Specification
Catalog# ET1601-29
ERK1/2 Recombinant Rabbit Monoclonal Antibody [SA43-03]
-
WB
-
IF-Cell
-
IF-Tissue
-
IP
-
FC
-
IHC-P
-
IHC-Fr
-
Human
-
Mouse
-
Rat
-
HA750019
不含抗保成分
-
ET1601-29
含抗保成分
-
Zebrafish
-
unconjugated
Overview
Product Name
ERK1/2 Recombinant Rabbit Monoclonal Antibody [SA43-03]
Antibody Type
Recombinant Rabbit monoclonal Antibody
Immunogen
Recombinant protein within human ERK2 aa 180-379.
Species Reactivity
Human, Mouse, Rat (Predicted: Zebrafish)
Validated Applications
WB, IF-Cell, IF-Tissue, IP, FC, IHC-P, IHC-Fr
Molecular Weight
Predicted band size: 43/41 kDa
Positive Control
HeLa cell lysate, Jurkat cell lysate, HepG2 cell lysate, NIH/3T3 cell lysate, PC-12 cell lysate, C6 cell lysate, Jurkat, human breast carcinoma tissue, mouse esophagus tissue, mouse stomach tissue, Hela, MCF-7, NIH/3T3, A549.
Conjugation
unconjugated
Clone Number
SA43-03
RRID
Product Features
Form
Liquid
Storage Instructions
Shipped at 4℃. Store at +4℃ short term (1-2 weeks). It is recommended to aliquot into single-use upon delivery. Store at -20℃ long term.
Storage Buffer
1*TBS (pH7.4), 0.05% BSA, 40% Glycerol. Preservative: 0.05% Sodium Azide.
Isotype
IgG
Purification Method
Protein A affinity purified.
Application Dilution
-
WB
-
1:5,000-1:20,000
-
IF-Cell
-
1:2,000
-
IHC-P
-
1:20,000
-
IHC-Fr
-
1:200-1:500
-
IF-Tissue
-
1:500
-
FC
-
1:1,000
-
IP
-
Use at an assay dependent concentration.
Applications in Publications
Species in Publications
| Mouse | See 53 publications below |
| Human | See 47 publications below |
| Rat | See 11 publications below |
| Pig | See 2 publications below |
| Zebrafish | See 2 publications below |
| Fish | See 1 publications below |
| Chicken | See 1 publications below |
| Brine shrimp Artemia | See 1 publications below |
| Hamster | See 1 publications below |
| Sheep | See 1 publications below |
Target
Function
The first mitogen-activated protein kinase to be discovered was ERK1 (MAPK3) in mammals. Since ERK1 and its close relative ERK2 (MAPK1) are both involved in growth factor signaling, the family was termed "mitogen-activated". With the discovery of other members, even from distant organisms (e.g. plants), it has become increasingly clear that the name is a misnomer, since most MAPKs are actually involved in the response to potentially harmful, abiotic stress stimuli (hyperosmosis, oxidative stress, DNA damage, low osmolarity, infection, etc.). Because plants cannot "flee" from stress, terrestrial plants have the highest number of MAPK genes per organism ever found[citation needed]. Thus the role of mammalian ERK1/2 kinases as regulators of cell proliferation is not a generic, but a highly specialized function.
Background References
1. Ye, Q. et al. 2014. Lactoferrin deficiency promotes colitis-associated colorectal dysplasia in mice. PloS one. 9: e103298.
2. Polidoro, L. et al. 2013. Vitamin D protects human endothelial cells from H O oxidant injury through the Mek/Erk-Sirt1 axis activation. Journal of cardiovascular translational research. 6: 221-31.
Sequence Similarity
Belongs to the protein kinase superfamily. CMGC Ser/Thr protein kinase family. MAP kinase subfamily.
Post-translational Modification
Phosphorylated upon KIT and FLT3 signaling (By similarity). Dually phosphorylated on Thr-202 and Tyr-204, which activates the enzyme. Ligand-activated ALK induces tyrosine phosphorylation. Dephosphorylated by PTPRJ at Tyr-204.
Subcellular Location
Cytoplasm, Nucleus.
UNIPROT
Synonyms
ERK 1 antibody
ERK 2 antibody
ERK-2 antibody
ERK1 antibody
erk1/2 antibody
ERK2 antibody
ERT1 antibody
ERT2 antibody
Extracellular signal regulated kinase 1 antibody
Extracellular signal-regulated kinase 2 antibody
ExpandERK 1 antibody
ERK 2 antibody
ERK-2 antibody
ERK1 antibody
erk1/2 antibody
ERK2 antibody
ERT1 antibody
ERT2 antibody
Extracellular signal regulated kinase 1 antibody
Extracellular signal-regulated kinase 2 antibody
MAP kinase 1 antibody
MAP kinase 2 antibody
MAP kinase isoform p42 antibody
MAP kinase isoform p44 antibody
MAPK 1 antibody
MAPK 2 antibody
MAPK 3 antibody
Mapk1 antibody
MAPK2 antibody
MAPK3 antibody
Mitogen-activated protein kinase 1 antibody
Mitogen-activated protein kinase 2 antibody
MK01_HUMAN antibody
p38 antibody
p40 antibody
p41 antibody
p42-MAPK antibody
PRKM 2 antibody
CollapseImages
-
Western blot analysis of ERK1/2 on different lysates with Rabbit anti-ERK1/2 antibody (ET1601-29) at 1/5,000 dilution and competitor's antibody at 1/1,000 dilution.
Lane 1: HeLa cell lysate
Lane 2: Jurkat cell lysate
Lane 3: HepG2 cell lysate
Lane 4: NIH/3T3 cell lysate
Lane 5: PC-12 cell lysate
Lane 6: C6 cell lysate
Lysates/proteins at 15 µg/Lane.
Predicted band size: 43/41 kDa
Observed band size: 43/41 kDa
Exposure time: 19 seconds; ECL: K1801;
4-20% SDS-PAGE gel.
Proteins were transferred to a PVDF membrane and blocked with 5% NFDM/TBST for 1 hour at room temperature. The primary antibody (ET1601-29) at 1/5,000 dilution and competitor's antibody at 1/1,000 dilution were used in 5% NFDM/TBST at 4℃ overnight. Goat Anti-Rabbit IgG - HRP Secondary Antibody (HA1001) at 1/50,000 dilution was used for 1 hour at room temperature. -
Immunocytochemistry analysis of Jurkat cells labeling ERK1/2 with Rabbit anti-ERK1/2 antibody (ET1601-29) at 1/2,000 dilution and competitor's antibody at 1/1,600 dilution.
Cells were fixed in 4% paraformaldehyde for 20 minutes at room temperature, permeabilized with 0.1% Triton X-100 in PBS for 5 minutes at room temperature, then blocked with 1% BSA in 10% negative goat serum for 1 hour at room temperature. Cells were then incubated with Rabbit anti-ERK1/2 antibody (ET1601-29) at 1/2,000 dilution and competitor's antibody at 1/1,600 dilution in 1% BSA in PBST overnight at 4 ℃. Goat Anti-Rabbit IgG H&L (iFluor™ 488, HA1121) was used as the secondary antibody at 1/1,000 dilution. PBS instead of the primary antibody was used as the secondary antibody only control. Nuclear DNA was labelled in blue with DAPI.
Beta tubulin (M1305-2, red) was stained at 1/100 dilution overnight at +4℃. Goat Anti-Mouse IgG H&L (iFluor™ 594, HA1126) was used as the secondary antibody at 1/1,000 dilution. -
☑ Knockdown (KD)
Western blot analysis of ERK1/2 on different lysates with Rabbit anti-ERK1/2 antibody (ET1601-29) at 1/5,000 dilution.
Lane 1: HEK-293-si NT cell lysate
Lane 2: HEK-293-si ERK1/2 cell lysate
Lysates/proteins at 10 µg/Lane.
Predicted band size: 41/43 kDa
Observed band size: 41/43kDa
Exposure time: 20 seconds; ECL: K1801;
4-20% SDS-PAGE gel.
Proteins were transferred to a PVDF membrane and blocked with 5% NFDM in TBST for 1 hour at room temperature. The primary antibody (ET1601-29, 1/5,000) and Loading control antibody (Rabbit anti-GAPDH, ET1601-4, 1/10,000) were used in 5% NFDM/TBST at 4℃ overnight. Goat Anti-rabbit IgG-HRP Secondary Antibody (HA1001) at 1/50,000 dilution was used for 1 hour at room temperature. -
Flow cytometric analysis of Jurkat cells labeling ERK1/2.
Cells were fixed and permeabilized. Then stained with the primary antibody (ET1601-29, red) at 1/1,000 dilution and competitor's antibody (red) at 1/800 dilution, compared with Rabbit IgG Isotype Control (green). After incubation of the primary antibody at +4℃ for an hour, the cells were stained with a iFluor™ 488 conjugate-Goat anti-Rabbit IgG Secondary antibody (HA1121) at 1/1,000 dilution for 30 minutes at +4℃. Unlabelled sample was used as a control (cells without incubation with primary antibody; black). -
Immunohistochemical analysis of paraffin-embedded human breast carcinoma tissue with Rabbit anti-ERK1/2 antibody (ET1601-29) at 1/20,000 dilution.
The section was pre-treated using heat mediated antigen retrieval with sodium citrate buffer (pH 6.0) (high pressure) for 2 minutes. The tissues were blocked in 1% BSA for 20 minutes at room temperature, washed with ddH2O and PBS, and then probed with the primary antibody (ET1601-29) at 1/20,000 dilution for 1 hour at room temperature. The detection was performed using an HRP conjugated compact polymer system. DAB was used as the chromogen. Tissues were counterstained with hematoxylin and mounted with DPX. -
Immunohistochemical analysis of paraffin-embedded mouse esophagus tissue with Rabbit anti-ERK1/2 antibody (ET1601-29) at 1/20,000 dilution.
The section was pre-treated using heat mediated antigen retrieval with sodium citrate buffer (pH 6.0) (high pressure) for 2 minutes. The tissues were blocked in 1% BSA for 20 minutes at room temperature, washed with ddH2O and PBS, and then probed with the primary antibody (ET1601-29) at 1/20,000 dilution for 1 hour at room temperature. The detection was performed using an HRP conjugated compact polymer system. DAB was used as the chromogen. Tissues were counterstained with hematoxylin and mounted with DPX. -
Immunohistochemical analysis of paraffin-embedded mouse stomach tissue with Rabbit anti-ERK1/2 antibody (ET1601-29) at 1/20,000 dilution.
The section was pre-treated using heat mediated antigen retrieval with sodium citrate buffer (pH 6.0) (high pressure) for 2 minutes. The tissues were blocked in 1% BSA for 20 minutes at room temperature, washed with ddH2O and PBS, and then probed with the primary antibody (ET1601-29) at 1/20,000 dilution for 1 hour at room temperature. The detection was performed using an HRP conjugated compact polymer system. DAB was used as the chromogen. Tissues were counterstained with hematoxylin and mounted with DPX. -
Immunohistochemical analysis of paraffin-embedded rat esophagus tissue with Rabbit anti-ERK1/2 antibody (ET1601-29) at 1/1,000 dilution.
The section was pre-treated using heat mediated antigen retrieval with sodium citrate buffer (pH 6.0) (high pressure) for 2 minutes. The tissues were blocked in 1% BSA for 20 minutes at room temperature, washed with ddH2O and PBS, and then probed with the primary antibody (ET1601-29) at 1/1,000 dilution for 1 hour at room temperature. The detection was performed using an HRP conjugated compact polymer system. DAB was used as the chromogen. Tissues were counterstained with hematoxylin and mounted with DPX. -
Immunohistochemical analysis of paraffin-embedded rat stomach tissue with Rabbit anti-ERK1/2 antibody (ET1601-29) at 1/3,000 dilution.
The section was pre-treated using heat mediated antigen retrieval with sodium citrate buffer (pH 6.0) (high pressure) for 2 minutes. The tissues were blocked in 1% BSA for 20 minutes at room temperature, washed with ddH2O and PBS, and then probed with the primary antibody (ET1601-29) at 1/3,000 dilution for 1 hour at room temperature. The detection was performed using an HRP conjugated compact polymer system. DAB was used as the chromogen. Tissues were counterstained with hematoxylin and mounted with DPX. -
Application: IHC-Fr
Species: Mouse
Site: Hippocampus
Sample: Frozen section
Antibody concentration: 1/200
Antigen retrieval: The section was pre-treated using 1% SDS buffer (in PBS, pH 7.4) for 5 minutes at room temperature. -
Application: IHC-Fr
Species: Mouse
Site: Cerebral cortex
Sample: Frozen section
Antibody concentration: 1/200
Antigen retrieval: The section was pre-treated using 1% SDS buffer (in PBS, pH 7.4) for 5 minutes at room temperature. -
ERK1/2 was immunoprecipitated in 0.2mg Jurkat cell lysate with ET1601-29 at 2 µg/10 µl beads. Western blot was performed from the immunoprecipitate using ET1601-29 at 1/5,000 dilution. Anti-Rabbit IgG for IP Nano-secondary antibody (NBI01H) at 1/5,000 dilution was used for 1 hour at room temperature.
Lane 1: Jurkat cell lysate (input)
Lane 2: Rabbit IgG instead of ET1601-29 in Jurkat cell lysate
Lane 3: ET1601-29 IP in Jurkat cell lysate
Blocking/Dilution buffer: 5% NFDM/TBST
Exposure time: 43 seconds; ECL: K1801 -
Immunocytochemistry analysis of PC-12 cells labeling ERK1/2 with Rabbit anti-ERK1/2 antibody (ET1601-29) at 1/100 dilution.
Cells were fixed in 4% paraformaldehyde for 20 minutes at room temperature, permeabilized with 0.1% Triton X-100 in PBS for 5 minutes at room temperature, then blocked with 1% BSA in 10% negative goat serum for 1 hour at room temperature. Cells were then incubated with Rabbit anti-ERK1/2 antibody (ET1601-29) at 1/100 dilution in 1% BSA in PBST overnight at 4 ℃. Goat Anti-Rabbit IgG H&L (iFluor™ 488, HA1121) was used as the secondary antibody at 1/1,000 dilution. PBS instead of the primary antibody was used as the secondary antibody only control. Nuclear DNA was labelled in blue with DAPI.
Beta tubulin (M1305-2, red) was stained at 1/100 dilution overnight at +4℃. Goat Anti-Mouse IgG H&L (iFluor™ 594, HA1126) was used as the secondary antibody at 1/1,000 dilution. -
Immunocytochemistry analysis of NIH/3T3 cells labeling ERK1/2 with Rabbit anti-ERK1/2 antibody (ET1601-29) at 1/500 dilution.
Cells were fixed in 4% paraformaldehyde for 20 minutes at room temperature, permeabilized with 0.1% Triton X-100 in PBS for 5 minutes at room temperature, then blocked with 1% BSA in 10% negative goat serum for 1 hour at room temperature. Cells were then incubated with Rabbit anti-ERK1/2 antibody (ET1601-29) at 1/500 dilution in 1% BSA in PBST overnight at 4 ℃. Goat Anti-Rabbit IgG H&L (iFluor™ 488, HA1121) was used as the secondary antibody at 1/1,000 dilution. PBS instead of the primary antibody was used as the secondary antibody only control. Nuclear DNA was labelled in blue with DAPI.
Beta tubulin (M1305-2, red) was stained at 1/100 dilution overnight at +4℃. Goat Anti-Mouse IgG H&L (iFluor™ 594, HA1126) was used as the secondary antibody at 1/1,000 dilution.
Please note: All products are "FOR RESEARCH USE ONLY AND ARE NOT INTENDED FOR DIAGNOSTIC OR THERAPEUTIC USE"
Citation
-
Collagen peptides derived from sea bass scales (Lateolabrax maculatus) relieve photoaging through MAPK, NF-κB and TGF-β signaling pathways and modulating gut microbiota composition
Author: Baojun Xu
PMID: 14NOPMID25110401
Journal: Food Research International
Application: WB,IF
Reactivity: Mouse
Publish date: 2025 Sept
-
Citation
-
ECM Protein CYR61 Promotes Migration and Osteoblastic Differentiation of Irradiation BMSCs via Migrasomes
Author: Kunpeng Wang
PMID: 41024853
Journal: Stem Cells International
Application: WB
Reactivity: Human
Publish date: 2025 Sept
-
Citation
-
Synergistic Promotion of Triple-Negative Breast Cancer Tumorigenesis and Metastasis by Oral Polystyrene Nanoplastics Exposure via Alloprevotella-Derived Glutamate and Platelet Activation
Author: Yingzhi Shen
PMID: 40990541
Journal: Advanced Science
Application: WB
Reactivity: Mouse
Publish date: 2025 Sept
-
Citation
-
Amentoflavone as a dual-target inhibitor of IL11 signaling alleviates intervertebral disc fibrosis
Author: Weihong Xu
PMID: 40897114
Journal: International Immunopharmacology
Application: WB
Reactivity: Human,Mouse
Publish date: 2025 Sept
-
Citation
-
A novel protein cRERE encoded by a circular RNA directly targets ERK signaling to alleviate chemotherapy-induced neuropathic pain
Author: Zhang Jian-Bo, Zhao Zhong-Bao, Wu Jia-Yan, Duan Yu-Juan, Zhou Da-Qiang, Li Qiong, Ren Xu-Han, Yang Xiao-Hua, Zhao Yu-Ting, Zhao Shu-Quan, Chen Mei-Ying, Zhang Xiang-Zhong, Xin Wen-Jun, Guo Guo-Qing, Xie Jing-Dun, Xu Ting
PMID: 41107944
Journal: Cell Communication And Signaling
Application: WB
Reactivity: Rat
Publish date: 2025 Oct
-
Citation
-
Agonism of PIEZO1 prevents aggravated periodontitis with traumatic occlusion via MAPK signaling pathway
Author: Xia Wang, Binqing Xie, Ye Guo, Haiyin Wan, Xianyi He, Junliang Chen, Yun He
PMID: 41234768
Journal: iScience
Application: WB
Reactivity: Human
Publish date: 2025 Oct
-
Citation
-
Paeoniflorin Alleviates LPS-Induced Inflammation and Acute Myocardial Injury by Inhibiting PI3K/Akt/ERK-Mediated HIF-1α and TLR4/MyD88/NF-κB Inflammatory Signaling
Author: Xiaowu Guo, Zhiguang Han, Jiahuan Sun, Shupeng Liu, Chuang Zhang, Gengrui Xu, Xiaodan Wang, Qiuhang Song, Hongxia Yang, Aiying Li
PMID: 10.1155/mi/2346163
Journal: Mediators of Inflammation
Application: WB
Reactivity: Rat
Publish date: 2025 Nov
-
Citation
-
Multidimensional Immunomodulation by Abelmoschi Corolla Polysaccharide: Gut Barrier Restoration, Microbiota Remodelling, and Systemic Metabolic Regulation
Author: Xue Zhang, Yue Zeng, Yuanda Tang, Yuting Wang, Xinxin Yang, Zhen Deng, Li Liang, Chen Yang, Jun Yan, Gang He
PMID: 10.1016/j.phymed.2025.157545
Journal: Phytomedicine
Application: WB
Reactivity: Mouse
Publish date: 2025 Nov
-
Citation
-
Distinct roles of melatonin receptors in spermatogenesis in vitro in four-eyed sleeper (Bostrychus sinensis)
Author: Jiajun Yao, Haifeng Li, Han Yang, Meisheng Yi, Wei Liu
PMID: 10.1016/j.aqrep.2025.103204
Journal: Aquaculture Reports
Application: WB
Reactivity: Sheep
Publish date: 2025 Nov
-
Citation
-
Atractylenolide III Ameliorates Ulcerative Colitis By Targeting IL-17RA to Suppress Macrophage M1 Polarization
Author: Chenhuan Shentu, Mingjiang Mao, Jiaying Zhu, Qingling Meng, Hao Qian, Xin Li, Shiqing Zhang, Bin Ding, Shijie Dai, Xiaofeng Yuan
PMID: 10.1021/acs.jafc.5c09397
Journal: Journal Of Agricultural And Food Chemistry
Application: WB
Reactivity: Mouse
Publish date: 2025 Nov
-
Citation
-
Platform-based BST-2-targeted microbubbles enhance HIFU therapy and effectively inhibit prostate cancer residual growth
Author: Hang Zhou, Jia Tang, Yujie Wan, Jiaqi Gong, Qizhi Wang, Kaifeng Huang, Ruixia Hong, Xinzhi Xu, Fang Li
PMID: 40436774
Journal: International Journal of Hyperthermia
Application: WB
Reactivity: Mouse
Publish date: 2025 May
-
Citation
-
The activation of CB2 enhances bone remodeling in periodontitis
Author: Zhao Yuan, Zhang Yixuan, Liu Huijuan, Qiao Xing, Li Dongna, Zhu Yahui, Wu Zidan, Wang Wenqi, Ma Zhe, Liu Chunyan
PMID: 40413460
Journal: BMC Oral Health
Application: WB
Reactivity: Human
Publish date: 2025 May
-
Citation
-
Smilax china L. Rhizome Extract Enhances Anti-Tumor Immune Responses by Resetting M2-Like Macrophages and Tumor-Associated Macrophages to M1-Like via ERK1/2 Signaling
Author: Yingxue Guo, Xiaochen Lin, Penghao Wang, Yingying Wang, Mengyun Chen, Shuiyan Tang, Lu Jin, Weiye Mao, Xia Liu, Qiyang Shou, Huiying Fu
PMID: 40383248
Journal: Journal Of Ethnopharmacology
Application: WB
Reactivity: Mouse
Publish date: 2025 May
-
Citation
-
EGR1-Driven Re-Epithelialization Enabled by Rutin-Based Self-Assembled Hydrogel Platform for Oral Ulcer Therapy
Author: Bin Zhao, Xinjie Qiu, Chong Wang, Shaobang Wu, Xin Yin, Lina Zhang, Xuedan Yan, Shuqi Sun, Xinyue Zeng, Xiuyun Ren
PMID: 40434223
Journal: Advanced Healthcare Materials
Application: WB
Reactivity: Human
Publish date: 2025 May
-
Citation
-
Huangkui capsule, an extract from Abelmoschus manihot (L.) medic, inhibits adrenal aldosterone synthesis and renal ERK/EGR1 pathway in the treatment of diabetic kidney disease
Author: Rengui Saxu, Haitao Tang, Hongmei Yu, Haitao Ge, Harvest F. Gu
PMID: 40348304
Journal: Journal Of Ethnopharmacology
Application: WB
Reactivity: Mouse
Publish date: 2025 May
-
Citation
-
DNMT3A facilitates breast cancer progression via regulating ADAMTS8 mediated EGFR-MEK-ERK activation
Author: Shan Yang, Meng Cheng, Shaonan Zhang, Haoqi Wang, Jiaxing Wang, Xi Zhang, Yunzhe Mi, Sainan Li
PMID: 40323963
Journal: Public Library Of Science One
Application: WB
Reactivity: Human
Publish date: 2025 May
-
Citation
-
SLP65/SLP76 Csk-interacting membrane protein promotes hepatic ischemia-reperfusion injury by activating TLR4/Erk1/2-mediated macrophages M1 polarization
Author: Jun-yan Liu, Jie-fu Luo, Xin-yi Wu, Tao Liu, Rui Wang, Qi Zhang, Yi-ming Liu, Hao Wu
PMID: 40403937
Journal: Biochimica Et Biophysica Acta (Bba) - Molecular Basis Of Disease
Application: WB
Reactivity: Mouse
Publish date: 2025 May
-
Citation
-
Activation of the MEK1-CHK2 axis in macrophages by Staphylococcus aureus promotes mitophagy, resulting in a reduction in bactericidal efficacy
Author: Xiaohu Wu, Xin Guan, Chubin Cheng, Zhantao Deng, Zeng Li, Yuanchen Ma, Yanjie Xie, Qiujian Zheng
PMID: 40437411
Journal: Molecular Medicine
Application: WB
Reactivity: Mouse
Publish date: 2025 May
-
Citation
-
High mobility group box 1, a novel serotonin receptor-7 negative modulator, contributes to M2 microglial ferroptosis and neuroinflammation in post-stroke depression
Author: Ou Du, Chao Wu, Yu-Xin Yang, Han-Yinan Yang, Yi-Jin Wu, Meng-Yang Li, Si-cen Liu, Zhen-Hua Shao, Jun-Rong Du
PMID: 40527447
Journal: Free Radical Biology And Medicine
Application: WB
Reactivity: Mouse
Publish date: 2025 Jun
-
Citation
-
The Piezo1/Extracellular Signal-Regulated Kinase Signal Pathway Regulates Proliferation and Migration of Aortic Vascular Smooth Muscle Cells and Participates in Thoracic Aortic Aneurysm
Author:
PMID: 40500623
Journal: Heart Lung and Circulation
Application: WB
Reactivity: Human,Rat
Publish date: 2025 Jun
-
Citation
-
Quinolinone Derivatives Suppress Angiogenesis in Human Umbilical Vein Endothelial Cells by Blocking the VEGF-Induced VEGFR2 Signaling Pathway
Author: Xiaoxi Lin, Bonian Chen, Xiao Xiao, Rui Wang, Weiming Yao, Ao Li
PMID: 40590182
Journal: Archiv Der Pharmazie
Application: WB
Reactivity: Human
Publish date: 2025 Jul
-
Citation
-
Glia maturation factor-β in hepatocytes enhances liver regeneration and mitigates steatosis and ballooning in zebrafish
Author: Hong-Yu Li, Wei-Lan Zeng, Yi-Wen Ye, Xin Chen, Ming-Ming Zhang, Yi-Si Chen, Cui-Ting Liu, Zhun-Qiang Zhong, Jing Li, Yan Wang
PMID: 40602783
Journal: American Journal of Physiology-Gastrointestinal and Liver
Application: WB
Reactivity: Zebrafish
Publish date: 2025 Jul
-
Citation
-
Neuronal TRPV1-CGRP axis regulates peripheral nerve regeneration through ERK/HIF-1 signaling pathway
Author:
PMID: 10.1111/jnc.16281
Journal: JOURNAL OF NEUROCHEMISTRY
Application: WB
Reactivity: Rat
Publish date: 2025 Jan
-
Citation
-
Neuronal TRPV1-CGRP axis regulates peripheral nerve regeneration through ERK/HIF-1 signaling pathway
Author: Huiling Che, Yu Du, Yixuan Jiang, Zhanfeng Zhu, Mingxuan Bai, Jianan Zheng, Mao Yang, Lin Xiang, Ping Gong
PMID: 39792906
Journal: Journal Of Neurochemistry
Application: WB
Reactivity: Rat
Publish date: 2025 Jan
-
Citation
-
Ginsenoside Ro ameliorates cognitive impairment and neuroinflammation in APP/PS1 mice via the IBA1/GFAP-MAPK signaling pathway
Author: Tianyao Li, Jiaxin Chen, Zhouyuan Xie, Jiansong Fang, Qiqing Wu, Xinyue Cao, Ziying Chen, Yiyun Wang, Qiqi Fan, Qi Wang, Jinman Liu
PMID: 40066331
Journal: Frontiers In Pharmacology
Application: WB
Reactivity: Mouse
Publish date: 2025 Feb
-
Citation
-
DR8 (DHNNPQIR), a rapeseed-derived peptide, mitigates fibrosis and muscle atrophy in chronic kidney disease by targeting CNR1–ERK/ELK-1 signaling
Author: Wenli Zhang, Yidan Zuo, Diyan Xu, Yibei Lin, Yaoxue Zang, Ruyi Chen, Mingli Chen, Zhen Su
PMID: 10.1016/j.peptides.2025.171456
Journal: Peptides
Application: WB
Reactivity: Mouse,Human
Publish date: 2025 Dec
-
Citation
-
Flavonoid-Rich Extract from Bombyx batryticatus Alleviate LPS-Induced Acute Lung Injury via the PI3K/MAPK/NF-κB Pathway
Author: Wenkai Li, Sifan Song, Wenyong Li, Jing Chen
PMID: 10.3390/ijms262412057
Journal: International Journal Of Molecular Sciences
Application: WB
Reactivity: Mouse
Publish date: 2025 Dec
-
Citation
-
S-methylmethionine ameliorates renal injury in diabetic mice by modulating macrophage inflammaging via ERK/NF-κb signaling pathway
Author: Hao Dong, Linjie Shen, Pawuziya Abulizi, Yuezhang Sun, Lulingxiao Nie, Aimin Cui, Qian Fu, Ning Ji, Yuwen Luo, Chienshan Chen, Aimin Xu, Wai Keung Leung, Qi Wang
PMID: 10.1016/j.intimp.2025.116038
Journal: International Immunopharmacology
Application: WB
Reactivity: Mouse
Publish date: 2025 Dec
-
Citation
-
Melanoidins From Prunus mume Fruit-Juice Concentrate: Polarity-Driven Differences in Immunomodulatory Activity
Author: Yunjie Su, Qian Yang, Zhong Li, Trust Beta, Zhenzhu Zhu, Qin Liu
PMID: 10.1111/1750-3841.70749
Journal: Journal of Food Science
Application: WB
Reactivity: Mouse
Publish date: 2025 Dec
-
Citation
-
USP44 Regulates Chemoresistance Induced by ROS and the MAPK/NF-κB Pathway Through the Stabilization of ITGB4 in Gastric Cancer
Author: Wanting Xiao, Yuming Lou, Pu Wu, Pengxiang Yang, Hao Wu, Jialu Song, Lutong Liu, Chaoyang Xu
PMID: 10.1096/fj.202501369R
Journal: FASEB Journal
Application: WB
Reactivity: Human
Publish date: 2025 Aug
-
Citation
-
Integrating network pharmacology and experimental validation to explore the mechanism of Yiqi Ziyin in treating immune thrombocytopenia
Author: Wang Jun, Wang Bo, Zhang Yun, Wu Li-qiang
PMID: 40764646
Journal: Scientific Reports
Application: WB
Reactivity: Mouse
Publish date: 2025 Aug
-
Citation
-
Enhanced migration and adhesion protein expression by polyethylene glycol 4-modified SVVYGLR peptide in an in vitro human gingival fibroblast wound healing model
Author: Peiying Xiong Chengcheng Yu Zhihui Chen Luyuan Chen Yonglong Hong Buling Wu
PMID: 40421822
Journal: Folia Histochemica Et Cytobiologica
Application: WB
Reactivity: Mouse
Publish date: 2025 Apr
-
Citation
-
“The role of mitogen-activated protein kinase signaling pathway in bone formation during mid-palatal suture expansion”
Author: Xiaoyue Xiao, Shujuan Zou, Zhiai Hu, Jianwei Chen
PMID: 40298405
Journal: Connective Tissue Research
Application: WB
Reactivity: Rat
Publish date: 2025 Apr
-
Citation
-
The Polarization of Macrophages Regulated by KCNG3 via the Activation of ASK1 Mediated by Potassium Ion Efflux
Author: Shuting Zhang, Yanlong Xin, Yu Yang, Yan Zhang, Jing Geng
PMID: 40255142
Journal: Cell Biology International
Application: WB
Reactivity: Mouse
Publish date: 2025 Apr
-
Citation
-
Possible involvement of a MEG3-miR-21-SPRY1-NF-κB feedback loop in spermatogenic cells proliferation, autophagy and apoptosis
Author: Xingyu Fang, Xiaotong Lu, Yujie Ma, Ning Sun, Yunyun Jiao, Hui Meng, Mengjiao Song, Haixia Jin, Guidong Yao, Ning Song, Zhaoting Wu, Shuang Wen, Haoran Guo, Haosen Xiong, Wenyan Song
PMID: 39398251
Journal: iScience
Application: WB
Reactivity: Human,Mouse
Publish date: 2024 Sept
-
Citation
-
FGF21 Ameliorates Fibroblasts Activation and Systemic Sclerosis by Inhibiting CK2α/GLI2 Signaling Axis
Author: Yeyi Zheng, Wenjie Gong, Zhaohang Wu, Siyi Zhang, Nan Wang, Zhenyu Hu, Yanni Shou, Tianpeng Xu, Yingjie Shen, Xiaokun Li, Litai Jin, Weitao Cong, Zhongxin Zhu
PMID: 39182559
Journal: Journal Of Investigative Dermatology
Application: WB
Reactivity: Mouse,Human
Publish date: 2024 Sept
-
Citation
-
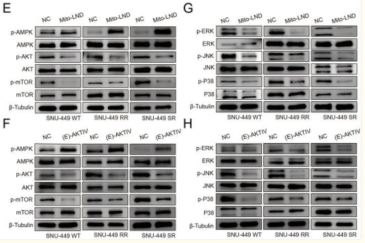
Mito-LND and (E)-Akt inhibitor-IV: novel compounds inducing endoplasmic reticulum stress and ROS accumulation against hepatocellular carcinoma
Author: Liao Siqi,et al
PMID: 39198815
Journal: Journal Of Translational Medicine
Application: WB
Reactivity: Human
Publish date: 2024 Sep
-
Citation
-
The CD163/TWEAK/Fn14 axis: A potential therapeutic target for alleviating inflammatory bone loss
Author: J Qian,et al
PMID: 39430128
Journal: Journal Of Orthopaedic Translation
Application: WB
Reactivity: Mouse
Publish date: 2024 Oct
-
Citation
-
Schisandrin A alleviates non-alcoholic fatty liver disease by improving liver metabolic disorders and suppressing the GSK3β signaling pathway
Author: Li Zong,et al
PMID: NO PMID 2024101204
Journal: Food Bioscience
Application: WB
Reactivity: Mouse
Publish date: 2024 Oct
-
Citation
-
Dan-shen Yin attenuates myocardial fibrosis after myocardial infarction in rats: molecular mechanism insights by integrated transcriptomics and network pharmacology analysis and experimental validation
Author: Xuan Gao,et al
PMID: 39522849
Journal: Journal Of Ethnopharmacology
Application: WB
Reactivity: Rat
Publish date: 2024 Nov
-
Citation
-
MiRNA-145-5p inhibits gastric cancer progression via the serpin family E member 1-extracellular signal-regulated kinase-1/2 axis
Author: Bai Hongxia,et al
PMID: 38764835
Journal: World Journal Of Gastrointestinal Oncology
Application: WB
Reactivity: Human
Publish date: 2024 May
-
Citation
-
IGFBP7 promotes gastric cancer by facilitating epithelial-mesenchymal transition of gastric cells
Author: Wang Jinqing,et al
PMID: 38778944
Journal: Heliyon
Application: WB
Reactivity: Human
Publish date: 2024 May
-
Citation
-
Coptidis rhizoma extract alleviates oropharyngeal candidiasis by gC1qR-EGFR/ERK/c-Fos axis-induced endocytosis of oral epithelial cells
Author: Bao Mengyuan,et al
PMID: 38729536
Journal: Journal Of Ethnopharmacology
Application: WB
Reactivity: Mouse
Publish date: 2024 May
-
Citation
-
Hypomethylation of theLncRNA H19 promoteraccelerates osteogenicdifferentiation of vascularsmooth muscle cells byactivating the Erk1/2pathways
Author: Taoxia Wang,et al
PMID: no pmid240318
Journal: Journal Of International Medical Research
Application: WB
Reactivity: Human
Publish date: 2024 Mar
-
Citation
-
CD147‐K148me2‐Driven Tumor Cell‐Macrophage Crosstalk Provokes NSCLC Immunosuppression via the CCL5/CCR5 Axis
Author: Wang Ke,et al
PMID: 38873823
Journal: Advanced Science
Application: WB
Reactivity: Human
Publish date: 2024 Jun
-
Citation
-
Docosahexaenoic Acid Coordinating with Sodium Selenite Promotes Paraptosis in Colorectal Cancer Cells by Disrupting the Redox Homeostasis and Activating the MAPK Pathway
Author: Sheng Zhao, Yuzhou Meng, Wenxun Cai, Qiwen Luo, Hongyang Gao, Qiang Shen, Dongyun Shi
PMID: 38892670
Journal: Nutrients
Application: WB
Reactivity: Human
Publish date: 2024 Jun
-
Citation
-
Extracellular Vesicles Containing GAS6 Protect the Liver from Ischemia-Reperfusion Injury by Enhancing Macrophage Efferocytosis via MerTK-ERK-COX2 Signaling
Author: Di Guohui,et al
PMID: 39256347
Journal: Preprint And Has Not Been Certified By Peer Review
Application: WB
Reactivity: Mouse
Publish date: 2024 Jun
-
Citation
-
ETS1 and RBPJ transcriptionally regulate METTL14 to suppress TGF-β1-induced epithelial-mesenchymal transition in human bronchial epithelial cells
Author: Chen Jiahe,et al
PMID: 39002703
Journal: Biochimica Et Biophysica Acta-Molecular Basis Of Disease
Application: WB
Reactivity: Human,Mouse
Publish date: 2024 Jul
-
Citation
-
Effects of tanshinone IIA on endothelial cell dysfunction in uremic condition
Author: Li-hua Wang, Bo Yang, Zhe Wang, Lan Jia, Hai-yan Chen, Xue-qing Bi
PMID: 39051181
Journal: Journal Of Biochemical And Molecular Toxicology
Application: WB
Reactivity: Human
Publish date: 2024 Jul
-
Citation
-
Production of recombinant human epidermal growth factor fused with HaloTag protein and characterisation of its biological functions
Author: Bai Mengru,et al
PMID: 39035165
Journal: Peer J
Application: WB
Reactivity: Human
Publish date: 2024 Jul
-
Citation
-
Enhanced In Vitro Efficacy of Verbascoside in Suppressing Hepatic Stellate Cell Activation via ROS Scavenging with Reverse Microemulsion
Author: Xiao Xiao, Feiyu Yang, Yuling Huang, Shaohui Liu, Zhenhua Hu, Shanggao Liao, Yuanyuan Li
PMID: 39199153
Journal: Antioxidants
Application: WB
Reactivity: Human
Publish date: 2024 Jul
-
Citation
-
Enhancing the therapeutic efficacy of gefitinib on subcutaneously transplanted SKOV3 ovarian cancer tumors in nude mice via ultrasound‑stimulated microbubble cavitation
Author: Chen Jianghong,et al
PMID: 39006449
Journal: Experimental And Therapeutic Medicine
Application: WB
Reactivity: Mouse
Publish date: 2024 Jul
-
Citation
-
Effect of Sonic hedgehog gene-modified bone marrow mesenchymal stem cells on graft-induced retinal gliosis and retinal ganglion cells survival in diabetic mice
Author: Tong Wang, Hai-Chun Li, Jin Ma, Xi-Ling Yu
PMID: 38239953
Journal: International Journal Of Ophthalmology
Application: WB
Reactivity: Mouse
Publish date: 2024 Jan
-
Citation
-
Targeting DAD1 gene with CRISPR-Cas9 system transmucosally delivered by fluorinated polylysine nanoparticles for bladder cancer intravesical gene therapy
Author: Tang D, Yan Y, Li Y, et al
PMID: 38164146
Journal: Theranostics
Application: WB
Reactivity: Human
Publish date: 2024 Jan
-
Citation
-
Effect and mechanism of recombinant human fibroblast growth factor 18 on osteoporosis in OVX mice
Author: Lu Py,et al
PMID: 38275172
Journal: Climacteric
Application: WB
Reactivity: Mouse
Publish date: 2024 Feb
-
Citation
-
Novel inhibitors targeting the PGK1 metabolic enzyme in glycolysis exhibit effective antitumor activity against kidney renal clear cell carcinoma in vitro and in vivo
Author: Yu He, Yinheng Luo, Lan Huang, Dan Zhang, Huijin Hou, Yue Liang, Shi Deng, Peng Zhang, Shufang Liang
PMID: 38354523
Journal: European Journal Of Medicinal Chemistry
Application: WB
Reactivity: Human
Publish date: 2024 Feb
-
Citation
-
FGF18 alleviates sepsis-induced acute lung injury by inhibiting the NF-κB pathway
Author: Hu Zhenyu, Dai Jindan, Xu Tianpeng, Chen Hui, Shen Guoxiu, Zhou Jie, Ma Hongfang, Wang Yang, Jin Litai
PMID: 38419044
Journal: Respiratory Research
Application:
Reactivity:
Publish date: 2024 Feb
-
Citation
-
GLP-1RAs attenuated obesity and reversed leptin resistance partly via activating the microbiome-derived inosine/A2A pathway
Author: Chunyan Dong,et al
PMID: 40177547
Journal: Acta Pharmaceutica Sinica B
Application: WB
Reactivity: Mouse
Publish date: 2024 Dec
-
Citation
-
Zinc Attenuates Bisphenol A-Induced Reproductive Toxicity in Male Mice by Inhibiting Ferroptosis and Apoptosis Through Improving Zinc Homeostasis
Author: Yuejia Li,et al
PMID: 39645636
Journal: Biological Trace Element Research
Application: WB
Reactivity: Mouse
Publish date: 2024 Dec
-
Citation
-
BPA Exacerbates Zinc Deficiency–Induced Testicular Tissue Inflammation in Male Mice Through the TNF-α/NF-κB/Caspase8 Signaling Pathway
Author: Xinying Wang,et al
PMID: 39638945
Journal: Biological Trace Element Research
Application: WB
Reactivity: Mouse
Publish date: 2024 Dec
-
Citation
-
Injectable hydrogel encapsulating siMMP13 with anti-ROS and anti-apoptotic functions for osteoarthritis treatment
Author: Ji Zhongyin,et al
PMID: 39095867
Journal: Journal Of Nanobiotechnology
Application: WB
Reactivity: Mouse
Publish date: 2024 Aug
-
Citation
-
Cyclic tensile stress promotes osteogenic differentiation via upregulation of Piezo1 in human dental follicle stem cells
Author: Xie Binqing,et al
PMID: 39190266
Journal: Human Cell
Application: WB
Reactivity: Human
Publish date: 2024 Aug
-
Citation
-
Aquaporin-3 is down-regulated by LMP1 in nasopharyngeal carcinoma cells to regulate cell migration and affect EBV latent infection
Author: Li Jing,et al
PMID: 39103702
Journal: Virus Genes
Application: WB
Reactivity: Human
Publish date: 2024 Aug
-
Citation
-
Psoralen and Isopsoralen, Two Estrogen-Like Natural Products from Psoraleae Fructus, Induced Cholestasis via Activation of ERK1/2
Author: Chen Liangmin,et al
PMID: 38646980
Journal: Chemical Research In Toxicology
Application: WB
Reactivity: Zebrafish
Publish date: 2024 Apr
-
Citation
-
Gallic Acid Can Promote Low-Density Lipoprotein Uptake in HepG2 Cells via Increasing Low-Density Lipoprotein Receptor Accumulation
Author: Dongying Zhang, Qixing Zhou, Xiangxuan Yang, Zhen Zhang, Dongxue Wang, Dandan Hu, Yewei Huang, Jun Sheng, Xuanjun Wang
PMID: 38731489
Journal: Molecules
Application: WB
Reactivity: Human
Publish date: 2024 Apr
-
Citation
-
LncRNA RP11-93B14. 5 promotes gastric cancer cell growth through PI3K/AKT signaling pathway
Author:
PMID: 37682457
Journal: Molecular Biotechnology
Application: WB
Reactivity: Human
Publish date: 2023 Sept
-
Citation
-
Scutellarin ameliorates diabetic nephropathy via TGF-β1 signaling pathway
Author:
PMID: 38656633
Journal: Biological & Pharmaceutical Bulletin
Application: WB
Reactivity: Mouse
Publish date: 2023 Oct
-
Citation
-
D-mannose induces TFE3-dependent lysosomal degradation of EGFR and inhibits the progression of NSCLC
Author:
PMID: 37845392
Journal: Oncogene
Application: WB
Reactivity: Human
Publish date: 2023 Oct
-
Citation
-
Antibacterial and Angiogenic (2A) Bio-Heterojunctions Facilitate Infectious Ischemic Wound Regeneration via an Endogenous-Exogenous Bistimulatory Strategy
Author:
PMID: 37848208
Journal: Advanced Materials
Application: WB
Reactivity: Mouse
Publish date: 2023 Oct
-
Citation
-
PD-1/PD-L1 Interaction Upregulates YAP1 Expression in HepG2 Cells Through MAPK/ERK Pathway
Author: Li Shenghao,et al
PMID: NO PMID20231001
Journal: Natural Product Communications
Application: WB
Reactivity: Human
Publish date: 2023 Oct
-
Citation
-
DARS2 promotes the occurrence of lung adenocarcinoma via the ERK/c-Myc signaling pathway
Author: Fang T, Jiang J, Yu W, Li R, Tian H
PMID: 37950542
Journal: Thoracic Cancer
Application: WB
Reactivity: Mouse
Publish date: 2023 Nov
-
Citation
-
mTOR signaling pathway regulates embryonic development and rapid growth of triploid crucian carp
Author: Huang Z , Dai L, Peng F,et al
PMID: NO PMID202311
Journal: Aquaculture Reports
Application: WB
Reactivity: Mouse
Publish date: 2023 Nov
-
Citation
-
miR-27a-3p relieves heat stress-induced mitochondrial damage and aberrant milk protein synthesis through MEK/ERK pathway in BMECs
Author:
PMID: 36881375
Journal: Cell Stress & Chaperones
Application: WB
Reactivity: Mouse
Publish date: 2023 May
-
Citation
-
Downregulation of a CT10 regulator of kinase (Crk) promotes the formation of diapause embryos in the brine shrimp Artemia
Author:
PMID: 36893874
Journal: Gene
Application: WB
Reactivity: Brine shrimp Artemia
Publish date: 2023 May
-
Citation
-
Identification of a Specific Phage as Growth Factor Alternative Promoting the Recruitment and Differentiation of MSCs in Bone Tissue Regeneration
Author:
PMID: 37023478
Journal: ACS Biomaterials Science & Engineering
Application: WB
Reactivity: Mouse
Publish date: 2023 May
-
Citation
-
NSD3, a member of nuclear receptor-binding SET domain family, is a potential prognostic biomarker for pancreatic cancer
Author:
PMID: 37062069
Journal: Cancer Medicine
Application: WB
Reactivity: Human
Publish date: 2023 May
-
Citation
-
Multifunctional gold nanorods in low-temperature photothermal interactions for combined tumor starvation and RNA interference therapy
Author: Fan, R., Chen, C., Hu, J., Mu, M., Chuan, D., Chen, Z., Guo, G., & Xu, J.
PMID: 36706851
Journal: Acta Biomaterialia
Application: WB
Reactivity: Mouse
Publish date: 2023 Mar
-
Citation
-
An oral phenylacrylic acid derivative suppressed hepatic stellate cell activation and ameliorated liver fibrosis by blocking TGF‐β1 signalling
Author:
PMID: 36448910
Journal: Liver International
Application: WB
Reactivity: Human
Publish date: 2023 Mar
-
Citation
-
Cyclic tensile force modifies calvarial osteoblast function via the interplay between ERK1/2 and STAT3
Author: Xiao, X., Zou, S., & Chen, J.
PMID: 36890454
Journal: BMC Molecular and Cell Biology
Application: WB,IF-cell
Reactivity: Mouse
Publish date: 2023 Mar
-
Citation
-
Apigenin Inhibits the Progression of Osteoarthritis by Mediating Macrophage Polarization
Author: Ji, X., Du, W., Che, W., Wang, L., & Zhao, L.
PMID: 37049677
Journal: Molecules
Application: WB
Reactivity: Mouse
Publish date: 2023 Mar
-
Citation
-
dCas9-Based PDGFR-β Activation ADSCs Accelerate Wound Healing in Diabetic Mice through Angiogenesis and ECM Remodeling
Author: Li, Y., Li, D., You, L., Deng, T., Pang, Q., Meng, X., & Zhu, B.
PMID: 36983022
Journal: International Journal Of Molecular Sciences
Application: WB
Reactivity: Mouse,Human
Publish date: 2023 Mar
-
Citation
-
SETDB1-mediated CD147-K71 di-methylation promotes cell apoptosis in non-small cell lung cancer
Author:
PMID: 37692516
Journal: Genes & Diseases
Application: WB
Reactivity: Human
Publish date: 2023 Mar
-
Citation
-
PACAP inhibition alleviates neuropathic pain by modulating Nav1. 7 through the MAPK/ERK signaling pathway in a rat model of chronic constriction injury
Author:
PMID: 36842389
Journal: Neuropeptides
Application: WB
Reactivity: Rat
Publish date: 2023 Jun
-
Citation
-
MDM2 upregulation induces mitophagy deficiency via Mic60 ubiquitination in fetal microglial inflammation and consequently neuronal DNA damage caused by exposure to ZnO-NPs during pregnancy
Author:
PMID: 37315416
Journal: Journal Of Hazardous Materials
Application: WB
Reactivity: Mouse
Publish date: 2023 Jun
-
Citation
-
Intracellular angiopoietin-1 promotes TKI-resistance via activation of JAK/STAT5 pathway in chronic myeloid leukemia
Author:
PMID: 36385374
Journal: Oncogene
Application: WB
Reactivity: Human
Publish date: 2023 Jan
-
Citation
-
Analyses of Transcriptomics upon IL-1β-Stimulated Mouse Chondrocytes and the Protective Effect of Catalpol through the NOD2/NF-κB/MAPK Signaling Pathway
Author: Pang, Y., Zhao, L., Ji, X., Guo, K., & Yin, X.
PMID: 36838594
Journal: Molecules
Application: WB
Reactivity: Mouse
Publish date: 2023 Feb
-
Citation
-
SUMOylation of AnxA6 facilitates EGFR-PKCα complex formation to suppress epithelial cancer growth
Author: Zenghua Sheng, Xu Cao, Ya-nan Deng, Xinyu Zhao, Shufang Liang
PMID: 37528485
Journal: Cell Communication And Signaling
Application: WB
Reactivity: Human
Publish date: 2023 Aug
-
Citation
-
Lycium barbarum polysaccharide‐glycoprotein promotes osteogenesis in hPDLSCs via ERK activation
Author:
PMID: 36250230
Journal: Oral Diseases
Application: WB
Reactivity: Human
Publish date: 2022 Oct
-
Citation
-
PER3 plays anticancer roles in the oncogenesis and progression of breast cancer via regulating MEK/ERK signaling pathway
Author:
PMID: 36278918
Journal: Journal Of The Chinese Medical Association
Application: WB
Reactivity: Human
Publish date: 2022 Nov
-
Citation
-
Maternal consumption of a fermented diet protects offspring against intestinal inflammation by regulating the gut microbiota
Author: Wang, C., Wei, S., Liu, B., Wang, F., Lu, Z., Jin, M., & Wang, Y.
PMID: 35506256
Journal: Gut Microbes
Application: WB
Reactivity: Pig
Publish date: 2022 May
-
Citation
-
Single-Cell Sequencing Yields Insights in the Evolution of Foot-and-Mouth Disease Virus Persistent Infection
Author: Yuan, Y., Wang, X., Li, J., Han, L., Du, H., Sun, Y., Yang, P., Zhou, Z., Gu, M., Lu, Y., & Shen, C.
PMID: 35873170
Journal: Frontiers In Cellular And Infection Microbiology
Application: WB
Reactivity: Hamster
Publish date: 2022 Jul
-
Citation
-
CD147 Mediates 5-Fluorouracil Resistance in Colorectal Cancer by Reprogramming Glycolipid Metabolism
Author:
PMID: 35898887
Journal: Frontiers In Oncology
Application: WB
Reactivity: Human
Publish date: 2022 Jul
-
Citation
-
A Tetrahedral Framework DNA-Based Bioswitchable miRNA Inhibitor Delivery System: Application to Skin Anti-Aging
Author: Li, S., Liu, Y., Zhang, T., Lin, S., Shi, S., He, J., Xie, Y., Cai, X., Tian, T., & Lin, Y.
PMID: 35901292
Journal: Advanced Materials
Application: WB
Reactivity: Mouse
Publish date: 2022 Jul
-
Citation
-
Production of functional sperm from in vitro-cultured premeiotic spermatogonia in a marine fish
Author: Zhang, H., Zhang, W. W., Mo, C. Y., Dong, M. D., Jia, K. T., Liu, W., & Yi, M. S.
PMID: 35616259
Journal: Zoological Research
Application: WB
Reactivity: Fish
Publish date: 2022 Jul
-
Citation
-
PGK1 contributes to tumorigenesis and sorafenib resistance of renal clear cell carcinoma via activating CXCR4/ERK signaling pathway and accelerating glycolysis
Author: He, Y., Wang, X., Lu, W., Zhang, D., Huang, L., Luo, Y., Xiong, L., Li, H., Zhang, P., Li, Q., & Liang, S.
PMID: 35121728
Journal: Cell Death & Disease
Application: WB
Reactivity: Human
Publish date: 2022 Feb
-
Citation
-
Periplaneta americana extract promotes osteoblast differentiation of human alveolar bone marrow mesenchymal stem cells
Author:
PMID: 36516336
Journal: Oral Diseases
Application: WB
Reactivity: Human
Publish date: 2022 Dec
-
Citation
-
Orelabrutinib and venetoclax synergistically induce cell death in double hit lymphoma by interfering with the crosstalk between the PI3K/AKT and p38/MAPK signaling
Author: Pan, G., Zhong, M., Yao, J., Tan, J., Zheng, H., Jiang, Y., Tang, Y., Zhou, H., Qin, D., Yu, X., Liu, L., Li, Z., Lin, Z., Jiang, Y., Xu, B., & Zha, J.
PMID: 36471019
Journal: Journal Of Cancer Research And Clinical Oncology
Application: WB
Reactivity: Human
Publish date: 2022 Dec
-
Citation
-
Orexin-A exerts neuroprotective effect in experimental intracerebral hemorrhage by suppressing autophagy via OXR1-mediated ERK/mTOR signaling pathway
Author:
PMID: 36619670
Journal: Frontiers In Cellular Neuroscience
Application: WB
Reactivity: Rat
Publish date: 2022 Dec
-
Citation
-
CALR-TLR4 Complex Inhibits Non-Small Cell Lung Cancer Progression by Regulating the Migration and Maturation of Dendritic Cells
Author: Chen, R., Huang, M., Yang, X., Chen, X. H., Shi, M. Y., Li, Z. F., Chen, Z. N., & Wang, K.
PMID: 34660305
Journal: Frontiers In Oncology
Application: WB
Reactivity: Mouse
Publish date: 2021 Oct
-
Citation
-
Hyperglycemia modulates M1/M2 macrophage polarization via reactive oxygen species overproduction in ligature-induced periodontitis
Author:
PMID: 34190354
Journal: Journal Of Periodontal Research
Application: WB
Reactivity: Mouse
Publish date: 2021 Oct
-
Citation
-
Riboflavin as a Mucosal Adjuvant for Nasal Influenza Vaccine
Author: Yin, Y., Wang, J., Xu, X., Zhou, B., Chen, S., Qin, T., & Peng, D.
PMID: 34835227
Journal: Vaccine
Application: WB
Reactivity: Mouse
Publish date: 2021 Nov
-
Citation
-
MAPK, AKT/FoxO3a and mTOR pathways are involved in cadmium regulating the cell cycle, proliferation and apoptosis of chicken follicular granulosa cells. Ecotoxicology and environmental safety, 214, 112091.
Author: Zhu, M., Miao, S., Zhou, W., Elnesr, S. S., Dong, X., & Zou, X.
PMID: 33706141
Journal: Ecotoxicology And Environmental Safety
Application: WB
Reactivity: Chicken
Publish date: 2021 May
-
Citation
-
Inhibition of mu-opioid receptor suppresses proliferation of hepatocellular carcinoma cells via CD147-p53-MAPK cascade signaling pathway. American journal of translational research, 13(5), 3967–3986.
Author: Zhang, J. J., Song, C. G., Dai, J. M., Zhang, X. Q., Lin, P., Li, L., Yang, X. M., & Chen, Z. N.
PMID: 34149993
Journal: American Journal Of Translational Research
Application: WB
Reactivity: Human
Publish date: 2021 May
-
Citation
-
Transient Receptor Potential Melastatin 7 Promotes Vascular Adventitial Fibroblasts Phenotypic Transformation and Inflammatory Reaction Induced by Mechanical Stretching Stress via p38 MAPK/JNK Pathway
Author:
PMID: 33494094
Journal: Journal Of Vascular Research
Application: WB
Reactivity: Rat
Publish date: 2021 Jan
-
Citation
-
Alkannin induces cytotoxic autophagy and apoptosis by promoting ROS-mediated mitochondrial dysfunction and activation of JNK pathway
Author:
PMID: 32702370
Journal: Biochemical Pharmacology
Application: WB
Reactivity: Human
Publish date: 2020 Oct
-
Citation
-
Napabucasin,a novel inhibitor of STAT3,inhibits growth and synergises with doxorubicin in diffuse large B-cell lymphoma
Author: Xiawei Wei
PMID: 32798587
Journal: Cancer Letters
Application: WB
Reactivity: Human
Publish date: 2020 Oct
-
Citation
-
MSCs-derived exosomes attenuate acute brain injury and inhibit microglial inflammation by reversing CysLT2R-ERK1/2 mediated microglia M1 polarization
Author:
PMID: 32112178
Journal: Neurochemical Research
Application: WB
Reactivity: Rat
Publish date: 2020 May
-
Citation
-
Molecular hydrogen attenuates methamphetamine-induced behavioral sensitization and activation of ERK-ΔFosB signaling in the mouse nucleus accumbens
Author: Chunling Ma;Bin Cong
PMID: 31629777
Journal: Progress In Neuro-Psychopharmacology & Biological Psychiatry
Application: WB
Reactivity: Mouse
Publish date: 2020 Mar
-
Citation
-
Exopolysaccharide from Cryptococcus heimaeyensis S20 induces autophagic cell death in non-small cell lung cancer cells via ROS/p38 and ROS/ERK signalling
Author: Chao Shen
PMID: 32597573
Journal: Cell Proliferation
Application: WB
Reactivity: Human
Publish date: 2020 Aug
-
Citation
-
Purification of recombinant human fibroblast growth factor 13 in E. coli and its molecular mechanism of mitogenesis
Author:
PMID: 31289905
Journal: Applied Microbiology And Biotechnology
Application: WB
Reactivity: Mouse
Publish date: 2019 Sep
-
Citation
-
Intermittent parathyroid hormone promotes cementogenesis in a PKA- and ERK1/2-dependent manner
Author:
PMID: 31026057
Journal: Journal Of Periodontology
Application: WB
Reactivity: Mouse
Publish date: 2019 Sep
-
Citation
-
Sini decoction ameliorates sepsis-induced acute lung injury via regulating ACE2-Ang (1-7)-Mas axis and inhibiting the MAPK signaling pathway
Author: Tao Guoa,Fengjie Huang
PMID: 31102910
Journal: Biomedicine & Pharmacotherapy
Application: WB
Reactivity: Human
Publish date: 2019 Jul
-
Citation
-
Mettl3 Deficiency Sustains Long-Chain Fatty Acid Absorption through Suppressing Traf6-Dependent Inflammation Response
Author:
PMID: 30567729
Journal: The Journal Of Immunology
Application: WB
Reactivity: Pig
Publish date: 2019 Jan
-
Citation
-
CXCL2 attenuates osteoblast differentiation by inhibiting the ERK1/2 signaling pathway
Author: Yang, Y., Zhou, X., Li, Y., Chen, A., Liang, W., Liang, G., Huang, B., Li, Q., & Jin, D.
PMID: 31292171
Journal: Journal Of Cell Science
Application: WB
Reactivity: Mouse
Publish date: 2019 Aug
-
Citation
Products with the same target and pathway
ERK1/2 Rabbit Polyclonal Antibody
Application: WB,IF-Cell,IHC-P
Reactivity: Human,Mouse,Rat
Conjugate: unconjugated
ERK1/2 Recombinant Rabbit Monoclonal Antibody [SA43-03] - BSA and Azide free
Application: WB,IF-Cell,IF-Tissue,IP,FC,IHC-P,IHC-Fr
Reactivity: Human,Mouse,Rat,Zebrafish
Conjugate: unconjugated
Erk1/2 Mouse Monoclonal Antibody [2G1]
Application: WB,IP,IF
Reactivity: Human,Mouse,Rat
Conjugate: unconjugated
