Catalog# ET1610-37
Tryptophan Hydroxylase 1 (TPH1) Recombinant Rabbit Monoclonal Antibody [SC53-07]
Application
-
WB
-
IF-Cell
-
IF-Tissue
-
IHC-P
-
IP
-
FC
Reactivity
-
Human
-
Mouse
-
Rat
BSA and Azide free
-
HA750214
不含抗保成分
With BSA and Azide
-
ET1610-37
含抗保成分
Predicted reactivity
Predicted species support after-sales service
-
Cynomolgus monkey
-
Pig
Conjugation
-
unconjugated
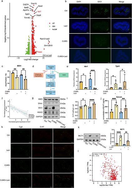
This product has been cited in peer reviewed publications, see list HERE
