Catalog# ET1612-20
Oct4 Recombinant Rabbit Monoclonal Antibody [SD0750]
Application
-
WB
-
IF-Cell
-
IF-Tissue
-
IHC-P
-
IP
-
FC
-
ChIP
Reactivity
-
Human
-
Mouse
Conjugation
-
unconjugated
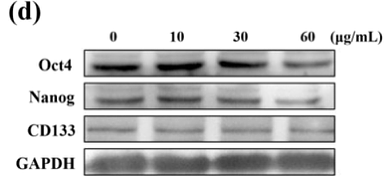
This product has been cited in peer reviewed publications, see list HERE
