Myc tag Rabbit Polyclonal Antibody
Specification
Catalog# R1208-1
Myc tag Rabbit Polyclonal Antibody
-
WB
-
IP
-
IF-Cell
-
FC
-
Species independent
-
unconjugated
Overview
Product Name
Myc tag Rabbit Polyclonal Antibody
Antibody Type
Rabbit Polyclonal Antibody
Immunogen
Synthetic peptide within human Myc aa 410-420.
Species Reactivity
Species independent
Validated Applications
WB, IP, IF-Cell, FC
Positive Control
PG-CM cell lysates, C-terminal Myc-tagged recombinant protein, N-terminal Myc-tagged recombinant protein.
Conjugation
unconjugated
RRID
Product Features
Form
Liquid
Storage Instructions
Shipped at 4℃. Store at +4℃ short term (1-2 weeks). It is recommended to aliquot into single-use upon delivery. Store at -20℃ long term.
Storage Buffer
1*PBS (pH7.4), 0.2% BSA, 40% Glycerol. Preservative: 0.05% Sodium Azide.
Isotype
IgG
Purification Method
Immunogen affinity purified.
Application Dilution
-
WB
-
1:20,000-1:50,000
-
IP
-
2-5 µg/ml.
-
IF-Cell
-
1:200
-
FC
-
1:1,000
Applications in Publications
Species in Publications
| Human | See 51 publications below |
| Species independent | See 11 publications below |
| Pig | See 6 publications below |
| Mouse | See 6 publications below |
| Chicken | See 4 publications below |
| Fish | See 3 publications below |
| Silkworm | See 2 publications below |
| Nicotiana benthamiana | See 2 publications below |
| Xanthomonas oryzae pv. oryzicola | See 1 publications below |
| Circovirus | See 1 publications below |
| zebrafish | See 1 publications below |
| pig | See 1 publications below |
| Pasteurella multocida | See 1 publications below |
| Zebrafish | See 1 publications below |
| Kiwifruit | See 1 publications below |
| Persimmon fruit | See 1 publications below |
| Dog | See 1 publications below |
| Gallus gallus domesticus | See 1 publications below |
Target
Function
Myc gene encodes for a transcription factor that is believed to regulate expression of 15% of all genes through binding on Enhancer Box sequences (E-boxes) and recruiting histone acetyltransferases (HATs). c-Myc is commonly activated in a variety of tumor cells and plays an important role in cellular proliferation, differentiation, apoptosis and cell cycle progression. This Myc-Tag antibody detects Myc-tagged fusion proteins.
Background References
1. "A quantitative atlas of mitotic phosphorylation."Dephoure N., Zhou C., Villen J., Beausoleil S.A., Bakalarski C.E., Elledge S.J., Gygi S.P.Proc. Natl. Acad. Sci. U.S.A. 105:10762-10767(2008)
2. "Transactivation of gene expression by Myc is inhibited by mutation at the phosphorylation sites Thr-58 and Ser-62."Gupta S., Seth A., Davis R.J. Proc. Natl. Acad. Sci. U.S.A. 90:3216-3220(1993)
Post-translational Modification
Phosphorylated by PRKDC. Phosphorylation at Ser-329 by PIM2 leads to the stabilization of MYC (By similarity). Phosphorylation at Ser-62 by CDK2 prevents Ras-induced senescence. Phosphorylated at Ser-62 by DYRK2; this primes the protein for subsequent phosphorylation by GSK3B at Thr-58. Phosphorylation at Thr-58 and Ser-62 by GSK3 is required for ubiquitination and degradation by the proteasome.; Ubiquitinated by the SCF(FBXW7) complex when phosphorylated at Thr-58 and Ser-62, leading to its degradation by the proteasome. In the nucleoplasm, ubiquitination is counteracted by USP28, which interacts with isoform 1 of FBXW7 (FBW7alpha), leading to its deubiquitination and preventing degradation. In the nucleolus, however, ubiquitination is not counteracted by USP28 but by USP36, due to the lack of interaction between isoform 3 of FBXW7 (FBW7gamma) and USP28, explaining the selective MYC degradation in the nucleolus. Also polyubiquitinated by the DCX(TRUSS) complex. Ubiquitinated by TRIM6 in a phosphorylation-independent manner (By similarity).
UNIPROT
Synonyms
avian myelocytomatosis viral oncogene homolog antibody
bHLHe39 antibody
c-Myc antibody
class E basic helix-loop-helix protein 39 antibody
MRTL antibody
MYC antibody
Myc Epitope Tag antibody
myc proto-oncogene protein antibody
myc-related translation/localization regulatory factor antibody
oncogene c-Myc antibody
Expandavian myelocytomatosis viral oncogene homolog antibody
bHLHe39 antibody
c-Myc antibody
class E basic helix-loop-helix protein 39 antibody
MRTL antibody
MYC antibody
Myc Epitope Tag antibody
myc proto-oncogene protein antibody
myc-related translation/localization regulatory factor antibody
oncogene c-Myc antibody
proto-oncogene c-Myc antibody
protooncogene homologous to myelocytomatosis virus antibody
transcription factor p64 antibody
v-myc avian myelocytomatosis viral oncogene homolog antibody
v-myc myelocytomatosis viral oncogene homolog (avian) antibody
CollapseImages
-
Western blot analysis of Myc tag on different lysates with Rabbit anti-Myc tag antibody (R1208-1) at 1/20,000 dilution.
Lane 1: 293T cell lysate
Lane 2: 293T transfected with Myc-tagged Claudin18.2 (C-terminal) cell lysate
Lane 3: 293T transfected with Myc-tagged Histone H3.1 (N-terminal) cell lysate
Lysates/proteins at 10 µg/Lane.
Exposure time: 2 seconds; ECL: K1801;
4-20% SDS-PAGE gel.
Proteins were transferred to a PVDF membrane and blocked with 5% NFDM/TBST for 1 hour at room temperature. The primary antibody (R1208-1) at 1/20,000 dilution was used in 5% NFDM/TBST at 4℃ overnight. Goat Anti-Rabbit IgG - HRP Secondary Antibody (HA1001) at 1/50,000 dilution was used for 1 hour at room temperature. -
Myc tag was immunoprecipitated in 2µg C terminal Myc Tag fusion protein lysate with R1208-1 at 2 µg/20 µl agarose. Western blot was performed from the immunoprecipitate using EM31105 at 1/1000 dilution. Anti-Mouse IgG - HRP Secondary Antibody (HA1006) at 1:20,000 dilution was used for 60 mins at room temperature.
Lane 1: Myc Tag fusion protein lysate (input).
Lane 2: R1208-1 IP in Myc Tag fusion protein lysate.
Lane 3: Rabbit IgG instead of R1208-1 in Myc Tag fusion protein lysate.
Blocking/Dilution buffer: 5% NFDM/TBST -
Myc tag was immunoprecipitated in 2µg N terminal Myc Tag fusion protein lysate with R1208-1 at 2 µg/20 µl agarose. Western blot was performed from the immunoprecipitate using EM31105 at 1/1000 dilution. Anti-Mouse IgG - HRP Secondary Antibody (HA1006) at 1:20,000 dilution was used for 60 mins at room temperature.
Lane 1: Myc Tag fusion protein lysate (input).
Lane 2: R1208-1 IP in Myc Tag fusion protein lysate.
Lane 3: Rabbit IgG instead of R1208-1 in Myc Tag fusion protein lysate.
Blocking/Dilution buffer: 5% NFDM/TBST -
Immunocytochemistry analysis of 293T cells labeling Myc tag with Rabbit anti-Myc tag antibody (R1208-1) at 1/200 dilution.
293T cells, transfected with Myc-tagged empty control, Claudin18.2 (C-terminal) or Histone H3.1 (N-terminal) expression vector, respectively, were fixed in 4% paraformaldehyde for 10 minutes at room temperature, permeabilized with 0.1% Triton X-100 in PBS for 15 minutes at room temperature, then blocked with 1% BSA in 10% negative goat serum for 1 hour at room temperature. Cells were then incubated with Rabbit anti-Myc tag antibody (R1208-1) at 1/200 dilution in 1% BSA in PBST overnight at 4 ℃. Goat Anti-Rabbit IgG H&L (iFluor™ 594, HA1122) was used as the secondary antibody at 1/1,000 dilution. PBS instead of the primary antibody was used as the secondary antibody only control. Nuclear DNA was labelled in blue with DAPI.
Myc Tag (HA601081, green) was stained at 1/1,000 dilution overnight at +4℃. Goat Anti-Mouse IgG H&L (iFluor™ 488, HA1125) was used as the secondary antibody at 1/1,000 dilution. -
Flow cytometric analysis of 293T cells transfected C-myc-tag labeling Myc tag.
Cells were fixed and permeabilized. Then stained with the primary antibody (R1208-1, 1μg/mL) (red) compared with Rabbit IgG Isotype Control (green). After incubation of the primary antibody at +4℃ for an hour, the cells were stained with a iFluor™ 488 conjugate-Goat anti-Rabbit IgG Secondary antibody (HA1121) at 1/1,000 dilution for 30 minutes at +4℃. Unlabelled sample was used as a control (cells without incubation with primary antibody; black).
Please note: All products are "FOR RESEARCH USE ONLY AND ARE NOT INTENDED FOR DIAGNOSTIC OR THERAPEUTIC USE"
Citation
-
PRR11 as a newly identified oncogenic driver in retinoblastoma
Author:
PMID: 10.1007/s11427-025-3094-0
Journal: Science China-Life Sciences
Application: WB
Reactivity: Human
Publish date: 2026 Jan
-
Citation
-
RBX1 and RBX2 promote GCRV replication in grass carp (Ctenopharyngodon idella)
Author:
PMID: 10.1016/j.fsi.2026.111142
Journal: Fish & Shellfish Immunology
Application: WB
Reactivity: Human
Publish date: 2026 Jan
-
Citation
-
Nuclear transport factor IPO4 modifies localization by PCV2 and facilitates viral replication
Author: Cui Lin, Chengcheng Wu, Fanfan Zhang, Na Li, Haiqin Li, Lihan Tao, Jia Tan, Yanbing Zeng, Shaopei Fang, Quanyong Zhou
PMID: 41138500
Journal: Veterinary Microbiology
Application: IP,CoIP
Reactivity: Human
Publish date: 2025 Oct
-
Citation
-
A nucleoporin-associated signaling cascade controls plant immunity via histone modification
Author: Pan Leiwen, Peng Shun, Zhang Yuehui, Chang Huan, Yang Yi, Guo Dongbei, Guo Yuan, Han Yakun, Mao Ting, Huang Yuchen, Wang Shui
PMID: 41053909
Journal: Genome Biology
Application: WB
Reactivity: Nicotiana benthamiana
Publish date: 2025 Oct
-
Citation
-
Cellular hnRNP AB inhibits avian influenza virus RNA synthesis via blocking UAP56-mediated nuclear export of PB2 mRNA
Author: Liu Shuhui, Sun Yue, Peng Yunling, Xu Chenchen, Song Suquan, Yan Liping
PMID: 10.1186/s13567-025-01660-3
Journal: Veterinary Research
Application: CoIP,IP
Reactivity: Gallus gallus domesticus,Human
Publish date: 2025 Nov
-
Citation
-
PCV2 Cap protein nuclear import via importin α/β receptor: molecular insights and antiviral potential
Author: Cui Lin, Na Li, Lihan Tao, Haiqin Li, Jiezhi Ma, Chengcheng Wu, Fanfan Zhang, Shaopei Fang, Jia Tan, Yezhen Huang, Xiaofei Zeng, Yanbing Zeng
PMID: 10.3389/fmicb.2025.1701697
Journal: Frontiers In Microbiology
Application: IF-cell,WB,CoIP
Reactivity: Mouse,Pig
Publish date: 2025 Nov
-
Citation
-
Deleting fis downregulates virulence and effectively protects Pasteurella multocida infection in mice
Author:
PMID: 40329318
Journal: BMC Veterinary Research
Application: WB
Reactivity: Pasteurella multocida
Publish date: 2025 May
-
Citation
-
BmADARa cooperatively inhibits BmNPV proliferation through the interaction of its dsRBD2 with BmDcr-2-DEXHc in silkworm, Bombyx mori
Author: Song Jiang, Chong-Jun Ye, Yu-Chen Wu, Ruo-Yun Shi, Yu-Long Yu, Syeda Saneela, Dan Liang, Yan-Jiao Huang, Xia-Ming Shi, Yan Meng
PMID: 40394905
Journal: Insect Science
Application: WB
Reactivity: Silkworm
Publish date: 2025 May
-
Citation
-
Targeting MAN1B1 potently enhances bladder cancer antitumor immunity via deglycosylation of CD47
Author: Jie Zhang, Chen Zhang, Ruichen Zang, Weiwu Chen, Yining Guo, Haofei Jiang, Jing Le, Kunyu Wang, Haobo Fan, Xudong Wang, Sisi Mo, Peng Gao, Wenhao Guo, Xinrong Jiang, Fengbin Gao, Junming Jiang, Juyan Zheng, Yuxing Chen, Yicheng Chen, Yanlan Yu, Guoqing Ding
PMID: 40493414
Journal: Cancer Communications
Application: WB,IP
Reactivity: Human
Publish date: 2025 Jun
-
Citation
-
PARylation promotes acute kidney injury via RACK1 dimerization-mediated HIF-1α degradation
Author: Xiangyu Li, Xiaoyu Shen, Xinfei Mao, Yuqing Wang, Yuhang Dong, Shuai Sun, Mengmeng Zhang, Jie Wei, Jianan Wang, Chao Li, Minglu Ji, Xiaowei Hu, Xinyu Chen, Juan Jin, Jiagen Wen, Yujie Liu, Mingfei Wu, Jutao Yu, Xiaoming Meng
PMID: 11NOPMID25090401
Journal: Acta Pharmaceutica Sinica B
Application: WB
Reactivity: Human
Publish date: 2025 Jul
-
Citation
-
Deubiquitinase-dependent transcriptional silencing controls inflammation
Author: Yi Yuxin, Xu Wenjie, Mi Pengcheng, Ye Siliang, Chen Li, Alto Neal M., Liu Zixu
PMID: 40603562
Journal: Cell Research
Application: WB
Reactivity: Human
Publish date: 2025 Jul
-
Citation
-
HnRNPC triggers the degradation of MITA to suppress the interferon-mediated antiviral response
Author: Zhang Yanwei, Jia Zhao, Yuan Gaoliang, Chen Kangyong, Cen Jing, Wang Junya, Feng Hao, Adamek Mikolaj, Zou Jun
PMID: 39994817
Journal: Veterinary Research
Application: WB,Co-IP
Reactivity: Human,Fish
Publish date: 2025 Feb
-
Citation
-
Mitochondrial pyruvate dehydrogenase kinase 1 drives bevacizumab resistance and malignant phenotype of TNBC by enhancing mitophagy
Author: Yan Ye, Qian Zeng, Zuli Ou, Xiaoqian Ju, Qingyu Liao, Canling Li, Dian Zhang, Yu Wei, Xiang Zhang, Kejia Wu, Tingmei Chen
PMID: 10.1016/j.phrs.2025.108081
Journal: Pharmacological Research
Application: WB
Reactivity: Human
Publish date: 2025 Dec
-
Citation
-
RKIP regulates bone marrow macrophage differentiation to mediate osteoclastogenesis and H-type vessel formation
Author: Zheng Zeyu, Tao Siyue, Jin Jiayan, Li Yansong, Dai Liya, Huang Zhaobo, Zhao Yihao, Huang Bao, Saijilafu, Lin Wenlong, Wang Xiaojian, Wu Mengrui, Chen Jian, Zhao Fengdong
PMID: 40817102
Journal: Nature Communications
Application: WB
Reactivity: Human,Mouse
Publish date: 2025 Aug
-
Citation
-
Heat shock protein A1L restricts influenza A virus by ubiquitination of NA
Author: Yan Yan, Jianan Xu, Zhen Chen, Yuting Xu, Linlong Qin, Lingyan Zhao, Hongli Zhang, Xiaoxiao Feng, Chaoliang Yao, Yu Huang, Jiyong Zhou, Tingjuan Deng
PMID: 40819620
Journal: Journal Of Virology
Application: WB
Reactivity: Human
Publish date: 2025 Aug
-
Citation
-
Heat inducible nuclear translocation of Kdm6bb drives temperature dependent sex reversal in Nile tilapia
Author: Jigang Lu, Siqi Huang, Shicen Wei, Jiangbo Cheng, Wei Li, Yueyue Fei, Jihui Yang, Ruiqin Hu, Songqian Huang, Wanying Zhai, Zhichao Wu, Mingli Liu, Qianghua Xu, Peng Hu, Liangbiao Chen
PMID: 40305565
Journal: PLoS Genetics
Application: WB
Reactivity: Fish
Publish date: 2025 Apr
-
Citation
-
Characterization and functional analysis of chicken promyelocytic leukemia protein
Author: Wang Shengnan,et al
PMID: 39293264
Journal: Poultry Science
Application: WB
Reactivity: Human
Publish date: 2024 Sep
-
Citation
-
Bipartite nuclear localization sequence is indispensable for nuclear import and stability of self-dimerization of ADARa in Bombyx mori
Author: Song Jiang,et al
PMID: 39389319
Journal: Insect Biochemistry And Molecular Biology
Application: WB
Reactivity: Silkworm
Publish date: 2024 Oct
-
Citation
-
Decoupling actin assembly from microtubule disassembly by TBC1D3C-mediated direct GEF-H1 activation
Author: Yi Luan ,et al
PMID: 39467635
Journal: Life Science Alliance
Application: WB
Reactivity: Human
Publish date: 2024 Nov
-
Citation
-
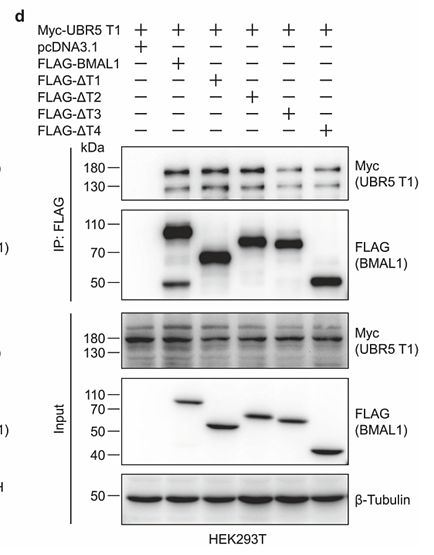
E3 ubiquitin ligase UBR5 modulates circadian rhythm by facilitating the ubiquitination and degradation of the key clock transcription factor BMAL1
Author: Duan Chunyan,et al
PMID: 38740904
Journal: Acta Pharmacologica Sinica
Application: WB,IP
Reactivity: Human
Publish date: 2024 May
-
Citation
-
Mass Spectrometry-Based Proteomic Analysis of Potential Host Proteins Interacting with GP5 in PRRSV-Infected PAMs
Author: Li Wen,et al
PMID: 38474030
Journal: International Journal Of Molecular Sciences
Application: WB,IP
Reactivity: Pig
Publish date: 2024 Mar
-
Citation
-
An optimized non-T cell transfection system based on HEK293FT cells for CD3ζ phosphorylation and ubiquitination
Author: Zheng Jiaqi,et al
PMID: 38484791
Journal: Journal Of Immunological Methods
Application: WB
Reactivity: Human
Publish date: 2024 Mar
-
Citation
-
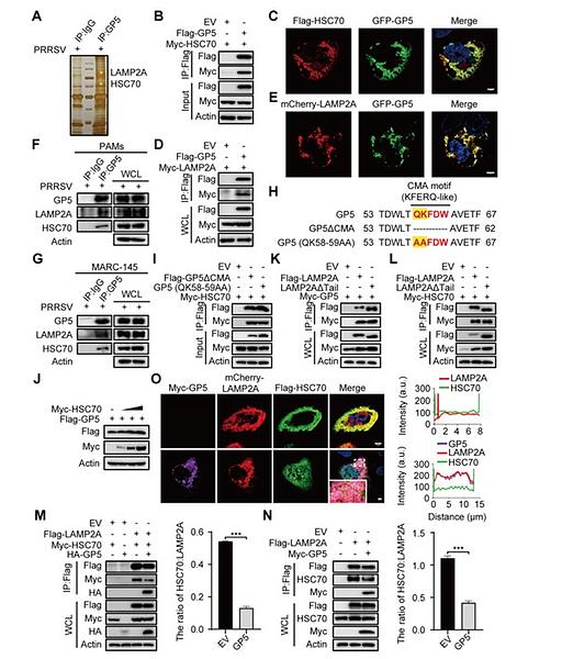
PRRSV GP5 inhibits the antivirus effects of chaperone-mediated autophagy by targeting LAMP2A
Author: Wen Li, Mengting Zhang, Yueshuai Wang, Shijie Zhao, Pengli Xu, Zhiying Cui, Jing Chen, Pingan Xia, Yina Zhang
PMID: 38940560
Journal: mBio
Application: WB
Reactivity: Human
Publish date: 2024 Jun
-
Citation
-
FAM188B promotes the growth, metastasis, and invasion of hepatocellular carcinoma by targeting the HRNPA1/PKM2 axis
Author: Mu Mingshan,et al
PMID: 38844182
Journal: Biochimica Et Biophysica Acta - Molecular Cell Research
Application: WB
Reactivity: Human
Publish date: 2024 Jun
-
Citation
-
UBE2D1 promotes glioblastoma proliferation by modulating p21 ubiquitination
Author: Yongfeng Wang, Qianquan Ma, Haoyu Li, Wei Huang, Jia You, Dian Liu
PMID: 39016669
Journal: Molecular Carcinogenesis
Application:
Reactivity:
Publish date: 2024 Jul
-
Citation
-
Phosphorylation of human glioma-associated oncogene 1 on Ser937 regulates Sonic Hedgehog signaling in medulloblastoma
Author: Zeng Ling-Hui, Tang Chao, Yao Minli, He Qiangqiang, Qv Meiyu, Ren Qianlei, Xu Yana, Shen Tingyu, Gu Weizhong, Xu Chengyun, Zou Chaochun, Ji Xing, Wu Ximei, Wang Jirong
PMID: 38307877
Journal: Nature Communications
Application: WB
Reactivity: Mouse
Publish date: 2024 Feb
-
Citation
-
DEAD-box RNA helicase 21 interacts with porcine circovirus type 2 Cap protein and facilitates viral replication
Author: Zhou Jianwei, Cui Yongqiu, Hou Lei, Liu Jue
PMID: 38380105
Journal: Frontiers In Microbiology
Application: WB,Co-IP
Reactivity: Pig
Publish date: 2024 Feb
-
Citation
-
BZW2 promotes malignant progression in lung adenocarcinoma through enhancing the ubiquitination and degradation of GSK3β
Author: Jin Kai,et al
PMID: 38424042
Journal: Cell Death Discovery
Application: WB,IP
Reactivity: Human
Publish date: 2024 Feb
-
Citation
-
KPNA3 regulates histone locus body formation by modulating condensation and nuclear import of NPAT
Author: Shui Bo Xu,et al
PMID: 39621428
Journal: Journal Of Cellular Biochemistry
Application: WB
Reactivity: Human
Publish date: 2024 Dec
-
Citation
-
An H3K14 ubiquitination-dependent SUV39H recruitment and activation is uniquely required for mammalian pericentromeric heterochromatin formation
Author: Jiemin Wong,et al
PMID: NO PMID2024120501
Journal: Biological Sciences
Application: WB
Reactivity: Human
Publish date: 2024 Dec
-
Citation
-
Smurf1 polyubiquitinates on K285/K282 of the kinases Mst1/2 to attenuate their tumor-suppressor functions
Author: Xu Y, Qu M, He Y, et al
PMID: 37890777
Journal: Journal Of Biological Chemistry
Application: WB,IF
Reactivity: Human,Mouse
Publish date: 2023 Oct
-
Citation
-
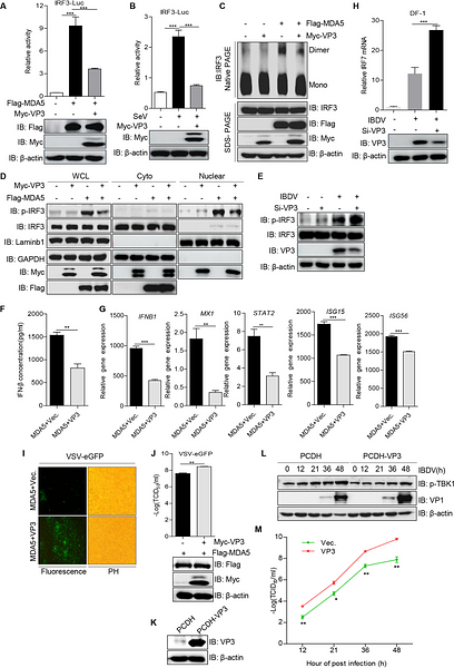
Protein kinase Cdc7 supports viral replication by phosphorylating Avibirnavirus VP3 protein
Author: Deng T, Du L, Ding S, et al
PMID: 37902398
Journal: Journal Of Virology
Application: WB
Reactivity: Human
Publish date: 2023 Oct
-
Citation
-
A regulatory circuit comprising the CBP and SIRT7 regulates FAM134B-mediated ER-phagy
Author: Wang X, Jiang X, Li B, et al
PMID: 37043189
Journal: Journal Of Cellular Biochemistry
Application: IP
Reactivity: Species independent
Publish date: 2023 May
-
Citation
-
The expanded ISG12 family in zebrafish: ISG12. 1 suppresses virus replication via targeting viral phosphoprotein
Author:
PMID: 36822549
Journal: Developmental And Comparative Immunology
Application: IF-cell
Reactivity: Fish
Publish date: 2023 May
-
Citation
-
Deciphering the Clinical Significance and Kinase Functions of GSK3α in Colon Cancer by Proteomics and Phosphoproteomics
Author: Gao, L., Lu, Y., Chen, H. N., Li, Z., Hu, M., Zhang, R., Wang, X., Xu, Z., Gong, Y., Wang, R., Du, D., Hai, S., Li, S., Su, D., Li, Y., Xu, H., Zhou, Z. G., & Dai, L.
PMID: 37031867
Journal: Molecular & Cellular Proteomics
Application: WB
Reactivity: Human
Publish date: 2023 May
-
Citation
-
TRIM21 restricts influenza A virus replication by ubiquitination-dependent degradation of M1
Author:
PMID: 37343022
Journal: PLoS Pathogens
Application: WB
Reactivity: Human
Publish date: 2023 Jun
-
Citation
-
Zebrafish SETD3 mediated ubiquitination of phosphoprotein limits spring viremia of carp virus infection.
Author:
PMID: 37269914
Journal:
Application:
Reactivity: Zebrafish
Publish date: 2023 Jun
-
Citation
-
Structure and function of a novel lineage-specific neutralizing epitope on H protein of canine distemper virus
Author: Bi, Z., Wang, W., & Xia, X.
PMID: 36713169
Journal: Frontiers In Microbiology
Application:
Reactivity:
Publish date: 2023 Jan
-
Citation
-
The deubiquitinase UCHL1 negatively controls osteoclastogenesis by regulating TAZ/NFATC1 signalling
Author: Feng, Z., Tao, S., Huang, Z., Zheng, B., Kong, X., Xiang, Y., Zhang, Q., Song, H., Xu, Z., Wei, X., Zhao, F., & Chen, J.
PMID: 37215988
Journal: International Journal Of Biological Sciences
Application: WB
Reactivity: Human
Publish date: 2023 Apr
-
Citation
-
PLAAT1 inhibits type I interferon response via degradation of IRF3 and IRF7 in Zebrafish
Author:
PMID: 36172355
Journal:
Application: WB
Reactivity: Human
Publish date: 2022 Sept
-
Citation
-
Convergent and divergent regulations of ethylene and abscisic acid biosynthesis during persimmon fruit postharvest ripening
Author:
PMID: none_22072703
Journal: Postharvest Biology And Technology
Application: WB,Co-IP
Reactivity: Persimmon fruit,Nicotiana benthamiana
Publish date: 2022 Sept
-
Citation
-
IRF2 Cooperates with Phosphoprotein of Spring Viremia of Carp Virus to Suppress Antiviral Response in Zebrafish
Author: Huang, W., Zhao, X., Ji, N., Guo, J., Feng, J., Chen, K., Wu, Y., Wang, J., Feng, H., & Zou, J.
PMID: 36314827
Journal: The Oncologist
Application: WB
Reactivity: Human
Publish date: 2022 Oct
-
Citation
-
The Network of Interactions between the Porcine Epidemic Diarrhea Virus Nucleocapsid and Host Cellular Proteins
Author: Zhou, J., Qiu, Y., Zhao, J., Wang, Y., Zhu, N., Wang, D., Cui, Y., Guo, J., Sun, T., Ji, Y., Wu, Z., Zeng, P., Li, J., Feng, X., Hou, L., & Liu, J.
PMID: 36298827
Journal: Viruses
Application: WB
Reactivity: Pig
Publish date: 2022 Oct
-
Citation
-
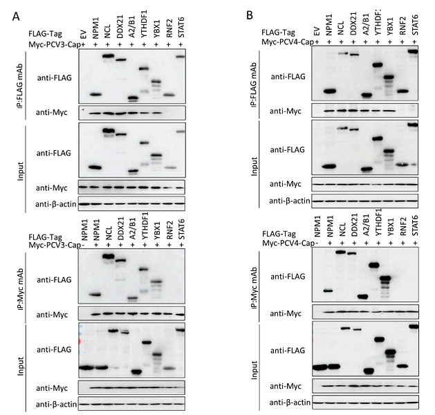
Interaction Network of Porcine Circovirus Type 3 and 4 Capsids with Host Proteins
Author: Zhou, J., Wang, Y., Zhou, L., Qiu, Y., Zhao, J., Dai, B., Feng, X., Hou, L., & Liu, J.
PMID: 35632681
Journal: Viruses
Application: WB
Reactivity: Human
Publish date: 2022 May
-
Citation
-
Transcriptional and Post-transcriptional Regulation of Ethylene Biosynthesis by Exogenous Acetylsalicylic Acid in Kiwifruit
Author: Wang, J., Liu, X. F., Zhang, H. Q., Allan, A. C., Wang, W. Q., & Yin, X. R.
PMID: 35937863
Journal: Horticulture Research
Application: WB
Reactivity: Kiwifruit
Publish date: 2022 May
-
Citation
-
TRAF6 autophagic degradation by avibirnavirus VP3 inhibits antiviral innate immunity via blocking NFKB/NF-κB activation
Author: Deng, T., Hu, B., Wang, X., Ding, S., Lin, L., Yan, Y., Peng, X., Zheng, X., Liao, M., Jin, Y., Dong, W., Gu, J., & Zhou, J.
PMID: 35266845
Journal: Autophagy
Application: WB
Reactivity: Chicken
Publish date: 2022 Mar
-
Citation
-
Plaat1 promotes P53 degradation Via autophagy-lysosome pathway in zebrafish
Author:
PMID: 35526800
Journal: Fish & Shellfish Immunology
Application: WB
Reactivity: Human
Publish date: 2022 Jun
-
Citation
-
Sigma-1 receptor attenuates osteoclastogenesis by promoting ER-associated degradation of SERCA2
Author: Wei, X., Zheng, Z., Feng, Z., Zheng, L., Tao, S., Zheng, B., Huang, B., Zhang, X., Liu, J., Chen, Y., Zong, W., Shan, Z., Fan, S., Chen, J., & Zhao, F.
PMID: 35611810
Journal: EMBO Molecular Medicine
Application: WB
Reactivity: Human
Publish date: 2022 Jul
-
Citation
-
Contribution of DEAD-Box RNA Helicase 21 to the Nucleolar Localization of Porcine Circovirus Type 4 Capsid Protein
Author: Zhou, J., Wang, Y., Qiu, Y., Wang, Y., Yang, X., Liu, C., Shi, Y., Feng, X., Hou, L., & Liu, J.
PMID: 35283818
Journal: Contribution Of Dead-Box Rna Helicase 21 To The Nucleolar Localization Of Porcine Circovirus Type 4 Capsid Protein
Application: WB
Reactivity: Pig
Publish date: 2022 Feb
-
Citation
-
Porcine Circovirus Type 2 Hijacks Host IPO5 to Sustain the Intracytoplasmic Stability of Its Capsid Protein
Author: Lin, C., Hu, J., Dai, Y., Zhang, H., Xu, K., Dong, W., Yan, Y., Peng, X., Zhou, J., & Gu, J.
PMID: 36409110
Journal: Journal Of Virology
Application: WB
Reactivity: Species independent
Publish date: 2022 Dec
-
Citation
-
Hsp70 Inhibits the Replication of Fowl Adenovirus Serotype 4 by Suppressing Viral Hexon with the Assistance of DnaJC7
Author: Cao, J., Liu, S., Liu, M., Wang, S., Bi, Z., Fan, W., Shi, Z., Song, S., & Yan, L.
PMID: 35852354
Journal: Journal Of Virology
Application: WB
Reactivity: Chicken
Publish date: 2022 Aug
-
Citation
-
Cellular hnRNPAB interacts with avian influenza viral protein PB2 and inhibits virus replication potentially by restricting PB2 mRNA nuclear export and PB2 protein level
Author: Hongliu Ye, Zhenwei Bi, Wentao Fan, Suquan Song, Liping Yan
PMID: 34555436
Journal: Virus Research
Application: WB,IP,IF
Reactivity: Chicken,Dog
Publish date: 2021 Sept
-
Citation
-
The Nucleolar Localization Signal of Porcine Circovirus Type 4 Capsid Protein Is Essential for Interaction With Serine-48 Residue of Nucleolar Phosphoprotein Nucleophosmin-1
Author: Zhou, J., Qiu, Y., Zhu, N., Zhou, L., Dai, B., Feng, X., Hou, L., & Liu, J.
PMID: 34745055
Journal: Frontiers In Microbiology
Application: IP
Reactivity: Species independent
Publish date: 2021 Oct
-
Citation
-
Stk24 protects against obesity-associated metabolic disorders by disrupting the NLRP3 inflammasome. Cell reports, 35(8), 109161.
Author: Qin, Q., Shou, J., Li, M., Gu, M., Meng, Z., Xu, P., Meng, H., & Wang, X.
PMID: 34038725
Journal: Cell Reports
Application: WB
Reactivity: Human
Publish date: 2021 May
-
Citation
-
Interferon Inducer IFI35 Regulates RIG-I-Mediated Innate Antiviral Response through Mutual Antagonism with Influenza Virus Protein NS1
Author: Hui Yang, Wendy Winkler, Xiaopeng Wu
PMID: 33692214
Journal: Journal Of Virology
Application: IF
Reactivity: Human
Publish date: 2021 May
-
Citation
-
<html><html><html>Inhibition of Antiviral Innate Immunity by <i>Avibirnavirus</i> VP3 via Blocking TBK1-TRAF3 Complex Formation and IRF3 Activation. mSystems, 6(3), e00016-21.</html></html></html>
Author: Deng, T., Hu, B., Wang, X., Lin, L., Zhou, J., Xu, Y., Yan, Y., Zheng, X., & Zhou, J.
PMID: 33975961
Journal: mSystems
Application: WB
Reactivity: Human
Publish date: 2021 May
-
Citation
-
The serine-48 residue of nucleolar phosphoprotein nucleophosmin-1 plays critical role in subcellular localization and interaction with porcine circovirus type 3 capsid protein. Veterinary research, 52(1), 4.
Author: Zhou, J., Li, J., Li, H., Zhang, Y., Dong, W., Jin, Y., Yan, Y., Gu, J., & Zhou, J.
PMID: 33413620
Journal: Veterinary Research
Application: WB
Reactivity: Species independent
Publish date: 2021 Jan
-
Citation
-
Cullin3-TNFAIP1 E3 Ligase Controls Inflammatory Response in Hepatocellular Carcinoma Cells via Ubiquitination of RhoB
Author:
PMID: 33553178
Journal: Frontiers In Cell And Developmental Biology
Application: WB
Reactivity: Human
Publish date: 2021 Jan
-
Citation
-
An acetylation-enhanced interaction between transcription factor Sox2 and the steroid receptor coactivators facilitates Sox2 transcriptional activity and function
Author: Huang, Y., Duan, X., Wang, Z., Sun, Y., Guan, Q., Kang, L., Zhang, Q., Fang, L., Li, J., & Wong, J.
PMID: 34762910
Journal: Journal Of Biological Chemistry
Application: Co-IP
Reactivity: Species independent
Publish date: 2021 Dec
-
Citation
-
The Autophagy Cargo Receptor SQSTM1 Inhibits Infectious Bursal Disease Virus Infection through Selective Autophagic Degradation of Double-Stranded Viral RNA
Author: Xu, C., Li, T., Lei, J., Zhang, Y., Zhou, J., & Hu, B.
PMID: 34960763
Journal: Viruses
Application: IF
Reactivity: Species independent
Publish date: 2021 Dec
-
Citation
-
DeSUMOylation of Apoptosis Inhibitor 5 by Avibirnavirus VP3 Supports Virus Replication
Author: Deng, T., Hu, B., Wang, X., Yan, Y., Zhou, J., Lin, L., Xu, Y., Zheng, X., & Zhou, J.
PMID: 34372697
Journal: mBio
Application: WB
Reactivity: Human
Publish date: 2021 Aug
-
Citation
-
Interplay of the ubiquitin proteasome system and the innate immune response is essential for the replication of infectious bronchitis virus. Archives of virology, 1–13. Advance online publication.
Author: Ojha, N. K., Liu, J., Yu, T., Fang, C., Zhou, J., & Liao, M.
PMID: 34037855
Journal: Archives Of Virology
Application: WB
Reactivity: Species independent
Publish date: 2021 Aug
-
Citation
-
PDPK1 regulates autophagosome biogenesis by binding to PIK3C3
Author: Boli Hu, Yina Zhang, Tingjuan Deng, Jinyan Gu, Juan Liu, Hui Yang, Yuting Xu, Yan Yan, Fan Yang, Heng Zhang, Yulan Jin, Jiyong Zhou
PMID: 32876514
Journal: Autophagy
Application: WB
Reactivity: Species independent
Publish date: 2020 Sept
-
Citation
-
Rabies virus phosphoprotein P5 binding to BECN1 regulates self-replication by BECN1-mediated autophagy signaling pathway. Cell communication and signaling : CCS, 18(1), 153.
Author: Min Liao
PMID: 32948206
Journal: Cell Communication And Signaling
Application: WB,Co-IP
Reactivity: Human
Publish date: 2020 Sep
-
Citation
-
The Gridlock transcriptional repressor impedes vertebrate heart regeneration by restricting expression of lysine methyltransferase
Author: Tao P. Zhong
PMID: 32988975
Journal: Development
Application: WB,Co-IP
Reactivity: zebrafish
Publish date: 2020 Sep
-
Citation
-
Histone Deacetylase 3 Couples Mitochondria to Drive IL-1β-Dependent Inflammation by Configuring Fatty Acid Oxidation
Author: Di Wang
PMID: 32937100
Journal: Molecular Cell
Application: WB,IP
Reactivity: Mouse
Publish date: 2020 Oct
-
Citation
-
Influenza A Virus Induces Autophagy by Its Hemagglutinin Binding to Cell Surface Heat Shock Protein 90AA1
Author: Boli Hu;Jiyong Zhou
PMID: 33117314
Journal: Frontiers In Microbiology
Application: WB,Co-IP
Reactivity: Chicken
Publish date: 2020 Oct
-
Citation
-
The RCAN1.4-calcineurin/NFAT signaling pathway is essential for hypoxic adaption of intervertebral discs
Author: Jian Chen;Fengdong Zhao
PMID: 32467610
Journal: Experimental & Molecular Medicine
Application: WB,IP
Reactivity: Human
Publish date: 2020 May
-
Citation
-
Protein Interactions Network of Porcine Circovirus Type 2 Capsid With Host Proteins
Author: Jiyong Zhou
PMID: 32582087
Journal: Frontiers In Microbiology
Application: WB
Reactivity: pig
Publish date: 2020 Jun
-
Citation
-
The Zscan4-Tet2 Transcription Nexus RegulatesMetabolic Rewiring and Enhances Proteostasis toPromote Reprogramming
Author: Mingliang Zhang;Dan Ye
PMID: 32668244
Journal: Cell Reports
Application: IP,WB
Reactivity: Human
Publish date: 2020 Jul
-
Citation
-
<html><html><html>The N-terminal residual arginine<sup>19</sup> of influenza A virus NS1 protein is required for its nuclear localization and RNA binding. Veterinary microbiology, 251, 108895.</html></html></html>
Author: Wang, X., Lin, L., Yu, Y., Yan, Y., Ojha, N. K., & Zhou, J.
PMID: 33126184
Journal: Veterinary Microbiology
Application: WB
Reactivity: Species independent
Publish date: 2020 Dec
-
Citation
-
Nucleolar protein NPM1 is essential for circovirus replication by binding to viral capsid
Author: Jinyan Gu; Jiyong Zhou
PMID: 33073687
Journal: Virulence
Application: WB,Co-IP
Reactivity: Human
Publish date: 2020 Dec
-
Citation
-
SCFFBXO28-mediated self-ubiquitination of FBXO28 promotes its degradation
Author: Lili Cai, Liang Liu, Lihui Li, Lijun Jia
PMID: 31678254
Journal: Cellular Signalling
Application: WB
Reactivity: Human
Publish date: 2019 Oct
-
Citation
-
Insights into species-specific regulation of ANP32A on the mammalianrestricted influenza virus polymerase activity
Author: Jiyong Zhou,Liping Yan
PMID: 31608791
Journal: Emerging Microbes & Infections
Application: WB,Co-IP
Reactivity: Human
Publish date: 2019 Oct
-
Citation
-
SUMO1 Modification Facilitates Avibirnavirus Replication by Stabilizing Polymerase VP1. Journal of virology, 93(10), e02227-18.
Author: Wu, H., Yang, H., Ji, G., Zheng, T., Zhang, Y., Deng, T., Zheng, X., Zhou, J., & Hu, B.
PMID: 30842328
Journal: Journal Of Virology
Application: WB
Reactivity: Species independent
Publish date: 2019 May
-
Citation
-
Ubiquitination Is Essential for Avibirnavirus Replication by Supporting VP1 Polymerase Activity
Author: Jiyong Zhou
PMID: 30429342
Journal: Journal Of Virology
Application: WB
Reactivity: Human
Publish date: 2019 Jan
-
Citation
-
Binding of Avibirnavirus VP3 to the PIK3C3-PDPK1 complex inhibits autophagy by activating the AKT-MTOR pathway
Author: Yina Zhang, Boli Hu, Yahui Li, Tingjuan Deng, Yuting Xu, Jing Lei, Jiyong Zhou
PMID: 31885313
Journal: Autophagy
Application: WB
Reactivity: Human
Publish date: 2019 Dec
-
Citation
-
TP53INP2 contributes to autophagosome formation by promoting LC3-ATG7 interaction
Author: Wei Liu
PMID: 30767704
Journal: Autophagy
Application: WB
Reactivity: Human
Publish date: 2019 Aug
-
Citation
-
ELP3 Acetyltransferase is phosphorylated and regulated by the oncogenic anaplastic lymphoma kinase (ALK)
Author: Li Meng-Tian, Liang Jun-Yun, Sun Yi-Ping, Jin Jian, Xiong Yue, Guan Kun-Liang, Yuan Hai-Xin
PMID: 31341009
Journal: Biochemical Journal
Application: WB
Reactivity: Human
Publish date: 2019 Aug
-
Citation
-
p73 coordinates with Δ133p53 to promote DNA double-strand break repair
Author:
PMID: 29511339
Journal: Cell Death & Differentiation
Application: IP
Reactivity: Human
Publish date: 2018 Jun
-
Citation
-
Ubiquitin ligase TRAF2 attenuates the transcriptional activity of the core clock protein BMAL1 and affects the maximal Per1 mRNA level of the circadian clock in cells
Author: Suping Chen, Jing Yang, Lu Yang, Yang Zhang, Liang Zhou, Qing Liu, Chunyan Duan, Crystal A. Mieres, Guanghai Zhou, Guoqiang Xu
PMID: 29935055
Journal: FEBS Journal
Application: WB
Reactivity: Human
Publish date: 2018 Jun
-
Citation
-
Acetylation accumulates PFKFB3 in cytoplasm to promote glycolysis and protects cells from cisplatin-induced apoptosis
Author: Li, F. L., Liu, J. P., Bao, R. X., Yan, G., Feng, X., Xu, Y. P., Sun, Y. P., Yan, W., Ling, Z. Q., Xiong, Y., Guan, K. L., & Yuan, H. X.
PMID: 29410405
Journal: Nature Communications
Application: IF
Reactivity: Human
Publish date: 2018 Feb
-
Citation
-
Caspase-Dependent Apoptosis Induction via Viral Protein ORF4 of Porcine Circovirus 2 Binding to Mitochondrial Adenine Nucleotide Translocase 3
Author: Jiyong Zhou
PMID: 29491154
Journal: Journal Of Virology
Application: WB
Reactivity: Pig
Publish date: 2018 Apr
-
Citation
-
RKIP mediates autoimmune inflammation by positively regulating IL-17R signaling
Author: Wenlong Lin, Ning Wang, Kangxing Zhou, Fasheng Su, Yu Jiang, Jianan Shou, Huan Liu, Chunmei Ma, Youchun Qian, Kai Wang, Xiaojian Wang
PMID: 29674348
Journal: EMBO Reports
Application: WB
Reactivity: Human
Publish date: 2018 Apr
-
Citation
-
SIRT7 deacetylates DDB1 and suppresses the activity of the CRL4 E3 ligase complexes. The FEBS journal, 284(21), 3619–3636.
Author: Mo, Y., Lin, R., Liu, P., Tan, M., Xiong, Y., Guan, K. L., & Yuan, H. X.
PMID: 28886238
Journal: The Faseb Journal.
Application: WB
Reactivity: Species independent
Publish date: 2017 Nov
-
Citation
-
Bile Acids Control Inflammation and Metabolic Disorder through Inhibition of NLRP3 Inflammasome
Author: Di Wang
PMID: 27760343
Journal: Immunity
Application: WB
Reactivity: Human
Publish date: 2016 Oct
-
Citation
-
The co-chaperone Cdc37 regulates the rabies virus phosphoprotein stability by targeting to Hsp90AA1 machinery
Author: Jiyong Zhou
PMID: 27251758
Journal: Scientific Reports
Application: WB
Reactivity: Mouse
Publish date: 2016 Jun
-
Citation
-
Circovirus Transport Proceeds via Direct Interaction of the Cytoplasmic Dynein IC1 Subunit with theViral Capsid Protein
Author: Jiyong Zhou
PMID: 25540360
Journal: Journal Of Virology
Application: WB,IP
Reactivity: Circovirus
Publish date: 2015 Mar
-
Citation
-
PARD3 induces TAZ activation and cell growth by promoting LATS1 and PP1 interaction
Author: Yue Xiong,Qun-Ying Lei,Kun-Liang Guan
PMID: 26116754
Journal: EMBO Reports
Application: WB
Reactivity: Human
Publish date: 2015 Aug
-
Citation
-
Identification of 17 HrpX-Regulated Proteins Including Two Novel Type III Effectors,XOC_3956 and XOC_1550,in Xanthomonas oryzae pv. oryzicola
Author: Gong-you Chen
PMID: 24675748
Journal: Public Library Of Science One
Application: WB
Reactivity: Xanthomonas oryzae pv. oryzicola
Publish date: 2014 Mar
-
Citation
Products with the same target and pathway
HRP Conjugated Myc tag Rabbit Polyclonal Antibody
Application: WB
Reactivity: Species independent
Conjugate: HRP