Mouse
Publish date: 2024 Apr
-
Citation
-
Histone derived antimicrobial peptides identified from Mytilus coruscus serum by peptidomics
Author: Wang Haodong,et al
PMID: 38614412
Journal: Fish & Shellfish Immunology
Application: WB
Reactivity: Mytilus
Publish date: 2024 Apr
-
Citation
-
Combined BRAF and PIM1 inhibitory therapy for papillary thyroid carcinoma based on BRAFV600E regulation of PIM1: Synergistic effect and metabolic mechanisms
Author: Xu Qianqian,et al
PMID: 38593698
Journal: Neoplasia
Application: WB
Reactivity: Mouse
Publish date: 2024 Apr
-
Citation
-
Psoralen and Isopsoralen, Two Estrogen-Like Natural Products from Psoraleae Fructus, Induced Cholestasis via Activation of ERK1/2
Author: Chen Liangmin,et al
PMID: 38646980
Journal: Chemical Research In Toxicology
Application: WB
Reactivity: Zebrafish
Publish date: 2024 Apr
-
Citation
-
Knockdown of PGC1α suppresses dysplastic oral keratinocytes proliferation through reprogramming energy metabolism
Author:
PMID: 37661238
Journal: International Journal Of Oral Science
Application:
Reactivity: Human
Publish date: 2023 Sept
-
Citation
-
Asiaticoside-nitric oxide promoting diabetic wound healing through the miRNA-21-5p/TGF-β1/SMAD7/TIMP3 signaling pathway
Author:
PMID: 37783408
Journal: Journal Of Ethnopharmacology
Application: WB
Reactivity: Human
Publish date: 2023 Sept
-
Citation
-
Post-acute ischemic stroke hyperglycemia aggravates destruction of the blood-brain barrier
Author: Xu Tianqi, Yang Jianhong, Xu Yao, Wang Xiaofeng, Gao Xiang, Sun Jie, Zhou Chenhui, Huang Yi
PMID: 37905884
Journal: Neural Regeneration Research
Application: WB
Reactivity: Human
Publish date: 2023 Sept
-
Citation
-
Ferritin was involved in interleukin-17A enhanced osteogenesis through autophagy activation
Author: Wenlin Yuan, Yuting Yang, Yingming Wei, Xufei Yu, Jiaqi Bao, Jiahui Zhong, Zhongxiu Wang, Lili Chen
PMID: 37713787
Journal: International Immunopharmacology
Application: WB
Reactivity: Mouse
Publish date: 2023 Sept
-
Citation
-
HIF-1α-induced upregulation of m6A reader IGF2BP1 facilitates peripheral nerve injury recovery by enhancing SLC7A11 mRNA stabilization
Author: An S, Shi J, Huang J, Li Z, Feng M, Cao G
PMID: 37783915
Journal: In Vitro Cellular & Developmental Biology - Animal
Application: WB
Reactivity:
Publish date: 2023 Sept
-
Citation
-
GAD1-mediated GABA elicits aggressive characteristics of human oral cancer cells
Author: Zhichao Dou, Mao Li, Zeliang Shen, Hongjie Jiang, Xin Pang, Tianjiao Li, Xinhua Liang, Yaling Tang
PMID: 37774573
Journal: Biochemical And Biophysical Research Communications
Application: WB
Reactivity: Human
Publish date: 2023 Sept
-
Citation
-
TRIM28 recruits E2F1 to regulate CBX8-mediated cell proliferation and tumor metastasis of ovarian cancer
Author: Zhang Fubin, Zhu Tianhong, Wu Chenghao, Shen Dongsheng, Liu Lixiao, Chen Xueqin, Guan Yutao, Ding Huiqing, Tong Xiaowen
PMID: 37709991
Journal: Human Cell
Application: WB
Reactivity: Human
Publish date: 2023 Sept
-
Citation
-
Anti-diabetic effect of Ornithogalum caudatum Jacq. polysaccharides via the PI3K/Akt/GSK-3β signaling pathway and regulation of gut microbiota
Author:
PMID: 37860571
Journal: Heliyon
Application: WB
Reactivity: Mouse
Publish date: 2023 Oct
-
Citation
-
Transcrocetin Meglumine Salt Inhibits Spinal Glial Cell-Mediated Proinflammatory Cytokines and Attenuates Complete Freund's Adjuvant-Induced Inflammatory Pain.
Author: Qing Qiao, Dandan Yao, Yongjie Wang, Shuxia Zhang, Gang Chen
PMID: 37899033
Journal: Neuroimmunomodulation
Application: WB
Reactivity: Mouse
Publish date: 2023 Oct
-
Citation
-
Unilateral injection of botulinum toxin type A into the masseter muscle induces mandibular asymmetry in adolescent rats by suppressing the angular process growth
Author:
PMID: 37897486
Journal: American Journal Of Orthodontics And Dentofacial Orthopedics
Application: WB
Reactivity: Rat
Publish date: 2023 Oct
-
Citation
-
Evaluation of time-dependent phenotypes of myocardial ischemia-reperfusion in mice
Author: Xiang-Min Meng, Jing-Han Yuan, Zhen-Fang Zhou, Qi-Pu Feng, Bing-Mei Zhu
PMID: 37819785
Journal: Aging-Us
Application: WB
Reactivity: Mouse
Publish date: 2023 Oct
-
Citation
-
Activation of the PERK-CHOP signaling pathway during endoplasmic reticulum stress contributes to olanzapine-induced dyslipidemia
Author:
PMID: 37880338
Journal: Acta Pharmacologica Sinica
Application: WB
Reactivity: Mouse
Publish date: 2023 Oct
-
Citation
-
Novel TFG mutation causes autosomal-dominant spastic paraplegia and defects in autophagy
Author: Ling Xu, Yaru Wang, Wenqing Wang, Rui Zhang, Dandan Zhao, Yan Yun, Fuchen Liu, Yuying Zhao, Chuanzhu Yan, Pengfei Lin
PMID: 37890998
Journal: Journal Of Medical Genetics
Application: WB
Reactivity: Human
Publish date: 2023 Oct
-
Citation
-
Syringaresinol alleviates IgG immune complex induced acute lung injury via activating PPARγ and suppressing pyroptosis
Author:
PMID: 37857123
Journal: International Immunopharmacology
Application: WB
Reactivity: Mouse
Publish date: 2023 Oct
-
Citation
-
Plasma TNFRSF11B as a New Predictive Inflammatory Marker of Sepsis-ARDS with Endothelial Dysfunction
Author:
PMID: 37851947
Journal: Journal Of Proteome Research
Application: WB
Reactivity:
Publish date: 2023 Oct
-
Citation
-
Down-Regulation of miRNA-1303 Promotes the Angiogenesis of HUVECs via Targeting THSD7A
Author: Xiang G, Zhao Y, Jin D, et al
PMID: 37847360
Journal: Molecular Biotechnology
Application: WB
Reactivity: Human
Publish date: 2023 Oct
-
Citation
-
The transcription factor FgStuA regulates virulence and mycotoxin biosynthesis via recruiting the SAGA complex in Fusarium graminearum
Author:
PMID: 37799006
Journal: New Phytologist
Application: WB
Reactivity:
Publish date: 2023 Oct
-
Citation
-
A fully human monoclonal antibody targeting Semaphorin 5A alleviates the progression of rheumatoid arthritis
Author:
PMID: 37832409
Journal: Biomedicine & Pharmacotherapy
Application:
Reactivity: Mouse
Publish date: 2023 Oct
-
Citation
-
Inorganic arsenic-mediated upregulation of TUG1 promotes apoptosis in human bronchial epithelial by activating the p53 signaling pathway
Author: Qian Chen, Mingjun Sun, Huirong Cheng, Jun Qi, Jingwen Tan, Yun Gu, Tianle Yu, Ming Li, Hao Xu, Yuefeng He, Weihua Wen
PMID: 37864286
Journal: Toxicology And Industrial Health
Application: WB
Reactivity: Human
Publish date: 2023 Oct
-
Citation
-
NSG1 promotes glycolytic metabolism to enhance Esophageal squamous cell carcinoma EMT process by upregulating TGF-β
Author:
PMID: 37872157
Journal: Cell Death Discovery
Application: WB
Reactivity: Mouse
Publish date: 2023 Oct
-
Citation
-
Hydroxysafflor yellow A inhibits the hyperactivation of rat platelets by regulating the miR-9a-5p/SRC axis
Author:
PMID: 37748625
Journal: Archives Of Biochemistry And Biophysics
Application: WB
Reactivity: Rat
Publish date: 2023 Oct
-
Citation
-
Molecular basis of methyl-salicylate-mediated plant airborne defence
Author: Gong Qian,et al
PMID: 37704724
Journal: Nature
Application: WB
Reactivity:
Publish date: 2023 Oct
-
Citation
-
IL-37 counteracts inflammatory injury in the temporomandibular joint via the intracellular pathway
Author: Jun Li , Sisi Peng , Ying Yan, et al
PMID: 38053836
Journal: Frontiers In Pharmacology
Application: WB
Reactivity: Human
Publish date: 2023 Nov
-
Citation
-
Electrical stimulation prevents condyle and subchondral degeneration following the masseter atrophy
Author: Chuan Wu, Qunyan Zhang, Xiuyun Zheng, Quancheng Han, Chunfeng Fu, Xiaoyu Liu, Tingting Wu
PMID: 37927162
Journal: Oral Diseases
Application: WB
Reactivity:
Publish date: 2023 Nov
-
Citation
-
Acupuncture with specific mode electro-stimulation effectively and transiently opens the BBB through Shh signaling pathway
Author: Lin Y, Gan L, Ren L, et al
PMID: 37942738
Journal: Neuroreport
Application: WB
Reactivity: Rat
Publish date: 2023 Nov
-
Citation
-
Quercetin alleviates cadmium-induced BRL-3A cell apoptosis by inhibiting oxidative stress and the PERK/IRE1α/ATF6 signaling pathway
Author: Ding Lulu, Zhu Huali, Wang Ke, Huang Ruxue, Yu Wenjing, Yan Bingzhao, Zhou Bianhua, Wang Hongwei, Yang Zijun, Liu Zongping, Wang Jicang
PMID: 38001299
Journal: Environmental Science And Pollution Research
Application: WB
Reactivity: Rat
Publish date: 2023 Nov
-
Citation
-
LASS2 enhances p53 protein stability and nuclear import to suppress liver cancer progression through interaction with MDM2/MDMX
Author: Zhao Q, He W, Liu Z, et al
PMID: 37963859
Journal: Cell Death Discovery
Application: WB
Reactivity: Human
Publish date: 2023 Nov
-
Citation
-
Krüppel-like factor 5 activates chick intestinal stem cell and promotes mucosal repair after impairment
Author: Yu L, Qi S, Wei G, et al
PMID: 37950881
Journal: Cell Cycle
Application: WB
Reactivity: Chicken
Publish date: 2023 Nov
-
Citation
-
LATS1/YAP1 Axis Controls Bone Regeneration on Distraction Osteogenesis by Activating Wnt/β-catenin
Author: Li K, Liu L, Liu H, Xing J, Hu P, Song J
PMID: 37930731
Journal: Tissue Engineering Part A
Application: WB
Reactivity: Rat
Publish date: 2023 Nov
-
Citation
-
The sucrose non-fermenting-1 kinase Snf1 is involved in fludioxonil resistance via interacting with the high osmolarity glycerol MAPK kinase Hog1 in Fusarium
Author: Wang Jing, Wen Ziyue, Chen Yun, Ma Zhonghua
PMID: 26NOPMID25012401
Journal: Phytopathology Research
Application: WB
Reactivity: Fusarium graminearum
Publish date: 2023 Nov
-
Citation
-
The Analgesia Effect of Aucubin on CFA-Induced Inflammatory Pain by Inhibiting Glial Cells Activation-Mediated Inflammatory Response via Activating Mitophagy
Author: Dandan Yao, Yongjie Wang, Yeru Chen, Gang Chen
PMID: 38004411
Journal: Pharmaceuticals
Application: WB
Reactivity: Mouse
Publish date: 2023 Nov
-
Citation
-
The impact and mechanism of TET3 overexpression on the progression of hepatic fibrosis
Author: Liu R, Feng L, Tang S, Liu Y, Yang Q
PMID: 37464780
Journal: Epigenomics
Application: WB
Reactivity: Mouse
Publish date: 2023 May
-
Citation
-
OsCIP1, a secreted protein, binds to and stabilizes OsCR4 to promote aleurone layer development, seed germination and early seedling growth in rice
Author:
PMID: 36787850
Journal: Plant Science
Application: WB
Reactivity:
Publish date: 2023 May
-
Citation
-
Identification of a Specific Phage as Growth Factor Alternative Promoting the Recruitment and Differentiation of MSCs in Bone Tissue Regeneration
Author:
PMID: 37023478
Journal: ACS Biomaterials Science & Engineering
Application: WB
Reactivity: Mouse
Publish date: 2023 May
-
Citation
-
Discovery of a potent and selective allosteric inhibitor targeting the SHP2 tunnel site for RTK-driven cancer treatment
Author: Luo, R., Fu, W., Shao, J., Ma, L., Shuai, S., Xu, Y., Jiang, Z., Ye, Z., Zheng, L., Zheng, L., Yu, J., Zhang, Y., Yin, L., Tu, L., Lv, X., Li, J., Liang, G., & Chen, L.
PMID: 37023678
Journal: European Journal Of Medicinal Chemistry
Application: WB
Reactivity: Human
Publish date: 2023 May
-
Citation
-
Design, synthesis and bioevaluation of 1, 2, 4-thiadiazolidine-3, 5-dione derivatives as potential GSK-3β inhibitors for the treatment of Alzheimer's disease
Author:
PMID: 36868127
Journal: Bioorganic Chemistry
Application: WB
Reactivity:
Publish date: 2023 May
-
Citation
-
Integrated proteome and acetylome analyses provide novel insights into early somatic embryogenesis of Dimocarpus longan
Author: Zhang X, Lai C, Xu L, et al
PMID: 36878164
Journal: Plant Physiology And Biochemistry
Application: WB
Reactivity:
Publish date: 2023 Mar
-
Citation
-
Design, Synthesis, and Biological Evaluation of Sulfonamide Methoxypyridine Derivatives as Novel PI3K/mTOR Dual Inhibitors
Author:
PMID: 36986560
Journal: Pharmaceuticals
Application: WB
Reactivity:
Publish date: 2023 Mar
-
Citation
-
Pectolinarigenin alleviated septic acute kidney injury via inhibiting Jak2/Stat3 signaling and mitochondria dysfunction
Author:
PMID: 36706631
Journal: Biomedicine & Pharmacotherapy
Application: WB
Reactivity: Mouse
Publish date: 2023 Mar
-
Citation
-
Characterizing the obesogenic and fatty liver-inducing effects of Acetyl tributyl citrate (ATBC) plasticizer using both in vivo and in vitro models
Author:
PMID: 37055963
Journal: Journal Of Hazardous Materials
Application: WB
Reactivity: Mouse
Publish date: 2023 Mar
-
Citation
-
A lef5-deficient baculovirus expression system with no virion contamination and promoting secretion
Author:
PMID: 36709001
Journal: Journal Of Biotechnology
Application: WB
Reactivity: Insect
Publish date: 2023 Mar
-
Citation
-
Methylprednisolone Promotes Mycobacterium smegmatis Survival in Macrophages through NF-κB/DUSP1 Pathway
Author:
PMID: 36985341
Journal: Microorganisms
Application: WB
Reactivity:
Publish date: 2023 Mar
-
Citation
-
Optogenetic engineered umbilical cord MSC-derived exosomes for remodeling of the immune microenvironment in diabetic wounds and the promotion of tissue repair
Author:
PMID: 37269014
Journal: Journal Of Nanobiotechnology
Application: WB
Reactivity: Human
Publish date: 2023 Jun
-
Citation
-
The role of TREM1 in regulating microglial polarization in sevoflurane-induced perioperative neurocognitive disorders
Author:
PMID: 37148600
Journal: Journal Of Neuroimmunology
Application: WB
Reactivity: Mouse
Publish date: 2023 Jun
-
Citation
-
Vps4a Regulates Autophagic Flux to Prevent Hypertrophic Cardiomyopathy
Author:
PMID: 37445978
Journal: International Journal Of Molecular Sciences
Application: WB
Reactivity: Mouse
Publish date: 2023 Jun
-
Citation
-
Panax notoginseng saponins normalises tumour blood vessels by inhibiting EphA2 gene expression to modulate the tumour microenvironment of breast cancer
Author: Xia, L., Liu, X., Mao, W., Guo, Y., Huang, J., Hu, Y., Jin, L., Liu, X., Fu, H., Du, Y., & Shou, Q.
PMID: 37060724
Journal: Phytomedicine
Application: WB,IHC-P
Reactivity: Mouse
Publish date: 2023 Jun
-
Citation
-
Integrated analysis of FKBP1A/SLC3A2 axis in everolimus inducing ferroptosis of breast cancer and anti-proliferation of T lymphocyte
Author:
PMID: 37484811
Journal: International Journal Of Medical Sciences
Application: WB
Reactivity: Human
Publish date: 2023 Jun
-
Citation
-
TWIST1 rescue calcium overload and apoptosis induced by inflammatory microenvironment in S. aureus-induced osteomyelitis
Author:
PMID: 37071966
Journal: International Immunopharmacology
Application: WB
Reactivity:
Publish date: 2023 Jun
-
Citation
-
Discovery of a Selective and Orally Bioavailable FGFR2 Degrader for Treating Gastric Cancer
Author: Ma, L., Li, Y., Luo, R., Wang, Y., Cao, J., Fu, W., Qian, B., Zheng, L., Tang, L., Lv, X., Zheng, L., Liang, G., & Chen, L.
PMID: 37220310
Journal: Journal Of Medicinal Chemistry
Application: WB
Reactivity: Human,Mouse
Publish date: 2023 Jun
-
Citation
-
Effects and mechanism of perinatal nonylphenol exposure on cardiac function and myocardial mitochondria in neonatal rats
Author: Ni C, Pan K, Xu J, et al
PMID: 37146387
Journal: Ecotoxicology And Environmental Safety
Application: WB
Reactivity: Rat
Publish date: 2023 Jun
-
Citation
-
Bone marrow mesenchymal stem cell-derived exosomes loaded with miR-26a through the novel immunomodulatory peptide DP7-C can promote osteogenesis
Author:
PMID: 37195490
Journal: Biotechnology Letters
Application: WB
Reactivity: Rat
Publish date: 2023 Jul
-
Citation
-
Spatial Control of Receptor Dimerization Using Programmable DNA Nanobridge
Author: Wang Y, Xiong Y, Song L, et al
PMID: 37319440
Journal: Biomacromolecules
Application: WB
Reactivity: Human
Publish date: 2023 Jul
-
Citation
-
Bifidobacterium adolescentis induces Decorin+ macrophages via TLR2 to suppress colorectal carcinogenesis
Author:
PMID: 37464382
Journal: Journal Of Experimental & Clinical Cancer Research
Application: WB
Reactivity: Mouse
Publish date: 2023 Jul
-
Citation
-
Identification of a novel role for TL1A/DR3 deficiency in acute respiratory distress syndrome that exacerbates alveolar epithelial disruption
Author: Zhang, D., Zhang, J., Zhang, J., Ji, X., Qi, Q., Xu, J., Pan, Y., Liu, X., Sun, F., Zeng, R., & Dong, L.
PMID: 37434162
Journal: Respiratory Research
Application: WB
Reactivity: Mouse
Publish date: 2023 Jul
-
Citation
-
Parthenolide alleviates microglia‐mediated neuroinflammation via MAPK/TRIM31/NLRP3 signaling to ameliorate cognitive disorder
Author:
PMID: 37182449
Journal: International Immunopharmacology
Application: WB
Reactivity: Human,Mouse
Publish date: 2023 Jul
-
Citation
-
Resveratrol inhibits autophagy against myocardial ischemia-reperfusion injury through the DJ-1/MEKK1/JNK pathway
Author:
PMID: 37149277
Journal: European Journal Of Pharmacology
Application: WB
Reactivity: Rat
Publish date: 2023 Jul
-
Citation
-
The OsbHLH002/OsICE1-OSH1 module orchestrates secondary cell wall formation in rice
Author:
PMID: 37384532
Journal: Cell Reports
Application: WB
Reactivity: Rice
Publish date: 2023 Jul
-
Citation
-
MCC950 improves lipopolysaccharide‑induced systemic inflammation in mice by relieving pyroptosis in blood neutrophils
Author: Runfeng Miao, Jian Huang
PMID: 37602308
Journal: Experimental And Therapeutic Medicine
Application: WB
Reactivity: Mouse
Publish date: 2023 Jul
-
Citation
-
Klf4-Sirt3/Pparα-Lcad pathway contributes to high phosphate-induced lipid degradation
Author:
PMID: 36624473
Journal: Cell Communication And Signaling
Application: WB
Reactivity: Catfish
Publish date: 2023 Jan
-
Citation
-
RNAi‐mediated silencing of an egg‐specific gene Nllet1 results in hatch failure in the brown planthopper
Author:
PMID: 36177946
Journal: Pest Management Science
Application: WB
Reactivity: Brown Planthopper
Publish date: 2023 Jan
-
Citation
-
Hypermethylation-Mediated lncRNA MAGI2-AS3 Downregulation Facilitates Malignant Progression of Laryngeal Squamous Cell Carcinoma via Interacting With SPT6
Author: Wang, J., Yang, C., Cao, H., Yang, J., Meng, W., Yu, M., Yu, L., & Wang, B.
PMID: 36852700
Journal: Cell Transplantation
Application: RIP
Reactivity: Human
Publish date: 2023 Jan
-
Citation
-
Roles of PADI4 in the expression of cytokines involved in inflammation and adhesion in differentiated NB4 cells treated with ATRA
Author: Sun, X., Mu, X., Li, F., Wang, Y., Yang, X., & Guo, Q.
PMID: 36815967
Journal: Experimental And Therapeutic Medicine
Application: WB
Reactivity: Human
Publish date: 2023 Jan
-
Citation
-
G9a inhibition promotes the formation of pacemaker-like cells by reducing the enrichment of H3K9me2 in the HCN4 promoter region
Author: Xu, P., Jin, K., Zhou, J., Gu, J., Gu, X., Dong, L., & Sun, X.
PMID: 36484369
Journal: Molecular Medicine Reports
Application: ChIP
Reactivity: Rat
Publish date: 2023 Jan
-
Citation
-
Boosting ferroptosis and microtubule inhibition for antitumor therapy via a carrier-free supermolecule nanoreactor
Author:
PMID: 36816538
Journal: Journal Of Pharmaceutical Analysis
Application: WB,IF
Reactivity: Mouse
Publish date: 2023 Jan
-
Citation
-
PD-1/PD-L1 blockade is a potent adjuvant in treatment of Staphylococcus aureus osteomyelitis in mice
Author:
PMID: 36104974
Journal: Molecular Therapy
Application: WB
Reactivity: Mouse
Publish date: 2023 Jan
-
Citation
-
SARS‐CoV‐2 ORF3a inhibits cGAS‐STING‐mediated autophagy flux and antiviral function
Author:
PMID: 36163413
Journal: Journal Of Medical Virology
Application: WB
Reactivity: Human
Publish date: 2023 Jan
-
Citation
-
Circular RNA circTRPS1-2 inhibits the proliferation and migration of esophageal squamous cell carcinoma by reducing the production of ribosomes
Author:
PMID: 36635258
Journal: Cell Death Discovery
Application: WB
Reactivity: Human
Publish date: 2023 Jan
-
Citation
-
Dusp1 regulates thermal tolerance limits in zebrafish by maintaining mitochondrial integrity
Author:
PMID: 36419379
Journal: Zoological Research
Application: WB
Reactivity: Human
Publish date: 2023 Jan
-
Citation
-
DNA virus oncoprotein HPV18 E7 selectively antagonizes cGAS-STING-triggered innate immune activation
Author: Lou, M., Huang, D., Zhou, Z., Shi, X., Wu, M., Rui, Y., Su, J., Zheng, W., & Yu, X. F.
PMID: 36377393
Journal: Journal Of Medical Virology
Application: WB
Reactivity: Human
Publish date: 2023 Jan
-
Citation
-
APPL1 Is a Prognostic Biomarker and Correlated with Treg Cell Infiltration via Oxygen-Consuming Metabolism in Renal Clear Cell Carcinoma
Author: Yang, M., Gong, C., Song, K., Huang, N., Chen, H., Gong, H., Yang, Y., Guo, S., & Xiao, H.
PMID: 36846720
Journal: Oxidative Medicine And Cellular Longevity
Application: WB
Reactivity: Human
Publish date: 2023 Feb
-
Citation
-
TRAF3 activates STING-mediated suppression of EV-A71 and target of viral evasion
Author: Zheng, W., Zhou, Z., Rui, Y., Ye, R., Xia, F., Guo, F., Liu, X., Su, J., Lou, M., & Yu, X. F.
PMID: 36823147
Journal: Signal Transduction And Targeted Therapy
Application: WB
Reactivity: Human
Publish date: 2023 Feb
-
Citation
-
Activated Hepatic Nuclear Factor-κB in Experimental Colitis Regulates CYP2A5 and Metronidazole Disposition
Author:
PMID: 36583631
Journal: Molecular Pharmaceutics
Application: WB
Reactivity:
Publish date: 2023 Feb
-
Citation
-
Anti-inflammatory and analgesic effect of Forsythiaside B on complete Freund's adjuvant-induced inflammatory pain in mice
Author:
PMID: 36680937
Journal: Biochemical And Biophysical Research Communications
Application: WB
Reactivity:
Publish date: 2023 Feb
-
Citation
-
NCOA2-induced secretion of leptin leads to fetal growth restriction via the NF-κB signaling pathway
Author:
PMID: 36923094
Journal: Annals Of Translational Medicine
Application: WB
Reactivity:
Publish date: 2023 Feb
-
Citation
-
Effects of diflubenzuron on shrimp (Neocaridina palmata) in freshwater systems dominated by submerged plant (Ceratophyllum demersum)
Author: Huang D, Li S, Lu Y, Sha M, Li J
PMID: 36529168
Journal: Chemosphere
Application: WB
Reactivity:
Publish date: 2023 Feb
-
Citation
-
A novel L-shaped ortho-quinone analog as PLK1 inhibitor blocks prostate cancer cells in G2 phase
Author: Shaowei Zhang, Jia Yu, Xin Tan, Sha Cheng, Hanfei Liu, Zhiyao Li, Shinan Wei, Weidong Pan, Heng Luo
PMID: 38049008
Journal: Biochemical Pharmacology
Application: WB,IHC-P
Reactivity: Human
Publish date: 2023 Dec
-
Citation
-
Overexpression of SLC35F2 is a potential prognostic biomarker for lung adenocarcinoma
Author: Qingzhu Zheng , Mingjie Li , Yingkun Qiu, et al
PMID: 38187235
Journal: Heliyon
Application: WB
Reactivity: Human
Publish date: 2023 Dec
-
Citation
-
ZNF503 combined with GATA3 is a prognostic factor in triple-negative breast cancer
Author:
PMID: 37036735
Journal: Biomarkers
Application: IHC-P
Reactivity: Human
Publish date: 2023 Dec
-
Citation
-
Musashi-2 Deficiency Triggers Colorectal Cancer Ferroptosis by Downregulating the MAPK Signaling Cascade to Inhibit HSPB1 Phosphorylation
Author: Meng X, Peng X, Ouyang W, et al
PMID: 38041016
Journal: Biological Procedures Online
Application: WB
Reactivity: Mouse
Publish date: 2023 Dec
-
Citation
-
Identification of long noncoding RNA NEAT1 as a key gene involved in the extramedullary disease of multiple myeloma by bioinformatics analysis
Author:
PMID: 36657019
Journal: Hematology
Application: WB
Reactivity: Rabbit
Publish date: 2023 Dec
-
Citation
-
A tau class glutathione S-transferase in tea plant, CsGSTU45, facilitates tea plant susceptibility to Colletotrichum camelliae infection mediated by jasmonate signaling pathway
Author: Wuyun Lv, Hong Jiang, Qinghai Cao, Henze Ren, Xinchao Wang, Yuchun Wang
PMID: 38059663
Journal: Plant Journal
Application: WB
Reactivity: Tea plant
Publish date: 2023 Dec
-
Citation
-
Hydra gasdermin-gated pyroptosis signalling regulates tissue regeneration
Author:
PMID: 37543221
Journal: Developmental And Comparative Immunology
Application: WB
Reactivity:
Publish date: 2023 Aug
-
Citation
-
HapX-mediated H2B deub1 and SreA-mediated H2A.Z deposition coordinate in fungal iron resistance
Author:
PMID: 37650633
Journal: Nucleic Acids Research
Application: Co-IP
Reactivity: Wheat
Publish date: 2023 Aug
-
Citation
-
Modulation of microglial polarization by sequential targeting surface-engineered exosomes improves therapy for ischemic stroke
Author:
PMID: 37587291
Journal: Drug Delivery And Translational Research
Application: IF-cell
Reactivity: Human
Publish date: 2023 Aug
-
Citation
-
Microglia and astrocytes mediate synapse engulfment in a MER tyrosine kinase-dependent manner after traumatic brain injury
Author:
PMID: 36751804
Journal: Neural Regeneration Research
Application: WB
Reactivity:
Publish date: 2023 Aug
-
Citation
-
DNA methylation cooperates with H3K9me2 at HCN4 promoter to regulate the differentiation of bone marrow mesenchymal stem cells into pacemaker-like cells
Author:
PMID: 37643180
Journal: Public Library Of Science One
Application: WB
Reactivity: Rat
Publish date: 2023 Aug
-
Citation
-
Acute aerobic exercise regulation of myocardial calcium homeostasis involves Casq1, Casq2 and Trdn
Author:
PMID: 37589058
Journal: Journal Of Applied Physiology
Application: WB
Reactivity: Rat
Publish date: 2023 Aug
-
Citation
-
AKIP1 accelerates glioblastoma progression through stabilizing EGFR expression
Author:
PMID: 37596322
Journal: Oncogene
Application: WB
Reactivity: Mouse
Publish date: 2023 Aug
-
Citation
-
Decreased miR-17-92 cluster correlates with senescence features, disrupted oxidative homeostasis, and impaired therapeutic efficacy of mesenchymal stem cells
Author: Yelei Cen, Jinjin Qi, Liang Chen, Caixia Xia, Min Zheng, Yanning Liu, Guohua Lou
PMID: 37366574
Journal: American Journal Of Physiology-Cell Physiology
Application: WB
Reactivity: Mouse
Publish date: 2023 Aug
-
Citation
-
Profiling of N6-methyladenosine methylation in porcine longissimus dorsi muscle and unravelling the hub gene ADIPOQ promotes adipogenesis in an m6A-YTHDF1-dependent manner
Author: Gong, H., Gong, T., Liu, Y., Wang, Y., & Wang, X.
PMID: 37024992
Journal: Journal Of Animal Science And Biotechnology
Application: WB
Reactivity: Pig
Publish date: 2023 Apr
-
Citation
-
Water extract from Herpetospermum pedunculosum attenuates oxidative stress and ferroptosis induced by acetaminophen via regulating Nrf2 and NF-κB pathways
Author:
PMID: 36572326
Journal: Journal Of Ethnopharmacology
Application: WB
Reactivity:
Publish date: 2023 Apr
-
Citation
-
CILP2: A prognostic biomarker associated with immune infiltration in colorectal cancer
Author:
PMID: 37144183
Journal: Heliyon
Application: WB
Reactivity:
Publish date: 2023 Apr
-
Citation
-
Assessment of Nonalcoholic Fatty Liver Disease Symptoms and Gut-Liver Axis Status in Zebrafish after Exposure to Polystyrene Microplastics and Oxytetracycline, Alone and in Combination
Author: Zhou, W., Shi, W., Du, X., Han, Y., Tang, Y., Ri, S., Ju, K., Kim, T., Huang, L., Zhang, W., Yu, Y., Tian, D., Yu, Y., Chen, L., Wu, Z., & Liu, G.
PMID: 37027337
Journal: Environmental Health Perspectives
Application: WB
Reactivity: Zebrafish
Publish date: 2023 Apr
-
Citation
-
Cyclin O promotes lung cancer progression and cetuximab resistance via cell cycle regulation and CDK13 interaction
Author: Jiang, J., Yu, W., Fang, T., Li, Y., Liang, J., Zhao, R., Feng, Z., Wang, J., & Tian, H.
PMID: 37197505
Journal: Journal Of Thoracic Disease
Application: WB
Reactivity:
Publish date: 2023 Apr
-
Citation
-
Ursodeoxycholic Acid (UDCA) Reduces Hepatocyte Apoptosis by Inhibiting Farnesoid X Receptor (FXR) in Hemorrhagic Shock (HS)
Author:
PMID: 35619282
Journal: Current Molecular Medicine
Application: WB
Reactivity: Mouse
Publish date: 2023
-
Citation
-
Total alkaloids of Fritillaria unibracteata var. wabuensis bulbus ameliorate chronic asthma via the TRPV1/Ca2+/NFAT pathway
Author:
PMID: 37421766
Journal: Phytomedicine
Application: WB
Reactivity: Mouse
Publish date: 2023
-
Citation
-
Plasma non-transferrin-bound iron uptake by the small intestine leads to intestinal injury and intestinal flora dysbiosis in an iron overload mouse model and Caco-2 cells
Author:
PMID: 37452897
Journal: Science China-Life Sciences
Application: WB
Reactivity: Human,Mouse
Publish date: 2023
-
Citation
-
Apatinib Inhibits Bladder Cancer through Suppression of the VEGFR2-PI3K-AKT Signaling Pathway as Revealed by Network Pharmacology and in vitro Experimental Verification
Author:
PMID: 36852790
Journal: Combinatorial Chemistry & High Throughput Screening
Application: WB
Reactivity:
Publish date: 2023
-
Citation
-
Peficitinib ameliorates doxorubicin-induced cardiotoxicity by suppressing cellular senescence and enhances its antitumor activity
Author:
PMID: 37451017
Journal: International Immunopharmacology
Application: WB
Reactivity: Mouse
Publish date: 2023
-
Citation
-
TPP1 inhibits DNA damage response and chemosensitivity in esophageal cancer
Author:
PMID: 37606165
Journal: Critical Reviews In Eukaryotic Gene Expression
Application: WB
Reactivity: Human
Publish date: 2023
-
Citation
-
Biased allosteric activation of ketone body receptor HCAR2 suppresses inflammation
Author:
PMID: 37597514
Journal: Molecular Cell
Application: WB
Reactivity: Mouse
Publish date: 2023
-
Citation
-
Chitosan oligosaccharide suppresses osteosarcoma malignancy by inhibiting CEMIP via the PI3K/AKT/mTOR pathway
Author:
PMID: 37668818
Journal: Medical Oncology
Application: WB
Reactivity: Mouse
Publish date: 2023
-
Citation
-
Quercetin Protects against MPP+/MPTP-Induced Dopaminergic Neuron Death in Parkinson's Disease by Inhibiting Ferroptosis
Author: Lin, Z. H., Liu, Y., Xue, N. J., Zheng, R., Yan, Y. Q., Wang, Z. X., Li, Y. L., Ying, C. Z., Song, Z., Tian, J., Pu, J. L., & Zhang, B. R.
PMID: 36105483
Journal: Oxidative Medicine And Cellular Longevity
Application: WB
Reactivity:
Publish date: 2022 Sept
-
Citation
-
No synergistic effect of fecal microbiota transplantation and shugan decoction in water avoidance stress-induced IBS-D rat model
Author: Meng, Y., Feng, Y., Hang, L., Zhou, Y., Wang, E., & Yuan, J.
PMID: 36171751
Journal: Frontiers In Microbiology
Application: WB
Reactivity: Rat
Publish date: 2022 Sept
-
Citation
-
Modified Montmorillonite Improved Growth Performance of Broilers by Modulating Intestinal Microbiota and Enhancing Intestinal Barriers, Anti-Inflammatory Response, and Antioxidative Capacity
Author:
PMID: 36139873
Journal: Antioxidants
Application: WB
Reactivity: Chicken
Publish date: 2022 Sept
-
Citation
-
Contribution of diabetes mellitus to periodontal inflammation during orthodontic tooth movement
Author:
PMID: 36050281
Journal: Oral Diseases
Application: WB
Reactivity: Rat
Publish date: 2022 Sep
-
Citation
-
Silencing tyrosine hydroxylase or dopa decarboxylase gene disrupts cuticle tanning during larva‐pupa‐adult transformation in Henosepilachna vigintioctopunctata
Author:
PMID: 35470957
Journal: Pest Management Science
Application: WB
Reactivity: Insect
Publish date: 2022 Sep
-
Citation
-
Mechanism of nonylphenol induced gastric inflammation through NF-κB/NLRP3 signaling pathway
Author:
PMID: 35998786
Journal: Toxicology
Application: WB
Reactivity: Rat
Publish date: 2022 Sep
-
Citation
-
Enhanced PDGFR/Wnt/β-catenin activity of mesenchymal stem cells with high migration ability rescue bone loss of osteoporosis
Author:
PMID: 35753532
Journal: Cellular Signalling
Application: WB
Reactivity: Rat
Publish date: 2022 Sep
-
Citation
-
Omentin-1 promoted proliferation and ameliorated inflammation, apoptosis, and degeneration in human nucleus pulposus cells
Author:
PMID: 35704952
Journal: Archives Of Gerontology And Geriatrics
Application: WB
Reactivity: Human
Publish date: 2022 Sep
-
Citation
-
Mice lacking DCAF2 in placenta die at the gastrulation stage
Author:
PMID: 35711069
Journal: Cell And Tissue Research
Application: IHC-P
Reactivity: Mouse
Publish date: 2022 Sep
-
Citation
-
Network-based pharmacology and in vitro validation reveal that galangin induces apoptosis in bladder cancer cells by promoting the p53 signaling pathway
Author: Long, X., Chen, L., Yang, J., Dong, T., Cheng, Q., Wang, W., Zou, Y., Su, Y., Dai, W., Chen, B., & Zhou, X.
PMID: 36305128
Journal: Anti-Cancer Agents In Medicinal Chemistry
Application: WB
Reactivity: Human
Publish date: 2022 Oct
-
Citation
-
Gasdermin D maintains bone mass by rewiring the endo-lysosomal pathway of osteoclastic bone resorption
Author: Mobai Li, Dehang Yang, Huige Yan, Zhibin Tang, Danlu Jiang, Jian Zhang, Zhexu Chi, Wanyun Nie, Wenxuan Zhen, Weiwei Yu, Sheng Chen, Zhen Wang, Qianzhou Yu, Xue Zhang, Fan Yang, Shunwu Fan, Xianfeng Lin, Di Wang
PMID: 36243012
Journal: Developmental Cell
Application: WB
Reactivity: Mouse,Human
Publish date: 2022 Oct
-
Citation
-
Inhibition of osteoclastogenesis by interleukin‐33 administration in the periodontal ligament under mechanical loading
Author:
PMID: 35930702
Journal: Journal Of Periodontal Research
Application: WB
Reactivity: Mouse
Publish date: 2022 Oct
-
Citation
-
Overexpression of adrenomedullin (ADM) alleviates the senescence of human dental pulp stem cells by regulating the miR-152/CCNA2 pathway
Author: Dou, W., Xie, J., Chen, J., Zhou, J., Xu, Z., Wang, Z., & Zhu, Q.
PMID: 36310381
Journal: Cell Cycle
Application: WB
Reactivity: Human
Publish date: 2022 Oct
-
Citation
-
Dysregulated hepatic UDP-glucuronosyltransferases and flavonoids glucuronidation in experimental colitis
Author:
PMID: 36408246
Journal: Frontiers In Pharmacology
Application: WB
Reactivity: Human
Publish date: 2022 Nov
-
Citation
-
Effects of tebufenpyrad on freshwater systems dominated by Neocaridina palmata, Physa fontinalis, and Ceratophyllum demersum
Author: Jiaxin Li, Shaonan Li, Jilin Wang, Daoshuai Huang
PMID: 35643160
Journal: Chemosphere
Application: ELISA
Reactivity: Plant
Publish date: 2022 May
-
Citation
-
Galactooligosaccharides as a protective agent for intestinal barrier and its regulatory functions for intestinal microbiota
Author: Wang, G., Wang, H., Jin, Y., Xiao, Z., Umar Yaqoob, M., Lin, Y., Chen, H., & Wang, M.
PMID: 35400418
Journal: Food Research International
Application: WB
Reactivity:
Publish date: 2022 May
-
Citation
-
α-Mangostin inhibits LPS-induced bone resorption by restricting osteoclastogenesis via NF-κB and MAPK signaling
Author:
PMID: 35248101
Journal: Chinese Medicine
Application: WB
Reactivity:
Publish date: 2022 Mar
-
Citation
-
Leukemia inhibitory factor prevents chicken follicular atresia through PI3K/AKT and Stat3 signaling pathways.
Author:
PMID: 34990741
Journal:
Application: IHC-P
Reactivity: Chicken
Publish date: 2022 Mar
-
Citation
-
TL1A/DR3 Axis, A Key Target of TNF-a, Augments the Epithelial–Mesenchymal Transformation of Epithelial Cells in OVA-Induced Asthma
Author: Zhang, D., Yang, H., Dong, X. L., Zhang, J. T., Liu, X. F., Pan, Y., Zhang, J., Xu, J. W., Wang, Z. H., Cui, W. J., & Dong, L.
PMID: 35359966
Journal: Frontiers In Immunology
Application: WB
Reactivity: Human
Publish date: 2022 Mar
-
Citation
-
Qinggan Huoxue Recipe Alleviates Alcoholic Liver Injury by Suppressing Endoplasmic Reticulum Stress Through LXR-LPCAT3
Author: Lu, Y., Shao, M., Xiang, H., Wang, J., Ji, G., & Wu, T.
PMID: 35431945
Journal: Frontiers In Pharmacology
Application: WB
Reactivity:
Publish date: 2022 Mar
-
Citation
-
Osteopontin aggravates acute lung injury in influenza virus infection by promoting macrophages necroptosis
Author: Wang, J., Li, X., Wang, Y., Li, Y., Shi, F., & Diao, H.
PMID: 35246529
Journal: Cell Death Discovery
Application:
Reactivity: Mouse
Publish date: 2022 Mar
-
Citation
-
A Selective Small‐Molecule c‐Myc Degrader Potently Regresses Lethal c‐Myc Overexpressing Tumors
Author: Xu, Y., Yu, Q., Wang, P., Wu, Z., Zhang, L., Wu, S., Li, M., Wu, B., Li, H., Zhuang, H., Zhang, X., Huang, Y., Gan, X., & Xu, R.
PMID: 35048559
Journal: Advanced Science
Application: WB
Reactivity: Mouse
Publish date: 2022 Mar
-
Citation
-
Circular RNA circLMO1 Suppresses Cervical Cancer Growth and Metastasis by Triggering miR-4291/ACSL4-Mediated Ferroptosis
Author:
PMID: 35321435
Journal: Frontiers In Oncology
Application: WB
Reactivity:
Publish date: 2022 Mar
-
Citation
-
N-acetylcholine receptors regulate cytokines expression and neutrophils recruitment via MAPK/ERK signaling in zebrafish
Author:
PMID: 34883109
Journal: Developmental And Comparative Immunology
Application: WB
Reactivity: Zebrafish
Publish date: 2022 Mar
-
Citation
-
Role of endoplasmic reticulum stress in cadmium-induced hepatocyte apoptosis and the protective effect of quercetin
Author: Jicang Wang, Lulu Ding, Ke Wang, Ruxue Huang, Wenjing Yu, Bingzhao Yan, Hongwei Wang, Cai Zhang, Zijun Yang, Zongping Liu
PMID: 35714484
Journal: Ecotoxicology And Environmental Safety
Application: WB
Reactivity: Rat
Publish date: 2022 Jun
-
Citation
-
VMP1 promotes exosome secretion and enhances 5-FU resistance in colon cancer cells
Author: Xueni Wei, Zhonghui Yang, Guomei Chen, Ji Huang
PMID: 35696974
Journal: Tissue & Cell
Application: WB
Reactivity: Human
Publish date: 2022 Jun
-
Citation
-
LncRNA KCNQ1OT1 promotes osteogenic differentiation via miR-205-5p/RICTOR axis
Author:
PMID: 35341776
Journal: Experimental Cell Research
Application: WB
Reactivity: Human
Publish date: 2022 Jun
-
Citation
-
Activation of STAT6 by intranasal allergens correlated with the development of eosinophilic chronic rhinosinusitis in a mouse model
Author: Wei, H., Xu, L., Sun, P., Xing, H., Zhu, Z., & Liu, J.
PMID: 35726645
Journal: International Journal Of Immunopathology And Pharmacology
Application: WB
Reactivity:
Publish date: 2022 Jun
-
Citation
-
Curcumin attenuates intracerebral hemorrhage-induced neuronal apoptosis and neuroinflammation by suppressing JAK1/STAT1 pathway
Author:
PMID: 35381181
Journal: Biochemistry And Cell Biology
Application: WB
Reactivity:
Publish date: 2022 Jun
-
Citation
-
Kir2.1-mediated membrane potential promotes nutrient acquisition and inflammation through regulation of nutrient transporters
Author: Yu, W., Wang, Z., Yu, X., Zhao, Y., Xie, Z., Zhang, K., Chi, Z., Chen, S., Xu, T., Jiang, D., Guo, X., Li, M., Zhang, J., Fang, H., Yang, D., Guo, Y., Yang, X., Zhang, X., Wu, Y., Yang, W., … Wang, D.
PMID: 35729093
Journal: Nature Communications
Application: WB
Reactivity:
Publish date: 2022 Jun
-
Citation
-
CD155 promotes radioresistance and malignancy of esophageal cancer by regulating Hippo-YAP pathway
Author: Xin, H., Liu, Y., Chen, P., Yin, T., Wang, M., Liu, T., Wen, Z., & Cheng, Y.
PMID: 35768666
Journal: Discover Oncology
Application: WB
Reactivity:
Publish date: 2022 Jun
-
Citation
-
Genome-scale CRISPR-Cas9 screen reveals novel regulators of B7-H3 in tumor cells
Author: Zhao, S., Wang, Y., Yang, N., Mu, M., Wu, Z., Li, H., Tang, X., Zhong, K., Zhang, Z., Huang, C., Cao, T., Zheng, M., Wang, G., Nie, C., Yang, H., Guo, G., Zhou, L., Zheng, X., & Tong, A.
PMID: 35768165
Journal: Journal For Immunotherapy Of Cancer
Application: WB
Reactivity: Human
Publish date: 2022 Jun
-
Citation
-
β-Carotene Attenuates Apoptosis and Autophagy via PI3K/AKT/mTOR Signaling Pathway in Necrotizing Enterocolitis Model Cells IEC-6
Author:
PMID: 35754683
Journal: Evidence-Based Complementary And Alternative Medicine
Application: WB
Reactivity:
Publish date: 2022 Jun
-
Citation
-
Celastrus orbiculatus Extract Inhibits the Epithelial-Mesenchymal Transition Process by Transforming Growth Factor-β Signaling Pathway in Gastric Cancer
Author: Wang Haibo, Chu Zewen, Ou Shiya, Ni Tengyang, Dai Xiaojun, Zhang Xiaochun, Liu Yanqing
PMID: 34895128
Journal: Anti-Cancer Agents In Medicinal Chemistry
Application: WB
Reactivity: Human
Publish date: 2022 Jul
-
Citation
-
Activation of SIRT1 Alleviates Ferroptosis in the Early Brain Injury after Subarachnoid Hemorrhage
Author: Yuan, B., Zhao, X. D., Shen, J. D., Chen, S. J., Huang, H. Y., Zhou, X. M., Han, Y. L., Zhou, L. J., Lu, X. J., & Wu, Q.
PMID: 35855863
Journal: Oxidative Medicine And Cellular Longevity
Application: WB
Reactivity:
Publish date: 2022 Jul
-
Citation
-
(±)-5-bromo-2-(5-fluoro-1-hydroxyamyl) Benzoate Protects Against Oxidative Stress Injury in PC12 Cells Exposed to H2O2 Through Activation of Nrf2 Pathway
Author: Qi, S., Zhang, X., Fu, Z., Pi, A., Shi, F., Fan, Y., Zhang, J., Xiao, T., Shang, D., Lin, M., Gao, N., Chang, J., & Gao, Y.
PMID: 35935850
Journal: Frontiers In Pharmacology
Application: WB
Reactivity:
Publish date: 2022 Jul
-
Citation
-
Effects of Curcumin on Mitochondrial Function, Endoplasmic Reticulum Stress, and Mitochondria-Associated Endoplasmic Reticulum Membranes in the Jejunum of Oxidative Stress Piglets
Author: Xin Li, Jiang Zhu, Qian Lin, Minjie Yu, Jianjun Lu, Jie Feng, Caihong Hu
PMID: 35849777
Journal: Journal Of Agricultural And Food Chemistry
Application: WB
Reactivity: Pig
Publish date: 2022 Jul
-
Citation
-
Comprehensive analysis of FKBP4/NR3C1/TMEM173 signaling pathway in triple-negative breast cancer cell and dendritic cell among tumor microenvironment
Author: Xiong, H., Chen, Z., Lin, B., Chen, W., Li, Q., Li, Y., Fang, M., Wang, Y., Zhang, H., Lu, Y., Bi, A., Wu, S., Jia, Y., & Wang, X.
PMID: 35118194
Journal: Molecular Therapy-Oncolytics
Application: WB
Reactivity: Human
Publish date: 2022 Jan
-
Citation
-
The Role of microRNA-133 in Hemocyte Proliferation and Innate Immunity of Scylla paramamosain
Author: Zhang, Yunfei;Lai, Yongyong;Zhou, Xiujuan;Zhu, Fei
PMID: 35154084
Journal: Frontiers In Immunology
Application: WB
Reactivity:
Publish date: 2022 Jan
-
Citation
-
Sodium Butyrate Ameliorates Oxidative Stress-Induced Intestinal Epithelium Barrier Injury and Mitochondrial Damage through AMPK-Mitophagy Pathway
Author: Li, Xin;Wang, Chunchun;Zhu, Jiang;Lin, Qian;Yu, Minjie;Wen, Jiashu;Feng, Jie;Hu, Caihong
PMID: 35132348
Journal: Oxidative Medicine And Cellular Longevity
Application: WB
Reactivity: Pig
Publish date: 2022 Jan
-
Citation
-
Naringenin Regulates FKBP4/NR3C1/NRF2 Axis in Autophagy and Proliferation of Breast Cancer and Differentiation and Maturation of Dendritic Cell
Author: Xiong, H., Chen, Z., Lin, B., Xie, B., Liu, X., Chen, C., Li, Z., Jia, Y., Wu, Z., Yang, M., Jia, Y., Wang, L., Zhou, J., & Meng, X.
PMID: 35087512
Journal: Frontiers In Immunology
Application:
Reactivity: Human
Publish date: 2022 Jan
-
Citation
-
Faecal microbiota transplantation‐mediated jejunal microbiota changes halt high‐fat diet‐induced obesity in mice via retarding intestinal fat absorption
Author: Zhu, L., Fu, J., Xiao, X., Wang, F., Jin, M., Fang, W., Wang, Y., & Zong, X.
PMID: 34704376
Journal: Microbial Biotechnology
Application: WB
Reactivity:
Publish date: 2022 Jan
-
Citation
-
Extracellular histones cause intestinal epithelium injury and disrupt its barrier function in vitro and in vivo
Author: Chanjuan Chen, Ziqi Lin, Xiaoxin Zhang, Xiaoying Zhang, Zhenxing Cheng, Tao Jin, Tingting Liu, Lihui Deng, Jia Guo, Guozheng Wang, Qing Xia
PMID: 35122914
Journal: Toxicology
Application: WB
Reactivity: E.coli
Publish date: 2022 Feb
-
Citation
-
CD19-targeted BiTE expression by an oncolytic vaccinia virus significantly augments therapeutic efficacy against B-cell lymphoma
Author:
PMID: 35228544
Journal: Blood Cancer Journal
Application: WB
Reactivity:
Publish date: 2022 Feb
-
Citation
-
Transcranial focused ultrasound stimulation reduces vasogenic edema after middle cerebral artery occlusion in mice
Author: Deng, L. D., Qi, L., Suo, Q., Wu, S. J., Mamtilahun, M., Shi, R. B., Liu, Z., Sun, J. F., Tang, Y. H., Zhang, Z. J., Yang, G. Y., & Wang, J. X.
PMID: 35142697
Journal: Neural Regeneration Research
Application: WB
Reactivity: Mouse
Publish date: 2022 Feb
-
Citation
-
Suppressive effects of pterostilbene on human cytomegalovirus (HCMV) infection and HCMV-induced cellular senescence
Author:
PMID: 36564838
Journal: Virology Journal
Application: WB
Reactivity: Human
Publish date: 2022 Dec
-
Citation
-
Bulk RNA-seq and scRNA-seq analysis reveal an activation of immune response and compromise of secretory function in major salivary glands of obese mice
Author: Huang, H., Gao, C., Wang, S., Wu, F., Wei, J., & Peng, J.
PMID: 36544475
Journal: Computational And Structural Biotechnology Journal
Application: WB
Reactivity: Mouse
Publish date: 2022 Dec
-
Citation
-
Sodium butyrate alleviates deoxynivalenol-induced hepatic cholesterol metabolic dysfunction via RORγ-mediated histone acetylation modification in weaning piglets
Author: Zong, Q., Qu, H., Zhao, Y., Liu, H., Wu, S., Wang, S., Bao, W., & Cai, D.
PMID: 36550531
Journal: Journal Of Animal Science And Biotechnology
Application: WB
Reactivity: Pig
Publish date: 2022 Dec
-
Citation
-
The Ethanolic Extract of Lindera aggregata Modulates Gut Microbiota Dysbiosis and Alleviates Ethanol-Induced Acute Liver Inflammation and Oxidative Stress SIRT1/Nrf2/NF- κ B Pathway
Author:
PMID: 36583098
Journal: Oxidative Medicine And Cellular Longevity
Application: WB
Reactivity: Rat
Publish date: 2022 Dec
-
Citation
-
Musical therapy attenuates neuroma pain by modifying leptin expression
Author:
PMID: 36456983
Journal: BMC Complementary Medicine and Therapies
Application: WB
Reactivity: Mouse
Publish date: 2022 Dec
-
Citation
-
A Subunit of the COP9 Signalosome, MoCsn6, Is Involved in Fungal Development, Pathogenicity, and Autophagy in Rice Blast Fungus
Author:
PMID: 36445131
Journal: Microbiology Spectrum
Application: WB
Reactivity: M. Oryzae
Publish date: 2022 Dec
-
Citation
-
Peritumoral scaffold neutralizes tumor pH for chemotherapy sensitization and metastasis inhibition
Author:
PMID: 36356942
Journal: Journal Of Controlled Release
Application: WB
Reactivity: Mouse
Publish date: 2022 Dec
-
Citation
-
PGK1-coupled HSP90 stabilizes GSK3β expression to regulate the stemness of breast cancer stem cells
Author:
PMID: 34403222
Journal: Cancer Biology & Medicine
Application: WB
Reactivity: Human
Publish date: 2022 Aug
-
Citation
-
Iron supplementation inhibits hypoxia-induced mitochondrial damage and protects zebrafish liver cells from death
Author: Hu, R., Li, G., Xu, Q., & Chen, L.
PMID: 36091397
Journal: Front Physiology
Application: WB
Reactivity: Zebrafish
Publish date: 2022 Aug
-
Citation
-
Comprehensive analyses identify RIPOR2 as a genomic instability-associated immune prognostic biomarker in cervical cancer
Author:
PMID: 36091054
Journal: Frontiers In Immunology
Application: WB
Reactivity: Human
Publish date: 2022 Aug
-
Citation
-
Salivary Fusobacterium nucleatum serves as a potential diagnostic biomarker for gastric cancer
Author:
PMID: 36157109
Journal: World Journal Of Gastroenterology
Application: WB
Reactivity: Human
Publish date: 2022 Aug
-
Citation
-
Dendrobium nobile Lindl. Polysaccharides protect fibroblasts against UVA-induced photoaging via JNK/c-Jun/MMPs pathway
Author: Wei Li, Xingrui Mu, Xingqian Wu, Wenjie He, Ye Liu, Yiqiu Liu, Junyu Deng, Xuqiang Nie
PMID: 35973631
Journal: Journal Of Ethnopharmacology
Application: WB
Reactivity: Human
Publish date: 2022 Aug
-
Citation
-
Peroxisome proliferator-activated receptor-γ ameliorates neuronal ferroptosis after traumatic brain injury in mice by inhibiting cyclooxygenase-2
Author:
PMID: 35490721
Journal: Experimental Neurology
Application:
Reactivity: Mouse
Publish date: 2022 Aug
-
Citation
-
Transplantion of predominant Lactobacilli from native hens to commercial hens could indirectly regulate their ISC activity by improving intestinal microbiota
Author: Liu, L., Zhou, Z., Hong, Y., Jiang, K., Yu, L., Xie, X., Mi, Y., Zhu, S. J., Zhang, C., & Li, J.
PMID: 34536334
Journal: Microbial Biotechnology
Application: WB
Reactivity:
Publish date: 2022 Apr
-
Citation
-
Pharmacologic inhibiting STAT3 delays the progression of kidney fibrosis in hyperuricemia-induced chronic kidney disease
Author: Jing Pan, Min Shi, Fan Guo, Liang Ma, Ping Fu
PMID: 34516993
Journal: Life Sciences
Application: WB
Reactivity: Mouse
Publish date: 2021 Sept
-
Citation
-
Diabetes induces macrophage dysfunction through cytoplasmic dsDNA/AIM2 associated pyroptosis. Journal of leukocyte biology, 10.1002/JLB.3MA0321-745R. Advance online publication.
Author: Nie, L., Zhao, P., Yue, Z., Zhang, P., Ji, N., Chen, Q., & Wang, Q.
PMID: 34085308
Journal: Journal Of Leukocyte Biology
Application: WB
Reactivity: Mouse
Publish date: 2021 Sep
-
Citation
-
Jujuboside B Inhibits the Proliferation of Breast Cancer Cell Lines by Inducing Apoptosis and Autophagy
Author:
PMID: 34630073
Journal: Frontiers In Pharmacology
Application: WB
Reactivity:
Publish date: 2021 Sep
-
Citation
-
Palmitic acid up regulates Gal-3 and induces insulin resistance in macrophages by mediating the balance between KLF4 and NF-κB
Author: Li, J., Mao, Y. S., Chen, F., Xia, D. X., & Zhao, T. Q.
PMID: 34373714
Journal: Experimental And Therapeutic Medicine
Application: IF
Reactivity: Human
Publish date: 2021 Sep
-
Citation
-
Exploring the oncostatin M (OSM) feed-forward signaling of glioblastoma via STAT3 in pan-cancer analysis
Author: Chen, M., Ren, R., Lin, W., Xiang, L., Zhao, Z., & Shao, B.
PMID: 34702277
Journal: Cancer Cell International
Application: WB
Reactivity:
Publish date: 2021 Oct
-
Citation
-
A. Muciniphila Suppresses Colorectal Tumorigenesis by Inducing TLR2/NLRP3-Mediated M1-Like TAMs
Author:
PMID: 34389559
Journal: Cancer Immunology Research
Application: WB
Reactivity: Mouse
Publish date: 2021 Oct
-
Citation
-
“γδT Cell-IL17A-Neutrophil” Axis Drives Immunosuppression and Confers Breast Cancer Resistance to High-Dose Anti-VEGFR2 Therapy
Author: Zhang, Z., Yang, C., Li, L., Zhu, Y., Su, K., Zhai, L., Wang, Z., & Huang, J.
PMID: 34721375
Journal: Frontiers In Immunology
Application: WB
Reactivity:
Publish date: 2021 Oct
-
Citation
-
Annexin A2-Mediated Internalization of Staphylococcus aureus into Bovine Mammary Epithelial Cells Requires Its Interaction with Clumping Factor B
Author:
PMID: 34683411
Journal: Microorganisms
Application: WB
Reactivity:
Publish date: 2021 Oct
-
Citation
-
Curcumin Improves Epithelial Barrier Integrity of Caco-2 Monolayers by Inhibiting Endoplasmic Reticulum Stress and Subsequent Apoptosis
Author: Zhou, X., Ren, M., Yang, J., Pan, H., Yu, M., & Ji, F.
PMID: 34659400
Journal: Gastroenterology Research And Practice
Application: WB
Reactivity:
Publish date: 2021 Oct
-
Citation
-
Manual Acupuncture at ST37 Modulates TRPV1 in Rats with Acute Visceral Hyperalgesia via Phosphatidylinositol 3-Kinase/Akt Pathway
Author: Chen, C., Yu, Z., Lin, D., Wang, X., Zhang, X., Ji, F., He, L., & Xu, B.
PMID: 34646326
Journal: Evidence-Based Complementary And Alternative Medicine
Application: WB
Reactivity: Rat
Publish date: 2021 Oct
-
Citation
-
The balance between AIM2-associated inflammation and autophagy: the role of CHMP2A in brain injury after cardiac arrest
Author: Shao, R., Wang, X., Xu, T., Xia, Y., & Cui, D.
PMID: 34740380
Journal: Journal Of Neuroinflammation
Application: WB
Reactivity: Rat
Publish date: 2021 Nov
-
Citation
-
Period 2 Regulates CYP2B10 Expression and Activity in Mouse Liver
Author:
PMID: 34887762
Journal: Frontiers In Pharmacology
Application: WB
Reactivity:
Publish date: 2021 Nov
-
Citation
-
Regulation of TRAF6 by MicroRNA-146a in Zebrafish Embryos after Exposure to Di(2-Ethylhexyl) Phthalate at Different Concentrations
Author:
PMID: 34704739
Journal: Chemical Research In Toxicology
Application: WB
Reactivity:
Publish date: 2021 Nov
-
Citation
-
PPARβ/δ accelerates bone regeneration in diabetic mellitus by enhancing AMPK/mTOR pathway-mediated autophagy
Author: Chen, M., Jing, D., Ye, R., Yi, J., & Zhao, Z.
PMID: 34736532
Journal: Stem Cell Research & Therapy
Application: WB
Reactivity: Rat
Publish date: 2021 Nov
-
Citation
-
<html><html><html>Curcumin prevents obesity by targeting TRAF4-induced ubiquitylation in m<sup>6</sup> A-dependent manner. EMBO reports, 22(5), e52146.</html></html></html>
Author: Chen, Y., Wu, R., Chen, W., Liu, Y., Liao, X., Zeng, B., Guo, G., Lou, F., Xiang, Y., Wang, Y., & Wang, X.
PMID: 33880847
Journal: EMBO Reports
Application: WB
Reactivity: Mouse
Publish date: 2021 May
-
Citation
-
Nano-Sized Hydroxyapatite Induces Apoptosis and Osteogenic Differentiation of Vascular Smooth Muscle Cells via JNK/c-JUN Pathway. International journal of nanomedicine, 16, 3633–3648.
Author: Liu, Q., Xiang, P., Chen, M., Luo, Y., Zhao, Y., Zhu, J., Jing, W., & Yu, H.
PMID: 34079254
Journal: International Journal Of Nanomedicine
Application: WB
Reactivity: Human
Publish date: 2021 May
-
Citation
-
Interplay of two transcription factors for recruitment of the chromatin remodeling complex modulates fungal nitrosative stress response
Author: Jian Yunqing, Liu Zunyong, Wang Haixia, Chen Yun, Yin Yanni, Zhao Youfu, Ma Zhonghua
PMID: 33958593
Journal: Nature Communications
Application: WB
Reactivity: Saccharomyces cerevisiae,Fusarium graminearum
Publish date: 2021 May
-
Citation
-
Unique and complementary suppression of cGAS-STING and RNA sensing- triggered innate immune responses by SARS-CoV-2 proteins. Signal transduction and targeted therapy, 6(1), 123.
Author: Rui, Y., Su, J., Shen, S., Hu, Y., Huang, D., Zheng, W., Lou, M., Shi, Y., Wang, M., Chen, S., Zhao, N., Dong, Q., Cai, Y., Xu, R., Zheng, S., & Yu, X. F.
PMID: 33723219
Journal: Signal Transduction And Targeted Therapy
Application: WB
Reactivity: Human
Publish date: 2021 Mar
-
Citation
-
Remodeling of the tumor microenvironment using an engineered oncolytic vaccinia virus improves PD-L1 inhibition outcomes
Author:
PMID: 34060602
Journal: Bioscience Reports
Application: WB
Reactivity:
Publish date: 2021 Jun
-
Citation
-
Kaempferol Alleviates Steatosis and Inflammation During Early Non-Alcoholic Steatohepatitis Associated With Liver X Receptor α-Lysophosphatidylcholine Acyltransferase 3 Signaling Pathway. Frontiers in pharmacology, 12, 690736.
Author: Xiang, H., Shao, M., Lu, Y., Wang, J., Wu, T., & Ji, G.
PMID: 34262459
Journal: Frontiers In Pharmacology
Application: WB
Reactivity: Mouse
Publish date: 2021 Jun
-
Citation
-
LLGL2 Increases Ca2+ Influx and Exerts Oncogenic Activities via PI3K/AKT Signaling Pathway in Hepatocellular Carcinoma
Author:
PMID: 34178676
Journal: Frontiers In Oncology
Application: WB
Reactivity:
Publish date: 2021 Jun
-
Citation
-
Effect of lncRNA‐ATB/miR‐651‐3p/Yin Yang 1 pathway on trophoblast‐endothelial cell interaction networks
Author:
PMID: 33942988
Journal: Journal Of Cellular And Molecular Medicine
Application: WB
Reactivity:
Publish date: 2021 Jun
-
Citation
-
Sulphated glucuronomannan tetramer and hexamer from Sargassum thunbergii exhibit anti-human cytomegalovirus activity by blocking viral entry
Author: Sanying Wang, Xiaogang Xu, Chuan Sun, Jing Zhang, Xinyue He, Zhongshan Zhang, Hong Huang, Jing Yan, Weihua Jin, Genxiang Mao
PMID: 34560939
Journal: Carbohydrate Polymers
Application: WB
Reactivity: Human
Publish date: 2021 Jul
-
Citation
-
Nano-selenium alleviating the lipid metabolism disorder of LMH cells induced by potassium dichromate via down-regulating ACACA and FASN
Author: Peng Yuxuan, Li Hao, Shen Ke, Pan Wen, Zhang Jiabin, Zhou Donghai
PMID: 34302249
Journal: Environmental Science And Pollution Research
Application: WB
Reactivity: Chicken
Publish date: 2021 Jul
-
Citation
-
Wnt5a/Platelet‐rich plasma synergistically inhibits IL‐1β‐induced inflammatory activity through NF‐κB signaling pathway and prevents cartilage damage and promotes meniscus regeneration
Author:
PMID: 33843153
Journal: Journal Of Tissue Engineering And Regenerative Medicine
Application: WB
Reactivity:
Publish date: 2021 Jul
-
Citation
-
Cathelicidin-WA Protects Against LPS-Induced Gut Damage Through Enhancing Survival and Function of Intestinal Stem Cells
Author: Wang, S., Kai, L., Zhu, L., Xu, B., Chen, N., Valencak, T. G., Wang, Y., & Shan, T.
PMID: 34381773
Journal: Frontiers In Cell And Developmental Biology
Application: IHC-P,IF
Reactivity: Mouse
Publish date: 2021 Jul
-
Citation
-
Mesenchymal stem cells desensitize castration-resistant prostate cancer to docetaxel chemotherapy via inducing TGF-β1-mediated cell autophagy
Author:
PMID: 33413648
Journal: Cell And Bioscience
Application: WB
Reactivity:
Publish date: 2021 Jan
-
Citation
-
Natural small molecule triptonide inhibits lethal acute myeloid leukemia with FLT3-ITD mutation by targeting Hedgehog/FLT3 signaling
Author:
PMID: 33254022
Journal: Biomedicine & Pharmacotherapy
Application: WB
Reactivity: Human
Publish date: 2021 Jan
-
Citation
-
Exosomal ANGPTL1 attenuates colorectal cancer liver metastasis by regulating Kupffer cell secretion pattern and impeding MMP9 induced vascular leakiness
Author:
PMID: 33413536
Journal: Journal Of Experimental & Clinical Cancer Research
Application: WB
Reactivity: Human
Publish date: 2021 Jan
-
Citation
-
iTRAQ-Based Quantitative Proteomics Indicated Nrf2/OPTN-Mediated Mitophagy Inhibits NLRP3 Inflammasome Activation after Intracerebral Hemorrhage
Author:
PMID: 33628368
Journal: Oxidative Medicine And Cellular Longevity
Application: WB
Reactivity:
Publish date: 2021 Feb
-
Citation
-
PNSA, a Novel C-Terminal Inhibitor of HSP90, Reverses Epithelial–Mesenchymal Transition and Suppresses Metastasis of Breast Cancer Cells In Vitro
Author:
PMID: 33672529
Journal: Marine Drugs
Application: WB
Reactivity: Human
Publish date: 2021 Feb
-
Citation
-
Neuropathic pain-induced cognitive dysfunction and down-regulation of neuronal pentraxin 2 in the cortex and hippocampus
Author:
PMID: 33512875
Journal: Neuroreport
Application: WB
Reactivity: Mouse
Publish date: 2021 Feb
-
Citation
-
Activation of GPR120 in podocytes ameliorates kidney fibrosis and inflammation in diabetic nephropathy
Author:
PMID: 32948825
Journal: Acta Pharmacologica Sinica
Application: WB
Reactivity: Mouse
Publish date: 2021 Feb
-
Citation
-
Natural flavonoid pectolinarigenin alleviated kidney fibrosis via inhibiting the activation of TGFβ/SMAD3 and JAK2/STAT3 signaling. International immunopharmacology, 91, 107279.
Author: Li, Y., Guo, F., Huang, R., Ma, L., & Fu, P.
PMID: 33340783
Journal: International Immunopharmacology
Application: WB
Reactivity: Mouse
Publish date: 2021 Feb
-
Citation
-
The Antioxidant Phytochemical Schisandrin A Promotes Neural Cell Proliferation and Differentiation after Ischemic Brain Injury
Author:
PMID: 34946548
Journal: Molecules
Application: WB
Reactivity:
Publish date: 2021 Dec
-
Citation
-
Ropivacaine inhibits the proliferation and migration of colorectal cancer cells through ITGB1
Author:
PMID: 33345684
Journal: Bioengineered
Application: WB
Reactivity:
Publish date: 2021 Dec
-
Citation
-
AMPK-PINK1/Parkin Mediated Mitophagy Is Necessary for Alleviating Oxidative Stress-Induced Intestinal Epithelial Barrier Damage and Mitochondrial Energy Metabolism Dysfunction in IPEC-J2
Author:
PMID: 34943113
Journal: Antioxidants
Application: WB
Reactivity:
Publish date: 2021 Dec
-
Citation
-
Nardosinone Alleviates Parkinson’s Disease Symptoms in Mice by Regulating Dopamine D2 Receptor
Author: Li-hua Bian, Zi-wei Yao, Cheng-bowen Zhao, Qiu-yu Li, Jin-li Shi, Jian-you Guo
PMID: 34426745
Journal: Evidence-Based Complementary And Alternative Medicine
Application: WB
Reactivity: Mouse
Publish date: 2021 Aug
-
Citation
-
The anti-osteosarcoma effect from panax notoginseng saponins by inhibiting the G0/G1 phase in the cell cycle and affecting p53-mediated autophagy and mitochondrial apoptosis
Author:
PMID: 34659528
Journal: Journal Of Cancer
Application: WB
Reactivity: Human
Publish date: 2021 Aug
-
Citation
-
Integrative omic analysis reveals the improvement of alkaloid accumulation by ultraviolet-B radiation and its upstream regulation in Catharanthus roseus
Author:
PMID: 15NOPMID25020501
Journal: Industrial Crops And Products
Application: WB
Reactivity:
Publish date: 2021 Aug
-
Citation
-
The mechanisms of action of WeiChang'An Pill (WCAP) treat diarrhoea-predominant irritable bowel syndrome (IBS-D) using network pharmacology approach and in vivo studies
Author: Yan Chen, Fuhao Chu, Jie Lin, Zeqi Su, Mengting Liao, Tao Li, Yuan Li, Nadia Johnson, Haocheng Zheng, Xia Ding
PMID: 33862102
Journal: Journal Of Ethnopharmacology
Application: WB
Reactivity: Rat
Publish date: 2021 Apr
-
Citation
-
Fraxinellone Has Anticancer Activity by Inducing Osteosarcoma Cell Apoptosis via Promoting Excessive Autophagy Flux
Author:
PMID: 33953684
Journal: Frontiers In Pharmacology
Application: WB
Reactivity: Mouse
Publish date: 2021 Apr
-
Citation
-
Exosomes Derived from Pancreatic Cancer Cells Induce Osteoclast Differentiation Through the miR125a-5p/TNFRSF1B Pathway
Author:
PMID: 33907416
Journal: Onco Targets And Therapy
Application: WB
Reactivity:
Publish date: 2021 Apr
-
Citation
-
A heparin–rosuvastatin-loaded P(LLA-CL) nanofiber-covered stent inhibits inflammatory smooth-muscle cell viability to reduce in-stent stenosis and thrombosis
Author:
PMID: 33926468
Journal: Journal Of Nanobiotechnology
Application: WB
Reactivity:
Publish date: 2021 Apr
-
Citation
-
Sema3C promotes hepatic metastasis and predicts poor prognosis in gastric adenocarcinoma
Author:
PMID: 33909533
Journal: Journal Of International Medical Research
Application: WB
Reactivity:
Publish date: 2021 Apr
-
Citation
-
Epiregulin confers EGFR-TKI resistance via EGFR/ErbB2 heterodimer in non-small cell lung cancer
Author:
PMID: 33750895
Journal: Oncogene
Application: WB
Reactivity:
Publish date: 2021 Apr
-
Citation
-
Integrated analysis of viral miRNAs, mRNA and protein in the caudal fin cells of C. auratus gibelio with cyprinid herpesvirus 2 infection
Author:
PMID: 33577719
Journal: Journal Of Fish Diseases
Application: WB
Reactivity:
Publish date: 2021 Apr
-
Citation
-
Tumor-derived HMGB1 induces CD62Ldim neutrophil polarization and promotes lung metastasis in triple-negative breast cancer
Author: Jian Huang
PMID: 32943604
Journal: Oncogenesis
Application: WB
Reactivity: Mouse
Publish date: 2020 Sep
-
Citation
-
The Maternal–Fetal Interface in Small-for-Gestational-Age Pregnancies Is Associated With a Reduced Quantity of Human Decidual NK Cells With Weaker Functional Ability
Author: Rong Zhou;Hong Li
PMID: 33015028
Journal: Frontiers In Cell And Developmental Biology
Application: WB
Reactivity: Human
Publish date: 2020 Sep
-
Citation
-
Receptor-like kinase OsCR4 controls leaf morphogenesis and embryogenesis by fixing the distribution of auxin in rice
Author:
PMID: 33092991
Journal: Journal Of Genetics And Genomics
Application: WB
Reactivity:
Publish date: 2020 Sep
-
Citation
-
lncRNA OTUD6B-AS1 Exacerbates As2O3-Induced Oxidative Damage in Bladder Cancer via miR-6734-5p-Mediated Functional Inhibition of IDH2
Author: Shuhua Xi
PMID: 32952848
Journal: Oxidative Medicine And Cellular Longevity
Application: WB
Reactivity: Human
Publish date: 2020 Sep
-
Citation
-
Functional regulation of an ancestral RAG transposon ProtoRAG by a trans-acting factor YY1 in lancelet
Author: Shaochun Yuan;Anlong Xu
PMID: 32908127
Journal: Nature Communications
Application: WB
Reactivity: Amphioxus
Publish date: 2020 Sep
-
Citation
-
Spinal TLR4/P2X7 Receptor-Dependent NLRP3 Inflammasome Activation Contributes to the Development of Tolerance to Morphine-Induced Antinociception
Author: Tao Xu;Aizhong Wang
PMID: 33061523
Journal: Journal Of Inflammation Research
Application: WB
Reactivity: Mouse
Publish date: 2020 Sep
-
Citation
-
Prognostic and predictive value of monocarboxylate transporter 4 in patients with breast cancer
Author: Professor Mingjun Xie
PMID: 32782531
Journal: Oncology Letters
Application: IHC-P,WB
Reactivity: Human
Publish date: 2020 Sep
-
Citation
-
Discovery and proteomics analysis of effective compounds in Valeriana jatamansi jones for the treatment of anxiety
Author: Shao-Nan Wang, Zi-Wei Yao, Cheng-Bowen Zhao, Yong-Sheng Ding, Jing-Luo, Li-Hua Bian, Qiu-Yu Li, Xiao-Mei Wang, Jin-Li Shi, Jian-You Guo, Chun-Guo Wang
PMID: 33069789
Journal: Journal Of Ethnopharmacology
Application: WB
Reactivity: Rat
Publish date: 2020 Oct
-
Citation
-
Tetramethylpyrazine Ameliorates Lipopolysaccharide-Induced Sepsis in Rats via Protecting Blood–Brain Barrier,Impairing Inflammation and Nitrous Oxide Systems
Author: Chang-Shun Huang;Yin Cao
PMID: 33123008
Journal: Frontiers In Pharmacology
Application: WB,IHC-P
Reactivity: Rat
Publish date: 2020 Oct
-
Citation
-
Resveratrol synergizes with cisplatin in antineoplastic effects against AGS gastric cancer cells by inducing endoplasmic reticulum stress-mediated apoptosis and G2/M phase arrest
Author: Dr Feng Ji
PMID: 32945472
Journal: Oncology Reports
Application: WB
Reactivity: Human
Publish date: 2020 Oct
-
Citation
-
α‑enolase is highly expressed in liver cancer and promotes cancer cell invasion and metastasis
Author:
PMID: 32934720
Journal: Oncology Letters
Application: WB
Reactivity:
Publish date: 2020 Nov
-
Citation
-
Water extract of sporoderm-broken spores of Ganoderma lucidum enhanced pd-l1 antibody efficiency through downregulation and relieved complications of pd-l1 monoclonal antibody
Author:
PMID: 33152901
Journal: Biomedicine & Pharmacotherapy
Application: WB
Reactivity: Mouse
Publish date: 2020 Nov
-
Citation
-
Atractylodis macrocephalae polysaccharides protect against DSS-induced intestinal injury through a novel lncRNA ITSN1-OT1
Author: Xin Zong, Xiao Xiao, Lixia Kai, Yuanzhi Cheng, Jie Fu, Wei Xu, Yizhen Wang, Ke Zhao, Mingliang Jin
PMID: 33248053
Journal: International Journal Of Biological Macromolecules
Application: WB
Reactivity:
Publish date: 2020 Nov
-
Citation
-
Pharmacological inhibition of fatty acid-binding protein 4 alleviated kidney inflammation and fibrosis in hyperuricemic nephropathy
Author:
PMID: 32949603
Journal: European Journal Of Pharmacology
Application: WB
Reactivity:
Publish date: 2020 Nov
-
Citation
-
DJ-1 promotes cell proliferation and tumor metastasis in esophageal squamous cell carcinoma via the Wnt/β-catenin signaling pathway
Author: YANQING LIU
PMID: 32319588
Journal: International Journal Of Oncology
Application: WB
Reactivity: Human
Publish date: 2020 May
-
Citation
-
Comparative acetylome analysis of wild-type and fuzzless-lintless mutant ovules of upland cotton (Gossypium hirsutum Cv. Xu142) unveils differential protein acetylation may regulate fiber development
Author:
PMID: 32114400
Journal: Plant Physiology And Biochemistry
Application: WB
Reactivity:
Publish date: 2020 May
-
Citation
-
Ambient PM2.5 caused cardiac dysfunction through FoxO1-targeted cardiac hypertrophy and macrophage-activated fibrosis in mice
Author:
PMID: 31978653
Journal: Chemosphere
Application: WB
Reactivity: Mouse
Publish date: 2020 May
-
Citation
-
Urolithin a attenuates IL-1β-induced inflammatory responses and cartilage degradation via inhibiting the MAPK/NF-κB signaling pathways in rat articular chondrocytes
Author: Jun-ming Huang;Zhi-yong Ruan
PMID: 32210738
Journal: Journal Of Inflammation
Application: WB
Reactivity: Rat
Publish date: 2020 Mar
-
Citation
-
Feeding on tea GH19 chitinase enhances tea defense responses induced by regurgitant derived from Ectropis grisescens
Author: Xiaotong Lu, Baohui Wang, Xiaoming Cai, Shenglong Chen, Zongmao Chen, Zhaojun Xin
PMID: 32196677
Journal: Physiologia Plantarum
Application: WB
Reactivity:
Publish date: 2020 Mar
-
Citation
-
Longan pulp polysaccharide protects against cyclophosphamide-induced immunosuppression in mice by promoting intestinal secretory IgA synthesis
Author: Yajuan Bai, Fei Huang, Ruifen Zhang, Qin Ma, Lihong Dong, Dongxiao Su, Jianwei Chi, Mingwei Zhang
PMID: 32175536
Journal: Food & Function
Application: WB
Reactivity:
Publish date: 2020 Mar
-
Citation
-
Activation of GPR120 by TUG891 ameliorated cisplatin-induced acutekidney injury via repressing ER stress and apoptosis
Author: Liang Ma;Ping Fu
PMID: 32145589
Journal: Biomedicine & Pharmacotherapy
Application: WB
Reactivity: Mouse
Publish date: 2020 Jun
-
Citation
-
A Novel Cecropin-LL37 Hybrid Peptide Protects Mice Against EHEC Infection-Mediated Changes in Gut Microbiota, Intestinal Inflammation, and Impairment of Mucosal Barrier Functions
Author:
PMID: 32695115
Journal: Frontiers In Immunology
Application: WB
Reactivity: Mouse
Publish date: 2020 Jun
-
Citation
-
CD44 inhibition attenuates EGFR signaling and enhances cisplatin sensitivity in human EGFR wild-type non-small-cell lung cancer cells
Author: Dandan Yuan;Mingxing Li
PMID: 32236608
Journal: International Journal Of Molecular Medicine
Application: WB,IF
Reactivity: Human
Publish date: 2020 Jun
-
Citation
-
Autophagy negative-regulating Wnt signaling enhanced inflammatoryosteoclastogenesis from Pre-OCsin vitro
Author: Weilian Sun
PMID: 32199225
Journal: Biomedicine & Pharmacotherapy
Application: WB
Reactivity: Human
Publish date: 2020 Jun
-
Citation
-
Disabling phosphorylation at the homer ligand of the metabotropic glutamate receptor 5 alleviates complete Freund's adjuvant-induced inflammatory pain
Author: Tao Xu
PMID: 32156549
Journal: Neuropharmacology
Application: WB
Reactivity: Mouse
Publish date: 2020 Jun
-
Citation
-
Effect of oxygen supplement during targeted temperature management on acute lung injury in the early stage of traumatic hemorrhagic shock
Author: Tai-Wen Rao, Ye-Hua Shen, Xiao-Gang Zhao, Shou-Yin Jiang
PMID: 9NOPMID25021201
Journal: European Journal Of Inflammation
Application: WB
Reactivity: Rabbit
Publish date: 2020 Jul
-
Citation
-
Overexpressed GATA3 enhances the sensitivity of colorectal cancer cells to oxaliplatin through regulating MiR-29b
Author: Xianbao Zhan
PMID: 32760217
Journal: Cancer Cell International
Application: WB
Reactivity: Human
Publish date: 2020 Jul
-
Citation
-
Two ferritin genes (MdFerH and MdFerL) are involved in iron homeostasis,antioxidation and immune defense in housefly Musca domestica
Author: Ting Tang;Fengsong Liu
PMID: 32526234
Journal: Journal Of Insect Physiology
Application: WB
Reactivity: Musca
Publish date: 2020 Jul
-
Citation
-
p53 isoform Δ113p53 promotes zebrafish heart regeneration by maintaining redox homeostasis
Author: Wei-Qiang Tan;Jun Chen
PMID: 32703938
Journal: Cell Death & Disease
Application: WB
Reactivity: Zebrafish
Publish date: 2020 Jul
-
Citation
-
2-Methylquinazoline derivative 23BB as a highly selective histone deacetylase 6 inhibitor alleviated cisplatin-induced acute kidney injury
Author: Liang Ma
PMID: 31894849
Journal: Bioscience Reports
Application: WB
Reactivity: Mouse
Publish date: 2020 Jan
-
Citation
-
Galangin Protects against Symptoms of Dextran Sodium Sulfate-Induced Acute Colitis by Activating Autophagy and Modulating the Gut Microbiota
Author:
PMID: 32013062
Journal: Nutrients
Application: WB
Reactivity: Mouse
Publish date: 2020 Jan
-
Citation
-
Ghrelin attenuates secondary brain injury following intracerebral hemorrhage by inhibiting NLRP3 inflammasome activation and promoting Nrf2/ARE signaling pathway in mice
Author: Yijun Cheng, Bin Chen, Wanqun Xie, Zhenghong Chen, Guoyuan Yang, Yu Cai, Hanbing Shang, Weiguo Zhao
PMID: 31926478
Journal: International Immunopharmacology
Application: WB
Reactivity:
Publish date: 2020 Jan
-
Citation
-
SUV39H1 is a New Client Protein of Hsp90 Degradated by Chaetocin as a Novel C-Terminal Inhibitor of Hsp90
Author:
PMID: 33162400
Journal: Biomolecules & Therapeutics
Application: WB
Reactivity:
Publish date: 2020 Jan
-
Citation
-
STAT3 enhances radiation-induced tumor migration,invasion and stem-like properties of bladder cancer
Author: Zhaolu Kong
PMID: 33236137
Journal: Molecular Medicine Reports
Application: WB
Reactivity: Human
Publish date: 2020 Jan
-
Citation
-
Microglia exacerbate white matter injury via complement C3/C3aR pathway after hypoperfusion
Author:
PMID: 31903107
Journal: Theranostics
Application: WB
Reactivity: Rat
Publish date: 2020 Jan
-
Citation
-
Curcumin ameliorates oxidative stress-induced intestinal barrier injury and mitochondrial damage by promoting Parkin dependent mitophagy through AMPK-TFEB signal pathway
Author:
PMID: 31816386
Journal: Free Radical Biology And Medicine
Application: WB
Reactivity:
Publish date: 2020 Feb
-
Citation
-
Neurotoxicity and biomarkers of zinc oxide nanoparticles in main functional brain regions and dopaminergic neurons
Author:
PMID: 31829301
Journal: Science Of The Total Environment
Application: WB
Reactivity: Rat
Publish date: 2020 Feb
-
Citation
-
Carbon black nanoparticles induce pulmonary fibrosis through NLRP3 inflammasome pathway modulated by miR-96 targeted FOXO3a
Author:
PMID: 31683435
Journal: Chemosphere
Application: WB
Reactivity: Rat
Publish date: 2020 Feb
-
Citation
-
The eEF2 kinase-induced STAT3 inactivation inhibits lung cancer cell proliferation by phosphorylation of PKM2
Author: Jing Li
PMID: 32054489
Journal: Communication And Signaling
Application: WB
Reactivity: Human
Publish date: 2020 Feb
-
Citation
-
Increased FURIN expression in rheumatoid arthritis patients and its anti-inflammatory effect
Author:
PMID: 32840921
Journal: Journal Of Clinical Laboratory Analysis
Application: WB
Reactivity:
Publish date: 2020 Dec
-
Citation
-
Metformin protects high glucose-cultured cardiomyocytes from oxidative stress by promoting NDUFA13 expression and mitochondrial biogenesis via the AMPK signaling pathway
Author: Qing-Yong Zhang; Li-Li Wan
PMID: 33174032
Journal: Molecular Medicine Reports
Application: WB
Reactivity: Human
Publish date: 2020 Dec
-
Citation
-
Cytotoxic and Antiproliferative Effects of β-Mangostin on Rat C6 Glioma Cells Depend on Oxidative Stress Induction via PI3K/AKT/mTOR Pathway Inhibition
Author:
PMID: 33293793
Journal: Drug Design Development And Therapy
Application: WB
Reactivity:
Publish date: 2020 Dec
-
Citation
-
Porphyromonas gingivalis-Induced NLRP3 Inflammasome Activation and Its Downstream Interleukin-1β Release Depend on Caspase-4
Author:
PMID: 32903638
Journal: Frontiers In Microbiology
Application: WB,IHC-P
Reactivity: Human
Publish date: 2020 Aug
-
Citation
-
Ethanol extract of Liriodendron chinense (Hemsl.) Sarg barks attenuates hyperuricemic nephropathy by inhibiting renal fibrosis and inflammation in mice
Author: Jing Pan, Chunle Zhang, Min Shi, Fan Guo, Jing Liu, Lingzhi Li, Qian Ren, Sibei Tao, Minghai Tang, Haoyu Ye, Liang Ma, Ping Fu
PMID: 32841699
Journal: Journal Of Ethnopharmacology
Application: WB
Reactivity:
Publish date: 2020 Aug
-
Citation
-
Isoliquiritigenin inhibits TGF-β 1-induced fibrogenesis through activating autophagy via PI3K/AKT/mTOR pathway in MRC-5 cells
Author:
PMID: 32638014
Journal: Acta Biochimica Et Biophysica Sinica
Application: WB
Reactivity:
Publish date: 2020 Aug
-
Citation
-
An oriented‐collagen scaffold including Wnt5a promotes osteochondral regeneration and cartilage interface integration in a rabbit model
Author:
PMID: 32627881
Journal: FASEB Journal
Application:
Reactivity: Rabbit
Publish date: 2020 Aug
-
Citation
-
Anti-tumor activity of polysaccharides obtained from Leucocalocybe mongolica using solid-state fermentation
Author: Xueliang Zhao, Tolgor Bau, Haiying Bao
PMID: 3NOPMID25020806
Journal: Biotechnology & Biotechnological Equipment
Application: WB
Reactivity: Mouse
Publish date: 2020 Aug
-
Citation
-
Haimufang decoction,a Chinese medicine formula for lung cancer,arrests cell cycle,stimulates apoptosis in NCI-H1975 cells,and induces M1 polarization in RAW 264.7 macrophage cells
Author: Ming Liu;Hong-Bing Liu
PMID: 32758223
Journal: BMC Complementary Medicine and Therapies
Application: WB
Reactivity: Human
Publish date: 2020 Aug
-
Citation
-
Characterization of a novel shell matrix protein with vWA domain from Mytilus coruscus
Author: Sun Qi, Jiang Yuting, Fan Meihua, Zhang Xiaolin, Xu Huanzhi, Liao Zhi
PMID: 32314940
Journal: Bioscience Biotechnology And Biochemistry
Application: WB
Reactivity: Mytilus
Publish date: 2020 Aug
-
Citation
-
Ganoderma Lucidum Polysaccharides Ameliorates Hepatic Steatosis and Oxidative Stress in db/db Mice via Targeting Nuclear Factor E2 (Erythroid-Derived 2)-Related Factor-2/Heme Oxygenase-1 (HO-1) Pathway
Author: Dan Qing Chen
PMID: 32245940
Journal: Medical Science Monitor
Application: IHC-P
Reactivity: Mouse
Publish date: 2020 Apr
-
Citation
-
Zebrafish GSDMEb cleavage-gated pyroptosis drives septic acute kidney injury in vivo
Author:
PMID: 32111733
Journal: Journal Of Immunology
Application: WB
Reactivity:
Publish date: 2020 Apr
-
Citation
-
28-Hydroxy-3-oxoolean-12-en-29-oic Acid,a Triterpene Acid from Celastrus Orbiculatus Extract,Inhibits the Migration and Invasion of Human Gastric Cancer Cells In Vitro.
Author: Yanqing Liu
PMID: 31569766
Journal: Molecules
Application: WB
Reactivity: Human
Publish date: 2019 Sep
-
Citation
-
One-Carbon Metabolism Supports SAdenosylmethionine and Histone Methylation to Drive Inflammatory Macrophages
Author: Yingliang Wu,Di Wang
PMID: 31420217
Journal: Molecular Cell
Application: WB
Reactivity: Human
Publish date: 2019 Sep
-
Citation
-
Pharmacological and genetic inhibition of fatty acid‐binding protein 4 alleviated cisplatin‐induced acute kidney injury
Author: Liang Ma,Ping Fu
PMID: 31286669
Journal: Journal Of Cellular And Molecular Medicine
Application: WB,IF
Reactivity: Mouse
Publish date: 2019 Sep
-
Citation
-
Regular Swimming Exercise Attenuated Neuroma Pain in Rats: Involvement of Leptin and Adiponectin.
Author: Dongping Du
PMID: 30986512
Journal: The Journal Of Pain
Application: WB
Reactivity: Rat
Publish date: 2019 Sep
-
Citation
-
Identification of CD206 as a potential biomarker of cancer stem-like cells and therapeutic agent in liver cancer
Author: Lifen Zhu,Shibing Wang
PMID: 31452799
Journal: Oncology Letters
Application: WB
Reactivity: Human
Publish date: 2019 Sep
-
Citation
-
Wnt Signaling Modulates Routes of Retinoic Acid-Induced Differentiation of Embryonic Stem Cells.
Author: Ming Zhang,Liangbiao Chen
PMID: 31337269
Journal: Stem Cells And Development
Application: WB,IF
Reactivity: Mouse
Publish date: 2019 Oct
-
Citation
-
Identification of novel antimicrobial peptides from rice planthopper,Nilaparvata lugens.
Author: Qi-Sheng Song,Yan-Yuan Bao
PMID: 31449847
Journal: Insect Biochemistry And Molecular Biology
Application: WB
Reactivity: nilaparvata lugens
Publish date: 2019 Oct
-
Citation
-
Changes in Titin and Collagen Modulate Effects of Aerobic and Resistance Exercise on Diabetic Cardiac Function.
Author:
PMID: 30820865
Journal: Journal Of Cardiovascular Translational Research
Application: WB
Reactivity: Rat
Publish date: 2019 Oct
-
Citation
-
Tumour cell-derived debris and IgG synergistically promote metastasis of pancreatic cancer by inducing inflammation via tumour-associated macrophages
Author:
PMID: 31588122
Journal: British Journal Of Cancer
Application: WB
Reactivity: Mouse
Publish date: 2019 Oct
-
Citation
-
Babao Dan attenuates acute ethanol-induced liver injury via Nrf2 activation and autophagy
Author:
PMID: 31583074
Journal: Cell & Bioscience
Application: WB
Reactivity: Mouse
Publish date: 2019 Oct
-
Citation
-
Huachansu Capsule inhibits the proliferation of human gastric cancer cells via Akt/mTOR pathway.
Author: Y. Liu
PMID: 31351435
Journal: Biomedicine & Pharmacotherapy
Application: WB
Reactivity: Human
Publish date: 2019 Oct
-
Citation
-
Bmal1 regulates circadian expression of cytochrome P450 3a11 and drug metabolism in mice
Author: Baojian Wu
PMID: 31633069
Journal: Communications Biology
Application: WB
Reactivity: Mouse
Publish date: 2019 Oct
-
Citation
-
Mitochondria-localised ZNFX1 functions as a dsRNA sensor to initiate antiviral responses through MAVS
Author:
PMID: 31685995
Journal: Nature Cell Biology
Application: WB
Reactivity: Mouse
Publish date: 2019 Nov
-
Citation
-
Lipofectamine 2000/siRNA complexes cause endoplasmic reticulum unfolded protein response in human endothelial cells. Journal of cellular physiology, 234(11), 21166–21181.
Author: Jinliang Nan,Yinuo Lin
PMID: 31032939
Journal: Journal Of Cellular Physiology
Application: WB,IF
Reactivity: Human
Publish date: 2019 Nov
-
Citation
-
Aberrant activation of RPB1 is critical for cell overgrowth in acute myeloid leukemia
Author:
PMID: 31574286
Journal: Experimental Cell Research
Application: WB
Reactivity: Human
Publish date: 2019 Nov
-
Citation
-
Phosphorylation of the Archaeal Holliday Junction Resolvase Hjc Inhibits Its Catalytic Activity and Facilitates DNA Repair in Sulfolobus islandicus REY15A
Author: Yulong Shen
PMID: 31214148
Journal: Frontiers In Microbiology
Application: WB
Reactivity: Sulfolobus islandicus
Publish date: 2019 May
-
Citation
-
Penicisulfuranol A, a novel C-terminal inhibitor disrupting molecular chaperone function of Hsp90 independent of ATP binding domain.
Author:
PMID: 30857829
Journal: Biochemical Pharmacology
Application: WB
Reactivity: Human
Publish date: 2019 May
-
Citation
-
ACPAs promote IL-1β production in rheumatoid arthritis by activating the NLRP3 inflammasome
Author: Jianli Jiang,Ping Zhu
PMID: 30911117
Journal: Cellular & Molecular Immunology
Application: WB
Reactivity: Human
Publish date: 2019 Mar
-
Citation
-
PM2.5 exposure impairs sperm quality through testicular damage dependent on NALP3 inflammasome and miR-183/96/182 cluster targeting FOXO1 in mouse.
Author: Zhang R
PMID: 30476817
Journal: Ecotoxicology And Environmental Safety
Application: WB
Reactivity: Mouse
Publish date: 2019 Mar
-
Citation
-
miR-155-5p Promotes Dorsal Root Ganglion Neuron Axonal Growth in an Inhibitory Microenvironment via the cAMP/PKA Pathway
Author:
PMID: 31337984
Journal: International Journal Of Biological Sciences
Application: WB
Reactivity: Rat
Publish date: 2019 Jun
-
Citation
-
Species identification of Bombyx mori and Antheraea pernyi silk via immunology and proteomics
Author:
PMID: 31253818
Journal: Scientific Reports
Application: ELISA
Reactivity:
Publish date: 2019 Jun
-
Citation
-
Degradation Behavior and Immunological Detection of Silk Fibroin Exposure to Enzymes
Author: Ruru Chen, Lian Zhou, Hui Yang, Hailing Zheng, Yang Zhou, Zhiwen Hu, Bing Wang
PMID: 31353338
Journal: Analytical Sciences
Application: ELISA,WB
Reactivity: Antheraea pernyi,Silkworm
Publish date: 2019 Jul
-
Citation
-
Cathelicidin-WA Facilitated Intestinal Fatty Acid Absorption Through Enhancing PPAR-γ Dependent Barrier Function
Author:
PMID: 31379865
Journal: Frontiers In Immunology
Application: WB
Reactivity: Mouse
Publish date: 2019 Jul
-
Citation
-
Circadian Clock Gene Bmal1 Regulates Bilirubin Detoxification: A Potential Mechanism of Feedback Control of Hyperbilirubinemia
Author:
PMID: 31410205
Journal: Theranostics
Application: WB,IHC-P
Reactivity: Mouse
Publish date: 2019 Jul
-
Citation
-
An Ovarian Protein Involved in Passive Avoidance of an Endoparasitoid To Evade Its Host Immune Response
Author: Gongyin Ye
PMID: 31244211
Journal: Journal Of Proteome Research
Application: WB
Reactivity: wasps
Publish date: 2019 Jul
-
Citation
-
Production and Function of Different Regions from Mytichitin-1 of Mytilus coruscus
Author: Liao Zhi
PMID: 30395994
Journal: Fish & Shellfish Immunology
Application: WB
Reactivity: Mytilus
Publish date: 2019 Jan
-
Citation
-
Gemcitabine combined with an engineered oncolytic vaccinia virus exhibits a synergistic suppressive effect on the tumor growth of pancreatic cancer
Author: Dr Shibing Wang
PMID: 30365143
Journal: Oncology Reports
Application: WB
Reactivity: Human
Publish date: 2019 Jan
-
Citation
-
AKR1B10 expression predicts response of gastric cancer to neoadjuvant chemotherapy
Author: Dr Xiuwen Tang
PMID: 30655829
Journal: Oncology Letters
Application: WB
Reactivity: Human
Publish date: 2019 Jan
-
Citation
-
Resveratrol improves intestinal barrier function,alleviates mitochondrial dysfunction and induces mitophagy in diquat challenged piglets
Author: Yonghui He,Caihong Hu
PMID: 30601541
Journal: Food & Function
Application: WB
Reactivity: Pig
Publish date: 2019 Jan
-
Citation
-
An immunomagnetic bead enrichment technique to improve the detection efficiency for trace silk protein, its application
Author: Hailing Zheng, Wei Zhang, Hailiang Yang, Chao Ma, Yang Zhou, Xianjun Dai
PMID: 3NOPMID25020808
Journal: Journal Of Cultural Heritage
Application: ELISA
Reactivity:
Publish date: 2019 Feb
-
Citation
-
Interplay of MKP-1 and Nrf2 drives tumor growth and drug resistance in non-small cell lung cancer
Author: Xiuwen Tang,Xiu Jun Wang
PMID: 31811110
Journal: Aging (Albany Ny)
Application: WB
Reactivity: Human
Publish date: 2019 Dec
-
Citation
-
Water Extract of Sporoderm-Broken Spores of Ganoderma lucidum Induces Osteosarcoma Apoptosis and Restricts Autophagic Flux
Author: Weiqi Yan
PMID: 32021244
Journal: Oncotargets And Therapy
Application: WB,IHC-P
Reactivity: Mouse
Publish date: 2019 Dec
-
Citation
-
Silencing of lncRNA AK045490 Promotes Osteoblast Differentiation and Bone Formation via β-Catenin/TCF1/Runx2 Signaling Axis
Author: Ge Zhang;Airong Qian
PMID: 31835596
Journal: International Journal Of Molecular Sciences
Application: IHF
Reactivity: Mouse
Publish date: 2019 Dec
-
Citation
-
PARK2 Suppresses Proliferation and Tumorigenicity in Non-small Cell Lung Cancer
Author: Chi Pan,Suzhan Zhang
PMID: 31508359
Journal: Frontiers In Oncology
Application: WB
Reactivity: Human
Publish date: 2019 Aug
-
Citation
-
Comparative analysis of proteins from Bombyx mori and Antheraea pernyi cocoons for the purpose of silk identification
Author: Ruru Chen, Cheng Zhu, Mingzhou Hu, Lian Zhou, Hui Yang, Hailing Zheng, Yang Zhou, Zhiwen Hu, Zhiqin Peng, Bing Wang
PMID: 31479798
Journal: Journal Of Proteomics
Application: WB
Reactivity: Antheraea pernyi,Silkworm
Publish date: 2019 Aug
-
Citation
-
m6A methylation modulates adipogenesis through JAK2-STAT3-C/EBPβ signaling
Author:
PMID: 31295563
Journal: Biochimica Et Biophysica Acta-Gene Regulatory Mechanisms
Application: WB
Reactivity: Pig
Publish date: 2019 Aug
-
Citation
-
A Novel Peptide Ameliorates LPS-Induced Intestinal Inflammation and Mucosal Barrier Damage via Its Antioxidant and Antiendotoxin Effects
Author:
PMID: 31443263
Journal: International Journal Of Molecular Sciences
Application: WB
Reactivity: Mouse
Publish date: 2019 Aug
-
Citation
-
Structural and property changes of silk fibroin determined by an immunoassay during an artificial aging process
Author: Jin Li, Yujie He, Haohui Li, Yi Ouyang, Linshuai Liu, Yang Zhou, Zhiwen Hu, Bing Wang
PMID: 23NOPMID25020801
Journal: Analytical Letters
Application: WB,ELISA
Reactivity:
Publish date: 2019 Aug
-
Citation
-
Design and Development of a Novel Peptide for Treating Intestinal Inflammation
Author: Rijun Zhang
PMID: 31447849
Journal: Frontiers In Immunology
Application: WB
Reactivity: Mouse
Publish date: 2019 Aug
-
Citation
-
ErbB3 Ligand Heregulin1 Is a Major Mitogenic Factor for Uncontrolled Lung Cancer Cell Proliferation
Author: Changmin Chen
PMID: 30831376
Journal: Neoplasia
Application: WB
Reactivity: Human
Publish date: 2019 Apr
-
Citation
-
PEITC promotes neurite growth in primary sensory neurons via the miR-17-5p/STAT3/GAP-43 axis
Author: Zhijie Wang, Wenqi Yuan, Bo Li, Xueming Chen, Yanjun Zhang, Chuanjie Chen, Mei Yu, Yucai Xiu, Wenhua Li, Jiangang Cao, Xin Wang, Wen Tao, Xiaoling Guo, Shiqing Feng, Tianyi Wang
PMID: 29877111
Journal: Journal Of Drug Targeting
Application: WB
Reactivity: Rat
Publish date: 2018 Sept
-
Citation
-
Species identification of silks from Bombyx mori, Eri silkworm and Chestnut silkworm using western blot and proteomics analyses
Author: Jincui Gu, Chengfeng Xu, Menglu Li, Boyi Chen, Yating Shang, Hailing Zheng, Yang Zhou, Zhiwen Hu, Zhiqin Peng, Bing Wang
PMID: 30270257
Journal: Analytical Sciences
Application: WB
Reactivity: Silkworm
Publish date: 2018 Sept
-
Citation
-
Mesenchymal stem cells recruited by castration-induced inflammation activation accelerate prostate cancer hormone resistance via chemokine ligand 5 secretion
Author:
PMID: 30257726
Journal: Stem Cell Research & Therapy
Application: WB
Reactivity: Human,Mouse
Publish date: 2018 Sep
-
Citation
-
Mitophagy is activated in brain damage induced by cerebral ischemia and reperfusion via the PINK1/Parkin/p62 signalling pathway
Author: zhangyong
PMID: 29964088
Journal: Brain Research Bulletin
Application: WB
Reactivity: Rat
Publish date: 2018 Sep
-
Citation
-
An ungrouped cuticular protein is essential for normal endocuticle formation in the brown planthopper.
Author: Chuan-Xi Zhang
PMID: 29885440
Journal: Insect Biochemistry And Molecular Biology
Application: WB
Reactivity: Brown Planthopper
Publish date: 2018 Sep
-
Citation
-
Human Mesenchymal Stem Cell Secretome from Bone Marrow or Adipose-Derived Tissue Sources for Treatment of Hypoxia-Induced Pulmonary Epithelial Injury
Author:
PMID: 30274394
Journal: International Journal Of Molecular Sciences
Application: WB
Reactivity: Human,Rat
Publish date: 2018 Sep
-
Citation
-
Tetrahydropalmatine Prevents High-Fat Diet-Induced Hyperlipidemia in Golden Hamsters (Mesocricetus Auratus)
Author:
PMID: 30226834
Journal: Medical Science Monitor
Application: WB
Reactivity: Mouse
Publish date: 2018 Sep
-
Citation
-
Geranylgeranyl transferase 1 inhibitor GGTI‑298 enhances the anticancer effect of gefitinib
Author:
PMID: 30106149
Journal: Molecular Medicine Reports
Application: WB
Reactivity:
Publish date: 2018 Oct
-
Citation
-
Graphene oxide induces p62/SQSTM-dependent apoptosis through the impairment of autophagic flux and lysosomal dysfunction in PC12 cells
Author:
PMID: 30273743
Journal: Acta Biomaterialia
Application: IF
Reactivity: Rat
Publish date: 2018 Nov
-
Citation
-
MiR-20a Plays a Key Regulatory Role in the Repair of Spinal Cord Dorsal Column Lesion via PDZ-RhoGEF/RhoA/GAP43 Axis in Rat
Author: Wang Tianyi, Li Bo, Yuan Xin, Cui Libin, Wang Zhijie, Zhang Yanjun, Yu Mei, Xiu Yucai, Zhang Zheng, Li Wenhua, Wang Fengyan, Guo Xiaoling, Zhao Xiangyang, Chen Xueming
PMID: 30426336
Journal: Cellular And Molecular Neurobiology
Application: WB
Reactivity: Rat
Publish date: 2018 Nov
-
Citation
-
Efficacy of extracts of Celastrus orbiculatus in suppressing migration and invasion by inhibiting the EZH2/ROCK1 signaling pathway in human nasopharyngeal carcinoma
Author: Yanqing Liu
PMID: 29725411
Journal: Oncology Letters
Application: WB
Reactivity: Human
Publish date: 2018 May
-
Citation
-
Exchange factor directly activated by cAMP–PKCε signalling mediates chronic morphine‐induced expression of purine P2X3 receptor in rat dorsal root ganglia
Author:
PMID: 29500928
Journal: British Journal Of Pharmacology
Application: WB
Reactivity: Rat
Publish date: 2018 May
-
Citation
-
Identification of Kininogen 1 as a Serum Protein Marker of Colorectal Adenoma in Patients with a Family History of Colorectal Cancer
Author: Ying Yuan
PMID: 29535795
Journal: Journal Of Cancer
Application: WB
Reactivity: Human
Publish date: 2018 Mar
-
Citation
-
Protective effect of resveratrol on kidney in rats with diabetic nephropathy and its effect on endoplasmic reticulum stress
Author: D Yuan, X-M Liu, Z Fang, L-L Du, J Chang, S-H Lin
PMID: 29565511
Journal: European Review For Medical And Pharmacological Sciences
Application: WB
Reactivity: Rat
Publish date: 2018 Mar
-
Citation
-
Preparation of artificial antibodies and development of an antibody-based indirect ELISA for the detection of ancient wool
Author: Bing Wang, Jincui Gu, Qiushi You, Boyi Chen, Hailing Zheng, Yang Zhou, Zhiwen Hu
PMID: 20NOPMID25012401
Journal: Analytical Methods
Application: ELISA
Reactivity:
Publish date: 2018 Mar
-
Citation
-
PARK2 inhibits osteosarcoma cell growth through the JAK2/STAT3/VEGF signaling pathway
Author: Suzhan Zhang,Weiqi Yan
PMID: 29515107
Journal: Cell Death & Disease
Application: WB,IF
Reactivity: Human,Mouse
Publish date: 2018 Mar
-
Citation
-
Development of an Enzyme-Linked Immunosorbent Assay and Gold-Labelled Immunochromatographic Strip Assay for the Detection of Ancient Wool
Author: Zhiwen Hu
PMID: 29967710
Journal: Journal Of Analytical Methods In Chemistry
Application: ELISA
Reactivity: Ancient Wool
Publish date: 2018 Jun
-
Citation
-
The ColRS-Regulated Membrane Protein Gene XAC1347 Is Involved in Copper Homeostasis and hrp Gene Expression in Xanthomonas citri subsp. citri
Author: Huasong Zou
PMID: 29942288
Journal: Frontiers In Microbiology
Application: WB
Reactivity: Xanthomonas citri subsp. citri (Xcc)
Publish date: 2018 Jun
-
Citation
-
Muscarinic cholinergic signaling and overactive bladder-like symptoms associated with invasive bladder cancer
Author: Keji Xie
PMID: 29963145
Journal: Oncology Letters
Application: IHC-P
Reactivity: Human
Publish date: 2018 Jul
-
Citation
-
Underexpression of receptor for activated c kinase 1 (RACK1) in leukocytes from patients with severe acute pancreatitis
Author:
PMID: 30047498
Journal: Tohoku Journal Of Experimental Medicine
Application: WB
Reactivity: Rat
Publish date: 2018 Jul
-
Citation
-
Evaluation of intestinal injury, inflammatory response and oxidative stress following intracerebral hemorrhage in mice
Author: Yijun Cheng, Jieyu Zan, Yaying Song, Guoyuan Yang, Hanbing Shang, Weiguo Zhao
PMID: 30015849
Journal: International Journal Of Molecular Medicine
Application: WB
Reactivity: Mouse
Publish date: 2018 Jul
-
Citation
-
Molecular cloning and analysis of PGRP-L1 and IMD from silkworm Bombyx mori
Author: Xiang-Jun Rao
PMID: 29066397
Journal: Comparative Biochemistry And Physiology Part B: Biochemistry And Molecular Biology
Application: WB
Reactivity: Silkworm
Publish date: 2018 Jan
-
Citation
-
Celastrus orbiculatus extracts induce apoptosis and inhibit invasion by targeting the maspin gene in human gastric adenocarcinoma cells
Author: Yayun Qian
PMID: 29387218
Journal: Oncology Letters
Application: WB
Reactivity: Human
Publish date: 2018 Jan
-
Citation
-
Celastrus orbiculatus extracts induce cell cycle arrest and apoptosis in human esophageal squamous carcinoma ECA-109 cells in vitro via the PI3K/AKT/mTOR signaling pathway
Author: Yanqing Liu
PMID: 29434854
Journal: Oncology Letters
Application: WB
Reactivity: Human
Publish date: 2018 Feb
-
Citation
-
Celastrus orbiculatus extracts induce apoptosis in mTOR-overexpressed human hepatocellular carcinoma HepG2 cells
Author: Yayun Qian and Ting Yang
PMID: 30526568
Journal: BMC Complementary and Alternative Medicine
Application: WB
Reactivity: Human
Publish date: 2018 Dec
-
Citation
-
Fulvestrant inhibits the glycolysis of prolactinoma GH3 cells by downregulating IRE1/XBP1 signaling pathway
Author: C. Wang, J.-L. Xu, Y. Wen, D.-Z. Zhang, X. Wang, L. Chang, G.-F. Li, L.-Y. Xie, J. Su, X.-X. Zhang, C.-L. Tan
PMID: 30178863
Journal: European Review For Medical And Pharmacological Sciences
Application: WB
Reactivity: Rat
Publish date: 2018 Aug
-
Citation
-
Inhibition of YAP reverses primary resistance to EGFR inhibitors in colorectal cancer cells
Author: Bi‑Sheng Liu, Hong‑Wei Xia, Sheng Zhou, Qing Liu, Qiu‑Lin Tang, Na‑Xi Bi, Ji‑Tao Zhou, Qi‑Yong Gong, Yong‑Zhan Nie, Feng Bi
PMID: 30106444
Journal: Oncology Reports
Application: WB
Reactivity: Human,Mouse
Publish date: 2018 Aug
-
Citation
-
Tomato UV-B receptor SlUVR8 mediates plant acclimation to UV-B radiation and enhances fruit chloroplast development via regulating SlGLK2
Author: Yongsheng Liu,Songhu Wang
PMID: 29666396
Journal: Scientific Reports
Application: WB
Reactivity: Tomato
Publish date: 2018 Apr
-
Citation
-
Overexpression of MYC binding protein promotes invasion and migration in gastric cancer
Author: Ji Xu,Zaiyuan Ye
PMID: 29552163
Journal: Oncology Letters
Application: WB
Reactivity: Human
Publish date: 2018 Apr
-
Citation
-
PHD3 affects gastric cancer progression by negatively regulating HIF1A
Author: Ying‑Jie Xia, Xiao‑Ting Jiang, Shi‑Bin Jiang, Xu‑Jun He, Jun‑Gang Luo, Zheng‑Chuang Liu, Liang Wang, Hou‑Quan Tao, Jian‑Zhong Chen
PMID: 28901473
Journal: Molecular Medicine Reports
Application: WB
Reactivity: Human
Publish date: 2017 Sept
-
Citation
-
Role of ghrelin in small intestinal motility following pediatric intracerebral hemorrhage in mice
Author: Jieyu Zan, Lei Song, Jiejie Wang, Rong Zou, Fei Hong, Jinhua Zhao, Yijun Cheng, Ming Xu
PMID: 28901462
Journal: Molecular Medicine Reports
Application: WB
Reactivity: Mouse
Publish date: 2017 Sept
-
Citation
-
Mesenchymal stem cells microvesicles stabilize endothelial barrier function partly mediated by hepatocyte growth factor (HGF)
Author:
PMID: 28969681
Journal: Stem Cell Research & Therapy
Application: WB
Reactivity:
Publish date: 2017 Sep
-
Citation
-
Novel dietary polysaccharide SIP promotes intestinal secretory immunoglobulin A secretion in mice under chemotherapy
Author: Changhu Xue
PMID: NoPMID1
Journal: Journal Of Functional Foods
Application: IF
Reactivity: Mouse
Publish date: 2017 Oct
-
Citation
-
CHRM3 is a novel prognostic factor of poor prognosis in patients with endometrial carcinoma
Author:
PMID: 26175851
Journal: American Journal Of Translational Research
Application: WB
Reactivity: Human
Publish date: 2017 May
-
Citation
-
FBXW7 expression is associated with prognosis and chemotherapeutic outcome in Chinese patients with gastric adenocarcinoma
Author: Mao-Ran Li
PMID: 28464881
Journal: BMC Gastroenterology
Application: IHC-P
Reactivity: Human
Publish date: 2017 May
-
Citation
-
Ribosomal protein L23 negatively regulates cellular apoptosis via the RPL23/Miz-1/c-Myc circuit in higherrisk myelodysplastic syndrome
Author: Lingyun Wu
PMID: 28539603
Journal: Scientific Reports
Application: WB
Reactivity: Human
Publish date: 2017 May
-
Citation
-
Propofol induces excessive vasodilation of aortic rings by inhibiting protein kinase Cβ2 and θ in spontaneously hypertensive rats
Author: Yan Wang, Quanhong Zhou, Bin Wu, Huixuan Zhou, Xiaoli Zhang, Wei Jiang, Li Wang, Aizhong Wang
PMID: 28369981
Journal: British Journal Of Pharmacology
Application: WB
Reactivity: Rat
Publish date: 2017 Mar
-
Citation
-
CCR2 dependent neutrophil activation and mobilization rely on TLR4-p38 axis during liver ischemia-reperfusion injury
Author:
PMID: 28670376
Journal: American Journal Of Translational Research
Application: WB
Reactivity:
Publish date: 2017 Jun
-
Citation
-
Effects of unfractionated heparin and rivaroxaban on the expression of heparanase and fibroblast growth factor 2 in human osteoblasts
Author: Xia, J., Sheng, W., Pei, L., Li, N., Zhang, Z., Wang, J., Zu, J., Wang, N., & Wang, D.
PMID: 28498476
Journal: Molecular Medicine Reports
Application: WB
Reactivity: Human,Rat
Publish date: 2017 Jul
-
Citation
-
Spatiotemporal delivery of nanoformulated liraglutide for cardiac regeneration after myocardial infarction
Author:
PMID: 28744119
Journal: International Journal Of Nanomedicine
Application: WB
Reactivity:
Publish date: 2017 Jul
-
Citation
-
Identifcation of anti-tumor components from toad venom
Author: Yongchang Qian,
PMID: 28693129
Journal: Oncology Letters
Application: WB
Reactivity: toad
Publish date: 2017 Jul
-
Citation
-
Increased Circulating Exosomal miRNA-223 Is Associated with Acute Ischemic Stroke
Author:
PMID: 28289400
Journal: Frontiers In Neurology
Application: WB
Reactivity:
Publish date: 2017 Feb
-
Citation
-
FoxM1 is associated with metastasis in colorectal cancer through induction of the epithelial-mesenchymal transition
Author: Baoying Fei
PMID: 29163688
Journal: Oncology Letters
Application: WB
Reactivity: Human
Publish date: 2017 Dec
-
Citation
-
N-myc downstream regulated gene 1(NDRG1) promotes the stem-like properties of lung cancer cells through stabilized c-Myc
Author: Wang K
PMID: 28456659
Journal: Cancer Letters
Application: Co-IP,WB
Reactivity: Human
Publish date: 2017 Aug
-
Citation
-
Discerning Silk Produced by Bombyx mori from Those Produced by Wild Species Using an Enzyme-Linked Immunosorbent Assay Combined with Conventional Methods
Author: Qiushi You, Qingqing Li, Hailing Zheng, Zhiwen Hu, Yang Zhou, Bing Wang
PMID: 28796495
Journal: Journal Of Agricultural And Food Chemistry
Application: ELISA
Reactivity:
Publish date: 2017 Aug
-
Citation
-
Curcumin attenuates hypoxic-ischemic brain injury in neonatal rats through induction of nuclear factor erythroid-2-related factor 2 and heme oxygenase-1.
Author: JIE SU
PMID: 28781627
Journal: Experimental And Therapeutic Medicine
Application: WB
Reactivity: Rat
Publish date: 2017 Aug
-
Citation
-
Myrf ER-Bound Transcription Factors Drive C. elegans Synaptic Plasticity via Cleavage-Dependent Nuclear Translocation
Author: Qi YB
PMID: 28441531
Journal: Development
Application: WB
Reactivity: C.elegans
Publish date: 2017 Apr
-
Citation
-
Malate-aspartate shuttle inhibitor aminooxyacetic acid blocks lipopolysaccharides-induced activation of BV2 microglia
Author:
PMID: 28533892
Journal: International Journal Of Physiol Pathophysiol Pharmacol
Application: WB
Reactivity:
Publish date: 2017 Apr
-
Citation
-
Advanced Glycation End-Products Downregulate HoxA9EC through Activation of Nuclear Factor Kappa B by Reciprocal Interaction
Author:
PMID: 28723696
Journal: Journal Of Vascular Research
Application: WB
Reactivity:
Publish date: 2017
-
Citation
-
Species identification of ancient leather objects by the use of the enzyme-linked immunosorbent assay
Author: Yi Liu, Yi Li, Runxing Chang, Hailing Zheng, Yang Zhou, Menglu Li, Zhiwen Hu, Bing Wang
PMID: 23NOPMID25021302
Journal: Analytical Methods
Application: ELISA
Reactivity:
Publish date: 2016 Sept
-
Citation
-
Mesenchymal stem cells with Sirt1overexpression suppress breasttumor growth via chemokinedependentnatural killer cells recruitment
Author:
PMID: 27782173
Journal: Scientific Reports
Application: WB
Reactivity: Human
Publish date: 2016 Oct
-
Citation
-
SMC1A recruits tumor-associated-fibroblasts (TAFs) and promotes colorectal cancer metastasis
Author: Pengyang Zhou, Nan Xiao, Jian Wang, Zhanhuai Wang, Shuchun Zheng, Siyang Shan, Jianping Wang, Jinlin Du, Jianwei Wang
PMID: 27826041
Journal: Cancer Letters
Application: WB
Reactivity: Human
Publish date: 2016 Nov
-
Citation
-
Effective treatment with combination of peripheral 5-hydroxytryptamine synthetic inhibitor and 5-hydroxytryptamine 2 receptor antagonist on glucocorticoid-induced whole‐body insulin resistance with hyperglycemia
Author:
PMID: 27177506
Journal: Journal Of Diabetes Investigation
Application: WB
Reactivity: Human
Publish date: 2016 Nov
-
Citation
-
The lack of Raf-1 kinase feedback regulation enhances antiapoptosis in cancer cells
Author: Ma S Q, Cao B R, Zhang H, Luo L P, Ren Y, Hu T, Chen C M
PMID: 27841865
Journal: Oncogene
Application: WB
Reactivity: Human
Publish date: 2016 Nov
-
Citation
-
Celastrus orbiculatus extract triggers apoptosis and autophagy via PI3K/Akt/mTOR inhibition in human colorectal cancer cells
Author:
PMID: 27895729
Journal: Oncology Letters
Application: WB
Reactivity:
Publish date: 2016 Nov
-
Citation
-
Quercetin-induced apoptosis of HT-29 colon cancer cells via inhibition of the Akt-CSN6-Myc signaling axis
Author:
PMID: 27748879
Journal: Molecular Medicine Reports
Application: WB
Reactivity:
Publish date: 2016 Nov
-
Citation
-
BMDREDD REGULATES THE APOPTOSIS COORDINATING WITH BMDAXX, BMCIDE‐B, BMFADD, AND BMCREB IN BMN CELLS
Author:
PMID: 27558456
Journal: Archives Of Insect Biochemistry And Physiology
Application: IF
Reactivity: Silkworm
Publish date: 2016 Nov
-
Citation
-
Cotesia vestalis teratocytes express a diversity of genes and exhibit novel immune functions in parasitism
Author: Min Shi
PMID: 27254821
Journal: Scientific Reports
Application: WB
Reactivity: Cotesia vestalis
Publish date: 2016 Jun
-
Citation
-
Identification of Proteinaceous Binders in Ancient Tripitaka by the Use of an Enzyme-linked Immunosorbent Assay
Author: Yi LIU, Yi LI, Runxing CHANG, Hailing ZHENG, Menglu LI, Zhiwen HU, Yang ZHOU, Bing WANG
PMID: 27396653
Journal: Analytical Sciences
Application: ELISA
Reactivity:
Publish date: 2016 Jul
-
Citation
-
Mesencephalic astrocyte‐derived neurotrophic factor reduces cell apoptosis via upregulating GRP78 in SH‐SY5Y cells
Author: Huang, J., Chen, C., Gu, H., Li, C., Fu, X., Jiang, M., Sun, H., Xu, J., Fang, J., & Jin, L.
PMID: 27145383
Journal: Cell Biology International
Application: WB
Reactivity: Species independent
Publish date: 2016 Jul
-
Citation
-
Placental NRP1 and VEGF expression in pre-eclamptic women and in a homocysteine-treated mouse model of pre-eclampsia
Author: Cheng WW
PMID: 26708340
Journal: European Journal Of Obstetrics & Gynecology And Reproductive Biology
Application: IHC-P,WB
Reactivity: Human,Mouse
Publish date: 2016 Jan
-
Citation
-
PFR peptide,one of the antimicrobial peptides identified from the derivatives of lactoferrin,induces necrosis in leukemia cells
Author: Cai-Yun Fu
PMID: 26860588
Journal: Scientific Reports
Application: WB
Reactivity: Human
Publish date: 2016 Feb
-
Citation
-
Matrine inhibits diethylnitrosamine-induced HCC proliferation in rats through inducing apoptosis via p53,Bax-dependent caspase-3 activation pathway and down-regulating MLCK overexpression
Author: Xiaolin Zhang and Hao Yu
PMID: 27642320
Journal: Iranian Journal Of Pharmaceutical Research
Application: IF-cell,WB
Reactivity: Rat
Publish date: 2016 Feb
-
Citation
-
The role and regulatory mechanism of IL-1β on the methylation of the NF2 gene in benign meningiomas and leptomeninges
Author: Baofeng Wang, Zhenwen Cui, Zhihong Zhong, Yuhao Sun, Guo-Yuan Yang, Qingfang Sun, Liuguan Bian
PMID: 26840621
Journal: Molecular Carcinogenesis
Application: WB
Reactivity: Human,Rat
Publish date: 2016 Feb
-
Citation
-
Ghrelin Attenuates Intestinal Barrier Dysfunction Following Intracerebral Hemorrhage in Mice
Author:
PMID: 27929421
Journal: International Journal Of Molecular Sciences
Application: WB
Reactivity:
Publish date: 2016 Dec
-
Citation
-
Exogenous NAD+ administration significantly protects against myocardial ischemia/reperfusion injury in rat model
Author: Xinkai Qu
PMID: 27648125
Journal: American Journal Of Translational Research
Application: WB
Reactivity: Rat
Publish date: 2016 Aug
-
Citation
-
Ubiquitin-conjugated degradation of golden 2-like transcription factor is mediated by CUL4-DDB1-based E3 ligase complex in tomato
Author: Xiaofeng Tang, Min Miao, Xiangli Niu, Danfeng Zhang, Xulv Cao, Xichen Jin, Yunye Zhu, Youhong Fan, Hongtao Wang, Ying Liu, Yuan Sui, Wenjie Wang, Anquan Wang, Fangming Xiao, Jim Giovannoni, Yongsheng Liu
PMID: 26352615
Journal: New Phytologist
Application: WB
Reactivity: Nicotiana benthamiana,Tomato
Publish date: 2015 Sept
-
Citation
-
Anti-DR5 mAb inhibits proliferation of human fibroblast-like synovial cells and reduces their cytokine secretion in vitro
Author:
PMID: 26491348
Journal: Onco Targets And Therapy
Application: WB
Reactivity: Human
Publish date: 2015 Sep
-
Citation
-
Global analysis of lysine acetylation in strawberry leaves
Author:
PMID: 26442052
Journal: Frontiers In Plant Science
Application: WB
Reactivity: strawberry
Publish date: 2015 Sep
-
Citation
-
Exosomes derived from miR-122-modified adipose tissue-derived MSCs increasechemosensitivity of hepatocellular carcinoma
Author:
PMID: 26514126
Journal: Journal Of Hematology & Oncology
Application: WB
Reactivity:
Publish date: 2015 Oct
-
Citation
-
Identification of microRNAome in rat bladder reveals miR-1949 as a potential inducer of bladder cancer following spinal cord injury
Author: Tianyi Wang, Yong Liu, Wenqi Yuan, Liang Zhang, Yanjun Zhang, Zhijie Wang, Xianhu Zhou, Hengxing Zhou, Tianci Chu, Yan Hao, Bin Liu, Xuechao Zhao, Lu Lu, Shiqing Feng, Xiaohong Kong
PMID: 25962430
Journal: Molecular Medicine Reports
Application: WB
Reactivity: Rat
Publish date: 2015 May
-
Citation
-
Establishment of a functional secretory IgA transcytosis model system in vitro for functional food screening
Author: Zuo Tao, Feng Xianqi, Zhang Na, Xue Changhu, Tang Qing-Juan
PMID: 25776060
Journal: Applied Microbiology And Biotechnology
Application: WB
Reactivity: Human,Dog
Publish date: 2015 Mar
-
Citation
-
Interaction between mesenchymal stem cells and endothelial cells restores endothelialpermeability via paracrine hepatocyte growth factor in vitro
Author:
PMID: 25888925
Journal: Stem Cell Research & Therapy
Application: WB
Reactivity:
Publish date: 2015 Mar
-
Citation
-
Adrenomedullin is a key Protein Mediating Rotary Cell Culture System that Induces the Effects of Simulated Microgravity on Human Breast Cancer Cells
Author: Chen Li, Yang Xi, Cui Xiang, Jiang Minmin, Gui Yu, Zhang Yanni, Luo Xiangdong
PMID: 2NOPMID25021401
Journal: Microgravity Science And Technology
Application: WB
Reactivity: Human
Publish date: 2015 Jun
-
Citation
-
Proteasome inhibitor lactacystin enhances cisplatin cytotoxicity by increasing endoplasmic reticulum stress-associated apoptosis in HeLa cells
Author: ZHIXIN LI
PMID: 25323748
Journal: Molecular Medicine Reports
Application: WB
Reactivity: Human
Publish date: 2015 Jan
-
Citation
-
The Squid Ink Polysaccharides Protect Tight Junctions and Adherens Junctions from Chemotherapeutic Injury in the Small Intestinal Epithelium of Mice
Author: Tao Zuo, Lu Cao, Xuemin Li, Qi Zhang, Changhu Xue, Qingjuan Tang
PMID: 25587665
Journal: Nutrition And Cancer-An International Journal
Application: WB
Reactivity: Mouse
Publish date: 2015 Jan
-
Citation
-
MicroRNA let-7g and let-7i inhibit hepatoma cell growth concurrently via downregulation of the anti-apoptotic protein B-cell lymphoma-extra large
Author: FUSHENG WU
PMID: 25435961
Journal: Oncology Letters
Application: WB
Reactivity: Human
Publish date: 2015 Jan
-
Citation
-
ERK Is Involved in the Process of Acrosome Reaction In Vitro of the Chinese Mitten Crab, Eriocheir sinensis
Author: Sun Wen-Juan, Zhu Ming, Wang Yuan-Li, Li Qing, Yang Hong-Dan, Duan Ze-Lin, He Lin, Wang Qun
PMID: 25663286
Journal: Marine Biotechnology
Application: WB
Reactivity: Crab
Publish date: 2015 Feb
-
Citation
-
Antimicrobial activity of a novel hypervariable immunoglobulin domain-containing receptor Dscam in Cherax quadricarinatus
Author: Qun Wang
PMID: 26497093
Journal: Fish & Shellfish Immunology
Application: IF
Reactivity: Cherax quadricarinatus
Publish date: 2015 Dec
-
Citation
-
Association between glucose-regulated protein and neutrophil apoptosis in severe acute pancreatitis
Author: Ming-Sheng Fu
PMID: 26464680
Journal: International Journal Of Clinical And Experimental Pathology
Application: WB
Reactivity: Rat
Publish date: 2015 Aug
-
Citation
-
Melatonin Pretreatment Improves the Survival and Function of Transplanted Mesenchymal Stem Cells after Focal Cerebral Ischemia
Author: Yaohui Tang, Beibei Cai, Falei Yuan, Xiaosong He, Xiaojie Lin, Jixian Wang, Yongting Wang, Guo-Yuan Yang
PMID: 23635511
Journal: Cell Transplantation
Application: WB
Reactivity: Rat
Publish date: 2014 Oct
-
Citation
-
Somatostatin receptors in gastrointestinal stromal tumors: new prognostic biomarker and potential therapeutic strategy
Author: Wen-Yi Zhao
PMID: 25628793
Journal: American Journal Of Translational Research
Application: IHC-P
Reactivity: Human
Publish date: 2014 Nov
-
Citation
-
Identification of 17 HrpX-Regulated Proteins Including Two Novel Type III Effectors,XOC_3956 and XOC_1550,in Xanthomonas oryzae pv. oryzicola
Author: Gong-you Chen
PMID: 24675748
Journal: Public Library Of Science One
Application: WB
Reactivity: Xanthomonas oryzae pv. oryzicola
Publish date: 2014 Mar
-
Citation
-
Wnt3a increases the metastatic potential of non-small cell lung cancer cells in vitro in part via its upregulation of Notch3
Author: Chunyan Li, Gongru Song, Siyang Zhang, Enhua Wang, Zeshi Cui
PMID: 25572698
Journal: Oncology Reports
Application: WB
Reactivity: Human
Publish date: 2014 Dec
-
Citation
-
Celecoxib derivative OSU-03012 inhibits the proliferation and activation of hepatic stellate cells by inducing cell senescence
Author: Jun Zhang, Miao Wang, Zuowei Zhang, Zhongguang Luo, Fei Liu, Jie Liu
PMID: 25482718
Journal: Molecular Medicine Reports
Application: WB
Reactivity: Human
Publish date: 2014 Dec
-
Citation
-
Expression patterns of an i-type lysozyme in the clam Meretrix meretrix along with larval development
Author: Liu B
PMID: 23583308
Journal: Developmental And Comparative Immunology
Application: IF
Reactivity: Meretrix meretrix
Publish date: 2013 Sep
-
Citation
-
Immunoglobulin superfamily protein Dscam exhibited molecular diversity by alternative splicing in hemocytes of crustacean,Eriocheir sinensis
Author: Qun Wang
PMID: 23856639
Journal: Fish & Shellfish Immunology
Application: IF,WB
Reactivity: Eriocheir sinensis
Publish date: 2013 Sep
-
Citation
-
Regulation of SIRT2 levels for human non-small cell lung cancer therapy
Author: Xia W
PMID: 23915912
Journal: Lung Cancer
Application: WB,IHC-P
Reactivity: Human
Publish date: 2013 Oct
-
Citation
-
Zedoary oil (Ezhu You) inhibits proliferation of AGS cells
Author: Jianqun Xie
PMID: 23805830
Journal: Chinese Medicine
Application: WB
Reactivity: Human
Publish date: 2013 Jun
-
Citation
-
Autophagy lessens ischemic liver injury by reducing oxidative damage
Author: Lixin Wei
PMID: 23758862
Journal: Cell And Bioscience
Application: WB
Reactivity: Rat
Publish date: 2013 Jun
-
Citation
-
Digestive stability and acute toxicity studies of exogenous protein in transgenic rice expressing lysine-rich fusion proteins
Author: Zhao XiangXiang, Hu XiaoLan, Tang Tang, Lu ChangLi, Liu FuXia, Ji LiLian, Liu QiaoQuan
PMID: 8NOPMID25012301
Journal: Chinese Science Bulletin
Application: WB
Reactivity: Rice
Publish date: 2013 Jul
-
Citation
-
The role of catalase in the immune response to oxidative stress and pathogen challenge in the clam Meretrix meretrix
Author: Baozhong Liu
PMID: 23079536
Journal: Fish & Shellfish Immunology
Application: WB
Reactivity: Meretrix meretrix
Publish date: 2013 Jan
-
Citation
-
Male contraceptive Adjudin is a potential anti-cancer drug
Author: Weiliang Xia
PMID: 23178657
Journal: Biochemical Pharmacology
Application: IF
Reactivity: Human
Publish date: 2013 Feb
-
Citation
-
The Roles of Notch3 on the Cell Proliferation and Apoptosis Induced by CHIR99021 in NSCLC Cell Lines: A Functional Link between Wnt and Notch Signaling Pathways
Author: Zeshi Cui
PMID: 24367688
Journal: Public Library Of Science One
Application: WB
Reactivity: Human
Publish date: 2013 Dec
-
Citation
-
Molecular Cloning and Functional Characterization of the Dual Oxidase ( BmDuox ) Gene from the Silk worm Bombyx mori
Author: Xiaofeng Wu
PMID: 23936382
Journal: Public Library Of Science One
Application: IF
Reactivity: Silkworm
Publish date: 2013 Aug
-
Citation
-
Studies on Culture and Osteogenic Induction of Human Mesenchymal Stem Cells under CO2-Independent Conditions
Author: Jinfu Wang
PMID: 23577816
Journal: Astrobiology
Application: WB
Reactivity: Human
Publish date: 2013 Apr
-
Citation
-
Two Goose-Type Lysozymes in Mytilus galloprovincialis: Possible Function Diversification and Adaptive Evolution
Author: Jianmin Zhao,Huifeng Wu
PMID: 23028813
Journal: Public Library Of Science One
Application: WB
Reactivity: mussels
Publish date: 2012 Sep
-
Citation
-
High GlucoseeInduced Dysfunction of Endothelial Cells can be Restored by HoxA9EC
Author: Cao C
PMID: 22944570
Journal: Annals Of Vascular Surgery
Application: WB
Reactivity: Human
Publish date: 2012 Oct
-
Citation
-
The interaction between β1 integrins and ERK1/2 in osteogenic differentiation of human mesenchymal stem cells under fluid shear stress modelled by a perfusion system
Author: Liyue Liu, Chen Zong, Bo Li, Dan Shen, Zihua Tang, Jiarong Chen, Qiang Zheng, Xiangming Tong, Changyou Gao, Jinfu Wang
PMID: 22610905
Journal: Journal Of Tissue Engineering And Regenerative Medicine
Application: WB
Reactivity: Human
Publish date: 2012 May
-
Citation
-
CHARACTERIZATION OF ADAPTOR PROTEIN COMPLEX-1 IN THE SILKWORM, Bombyx mori
Author: Yan-shan Niu, Zi-zheng Cai, Yan Lu, Mei-xian Wang, Shuang Liang, Fang Zhou, Yun-gen Miao
PMID: 23300124
Journal: Archives Of Insect Biochemistry And Physiology
Application: WB
Reactivity: Silkworm
Publish date: 2012 Dec
-
Citation
-
Different effects of intermittent and continuous fluid shear stresses on osteogenic differentiation of human mesenchymal stem cells
Author: Liu Liyue, Yu Bin, Chen Jiarong, Tang Zihua, Zong Chen, Shen Dan, Zheng Qiang, Tong Xiangming, Gao Changyou, Wang Jinfu
PMID: 21633819
Journal: Biomechanics And Modeling In Mechanobiology
Application: WB
Reactivity: Human
Publish date: 2011 Jun
-
Citation
-
Protective effects of naloxone in two-hit seizure model
Author: Lu Yang, Fuhai Li, Wei Ge, Changrui Mi, Rong Wang, Ruopeng Sun
PMID: 19674055
Journal: Epilepsia
Application: WB
Reactivity: Rat
Publish date: 2010 Mar
-
Citation
-
Evidence of the cross talk between Wnt and Notch signaling pathways in non-small-cell lung cancer (NSCLC): Notch3-siRNA weakens the effect of LiCl on the cell cycle of NSCLC cell lines
Author: Li Chunyan, Zhang Ying, Lu Yao, Cui Zeshi, Yu Miao, Zhang Siyang, Xue Xiaoxia
PMID: 20614134
Journal: Journal Of Cancer Research And Clinical Oncology
Application: WB
Reactivity: Human
Publish date: 2010 Jul
-
Citation
-
Global Expression of Cell Surface Proteins in Embryonic Stem Cells
Author: Ming Zhang
PMID: 21209962
Journal: Public Library Of Science One
Application: WB,IHC-P
Reactivity: Human
Publish date: 2010 Dec
-
Citation
-
EZH2 suppresses the nucleotide excision repair in nasopharyngeal carcinoma by silencing XPA gene
Author: Yuxiang Huang, Xuanyi Wang, Xiaoshuang Niu, Xiaoshen Wang, Rui Jiang, Tingting Xu, Yong Liu, Liping Liang, Xiaomin Ou, Xing Xing, Weiwei Li, Chaosu Hu
PMID: 27253463
Journal: Molecular Carcinogenesis
Application: WB
Reactivity:
Publish date:
-
Citation
-
Exploration of the biological mechanisms of CENPA as an oncogene in glioma: Screening based on cancer functional status
Author: Yuanguo Ling, Wei Teng, Niya Long, Wenjin Qiu, Ruting Wei, Yunan Hou, Lishi Jiang, Jian Liu, Xingwang Zhou, Liangzhao Chu
PMID: 39620895
Journal: Journal of Cellular and Molecular Medicine
Application: WB
Reactivity:
Publish date:
-
Citation
