CD31 Recombinant Antibody [7-A1-R] - Rat IgG1 (Chimeric) - BSA and Azide free
Specification
Overview
Product Name
CD31 Recombinant Antibody [7-A1-R] - Rat IgG1 (Chimeric) - BSA and Azide free
Antibody Type
Recombinant Chimeric Antibody
Immunogen
Synthetic peptide (KLH-coupled) within C-terminal residues of human CD31.
Species Reactivity
Human
Validated Applications
IHC-P
Molecular Weight
Predicted band size: 83 kDa
Positive Control
Human appendix tissue, human gastric cancer tissue, human kidney tissue, human liver tissue.
Conjugation
unconjugated
Clone Number
7-A1-R
Product Features
Form
Liquid
Storage Instructions
Store at +4℃ after thawing. Aliquot store at -20℃. Avoid repeated freeze / thaw cycles.
Storage Buffer
PBS (pH7.4).
Purification Method
Protein A affinity purified.
Application Dilution
-
IHC-P
-
1:1,000
Target
Function
Cell adhesion molecules are a family of closely related cell surface glycoproteins involved in cell-cell interactions during growth and are thought to play an important role in embryogenesis and development. Neuronal cell adhesion molecule (NCAM) expression is observed in a variety of human tumors including neuroblastomas, rhabdomyosarcomas, Wilms’ tumors, Ewing’s sarcomas and some primitive myeloid malignancies. The intracellular adhesion molecule-1 (ICAM-1), also referred to as CD54, is an integral membrane protein of the immunoglobulin superfamily. PECAM-1 (platelet/endothelial cell adhesion molecule-1), also referred to as CD31, is a glycoprotein expressed on the cell surfaces of monocytes, neutrophils, platelets and a subpopulation of T cells. VCAM-1 (vascular cell adhesion molecule-1) was first identified as an adhesion molecule induced on human endothelial cells by inflammatory cytokines such as IL-1, tumor necrosis factor (TNF) and lipopolysaccharide (LPS). The KALIG gene encodes a nerve cell adhesion molecule (NCAM)-like protein and is deleted in 66% of patients with Kallmann’s syndrome, anosmia with secondary hypogonadism.
Background References
1. Doi H et al. Potency of umbilical cord blood- and Wharton\'s jelly-derived mesenchymal stem cells for scarless wound healing. Sci Rep 6:18844 (2016).
2. Yang Y et al. The Increased Expression of Connexin and VEGF in Mouse Ovarian Tissue Vitrification by Follicle Stimulating Hormone. Biomed Res Int 2015:397264 (2015).
Subcellular Location
Cell junction. Cell membrane. Membrane.
UNIPROT
Synonyms
Adhesion molecule antibody
CD31 antibody
CD31 antigen antibody
CD31 EndoCAM antibody
EndoCAM antibody
FLJ34100 antibody
FLJ58394 antibody
GPIIA antibody
GPIIA' antibody
PECA1 antibody
ExpandAdhesion molecule antibody
CD31 antibody
CD31 antigen antibody
CD31 EndoCAM antibody
EndoCAM antibody
FLJ34100 antibody
FLJ58394 antibody
GPIIA antibody
GPIIA' antibody
PECA1 antibody
PECA1_HUMAN antibody
Pecam 1 antibody
PECAM 1 CD31 EndoCAM antibody
PECAM antibody
PECAM-1 antibody
Pecam1 antibody
Platelet and endothelial cell adhesion molecule 1 antibody
Platelet endothelial cell adhesion molecule antibody
Platelet/endothelial cell adhesion molecule 1 antibody
CollapseImages
-
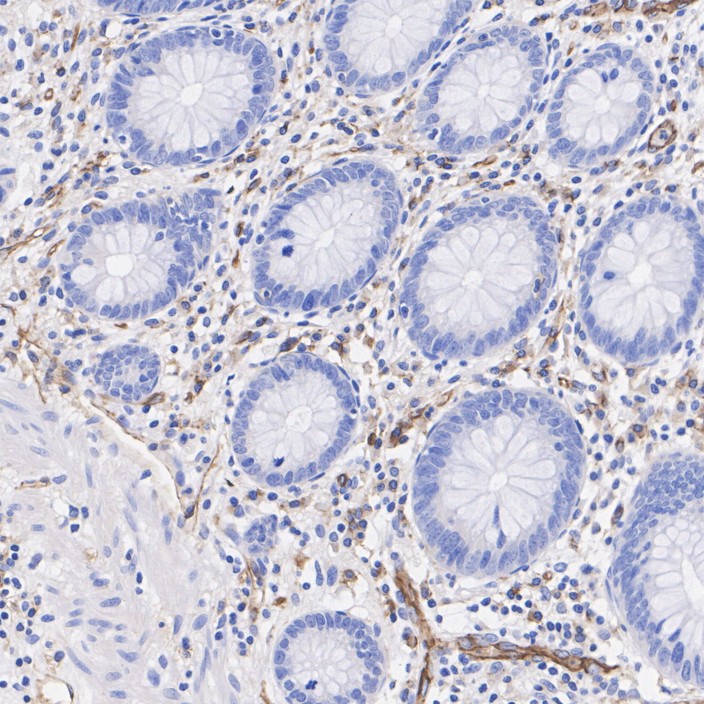
Immunohistochemical analysis of paraffin-embedded human appendix tissue with Rat anti-CD31 antibody (HA610349) at 1/1,000 dilution.
The section was pre-treated using heat mediated antigen retrieval with Tris-EDTA buffer (pH 9.0) for 20 minutes. The tissues were blocked in 1% BSA for 20 minutes at room temperature, washed with ddH2O and PBS, and then probed with the primary antibody (HA610349) at 1/1,000 dilution for 1 hour at room temperature. The detection was performed using an HRP conjugated compact polymer system. DAB was used as the chromogen. Tissues were counterstained with hematoxylin and mounted with DPX. -
Immunohistochemical analysis of paraffin-embedded human appendix tissue with Rat anti-CD31 antibody (HA610349) at 1/1,000 dilution.
The section was pre-treated using heat mediated antigen retrieval with Tris-EDTA buffer (pH 9.0) for 20 minutes. The tissues were blocked in 1% BSA for 20 minutes at room temperature, washed with ddH2O and PBS, and then probed with the primary antibody (HA610349) at 1/1,000 dilution for 1 hour at room temperature. The detection was performed using an HRP conjugated compact polymer system. DAB was used as the chromogen. Tissues were counterstained with hematoxylin and mounted with DPX. -
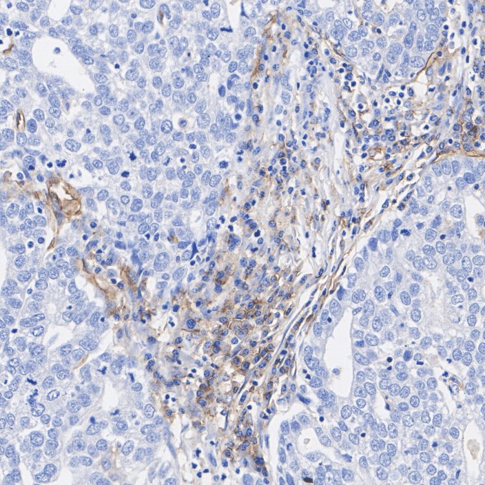
Immunohistochemical analysis of paraffin-embedded human gastric cancer tissue with Rat anti-CD31 antibody (HA610349) at 1/1,000 dilution.
The section was pre-treated using heat mediated antigen retrieval with Tris-EDTA buffer (pH 9.0) for 20 minutes. The tissues were blocked in 1% BSA for 20 minutes at room temperature, washed with ddH2O and PBS, and then probed with the primary antibody (HA610349) at 1/1,000 dilution for 1 hour at room temperature. The detection was performed using an HRP conjugated compact polymer system. DAB was used as the chromogen. Tissues were counterstained with hematoxylin and mounted with DPX. -
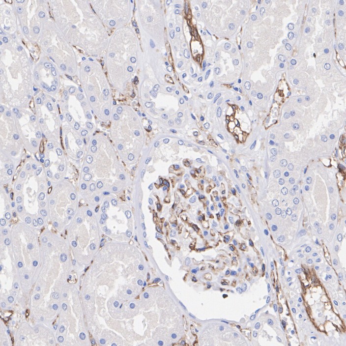
Immunohistochemical analysis of paraffin-embedded human kidney tissue with Rat anti-CD31 antibody (HA610349) at 1/1,000 dilution.
The section was pre-treated using heat mediated antigen retrieval with Tris-EDTA buffer (pH 9.0) for 20 minutes. The tissues were blocked in 1% BSA for 20 minutes at room temperature, washed with ddH2O and PBS, and then probed with the primary antibody (HA610349) at 1/1,000 dilution for 1 hour at room temperature. The detection was performed using an HRP conjugated compact polymer system. DAB was used as the chromogen. Tissues were counterstained with hematoxylin and mounted with DPX. -
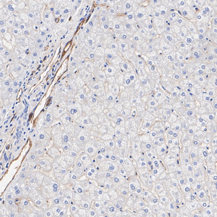
Immunohistochemical analysis of paraffin-embedded human liver tissue with Rat anti-CD31 antibody (HA610349) at 1/1,000 dilution.
The section was pre-treated using heat mediated antigen retrieval with Tris-EDTA buffer (pH 9.0) for 20 minutes. The tissues were blocked in 1% BSA for 20 minutes at room temperature, washed with ddH2O and PBS, and then probed with the primary antibody (HA610349) at 1/1,000 dilution for 1 hour at room temperature. The detection was performed using an HRP conjugated compact polymer system. DAB was used as the chromogen. Tissues were counterstained with hematoxylin and mounted with DPX.
Please note: All products are "FOR RESEARCH USE ONLY AND ARE NOT INTENDED FOR DIAGNOSTIC OR THERAPEUTIC USE"
Products with the same target and pathway
CD31 Recombinant Mouse Monoclonal Antibody [7-A1-R] - BSA and Azide free
Application: WB,IF-Cell,IHC-P
Reactivity: Human
Conjugate: unconjugated
CD31 Recombinant Antibody [7-A1-R] - Rat IgG1 (Chimeric)
Application: IHC-P
Reactivity: Human
Conjugate: unconjugated
CD31 Recombinant Antibody [7-A1-R] - Rabbit IgG (Chimeric) - BSA and Azide free
Application: WB,IF-Cell,IHC-P,FC
Reactivity: Human
Conjugate: unconjugated
CD31 Recombinant Rabbit Monoclonal Antibody [SU03-59] - BSA and Azide free
Application: WB,IHC-P,FC,IP,IF-Cell,IF-Tissue
Reactivity: Human
Conjugate: unconjugated
CD31 Recombinant Rabbit Monoclonal Antibody [SU03-59]
Application: WB,IHC-P,FC,IP,IF-Cell,IF-Tissue
Reactivity: Human
Conjugate: unconjugated
CD31 Recombinant Antibody
Application: mIHC
Reactivity: Human
Conjugate: unconjugated
CD31 Mouse Monoclonal Antibody
Application: mIHC
Reactivity: Human
Conjugate: unconjugated
CD31 Recombinant Antibody [7-A1-R] - Rabbit IgG (Chimeric)
Application: WB,IF-Cell,IHC-P,FC
Reactivity: Human
Conjugate: unconjugated
CD31 Rabbit Polyclonal Antibody
Application: WB,IF-Cell,FC,IHC-P
Reactivity: Human,Mouse,Rat
Conjugate: unconjugated
iFluor™ 488 Conjugated CD31 Recombinant Rabbit Monoclonal Antibody [SU03-59]
Application: IF-Tissue
Reactivity: Human
Conjugate: iFluor™ 488
CD31 Mouse Monoclonal Antibody [7-A1]
Application: WB,IF-Cell,IHC-P,mIHC
Reactivity: Human,Mouse
Conjugate: unconjugated
CD31 Recombinant Mouse Monoclonal Antibody [7-A1-R]
Application: WB,IF-Cell,IHC-P
Reactivity: Human
Conjugate: unconjugated
