Catalog# HA601546
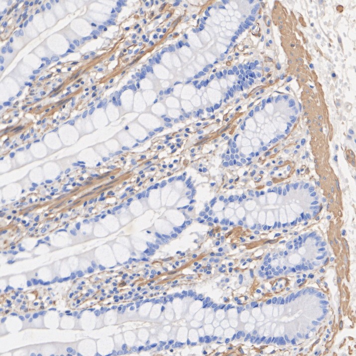
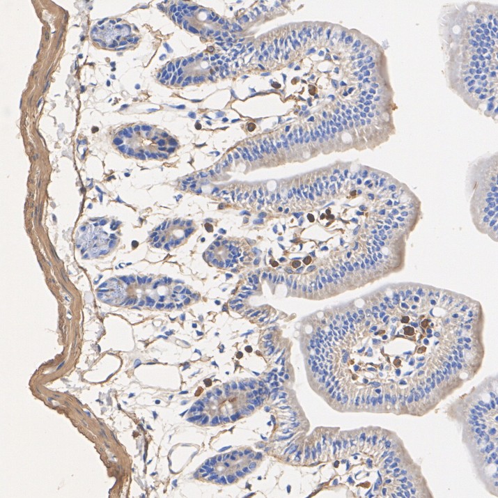
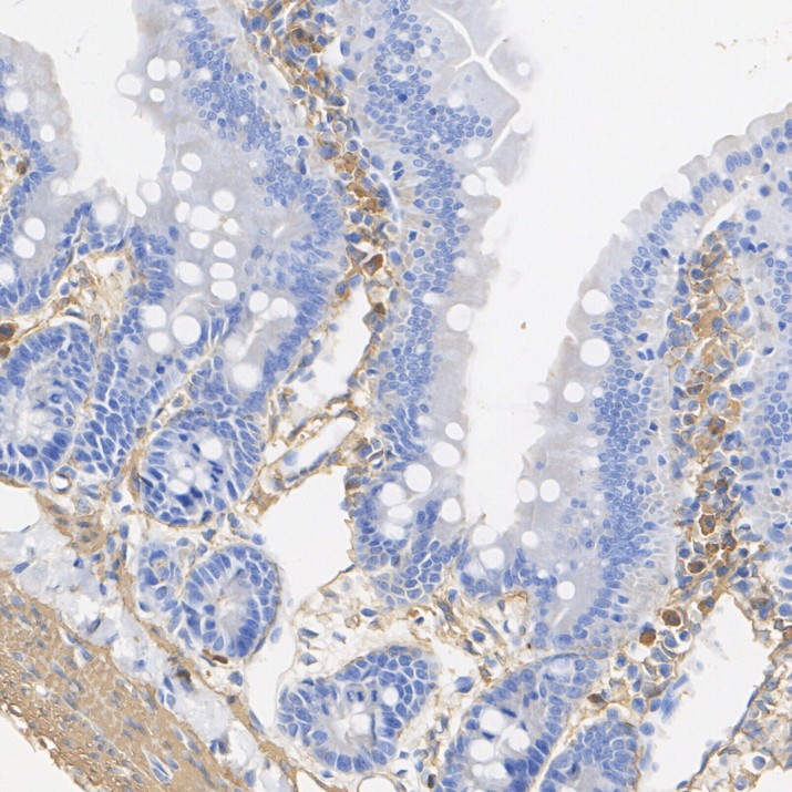
alpha smooth muscle Actin Recombinant Antibody [SY02-64] - Mouse IgG1 (Chimeric)
Application
-
WB
-
IHC-P
-
IF-Cell
-
FC
-
mIHC
Reactivity
-
Human
-
Mouse
-
Rat
BSA and Azide free
-
HA610362
不含抗保成分
With BSA and Azide
-
HA601546
含抗保成分
Conjugation
-
unconjugated
This product has been cited in peer reviewed publications, see list HERE

